Therapie einer radikulären Zyste
Anamnese
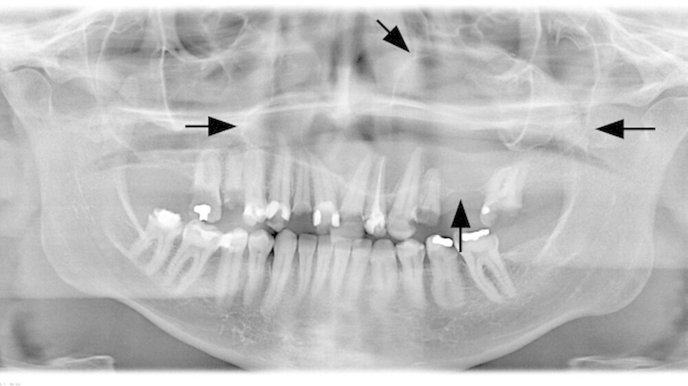
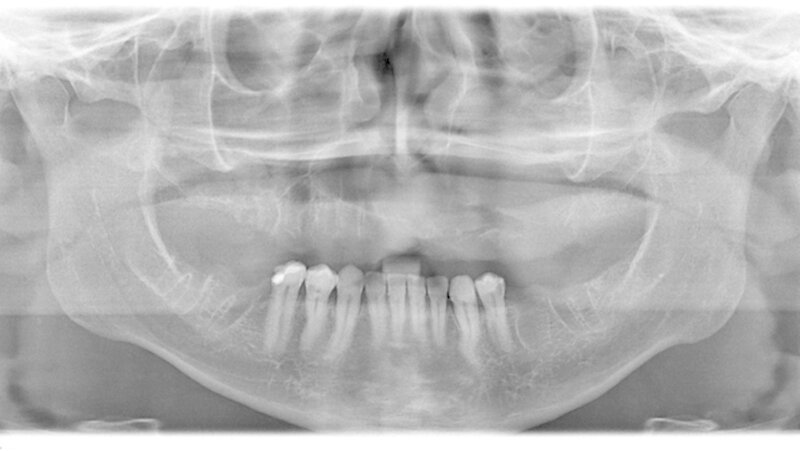
Der intraorale Zahnstatus beschreibt einen insgesamt sanierungsbedürftigen Zustand mit diversen nicht erhaltungswürdigen Zähnen im Unter- und Oberkiefer. Der Oberkiefer zeigte klinisch im zweiten Quadranten eine ausgeprägte palatinale Schwellung (Abbildung 2). Die Panoramaschichtaufnahme bestätigte den klinischen Verdacht auf eine ausgedehnte osteolytische Raumforderung im Oberkiefer. Diese erstreckte sich vom linken Oberkiefer die Mittellinie überschreitend, die gesamte linke Kieferhöhle einnehmend bis zur Regio 14 gehend (Abbildung 3). Durch den Hauszahnarzt konnte ein sechs Jahre zuvor erstellter Zahnfilm zur weiteren Diagnostik hinzugezogen werden.
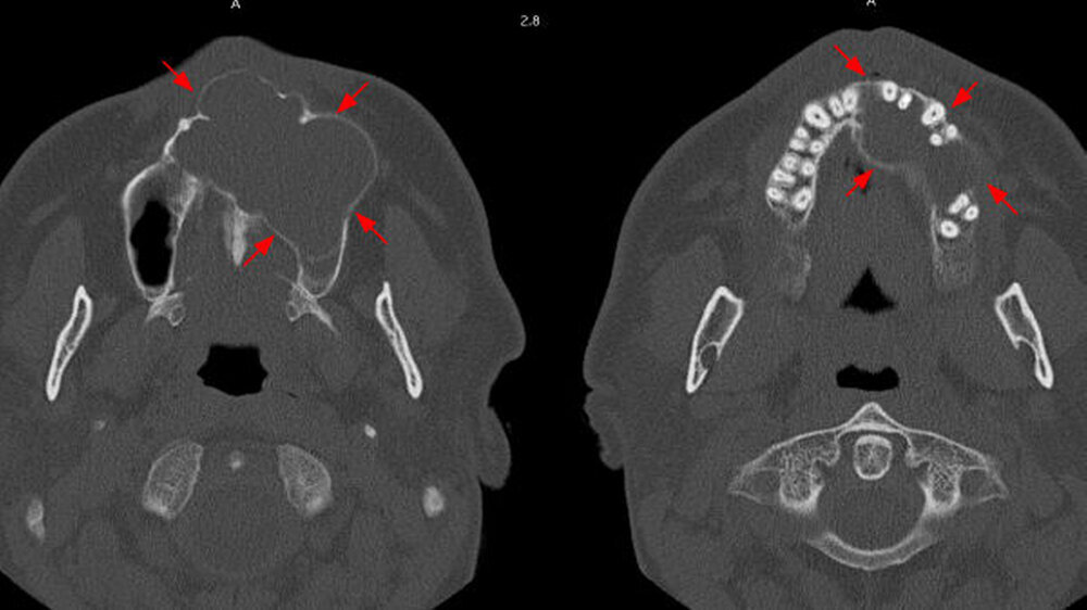
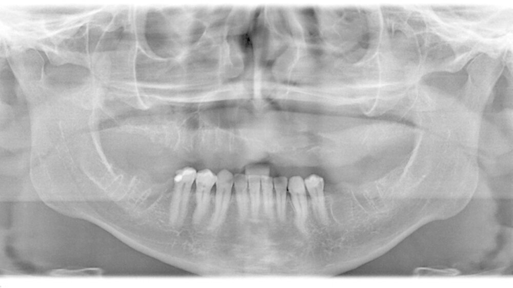
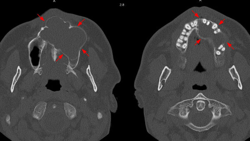
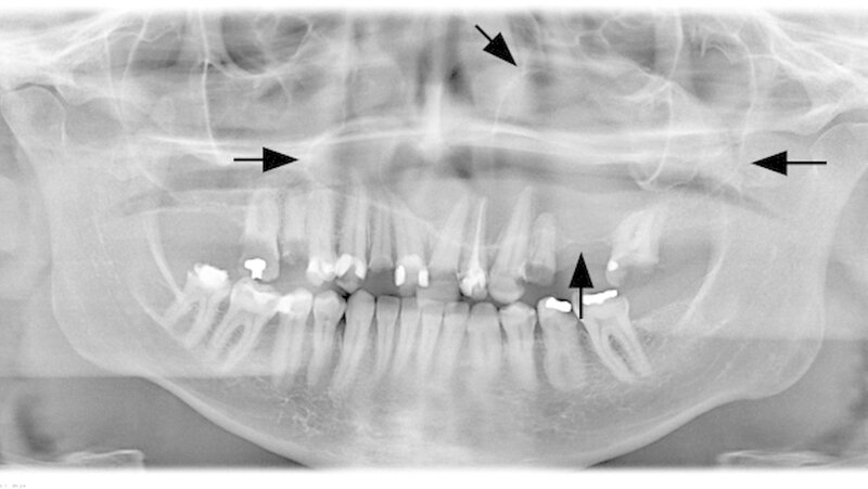
Bereits damals wurde vom Hauszahnarzt eine Entfernung der noch umschriebenen Raumforderung dringend empfohlen. Der Zahnfilm zeigte ein zystisches Geschehen in der Regio 24 und 25 (Abbildung 4). Zur aktuellen weiteren präoperativen Diagnostik wurde eine Computertomografie angefertigt. In den coronalen Schnitten ist die die Mittellinien überschreitende Raumforderung bis zum knöchernen Nasenboden unter Einbezug der linken Kieferhöhle deutlich zu sehen (Abbildung 5a). Man erkennt insbesondere in den sagittalen Schnitten, dass die Raumforderung über zwei Drittel der linken Kieferhöhle beansprucht (Abbildung 5b).
Auf den axialen Schnitten der Computertomografie ist sowohl die palatinale Ausdehnung wie auch die Einbeziehung der Oberkieferzähne im zweiten und teilweise ersten Quadranten gut zu erkennen (Abbildung 5c). Insgesamt stellt die diagnostische Bildgebung dar, dass es sich um einen verdrängenden, nicht destruierend-infiltrierenden Prozess handelt, der mit sehr hoher Wahrscheinlichkeit von der bereits vor sechs Jahren diagnostizierten Raumforderung in Regio 24 und 25 ausging. Als Verdachtsdiagnose konnte somit von einer Raumforderung zystischen Ursprungs ausgegangen werden.
###more### ###title### Therapie ###title### ###more###
Therapie
Die operative Entfernung der Raumforderung erfolgte unter Intubationsnarkose und anschließender stationärer Überwachung. Im Rahmen der operativen Entfernung des Befundes wurden sämtliche Oberkiefer-Zähne entfernt. Dabei entleerten sich bereits zu Beginn der Operation etwa 200 ml Zystenflüssigkeit. Der vorhandene Zystenbalg konnte vollständig ausgeräumt werden, wobei sich die Kortikalis des linken Orbitabodens nach Zystektomie intakt und stabil zeigte. Im Anschluss erfolgte eine plastische Deckung.
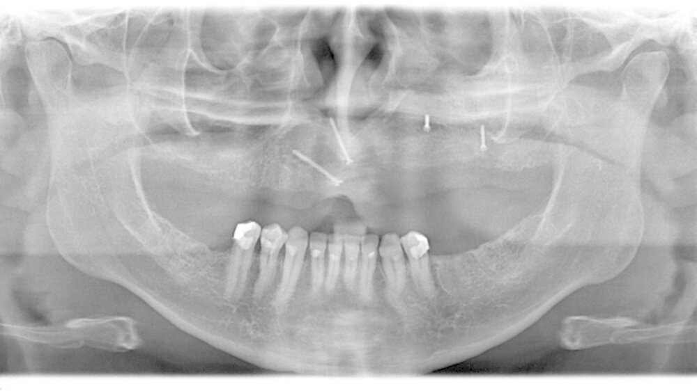
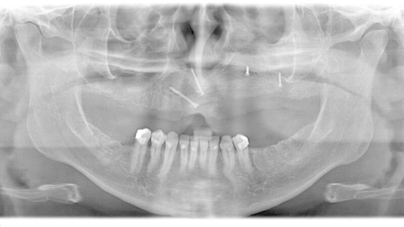
Aufgrund des weit fortgeschrittenen Defekts (Abbildung 6) und der daraus resultierenden insuffizienten prothetischen Versorgung wurde zehn Monate später eine rekonstruktive Operation unter Intubationsnarkose durchgeführt. Hierbei wurde unter Zuhilfenahme eines 5 cm langen monokortikalen Beckenkammspans aus der Crista illiaca (Abbildung 7) eine knöcherne Rekonstruktion des Oberkiefers vorgenommen (Abbildung 8). Als weiterer Schritt ist eine Versorgung mit Implantaten zur Verankerung einer prothetischen Versorgung geplant.
Die obligatorische postoperative pathohistologische Aufarbeitung des Befundes ergab eine dentogene Zyste ohne Anhalt auf Gewebetransformation. Insbesondere die wichtigen Differenzialdiagnosen einer Keratozyste (nach alter Nomenklatur) und eines Ameloblastoms konnten sicher ausgeschlossen werden.
Diskussion
Kieferzysten beschreiben odontogene und nicht-odontogene ausgekleidete Hohlräume. Solche mit Epithelauskleidung werden als echte Zysten und solche mit fehlender Epithelauskleidung als Pseudozysten beschrieben. Die Weltgesundheitsorganisation (WHO) gliederte 2005 die Zystenklassifikation neu und rechnete die bis dato klassifizierte „Keratozyste“ den Tumoren als „keratozystischer odontogener Tumor (KOT)“ zu [Reichart P. A et al, 2006].
Die radkuläre Zyste ist die am häufigsten in Erscheinung tretende odontogene Kieferzyste. Retrospektive Datensammlungen zeigen eine stark schwankende Häufigkeitsverteilung von 24,7 Prozent bis 84,5 Prozent [Johnson N.R. et al, 2014]. Eine erstmalige prospektive epidemiologische Studie aus Australien gibt die radiukuläre Zyste als häufigste Kieferzyste mit 45,7 Prozent an [Johnson, N.R. et al, 2013].
Sie ist häufiger im Oberkiefer als im Unterkiefer zu finden und zeichnet sich durch ein langsames, expandierendes und nicht infiltrierendes Wachstum aus [Bernardi L., et al., 2015]. Pathohistologisch kennzeichnet sie ein dreischichtiger Wandaufbau des Zystenbalgs, wobei die innerste Schicht aus einem mehrschichtigen nicht verhornenden Plattenepithel besteht.
Die radikuläre Kieferzyste nimmt ihren Ursprung im Wurzelbereich eines meist pulpentoten Zahns als Folge einer Parodontitis apicalis chronica beziehungsweise aus einem apikalen Granulom. Durch Proliferation der Mallassez-Epithelinseln kommt es schließlich zur Ausbildung der radikulären Zyste. Radiologisch zeichnet sie sich durch meist scharf begrenzte Aufhellungen/Osteolysen im Röntgenbild aus.
###more### ###title### Therapie nach Partsch ###title### ###more###
Therapie nach Partsch
Die Therapie einer Zyste geht auf dem Erstbeschreiber Partsch zurück. Es werden die Zystektomie (Partsch II), und damit die vollständige Entfernung des Zystenbalgs und des Zysteninhalts, sowie die Zystostomie (Partsch I), das großflächige Eröffnen (Fensterung) des Zystenlumens mit nur parzieller Entfernung des Zystenbalgs zum Einleiten eines späteren konsekutiven Umbaus und Integration in eine Nebenbucht der Mundhöhle, unterschieden [Gutwald, R. et al, 2010]. In dem hier beschriebenen Fall wurde wie bereits erläutert eine komplette Entfernung der Zyste (Zystektomie) mit anschließender histopathologischer Untersuchung durchgeführt.
Differenzialdiagnostisch muss bei ausgedehnten osteolytischen Veränderungen mit beteiligter Schwellung im Oberkiefer an alle sich osteolytisch ausbreitenden Raumforderungen gedacht werden. Es sind odontogene und nicht-odontogene Tumore, benigne und nicht-benigne Neoplasien in Betracht zu ziehen [Jundt, G., 2015]. Nach der radikulären Zyste ist die follikuläre Zyste die zweithäufigste odontogene Kieferzyste. Sie zeigt sich jedoch als perikoronare Aufhellung um einen retinierten Zahn.
Die sichere diagnostische Abgrenzung zu einem keratozytischen odontogenem Tumor (KOT) ist nur histologisch möglich. Klinisch wird dieser meist als uni-oder multi-lokuläre Osteolyse, häufig randbegrenzt und mit teilweisen Wurzelresorptionen einhergehend, beschrieben. Aufgrund der in die Nachbarschaft einwachsenden Satellitenzysten wird die extendierte chirurgische Entfernung einhellig empfohlen, wobei der Grad der Radikalität noch immer kontrovers diskutiert wird [Reichert, T.E., 2016].
Anhaltspunkte für die Diagnosefindung
In diesem Falle erscheint aufgrund des vorliegenden Zahnfilms und der schon hier erkennbaren osteolytischen Veränderung mit direkter Beziehung zu einem endodontisch behandelten Zahn eine radikuläre Zyste als Verdachtsdiagnose naheliegend. Zudem weist das eher verdrängende Wachstum ohne Destruktion oder infiltrierendes Wachstum auf eine benigne Dignität hin. Als weiterer Anhaltspunkt für die Diagnosefindung kann die Konvexität einer Osteolyse herangezogen werden. Eine von der Radix des Zahns ausgehende konvexe Osteolyse, die trichterförmig in den Parodontalspalt übergeht, spricht eher für eine radikuläre Zyste, wohingegen eine konkave Osteolyse - mit eventueller Anresorption der Zahnwurzel - auf eine neoplastische Veränderung verweist.
Zur Differenzialtherapie der Zystektomie gegenüber der Zystostomie leiten folgende Gesichtspunkte an: Zunächst erscheint die Zystostomie als der operativ weniger invasive und extendierte Eingriff. Der Aspekt der Minimierung des Operationsumfangs spricht somit durchaus für eine Zystenfensterung. Nachteile liegen dagegen einerseits in der unvollständigen pathohistologischen Untersuchbarkeit des pathologischen Gewebes, so dass ein Restrisiko einer Gewebetransformation in der Tiefe des Prozesses verbleibt.
Von der klinischen Seite ergibt sich andererseits die Notwendigkeit zum langfristigen Offenhalten der Fenestration (meist durch einen Obturator oder eine in Epithese umgewandelte Prothese) mit den resultierenden Nachteilen für die Mundhygiene und der Notwendigkeit einer engermaschigen Begleittherapie. Diese Nachteile können durch eine Zystektomie mit sicherer plastischer Deckung vermieden werden.
Eine besondere Therapievariante
Als besondere Therapievariante kann noch die sogenannte Wasmund-Operation (Antrozystektomie) angesprochen werden. Mit dem Schaffen einer weitflächigen Öffnung des Zystenlumens zur Kieferhöhle hin erzielt man die Voraussetzungen, dass das ehemalige Zystenlumen (die Osteolyse also) zu einer Nebenbucht einer Nasennebenhöhle wird. Dies mindert zunächst einmal das Risiko eines Zystenrezidivs gegenüber einer „konventionellen“ Zystostomie. Aber die Wasmund-Operation geht nicht mit einer relevanten Minderung des OP-Umfanges gegenüber einer Zystektomie einher.
Nachteilig ist bei der Antrozystektomie, dass der Grad der Knochenneubildung begrenzter ist, als bei der vollständigen Zystektomie und bei der plastischen Deckung. Auch wenn - je nach Größenausdehnung der primären Osteolyse - dennoch eine Knochentransplantation zur Rekonstruktion des Kieferdefekts erforderlich ist, ist das Ausmaß der spontanen Knochenregeneration ein wichtiger prognostischer Faktor für die nachfolgende operative Rehabilitation. Aus diesen aufgeführten Gründen wurde im dargestellten Fall die Methode der klassischen Zystektomie gewählt.
Dr. med. dent. Peter Schulz,Zahnarzt, Weiterbildungsassistent für OralchirurgieDr. med. dent. Tim Wolff, Zahnarzt, Weiterbildungsassistent für OralchirurgieDr. med. Dr. med. dent.WilfriedK. G. Kleis,Facharzt für Mund-, Kiefer- und GesichtschirurgieProf. Dr. med. Dr. med. dent.Knut-A. Grötz,Facharzt für Mund-, Kiefer- und GesichtschirurgieÜberörtliche Berufsausübungsgemeinschaft für Mund-, Kiefer- und plastische GesichtschirurgieProf. Dr. med. Dr. med. dent.Knut-A. Grötz, Dr. Dr.Rainer S. R. Buch, Dr. Dr.Christian Küttner,Dr. med. Dr. med. dent. Wilfried K. G. Kleis, Wiesbaden, Ingelheim, und HELIOS Dr. Horst Schmidt-Kliniken, WiesbadenBurgstraße 2-4, 65138 Wiesbaden. kontakt@mkg-rhein-main.de
Literatur
Bernardi, L., et al., Radicular Cyst: An Update of the Biological Factors Related to Lining Epithelium. J Endod, 2015. 41(12): p. 1951-61.
Gutwald, R., N.-C. Gellrich, and R. Schmelzeisen, Einführung in die zahnärztliche Chirurgie und Implantologie, 2. überarbeitete und erweiterte Auflage. 2010: Deutscher Ärzte-Verlag.
Johnson, N.R., et al., Frequency of odontogenic cysts and tumors: a systematic review. J Investig Clin Dent, 2014. 5(1): p. 9-14.
Johnson, N.R., et al., A prospective epidemiological study for odontogenic and non-odontogenic lesions of the maxilla and mandible in Queensland. Oral Surg Oral Med Oral Pathol Oral Radiol, 2013. 115(4): p. 515-22.
Jundt, G., Orale Medizin - Hot Topic: Kieferzysten Handbuch MKG Update 2015. 2015, Wiesbaden: Herausgeber: Groetz, Knut A., Wiesbaden; Schmidt-Westhausen, Andrea M, Berlin; Haßfeld, Stefan, Dortmund; ISBN 978-3-86302-138-2.
Reichart, P.A., H.P. Philipsen, and J.J. Sciubba, Die neue WHO-Klassifikation der Tumoren des Kopfes und des Halses. Mund-, Kiefer- und Gesichtschirurgie, 2006. 10(1): p. 1-2.
Reichert, T.E., ONKO I: ODONTOGENE TUMORE - Handbuch MKG Update 2016, Wiesbaden: Herausgeber: Groetz, Knut A., Wiesbaden; Schmidt-Westhausen, Andrea M, Berlin; Haßfeld, Stefan, Dortmund, ISBN 978-3-86302-290-7.













