Störungen der Zahnentwicklung
Amelogenesis imperfecta
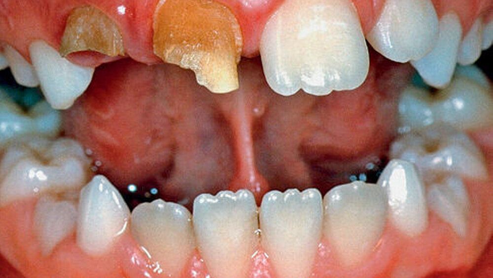
Bei dieser genetisch bedingten Schmelzdysplasie sind in der Regel alle Zähne einer oder beider Dentitionen betroffen, und es ist ein bilateralsymmetrisches Erscheinungsbild vorhanden. Die Ausprägung der Schmelzdefekte kann von Zahn zu Zahn und von Generation zu Generation variieren (Abbildungen 1a bis 1c). Die Struktur des Dentins ist nicht verändert. Die Schmelzdefekte treten als Grübchen von unterschiedlicher Größe in mehr oder weniger normal dickem Schmelz in Erscheinung (Abbildung 2a). Durch Einlagerung von Farbstoffen in diese Grübchen können die Schmelzveränderungen ästhetisch störend wirken (Abbildung 2b). Ähnliche grübchenartige Schmelzhypoplasien können bei Patienten mit Rachitis, Pseudohypoparathyroidismus oder Epidermolysis bullosa beobachtet werden. Bei der hypoplastischen Form der Amelogenesis imperfecta ist die Schmelzhärte normal, die Schmelzdicke jedoch reduziert. Der grübchenartige Typ weist als Ausnahme eine fast normale Schmelzdicke auf (Abbildungen 3 und 4).
Je nach Typ kann der Schmelz an bestimmten Zahnstellen völlig fehlen. Deshalb kann die Zahnform bereits beim Zahndurchbruch stark verändert sein.
Die Amelogenesis imperfecta kann neben der hypoplastischen Form in eine hypomaturierte Form und eine hypokalzifizierte Form eingeteilt werden. Auch Kombinationen der verschiedenen Formen der Amelogenesis imperfecta wurden beschrieben. Bei der hypomaturierten Form ist die Schmelzhärte weicher als normal, die Schmelzdicke entspricht beim Durchbruch der Zähne der Norm. Bei der hypokalzifizierten Form ist der Schmelz sehr weich und die Schmelzdicke beim Zahndurchbruch normal. Deshalb sind vor allem bei der hypomaturierten und hypokalzifizierten Form die Abrasion und Attrition stark erhöht. Bei beiden Formen ist die Zahnfarbe beim Durchbruch der Zähne opakweiß bis gelblich. Mit zunehmendem Alter werden die Zähne braun. Die Prävalenz der Amelogenesis imperfecta beträgt je nach Population und Typ zwischen 1: 700 bis 1 : 20.000.
Dentinogenesis imperfecta
Bei dieser genetisch bedingten Dentindysplasie sind in der Regel beide Dentitionen betroffen und ein bilateralsymmetrisches Erscheinungsbild vorhanden.
Die Dentinogenesis imperfecta (Abbildungen 5 bis 10) kann ein Symptom der Osteogenesis imperfecta (Glasknochenkrankheit) sein (Typ I). Bei der Osteogenesis imperfecta sind zudem erhöhte Knochenbrüchigkeit, Schwerhörigkeit, Kleinwuchs, blaue Skleren, Hyperextensibilität der Gelenke, Herzklappenfehlbildungen, Kurzsichtigkeit und andere Symptome zu beobachten. Die Dentinogenesis imperfecta tritt aber auch ohne Osteogenesis imperfecta auf (Typ II oder hereditär opaleszierendes Dentin). Die Prävalenz des hereditär opaleszierenden Dentins beträgt 1:8.000. Als Ursache für alle Typen der Dentinogenesis imperfecta wird ein Gendefekt bei der Dentinmatrixbildung vermutet.
Zuerst bilden die vorhandenen Odontoblasten normales Dentin. Später werden die Odontoblasten zunehmend durch mesenchymale Zellen ersetzt, welche atypisches Dentin mit irregulär verlaufenden Dentintubuli bilden (Abbildungen 7a, b und 9). Die Dentinogenesis imperfecta führt zu einer blaubraunen Verfärbung der Milchzähne und zu einer bernstein-/perlmuttartigen Verfärbung der permanenten Zähne (Abbildungen 5, 6a,b und 8). Das vorhandene Dentin ist weicher als normal. Die histologischen Schnitte zeigen eine oft wellige Schmelz-Dentin-Grenze, was auf einen Defekt des Schmelz-Dentinverbundes schließen lässt (Abbildung 10). Infolge der mangelhaften Schmelz-Dentinverbindung splittert häufig Schmelz ab. Diese Schmelzabsplitterungen können zu Kariesbildung an atypischer Lokalisation führen (Abbildungen 6a, b). Zudem unterliegen die Zähne einer erhöhten Attrition. Irreguläre Dentinbildung kann nach dem Zahndurchbruch die gesamte Pulpakammer obliterieren. Beim gleichen Patienten können jedoch vollständig obliterierte neben normalen Pulpakammern beobachtet werden.
Odontodysplasie
Bei der Odontodysplasie handelt es sich um eine gleichzeitige Schmelz- und Dentindysplasie. So sind Schmelz-, Dentin und Pulpaveränderungen zu erkennen. Die Odontodysplasie (Abbildungen 11 bis 15) ist eine seltene Erkrankung, welche in der Regel an einem oder mehreren Zähnen eines Quadranten auftritt. Diese Erkrankung betrifft vor allem Zähne im Oberkiefer (Abbildungen 11 und 12) und ist etwas häufiger bei Frauen zu beobachten. Sowohl Milchzähne als auch permanente Zähne können davon befallen sein. Genaue Zahlen über die Vorkommenshäufigkeit der Odontodysplasie sind nicht bekannt, da diese Erkrankung so selten ist. Die Ätiologie der Odontodysplasie ist nach wie vor unklar.
Die betroffenen Zähne weisen gelbbraune Verfärbungen auf (Abbildungen 11, 12 und 14) und sind kleiner als normal. Der vorhandene Schmelz ist hypoplastisch und unterverkalkt. Schmelz und Dentin sind sehr weich. Die Zahnkronen sind missgebildet. Die Wurzeln sind in der Regel sehr kurz. Die Zahnoberfläche kann Furchen, Eindellungen und Grübchen aufweisen. Der Durchbruch und die Wurzelbildung der befallenen Zähne sind verzögert. Infolge der stark veränderten Zahnhartsubstanz ist eine stark erhöhte Kariesanfälligkeit vorhanden. Kurz nach dem die betroffenen Zähne die Gingiva durchbrochen haben, kann es deshalb rasch zur Kariesbildung kommen. Daraus resultieren häufig Pulpanekrosen und Abszesse.
Im Röntgenbild kann der Schmelz kaum vom Dentin unterschieden werden. Die Zähne erscheinen verschwommen und fleckig. Dies führt zu einem geisterhaften Erscheinungsbild, weshalb solche Zähne auch „ghost teeth“ genannt werden (Abbildung 13). In der Pulpa findet man häufig Dentikel (Abbildung 15). Die stark verkürzten Wurzeln haben ein weit offenes Foramen apicale (Abbildung 15).
Dr. Markus Schaffner,
Prof. Dr. Adrian Lussi
Klinik für Zahnerhaltung, Präventiv- und Kinderzahnmedizin
Zahnmedizinische Kliniken der Universität Bern
Freiburgstraße 7, 3010 Bern, Schweiz
Literatur:
1. Schroeder HE, Pathobiologie oraler Strukturen. Karger Verlag, Basel, 18–24, 26–30, 32 (1997)
2. Von Arx Th, Odontodysplasie. Schweizerische Monatsschrift Zahnmedizin 102: 723–726 (1992)
3. Van Waes HJM, Stöckli PW, Kinderzahnmedizin, Farbatlanten der Zahnmedizin. Thieme Verlag, Stuttgart, 79 (2001)Dieser Beitrag wurde erstmals im „Deutschen Zahnärzte Kalender 2016“, Seiten 41 bis 50, veröffentlicht. Der Nachdruck erfolgt mit freundlicher Genehmigung des Deutschen Ärzteverlags.























