Prothetik beim Kleinkind
Ein dreijähriges Mädchen wurde von seinen Eltern in der Abteilung Kinderzahnheilkunde des Zentrums für Zahn-, Mund- und Kieferheilkunde (ZZMK) der Universität Greifswald mit dem Wunsch nach "neuen Zähnen" vorgestellt. Bei diesem kleinen Mädchen wurden alio loco zwei Monate zuvor wegen akuter Zahnschmerzen und mangelnder Kooperation diverse tief kariös zerstörte Milchzähne in Intubationsnarkose (ITN) entfernt.
Untersuchung, Beratung und Therapie
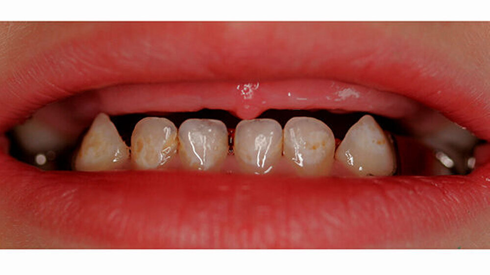
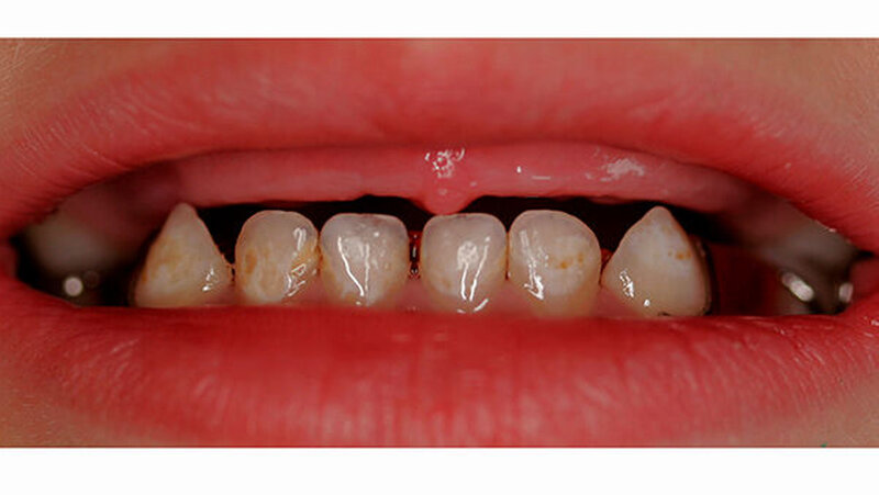
Eine intraorale Untersuchung bei Erstvorstellung ergab, dass im Oberkiefer alle Zähne bis auf die Milch-5er, im Unterkiefer hingegen nur 74 und 84 extrahiert wurden. Zur Abschätzung der Kooperation und Desensibilisierung für eine potenzielle Behandlung wurden die Zähne mit einer Plaque-Anfärbelösung bemalt und mit einem rotierenden Bürstchen geputzt. Dazu wurden verschiedene Techniken der Verhaltensformung (wie Tell-Show-Do und Pausen-Hand) [AAPD, 2005a] und der hypnotischen Kommunikation genutzt.
Außerdem wurden die Eltern zu Mundhygiene- und Ernährungsgewohnheiten befragt, beraten und instruiert. Die Eltern berichteten, dass sie die Nuckelflasche bereits seit einigen Monaten nicht mehr nutzten und die Zähne ihres Kindes nun täglich mit Zahnpasta nachputzten. Nach der Plaquentfernung konnten insbesondere die kariösen Initialläsionen auf den Frontzähnen im Unterkiefer besser diagnostiziert werden.
Nach der Untersuchung erfolgte eine Beratung zu den Therapiezielen: Lebensqualität mithilfe langfristig gesunder Zähne und ein vertrauensvolles Verhältnis zum Zahnarztbesuch! Da sich nicht nur die Eltern dafür aussprachen, sondern auch das Kind sagte, es wolle gerne "wieder Zähne" haben, wurde angeboten, mittelfristig im Oberkiefer eine Kinderprothese und im Unterkiefer einen herausnehmbaren Lückenhalter anzufertigen, sobald die Kooperation des Kindes dies zulässt.
Den Eltern wurden die Vorteile und Nachteile (insbesondere Kosten) der Oberkieferprothese erklärt. Ein herausnehmbarer Unterkieferlückenhalter als präventive Maßnahme zur Vermeidung von Lückeneinengung regio 74, 84 wurde, wie generell in der Amerikanischen Leitlinie empfohlen [AAPD, 2005b], angeraten.
In der partizipativen Entscheidungsfindung zwischen Eltern und Zahnarzt wurde beschlossen, in privat zu bezahlenden Desensibilisierungsterminen die Mitarbeit des Kindes zu verbessern, um die Abformungen durchführen zu können. Die Mitarbeit bei diesem Behandlungsschritt sollte auch einen Hinweis auf ein späteres regelmäßiges Tragen der herausnehmbaren Apparaturen geben können.
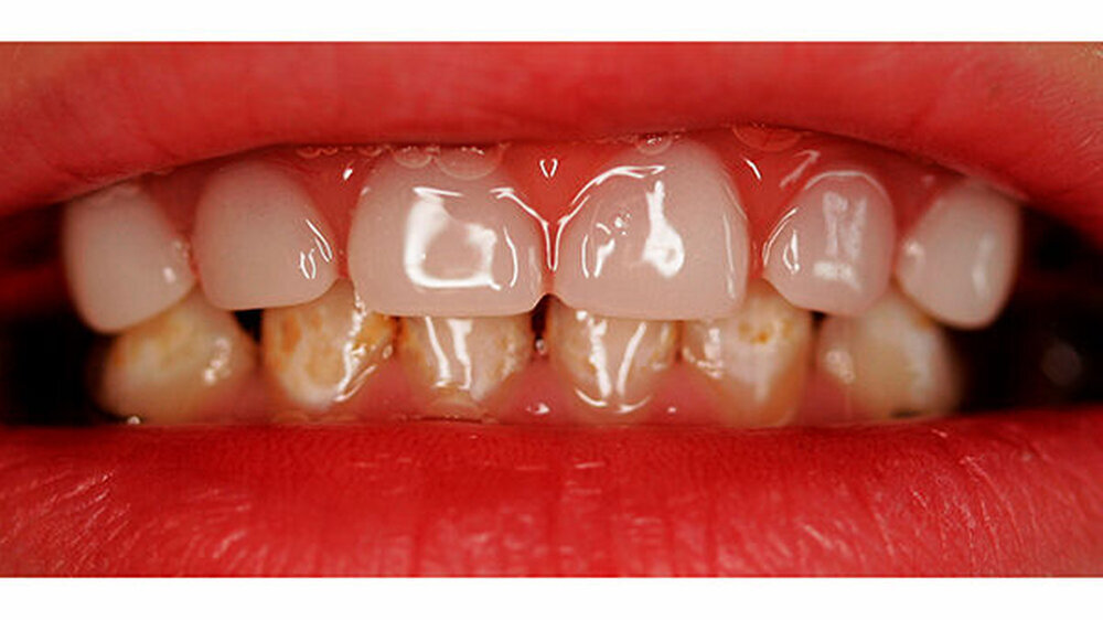
Nach zwei Desensibilisierungen inklusive Individual-Prophylaxe konnten bei dem Mädchen die Alginatabformungen im Ober- und Unterkiefer erfolgen. Eine Woche später wurden die Oberkieferkinderprothese und der herausnehmbare Unterkieferlückenhalter eingesetzt.
Ein Recall-Intervall von drei Monaten wurde empfohlen. Bei den Folgebesuchen wies das Kind weiterhin eine altersgerechte gute Mitarbeit auf, trug laut Aussage der Eltern die Prothese und den Lückenhalter täglich und war zufrieden mit dem Aussehen. Die Sprachentwicklung insbesondere die Lage und Funktion der Zunge konnten laut Aussage der Mutter verbessert werden.
Diskussion
Die Entscheidung zur Anfertigung einer Kinderprothese beim Kleinkind sollte nach sorgfältiger Abwägung erfolgen. Auch wenn neben den Aspekten der Ästhetik mitunter auch die Sprache und die Kaufunktion verbessert werden können [Sacramento, 2011], gelingt dies nur, sofern die Prothese auch tatsächlich getragen wird. Der ausdrückliche Wunsch und der Wille des Kindes, die Kinderprothese zu tragen, sind dafür sehr wichtig. Die Mitarbeit bei der Abformung ist ein möglicher Indikator dafür, ob ein größerer Fremdkörper im Mund potenziell toleriert wird.
Laut Stellungnahme der DGZMK zur Indikation und Gestaltung von Lückenhaltern nach vorzeitigem Milchzahnverlust wird ein Lückenhalter erst empfohlen, wenn sich nach Abwarten über sechs Monaten eine Lückeneinengung von >1mm ereignet [DGZMK, 2004]. Dies steht im Widerspruch zu der Amerikanischen Leitlinie, die generell den Einsatz von Lückenhaltern zur Vermeidung von Platzeinengung empfiehlt. Studien zeigen, dass zudem der Hauptteil der Lückeneinengung in den ersten Monaten geschieht [Padma Kumari und Retnakumari, 2006; Cuoghi et al., 1998].
Ungenügende Evidenz liegt zurzeit darüber vor, bei welchen Patienten die Wahrscheinlichkeit für Lückeneinengung am größten ist und ein Lückenmanagement folglich zwingend erfolgen sollte. Bei grober Abwägung von Kosten und Nutzen sind die Kosten selbst bei einer Vielzahl an „unnötig präventiv“ eingesetzten Lückenhaltern für die Krankenkassen insgesamt geringer als bei den in der Regel sehr kostenintensiven KFO-Behandlungen nach Lückeneinengung für vergleichsweise wenige Patienten.
MHD Said Mourad
Zahnarzt und Student Master of Sc. Kinderzahnheilkunde
<i/>
Dr. Julian SchmoeckelZZMK Universität GreifswaldAbt. für Präventive Zahnmedizin & KinderzahnheilkundeWalther-Rathenau-Straße 42, 17475 Greifswaldjulian.schmoeckel@uni-greifswald.de
Literatur
AAPD (American Academy of Pediatric Dentistry Clinical Affairs Committee) --Behavior Management S, American Academy of Pediatric Dentistry Council on Clinical Affairs--Committee on Behavior G. Guideline on behavior guidance for the pediatric dental patient. Pediatr Dent 2005;27(7 Suppl):92-100.
AAPD (American Academy of Pediatric Dentistry Clinical Affairs Committee) --Developing Dentition S, American Academy of Pediatric Dentistry Council on Clinical A. Guideline on management of the developing dentition and occlusion in pediatric dentistry. Pediatr Dent 2005;27(7 Suppl):143-55.
Cuoghi OA, Bertoz FA, de Mendonca MR, Santos EC. Loss of space and dental arch length after the loss of the lower first primary molar: a longitudinal study. J Clin Pediatr Dent 1998;22(2):117-20.
DGZMK (Deutsche Gesellschaft für Zahn-, Mund- und Kieferheilkunde). Indikation und Gestaltung von Lückenhaltern nach vorzeitigem Milchzahnverlust. 2004. www.dgzmk.de/zahnaerzte/wissenschaft-forschung/mitteilungen/details/document/indikation-und-gestaltung-vonlueckenhaltern-nach-vorzeitigem-milchzahnverlust-1.html
Padma Kumari B, Retnakumari N. Loss of space and changes in the dental arch after premature loss of the lower primary molar: a longitudinal study. J Indian Soc Pedod Prev Dent 2006;24(2):90-6.
Sacramento PA, de Castilho AR, Frasseto F, Gaviao MB, Nobre-dos-Santos M, Rontani RM. One-year clinical evaluation of oral rehabilitation after the loss of multiple primary teeth. Gen Dent 2011;59(3):230-3.













