Rund sieben Millionen GKV-Versicherte haben Diabetes Typ 2
Diese Daten zur Entwicklung von Diabetes mellitus in Deutschland hat das Zentralinstitut für die kassenärztliche Versorgung (Zi) veröffentlicht. Die Ergebnisse der Versorgungsatlas-Kurzstudie „Prävalenz und Inzidenz des diagnostizierten Diabetes mellitus Typ 2 im Zeitraum 2011 bis 2023“ zeigen auch die regionale Verteilung.
Prävalenzzahlen sind in ostdeutschen Flächenländern tendenziell höher
Im vergangenen Jahr wurden rund 7,03 Millionen gesetzlich versicherte Patienten wegen eines Diabetes mellitus Typ 2 vertragsärztlich behandelt. Zudem steigt die Inzidenz wieder. 2022 gab es fast 510.000 Neudiagnosen. Männer erkranken deutlich häufiger als Frauen, zudem zeigte sich eine erhöhte Erkrankungshäufigkeit in Ostdeutschland.
Die bundesweite Prävalenz lag 2023 bei 9,48 Prozent und damit fast auf dem Höhepunkt von 2016. Die Erkrankungshäufigkeit stieg von 9,12 Prozent im Jahr 2011 auf 9,56 Prozent 2016 und ging bis 2022 leicht zurück. Der relative Anstieg von 2011 bis 2023 betrug 4 Prozent.
Die alters- und geschlechtsstandardisierten Prävalenzzahlen sind in den ostdeutschen Flächenländern tendenziell höher als im restlichen Bundesgebiet, zeigen die Daten. Sie gingen jedoch in Sachsen, Mecklenburg-Vorpommern und Brandenburg insgesamt leicht zurück, während zum Beispiel im Saarland, Nordrhein und Hessen deutliche Anstiege zu verzeichnen sind. Die niedrigste Prävalenz ist in Schleswig-Holstein und Hamburg dokumentiert.
Wieder mehr Neuerkrankungen nach Corona-Pandemie
Nachdem die Zahl der Neuerkrankungen über einige Jahre rückläufig war, weisen die Abrechnungsdaten seit 2020 wieder einen Anstieg der Inzidenz aus. Die Untersuchung regionaler Unterschiede zeigte die höchste alters- und geschlechtsstandardisierte Inzidenz in Sachsen-Anhalt und im Saarland, die niedrigste in Schleswig-Holstein.
Nach Altersgruppen differenziert zeigt sich, dass der Rückgang der Diabetes-Inzidenz in den Jahren 2015 bis 2017 vor allem in den Altersgruppen über 50 Jahre ausgeprägt ist, während sie in den jüngeren Altersgruppen relativ konstant bleibt. Auch der starke Inzidenz-Rückgang 2020 und der darauffolgende Anstieg ist vor allem in den höheren Altersgruppen zu beobachten.
Mit Blick auf die negative die Entwicklung erklärte der Zi-Vorstandsvorsitzende Dr. Dominik von Stillfried: „Das ist für die medizinische Versorgung in den besonders betroffenen Regionen eine große Herausforderung, da mit einer bestehenden Diabeteserkrankung oftmals Folge- und Begleiterkrankungen einhergehen, die zusätzliche Anforderungen an die verfügbaren Kapazitäten in den Praxen und Krankenhäusern der Region stellen.“
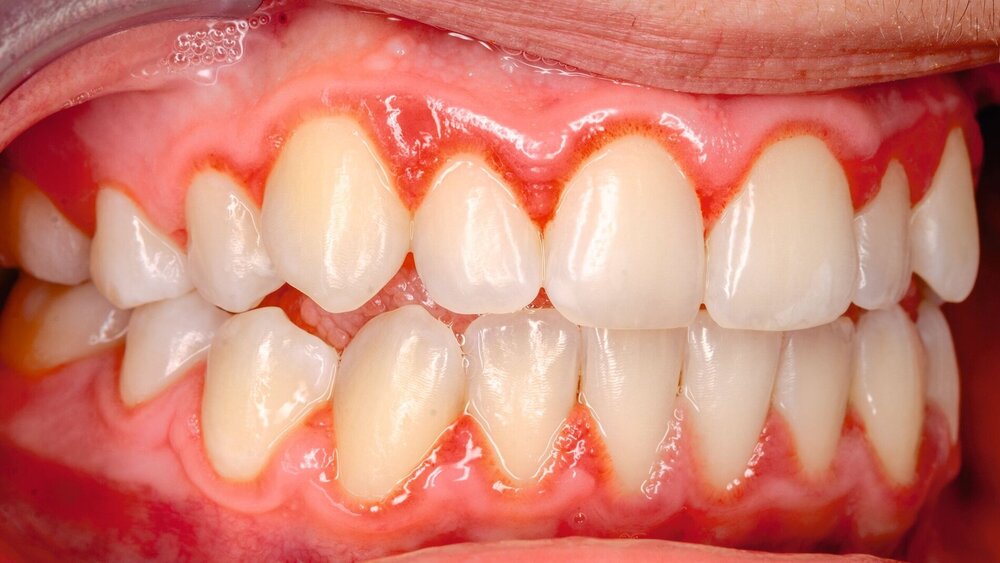
Diabetiker haben dreifach erhöhtes Risiko für Parodontitis
So haben Menschen mit Diabetes ein dreifach erhöhtes Risiko für eine Parodontitis. Etwa 75 Prozent aller Menschen mit Diabetes leiden unter Entzündungen an der Mundschleimhaut. Ein Drittel davon sind von einer schweren Parodontitis betroffen. Bei einem Typ-1-Diabetes kann eine Parodontitis bereits im frühen Kindes- und Jugendalter auftreten, besonders wenn der Diabetes schlecht eingestellt ist und es häufig zu erhöhten Blutzuckerwerten kommt.
Datengrundlage der Kurzstudie waren die bundesweiten vertragsärztlichen Abrechnungsdaten der Jahre 2011 bis 2023 nach §295 SGB V. Sie umfasst gesetzlich Krankenversicherte mit mindestens einem abgerechneten ambulanten Arztkontakt im jeweiligen Jahr. Als prävalent erkrankt mit Diabetes mellitus Typ 2 wurde eingeordnet, wer innerhalb eines Kalenderjahres in mindestens zwei Quartalen eine gesicherte Diagnose aufwies.
Die Prävalenz wurde für die Jahre 2011 bis 2023 berechnet. Als inzident erkrankt sind Personen eingestuft worden, für die in den vorangegangenen drei Kalenderjahren keine entsprechende Diagnose vorlag und die mindestens eine weitere gesicherte Diagnose in den drei Quartalen nach dem Inzidenzquartal aufwiesen. Die Prävalenz und Inzidenz ist alters- und geschlechtsstandardisiert berechnet worden.
Hering R, et al: „Kurzbericht: Prävalenz und Inzidenz des Diabetes mellitus Typ 2 – Daten von 2011 bis 2023“. Zentralinstitut für die kassenärztliche Versorgung in Deutschland (Zi). Versorgungsatlas-Bericht Nr. 24/02. Berlin 2024 doi.org/10.20364/VA-24.02






