Osteosarkom des Unterkiefers
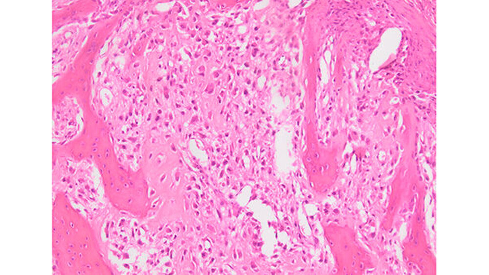
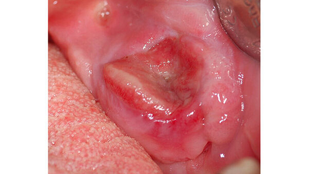
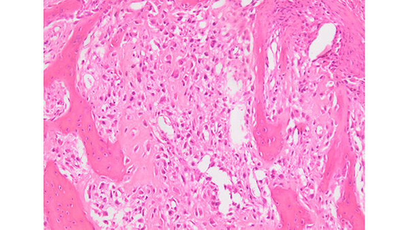
Klinisch präsentierte sich eine Auftreibung des Unterkiefers links mit Ulzeration im dritten Quadranten (Abbildung 2) bei einer auffälligen Anästhesie der linken Unterlippe. Tastbare Lymphknoten lagen nicht vor. In der Panoramaschichtaufnahme (Abbildung 3) zeigten sich linksseitig größtenteils osteolytische, partiell sklerotische Areale mit einem verplumpten Processus coronoideus. Hinweisgebend auf eine mögliche Diagnose waren schließlich die crestal gelegenen Spikulae. Eine alio loco bereits durchgeführte Probeexzision sicherte ein chondroblastisch differenziertes Sarkom.
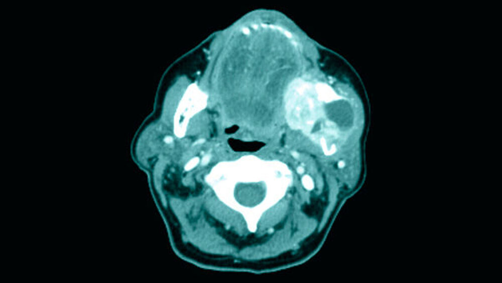
Mit dieser Diagnose wurde die Patientin zur weiteren Therapie in die Mund-, Kiefer-, Gesichtschirurgie der Universitätsmedizin Mainz überwiesen, in der das Staging mittels Computertomografie der Kopf-/Hals-Region sowie des Thorax/Abdomen komplettiert wurde. Hierin zeigte sich lokal eine Ausbreitung bis an den Processus condylaris mit bereits bestehendem Kontakt zum Sinus maxillaris (Abbildungen 4 und 5). Bei pulmonalen Verdichtungen konnte eine Metastasierung nicht sicher ausgeschlossen werden, eine abdominelle Absiedlung bestand nicht.
Im Konsens mit dem interdisziplinären Tumorboard wurde die Patientin einer primär chirurgischen Therapie zugeführt mit der Option einer anschließenden Chemotherapie. Bei notwendiger Hemimandibulotomie mit kombiniertem Weichteilverlust wurde eine primäre Rekonstruktion mittels mikrovaskulärem Fibulatransplantat geplant. Die Prozedur wurde nach Evaluation der peripheren Durchblutungssituation der Beine CAD/CAM-geplant durchgeführt (Abbildungen 6 und 7).
Die endgültige histologische Aufbereitung zeigte einen malignen, Osteoid-produzierenden Tumor, der einem Osteosarkom der TNM-Klassifikation pT2b pN0 (0/37) M0 R0 (Abbildung 8) entsprach. Der postoperative Heilungsverlauf verlief komplikationslos, so dass die Patientin nach drei Wochen nach Anbindung an die Hämatologie in die ambulante Nachsorge entlassen werden konnte. Eine Chemotherapie wurde auf Wunsch der Patientin nicht durchgeführt. Die pulmonalen Verdichtungen erwiesen sich in der Nachkontrolle als größenkonstant. Aktuell ist die Patientin in regelmäßiger Nachsorge ohne Anhalt für ein Rezidiv oder eine Metastasierung.
Diskussion
Das Osteosarkom ist ein maligner Knochentumor mesenchymalen Ursprungs, das heißt, er leitet sich vom embryonalen Bindegewebe ab, aus dem sich neben Knochen auch Muskeln, Knorpel und zum Beispiel Fettgewebe entwickeln.
Interessant ist, dass sich Osteosarkome der Kiefer bezüglich ihrer Epidemiologie, ihrer Aggressivität und auch ihres Verhaltens bezüglich einer Therapie anders verhalten als Osteosarkome außerhalb der Kieferregion. Letztere haben ihren Alterspeak in der zweiten Lebensdekade, in der 55 Prozent aller Osteosarkome auftreten, in der ersten Lebensdekade sind es nur acht bis neun und in der dritten Lebensdekade 14 bis 15 Prozent, so dass ein Zusammenhang zum Körperwachstum gesehen wird. Es gibt einen zweiten kleinen Peak in der sechsten Lebensdekade, in der vornehmlich sekundäre Osteosarkome auf Basis von Vorerkrankungen, zum Beispiel Morbus Paget, entstehen [Freyschmidt J, Ostertag H, Jundt G, 2010].
Beim Jugendlichen sind hauptsächlich Femur mit 45 Prozent, Tibia mit 20 Prozent und Humerus mit zehn Prozent betroffen. Das Geschlechterverhältnis liegt bei 60 Prozent Männern zu 40 Prozent Frauen, wobei sich mit zunehmendem Alter der Unterschied nivelliert [Freyschmidt J, Ostertag H, Jundt G, 2010].
Etwa sechs Prozent aller Osteosarkome kommen im Kiefer zu liegen, wobei der Peak in der dritten und in der vierten Lebensdekade zu finden ist. Die Geschlechtsverteilung ist dem Auftreten am postkranialen Skelett ähnlich [Freyschmidt J, Ostertag H, Jundt G, 2010]. Während postkraniale Osteosarkome ein hoch aggressives Verhalten mit hoher Metastasierungstendenz von etwa 20 Prozent zum Zeitpunkt der Diagnosestellung aufweisen, ist eine Metastasierung bei Osteosarkomen der Kiefer wesentlich seltener [Freyschmidt J, Ostertag H, Jundt G, 2010].
Bei postkranialen Osteosarkomen lag die Zweijahresüberlebensrate in der Mitte des vergangenen Jahrhunderts selten über 50 bis 60 Prozent. Durch adjuvante und dann neoadjuvante Chemotherapien konnte die Fünfjahresüberlebensrate auf 70 Prozent gesteigert werden. Die Fünfjahresüberlebensrate für Osteosarkome der Kiefer liegt a priori bei zehn bis 100 Prozent und damit deutlich höher als bei den Osteosarkomen anderer Lokalisationen [Thariat J et al., 2012], was damit zusammenhängen kann, dass im Kiefer deutlich häufiger niedrig maligne Osteosarkome auftreten bei einem insgesamt weniger aggressiven Verhalten der Tumore. Eine Heilung ist bei R0 resezierten, also vollständig entfernten Osteosarkomen auch ohne weitere Therapie möglich [Freyschmidt J, Ostertag H, Jundt G, 2010].
Osteosarkome kommen mit 58 Prozent etwas häufiger im Unterkiefer vor und sind dann mit einer besseren Prognose vergesellschaftet als die der Oberkiefer, die in aller Regel zum Zeitpunkt der Diagnosestellung etwas größer und häufig auch schwieriger in sano resezierbar sind [Freyschmidt J, Ostertag H, Jundt G, 2010].
Prognostische Faktoren
Neben der Schwellung, Schmerzen und Ulzerationen sind die Symptome abhängig von der Lage, es kann zu Zahnlockerungen, Gefühlsstörungen und nasaler Obstruktion und Epistaxis kommen, auch zur Bulbusverlegung mit entsprechenden Sehstörungen [Freyschmidt J, Ostertag H, Jundt G, 2010; Kämmerer PW et al., 2012].
Zu den radiologischen Zeichen gehören die Größenzunahme des Knochens mit schlechter Abgrenzbarkeit, Kortikalisdestruktionen, Sklerosen, Osteolysen, Periostreaktionen, Spikulae und die Arrosion von Zahnwurzeln beziehungsweise die Verlagerung von Zähnen [Freyschmidt J, Ostertag H, Jundt G, 2010; Theodorou DJ et al., 2003].
Differenzialdiagnostisch kommen sowohl klinisch als auch radiologisch unzählige Diagnosen in Betracht. Hierzu zählen unter anderem das Chondro- oder Fibrosarkom, die fibröse Dysplasie oder das ossifizierende Fibrom als nicht maligne Erkrankungen, so dass eine Histologie zwingend sein sollte [Freyschmidt J, Ostertag H, Jundt G, 2010].
Während die Therapie des postkranialen Osteosarkoms – wie beschrieben – eine neoadjuvante Chemotherapie beinhaltet, ist die primäre Therapie für Kiefer-Osteosarkome eine rein chirurgische. Die Fünfjahresüberlebensrate für Kiefer-Osteosarkome wird in der Literatur mit durchschnittlich 77 Prozent (zehn bis 100 Prozent) angegeben [Thariat J et al., 2012].
Die wichtigsten prognostischen Faktoren sind eine sichere R0-Resektion und der histologische Subtyp [Thariat J et al., 2012], auf den allerdings hier nicht weiter eingegangen werden soll. Risikofaktoren für die Entwicklung eines Osteosarkoms können eine vorangegangene Hochdosis-Bestrahlung oder Erkrankungen wie der Morbus Paget, die fibröse Dysplasie oder auch eine Osteomyelitis sein [Thariat J et al., 2012].
Im vorliegenden Fall sind sowohl Klinik als auch radiologischer Befund typisch für ein Osteosarkom. Die Patientin ist etwas älter als der übliche Durchschnitt. Besondere Risikofaktoren lagen nicht vor. Damit hat die Patientin bei tumorfreiem Resektionsrand (R0) eine relativ gute Prognose.
Elisabeth Goetze
Dr. Dr. Maximilian Moergel
PD Dr. Dr. Christian Walter
Klinik und Poliklinik für Mund-, Kiefer- und Gesichtschirurgie – plastische Operationen
Universitätsmedizin der Johannes Gutenberg-Universität Mainz
Augustusplatz 2, 55131 Mainz
Andreas Bemsch
Kiefer- und plastische Gesichtschirurgie Ingelheim Neue Mitte
Überörtliche Berufsausübungsgemeinschaft für Mund-, Kiefer- und Gesichtschirurgie, Plastische Operationen
Georg-Rückert-Str. 10, 55218 Ingelheim am Rhein
Dr. Cristina L. Cotarelo
Institut für Pathologie der Universitätsmedizin Mainz
Langenbeckstr. 1, 55131 Mainz











