Pleomorphes Adenom der kleinen Speicheldrüsen
Ein 52-jähriger Patient wurde uns von einer ortsansässigen Zahnarztpraxis mit der Bitte um Abklärung einer Schwellung am Übergang vom harten zum weichen Gaumen überwiesen. Bei unserer Untersuchung sahen wir einen anamnestisch unauffälligen Patienten in einem guten Allgemeinzustand.
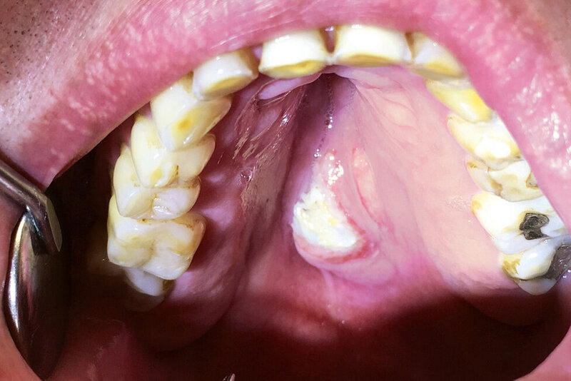
Bei der extraoralen Inspektion ergaben sich keine Besonderheiten. Intraoral zeigte sich eine etwa 3 cm große, erhabene, unverschiebliche, schmerzfreie Schwellung in der Gaumenmitte, am Übergang vom harten zum weichen Gaumen. Diese war vom Tastbefund prall elastisch, die Oberfläche ulzeriert und fibrinbelegt. Die Ränder des Befunds waren gerötet. Die Palpation der Halsregion ergab keine Auffälligkeit.
Die digitale Volumentomografie zeigte einen weichgeweblichen Tumor – bei vollständiger Erhaltung der Kontinuität des knöchernen Gaumens. Nach ausführlicher Aufklärung des Patienten wurde die Veränderung mit Verdacht auf ein pleomorphes Adenom in Lokalanästhesie vollständig exzidiert und der pathohistologischen Befundung zugeführt. Postoperativ wurde eine Verbandplatte eingebracht, unter der die Wunde sekundär granulierte. Die Heilung verlief komplikationslos. Nach vier Wochen war die Wunde vollständig epithelialisiert.
Die histopathologische Untersuchung ergab ein pleomorphes Adenom ohne Anhalt auf Malignität, mit einer Verletzung der bedeckenden Schleimhaut. Es zeigten sich typische mesenchymale und myxochondroide Anteile, darin eingelagert duktale Strukturen und stellenweise myoepitheliale Zellkomponenten. Immunhistochemisch zeigten die Zellen eine positive Reaktion auf Panzytokeratin, Zytokeratin 8, S-100 und glattes Muskelaktin.
Diskussion
Das pleomorphe Adenom ist der häufigste Speicheldrüsentumor. Der gutartige Tumor wächst sehr langsam und schmerzlos und bleibt vom Patienten meist lange Zeit unbemerkt, da es zu keinen Beeinträchtigungen kommt [Kirchner, 2018]. Das Tumorstroma ist vielgestaltig (pleomorph), setzt sich also aus mukoiden, myxoiden, fibrösen und chondroiden Anteilen zusammen [Schwenzer/Ehrenfeld, 2011].
Ein Adenom geht von den Epithelien der Speichelgänge aus. Die mesenchymale Zusammensetzung bestimmt die Konsistenz des Tumors. Es finden sich tubuläre Epithelstrukturen in schleimdurchtränktem Bindegewebe. Der Tumor ist von einer inhomogenen Schicht aus Bindegewebe umgeben, einer Pseudokapsel, die aus dem verdrängten Bindegewebe hervorgeht und den Tumor nicht vollständig umgeben muss. Einige Teile können sich fingerförmig ausbreiten [Riede/Werner, 2017]. Die histologische Untersuchung ist für die Diagnose richtungsweisend.

Als Therapie der Wahl gilt die vollständige Exzision [Zenner, 2008]. Diese ist durch die mögliche fingerförmige Ausbreitung erschwert. Ein pleomorphes Adenom spricht weder auf Chemotherapie noch auf Bestrahlung an. Die Lymphknoten sind bei einem pleomorphen Adenom nicht vergrößert [Cohnen, 2012].
Das pleomorphe Adenom tritt gehäuft in der dritten bis sechsten Lebensdekade und etwas häufiger bei Frauen auf. Neben einem Auftreten zu 90 Prozent in der Parotis findet es sich zu circa 9 Prozent in den kleinen Speicheldrüsen, davon am häufigsten am Übergang vom harten in den weichen Gaumen [Siewert, 2012]. Es gibt kein erhöhtes Auftreten bei Rauchern [Riede/Werner, 2017].
Maligne und benigne Tumoren der kleinen Speicheldrüsen treten am häufigsten am Gaumen auf. Das pleomorphe Adenom ist der häufigste Tumor in den kleinen Speicheldrüsen überhaupt [Pires et al., 2007]. Bei einem Auftreten in den kleinen Speicheldrüsen ist das Transformationsrisiko größer als bei Lokalisation in den großen Speicheldrüsen. Während der Anteil der malignen Tumoren in der Parotis 20 Prozent beträgt, ist der Anteil 45 Prozent in den kleinen Speicheldrüsen.
Lokale Rezidive können nach einem längeren Zeitraum auftreten, wenn bei der Exzision Gewebsreste zurückbleiben [Struntz, 2001], deshalb spricht man in diesem Fall von Pseudorezidiven. Eine Zunahme in der Wachstumsgeschwindigkeit kann auf eine maligne Transformation, etwa in ein Adenokarzinom, hindeuten [Schwenzer/Ehrenfeld, 2011]. Dieses zeigt ein invasives Wachstum und zelluläre Atypien. Darüber hinaus kann auch ein adenoid-zystisches Karzinom, ein Plattenepithelkarzinom oder ein undifferenziertes Karzinom in einem pleomorphen Adenom entstehen. Als Ursache für maligne Transformationen wird eine vorangegangene Strahlenexposition diskutiert [Siewert, 2012].
Dr. Edwina Haamann
DENTAGAP
Praxis für die Zahn-, Mund- und Kieferheilkunde Dr. Jürgen Schartmann
Alpspitzstr. 7, 82467 Garmisch-Partenkirchen
Literaturverzeichnis
Cohnen, Mathias, 2012: Kopf-Hals-Radiologie
Kirchner, Thomas; Müller-Hermelink, Hans; Roessner, Albert, 2018: Kurzlehrbuch Pathologie
Pires, Fábio Ramôa; Pringle, Gordon A.; Paes de Almeida, Oslei; Chen, Sow-Yeh, Oral Oncology (2007) 43, 463-470: Intra-oral minor salivary gland tumors: A clinicopathological study of 546 cases
Riede, Ursus-Nikolaus; Werner, Martin, 2017: Allgemeine und spezielle Pathologie
Schwenzer, Norbert; Ehrenfeld, Michael, 2011: Mund-Kiefer-Gesichtschirurgie
Siewert, Jörg Rüdiger; Stein, Hubert, 2012: Chirurgie
Strutz, Jürgen, 2001: Praxis der HNO-Heilkunde, Kopf- und Halschirurgie: 275 Tabellen
Zenner, Hans-Peter, 2008: Praktische Therapie von HNO-Krankheiten







