Sind orale Bakterien unterschätzte Verursacher von Hirnabszessen?
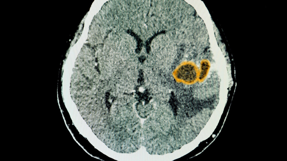
Eine Studie der Universität Plymouth und dem University Hospitals Plymouth NHS Trust zeigt, dass orale Bakterien auch dazu beitragen können, dass Patienten potenziell lebensbedrohliche Abszesse im Gehirn entwickeln. Intrazerebrale Abszesse sind zwar relativ selten, gehen aber mit einer hohen Mortalität und Morbidität einher.
Die Forschenden untersuchten den Zusammenhang von intrazerebralen Abszessen und Bakterien, die in der Mundhöhle vorkommen. Die Ergebnisse zeigen, dass orale Bakterien, die häufig im Zusammenhang mit odontogenen Abszessen vorkommen, auch in Abszessen im Gehirn vermehrt nachgewiesen werden konnten.
Untersucht wurden die Aufzeichnungen von 87 Patientinnen und Patienten, die mit einem Hirnabszess in der neurochirurgischen Abteilung eines britischen Krankenhauses behandelt wurden, außerdem wurden mikrobiologische Daten aus Abszess-Proben und peripheren Kulturen gesammelt.
Hohe Konzentrationen von Streptococcus anginosus
Bei 35 Patientinnen und Patienten konnte eine Ursache für den Abszess ausgemacht werden. Bei den 52 Patienten, bei denen man keine Ursache gefunden hatte, war die Wahrscheinlichkeit, dass orale Bakterien in den Proben vorhanden waren, etwa dreimal so hoch.Diese Patienten wiesen auch eine deutlich höhere Anzahl von Streptococcus anginosus auf. Dieses Bakterium findet sich häufig in odontogenen Abszessen, führt aber auch zu Pharyngitis, Bakteriämie und Infektionen innerer Organe wie Gehirn, Lunge und Leber.
Für die Forschendendeuten die Ergebnisse darauf hin, dass die Mundhöhle als Infektionsquelle für Hirnabszesse in Betracht gezogen werden könnte, für die keine eindeutige Ursache gefunden wurde.
„Während viele mögliche Ursachen für Hirnabszesse bekannt sind, bleibt der Ursprung der Infektion klinisch oft unerkannt", resümiert Hauptautorin Dr. Holly Roy aus Plymouth. "Dennoch war es überraschend, dass bei Hirnabszessen ungeklärter Herkunft häufig oral vorkommende Bakterien gefunden wurden. Die Studie unterstreicht, wie wichtig es ist, empfindlichere Techniken einzusetzen, um die Mundhöhle als potenzielle Bakterienquelle bei Hirnabszess-Patienten zu beurteilen. Sie unterstreicht auch, wie wichtig es ist, die Zahnpflege und die Mundhygiene im Allgemeinen zu verbessern.“
Die Studie ist Teil laufender Forschungsarbeiten einer Gruppe von WissenschaftlerInnen der Universität Plymouth, die die Zusammenhänge zwischen dem oralen Mikrobiom und einer Reihe von kardiovaskulären und neurologischen Erkrankungen untersucht.
Roy H, Bescos R, McColl E, Rehman U, Cray E, Belfield LA, Nweze KD, Tsang K, Singleton W, Whitfield P, Brookes Z. Oral microbes and the formation of cerebral abscesses: A single-centre retrospective study. J Dent. 2022 Nov 17;128:104366. doi: 10.1016/j.jdent.2022.104366. Epub ahead of print. PMID: 36402257.
Nau R. et al., Hirnabszess, S1-Leitlinie, 2021, in: Deutsche Gesellschaft für Neurologie (Hrsg.), Leitlinien für Diagnostik und Therapie in der Neurologie. Online: www.dgn.org/leitlinien (abgerufen am 8.12.2022)



