Submentale Dermoidzyste
Hintergrund:
Submentale Dermoidzysten sind ungewöhnliche Mittellinienzysten, die durch das Einklemmen des Ektoderms zwischen dem zweiten und dritten Kiemenbogen während der Embryogenese auftreten. Die meisten Dermoidzysten des Kopfes und des Halses sind gutartig, aber es kann, wenn auch selten, eine bösartige Verwandlung auftreten. Die Autoren des Fallreports berichten, dass es die erste Beschreibung eines Karzinosarkoms ist, das in einem submentalen Dermoid entstanden ist.
Therapie und Diagnose:
Ein 42-jähriger Inder stellte sich mit einer großen zystischen Schwellung in seiner submentalen Region vor, die als eine umfangreiche submentale Dermoidzyste diagnostiziert wurde. Die Zyste war seit elf Jahren asymptomatisch. Der Patient berichtete über eine plötzliche Vergrößerung und Schmerzen in den letzten zwei Monaten.
Die Computertomografie (CT) zeigte eine gut abgegrenzte Zyste, die im submentalen Bereich 4 × 5,4 × 6 cm maß. Eine feste Masse von 1,4 × 2,9 cm wurde ebenfalls festgestellt. Die angrenzenden Weichteile und seine Lymphknoten waren nicht beteiligt.
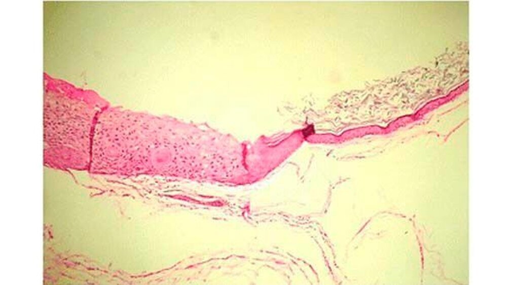
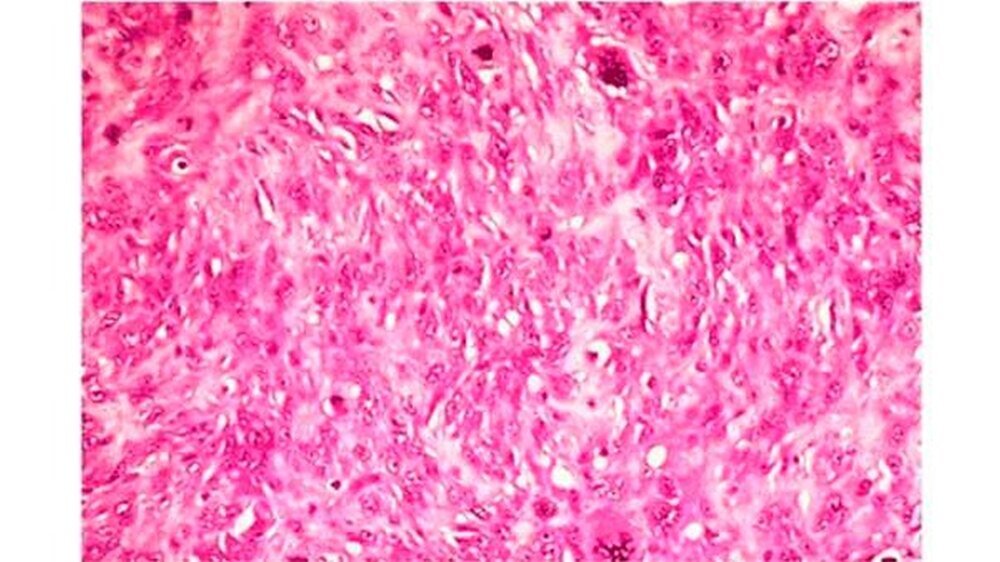
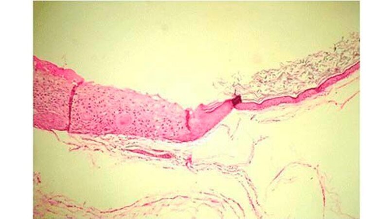
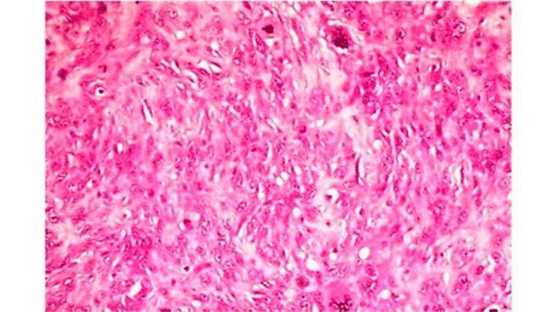
Bei der chirurgischen Entfernung wurde ein primäres Karzinosarkom identifiziert, das sich aus einem Teil der Zystenwand ergab. Auf der makroskopischen Darstellung erschien die Läsion gut eingekapselt ohne offensichtliche extrakapsuläre Invasionen.
Die Strahlentherapie begann vier Wochen und drei Tage nach der Operation nach vollständiger Heilung der OP-Wunden. Eine identische Dosis wurde verabreicht im primären und bilateralen Nacken auf Level I bis III (fünf Einheiten pro Woche, sechs Wochen Behandlung). Die strahleninduzierte Schleimhautentzündung und ein trockener Mund waren die signifikantesten Komplikationen, die konservativ behandelt wurden. Nach der Strahlentherapie wurde die Krankheit gut kontrolliert. Der Patient war nach 18 Monaten beschwerdefrei.
Schlussfolgerung:
Obwohl extrem selten, kann eine Dermoidzyste der submentalen Region eine bösartige Transformation durchmachen. Mit chirurgischer Exzision und Strahlentherapie kann sie erfolgreich behandelt werden.
Die Autoren erklären, dass keine Interessenkonflikte vorliegen.
Jayasuriya N, Siriwardena S, Tilakaratne W M, Parthiepan S; Malignant transformation of a long-standing submental dermoid cyst to a carcinosarcoma: a case report; Journal of Medical Case Reports201711:11;DOI: 10.1186/s13256-016-1186-y






