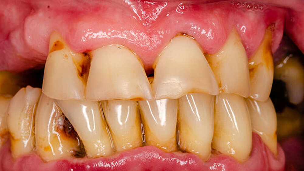
Parodontitis signifikant mit Lungenkrebs assoziiert
Mehrere Studien fanden bereits Zusammenhänge von Parodontitis und einem erhöhten allgemeinen Krebsrisiko [Michaud et al. 2008 und 2018; Arora et al. 2010]. Dem Thema Parodontitis und Lungenkrebs widmeten sich bereits zwei Metanalysen aus den Jahren 2016 und 2017 [Zeng et al. 2016 und Michaud et al. 2017], doch die chinesischen Forscher wollten mit Hilfe einer aktuellen Datenbankenanalyse und besserem Ausschluss von Störfaktoren den Zusammenhang erneut überprüfen.
Für ihr Review bezogen die Forscher sechs Kohorten- und zwei Fallkontrollstudien mit insgesamt 167.256 Patienten ein. Insgesamt hatten die Patienten mit Parodontitis ein 1,4-fach höheres Risiko an Lungenkrebs zu erkranken als die Parodontal-Gesunden. Lag zusätzlich Zahnlosigkeit vor, erhöhte sich das Risiko noch mehr. Die männlichen Probanden hatten insgesamt eine höhere Assoziationsrate als die weiblichen.
Die These: orales Mikrobiom gelangt über Miniaspiration in die Lunge
Da sowohl Parodontitis als auch Lungenkrebs einige identischen Risikofaktoren haben, zum Beispiel Rauchen, vermehrter Alkoholkonsum und Diabetes, haben die chinesischen Forscher ihre Statistik mittels Untergruppen auf diese Faktoren hin angepasst. Das Ergebnis interpretierten die Forscher so, dass Parodontitis ein unabhängiger Risikofaktor für das Entstehen von Lungenkrebs sein könnte.
Sie erklären den Zusammenhang zwischen Parodontitis und Lungenkrebs über die spezielle Zusammensetzung des oralen Mikrobioms bei einer Parodontalerkrankung, das in die Lunge gelangt. Bei Lungenentzündungen gelang es Forschern bereits Porphyromonas gingivalis, Fusobakterium nucleatum, Prevotella oralis und Campylobacter gracilis aus der Lungenflüssigkeit von Patienten zu kultivieren. Solche Bakterienspezies können auch zu einer Exazerbation einer COPD führen, die ihrerseits das Risiko für ein Lungenkarzinom erhöht.
Der Schluss: Eine erfolgreiche Parodontaltherapie könnte das Risiko für Lungenkrebs reduzieren
Auch in der Lunge konnten Wissenschaftler ein bestimmtes Mikrobiom identifizieren, dass die Entstehung von Lungenkrebs beeinflusst [Maddi et al. 2019]. Es soll aus der Mundhöhle stammen und über Mikroaspiration von Speichel in die Lunge gelangen [Segal et al. 2016]. So entsteht in der Lunge ein entzündliches Milieu, das die Wirtabwehr beeinflusst und kanzerogen wirken könnte. Der genaue Entstehungsmechanismus von Lungenkrebs ist allerdings noch unklar.
Laut Hwang et al. [2014] könnte eine erfolgreiche Parodontaltherapie das Risiko für Lungenkrebs reduzieren. Da Parodontitis eine gut behandelbare Erkrankung ist, sollte ihrer Therapie auch im Hinblick auf die Verminderung des Risikos an Lungenkrebs zu erkranken noch mehr Beachtung geschenkt werden.
Wang J, Yang X, Zou X, Zhang Y, Wang J, Wang Y.: “Relationship Between Periodontal Disease and Lung Cancer: A Systematic Review and Meta-Analysis.“ J Periodont Res. 2020; 00: 1–13.DOI: 10.1111/jre.12772. ###more### ###title### Literaturliste ###title### ###more###
Literaturliste
Arora M, Weuve J, Fall K, Pedersen NL, Mucci LA. An explo- ration of shared genetic risk factors between periodontal dis- ease and cancers: a prospective co-twin study. Am J Epidemiol. 2010;171(2):253-259.
Hwang IM, Sun LM, Lin CL, Lee CF, Kao CH, et al. Periodontal disease with treatment reduces subsequent cancer risks. QJM. 2014;107(10):805-812.
Maddi A, Sabharwal A, Violante T, et al. The microbiome and lung cancer. J Thorac Dis. 2019;11(1):280-291.
Michaud DS, Fu Z, Shi J, Chung M. Periodontal disease, tooth loss, and cancer risk. Epidemiol Rev. 2017; 39(1): 49-58.
Michaud DS, Liu Y, Meyer M, Giovannucci E, Joshipura K. Periodontal disease, tooth loss, and cancer risk in male health professionals: a prospective cohort study. Lancet Oncol. 2008; 9(6): 550-558.
Michaud DS, Lu J, Peacock-Villada AY, et al. Periodontal disease assessed using clinical dental measurements and cancer risk in the ARIC study. J Natl Cancer Inst. 2018;110(8):843-854.
Segal LN, Clemente JC, Tsay JC, et al. Enrichment of the lung micro- biome with oral taxa is associated with lung inflammation of a Th17 phenotype. Nat Microbiol. 2016;1:16031.
Zeng XT, Xia LY, Zhang YG, Li S, Leng WD, Kwong JS. Periodontal disease and incident lung cancer risk: a meta-analysis of cohort studies. J Periodontol. 2016;87(10):1158-1164.



