Schmelzdefekte aufgrund einer Zöliakie?
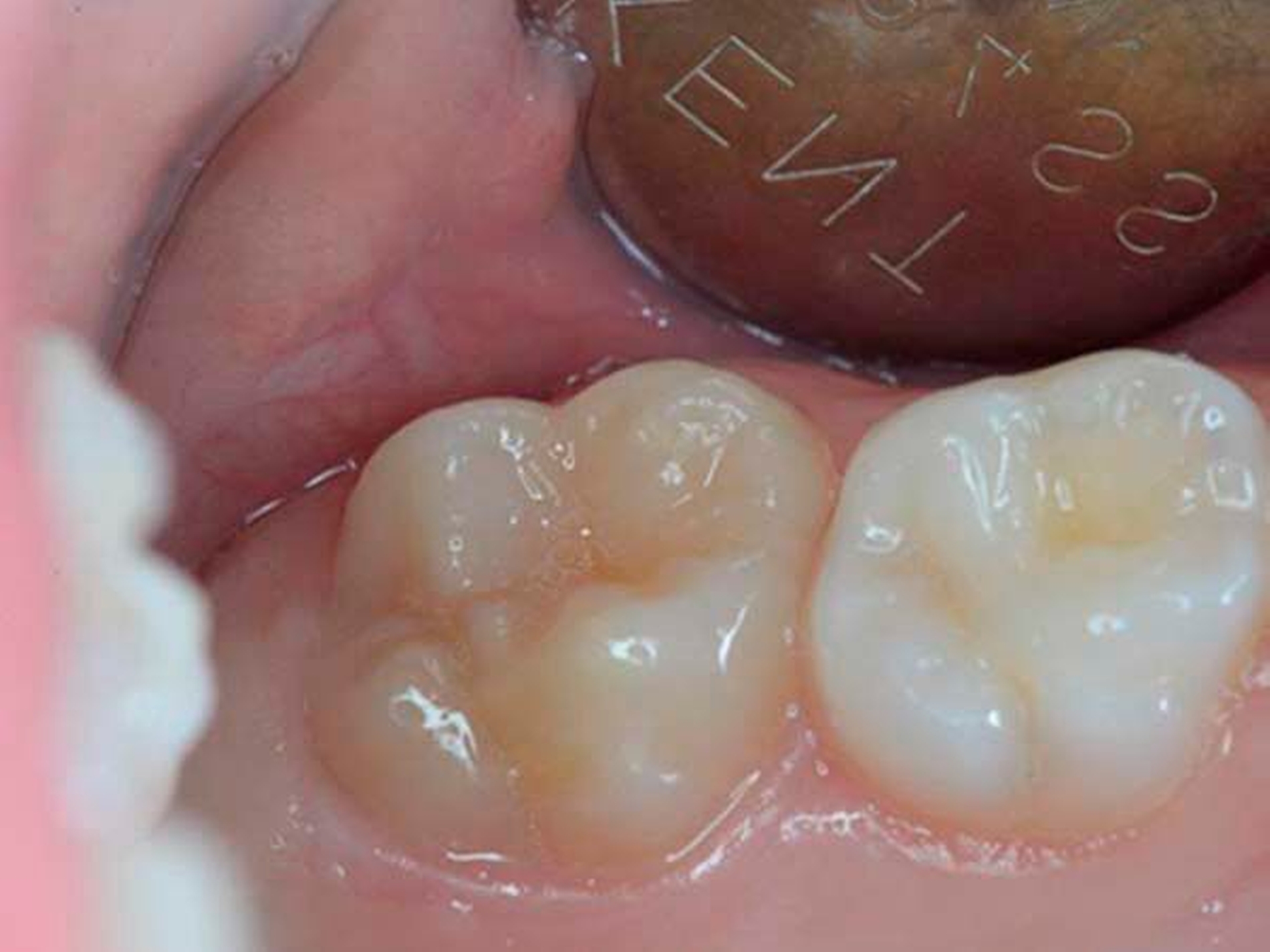
Verschiedene Theorien, wie zum Beispiel eine Antibiotikagabe während der Schwangerschaft, Bisphenol-A-Belastungen, Dioxine und Furane aus der Umwelt, ein bestehender Vitamin-D-Mangel und auch Infektionen mit Windpocken wurden als Ursache dafür diskutiert, dass Kinderzähne - vorwiegend die Sechsjahrmolaren oder die Schneidezähne - sich nicht normal entwickeln, sondern dass der Schmelz weich oder gar bröckelig ist und dem Zahn keinen Schutz bietet. Diese Zähne sind dann sehr empfindlich, die Kinder haben Schmerzen und die Zahnärzte ein Problem. Das Aufmacherbild zeigt einen zehnjährigen Patienten: Zahn 26 ist deutlich verfärbt mit hypomineralisierter Zentralfissur.
In der zahnärztlichen Ursachenforschung droht eine sehr wichtige Ursache für die Entstehung von Schmelzdefekten aus dem Fokus zu rutschen: die Zöliakie. Der Beginn einer Zöliakie verläuft laut Auskunft von Dr. Martin Claßen, Chefarzt der Pädiatrischen Gastroenterologie im Bremer Klinikum „Links der Weser“, fast immer oligosymptomatisch und zeigt bei vielen Kindern anfangs keinerlei darmspezifische Symptome. Es ist daher nicht verwunderlich, dass viele an Zöliakie erkrankte Kinder noch ohne nachgewiesene Diagnose auf dem Zahnarztstuhl durch pathologische Schmelzstrukturen auffallen.
Uns Zahnmedizinern kommt daher bei der Erstdiagnose der Zöliakie eine wichtige Schlüsselrolle zu. So ist es ratsam, beim Auftreten von Schmelzdefekten ein serologisches Screening auf Zöliakie durchführen zu lassen. Das wären erstens eine Gewebstransglutaminase-AK und zweitens eine Gesamt IgA- Bestimmung. Vielleicht kommt man so in der Ursachenforschung weiter!
Dr. Hans-Werner BertelsenAmbulante Klinik am St. Joseph-StiftSchwachhauser Heerstraße 54, 28209 Bremenbertelsen@t-online.de
Literatur:





