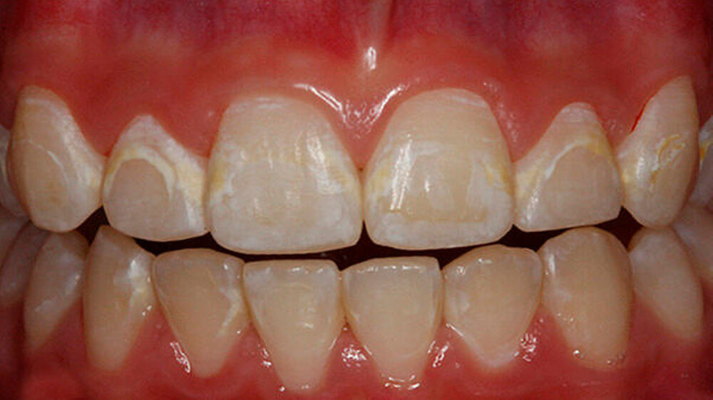
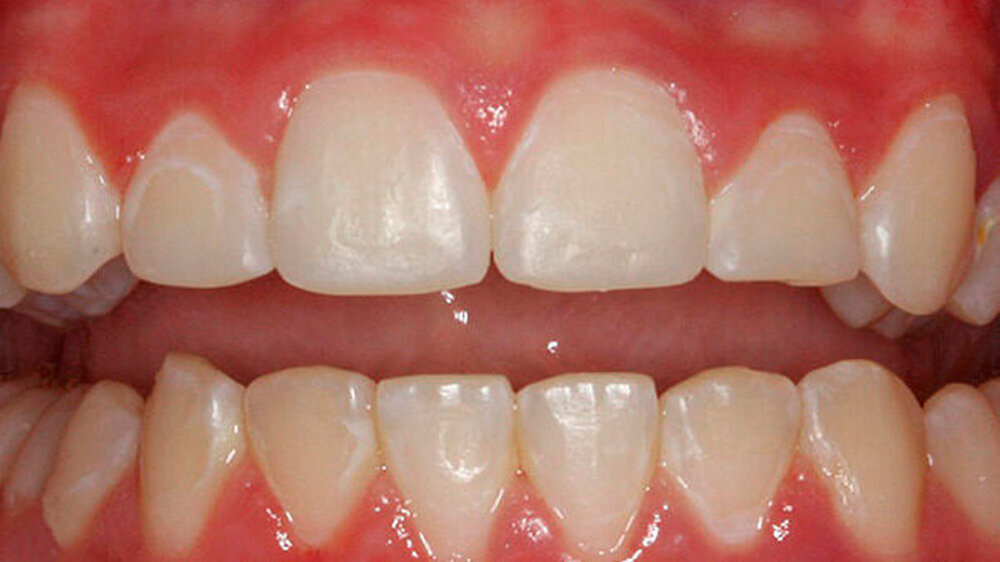
So werden White Spots behandelt
Im Prophylaxe Journal weisen Dr. Silke Hornstein, Prof. Dr. Peter Hahner und Prof. Dr. Georg Gaßmann auf eine amerikanische Studie von Tufekci et al. (2011) hin: Danach haben 46 Prozent der Patienten zwölf Monate nach einer festsitzenden kieferorthopädischen Behandlung mindestens einen White Spot. In der Vergleichsgruppe ohne kieferorthopädische Intervention traten diese bei 11 Prozent auf. Und eine Metaanalyse von Sundararaj et al. (2015) kommt zu einer 68,4 prozentigen Prävalenz bei Patienten in der kieferorthopädischer Behandlung. Als mögliche Einflussfaktoren gelten das Geschlecht (erhöhte Prävalenz bei männlichen Probanden), das Alter während der Therapie (höhere Prävalenz bei Jugendlichen als bei Erwachsenen) und die Behandlungsdauer.
Besonders häufig betroffen sind die obere Frontzähne
Die oberen Schneidezähne seien deutlich häufiger betroffen als die unteren. Das erklärt sich laut Gorelick et al. (1982) wahrscheinlich durch eine schwächere Benetzung mit Speichel, der als Voraussetzung für eine Remineralisation gilt. Die Läsionen, die nach der Bracketbefestigung binnen eines Monats manifest werden können, wurden von den Patienen größtenteils als störend empfunden. Rein aus ästhetischen Gründen wird daher meist der Wunsch nach einer optischen Verbesserung laut.
Schmelznarben bleiben
Die aktive initiale kariöse Läsion kann den Autoren zufolge durch Remineralisationsprozesse bei intensiver Mundhygiene und Fluoridierungsmaßnahmen in einen inaktiven Zustand überführt werden. Den Schmelz wieder in seine ursprüngliche Struktur und damit auch sein ursprüngliches Erscheinungsbild umzuwandeln, ist aber so nicht mehr möglich, weil die Prozesse auf oberflächliche Schichten limitiert sind. Zurück bleiben laut Hammad et al. (2012) sichtbare Bereiche, sogenannte Schmelznarben. Sie weisen ein erhöhtes Risiko für eine weitere Kariesprogression auf. Unterbleiben hier Interventionen, so steigt mit dem weiteren Fortschreiten der Demineralisation die Porosität des Schmelzes und es kommt letztlich zum Einbruch der Schmelzoberfläche (Kavitation), wodurch sich kariesrelevante Bakterien invasiv ansiedeln können.
Kariesinfiltration - Therapie zwischen noninvasiv und invasiv
Ein Verfahren, das bei der Bekämpfung von White Spots eventuell eine therapeutische Lücke zwischen nichtinvasiven Verfahren, wie etwa der Fluoridierung und dem invasiven Vorgehen schließt, sei die mikroinvasive Kariesinfiltration. Dabei werden laut Müller et al. (2010) und Paris und Meyer-Lueckel (2010) Porositäten im Bereich einer Schmelzkaries mit einem niedrigviskosen, lichthärtenden Kunststoff als Infiltrant verschlossen. Somit ist die kariogene Säure blockiert, beziehungsweise der Diffusionsweg in die Tiefe verschlossen und es kommt zu einer Arretierung des Kariesprozesses. In einer In-vitro-Studie von Subramaniam et al. (2014) konnte demnach eine Eindringtiefe des Infiltranten im Bereich von etwa zwei bis sechs Mikrometer gemessen werden.
Indikation bei initialer Kariesläsion, Schmelzläsionen und D1-Läsionen
Indiziert ist die mikroinvasive Kariesinfiltration derzeit in der Behandlung von initialen Kariesläsionen, Schmelzläsionen und D1-Läsionen, wie Meyer-Lueckel et al. (2009) und Kielbassa et al. (2009) darstellen. Die Effektivität wurde dem Beitrag zufolge in verschiedenen Untersuchungen belegt. So zeigten Paris et al. 2013 in einer Studie an Proben von extrahierten Rinderzähnen , dass durch eine Infiltrationsbehandlung sowohl die Mikrohärte gesteigert und die weitere Demineralisation gestoppt werden konnte, wobei die zweimalige Applikation die Effekte zu verbessern scheint. Die Zusammensetzung des Infiltranten hatte danach keinen signifikanten Effekt auf die untersuchten Parameter.
Literatur: Dr. Silke Hornstein, Prof. Dr. Peter Hahner, M.Sc., Prof. Dr. Georg Gaßmann: Mikroinvasivität durch Kariesinfiltration, Prophylaxe Journal 2/2016, S. 6-12




