Überzählige Zähne im Ober- und Unterkiefer I
Epidemiologie und ätiologische Faktoren: Überzählige Zähne entwickeln sich zusätzlich zur normalen Dentition. Sie können in der primären oder permanenten Dentition auftreten und in allen Regionen des Ober- oder Unterkiefers vorkommen. Sie werden in der Regel zufällig auf (intraoralen) Röntgenbildern während zahnärztlichen Kontrolluntersuchungen entdeckt. Ein erstes Anzeichen eines überzähligen Zahnes kann auch eine Verzögerung des normalen Zahndurchbruchs sein, was in der Folge zu einer klinisch-radiologischen Abklärung der möglichen Ursache führt. In der Literatur finden sich einige Untersuchungen mit teils unterschiedlichen Daten zur Prävalenz, zum Geschlechterverhältnis oder auch zur Häufigkeit der verschiedenen morphologischen Typen. Dies lässt sich unter anderem dadurch erklären, dass nicht alle Untersuchungen epidemiologische Studien sind, sondern nicht selten auf ausgewählten Populationen basieren, wie beispielsweise auf Überweisungen an Fachkliniken mit Verdacht auf überzählige Zähne, Patienten einer Schulzahnklinik und mehr. Außerdem gibt es auch geografische Unterschiede, die auf den variablen ethnischen Hintergrund der untersuchten Population hindeuten.
Die Prävalenz
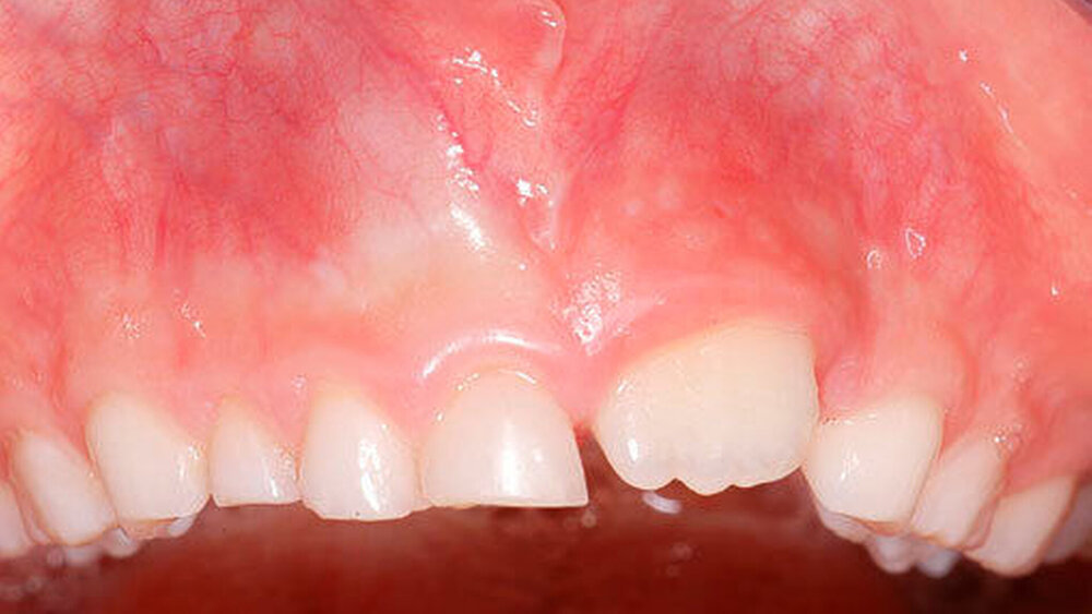
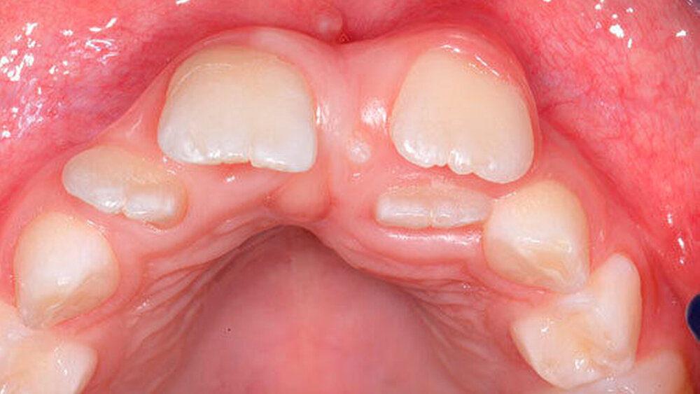
Die Prävalenz überzähliger Zähne wird im Bereich von 0,07 Prozent bis 0,6 Prozent für das Milchgebiss [Luten, 1967; Ravn, 1971; Järvinen Lehtinen, 1981; Magnússon 1984; Skrinjari Barac-Furtinovi, 1991; Yonezu et al., 1997; Chen et al., 2010] und von 0,3 Prozent bis 3,2 Prozent für die bleibenden Zähne [Luten, 1967; Bäckman Wahlin, 2001; Salcido-García et al., 2004; Leco Berrocal et al., 2007; Gündüz et al., 2008; Yagüe-García et al., 2009; Schmuckli et al., 2010; Fardi et al., 2011] angegeben. Die Mehrheit der überzähligen Zähne im Milchgebiss sind seitliche Schneidezähne im Oberkiefer, die meist mit einer normalen Morphologie und Lage durchbrechen (Abbildungen 1 bis 3) [Luten, 1967; Humerfeld et al., 1985; Garvey et al., 1999; Ferrés-Padró et al., 2009]. Der oft ungestörte Durchbruch und das Ausbleiben von Symptomen führen dazu, dass überzählige Zähne in der Milchdentition oft gar nicht diagnostiziert werden, und dies wird auch als Erklärung für die unterschiedlichen Prävalenzen überzähliger Zähne im Milch- und bleibendem Gebiss angeführt [Wang Fan, 2011]. Überzählige Zähne sind häufiger bei Männern als bei Frauen, wobei über ein Verhältnis von 1,18:1 bis 4,5:1 berichtet wird [Rajab Hamdan, 2002; Fernández Montenegro et al., 2006; Gündüz et al., 2008; Wang Fan, 2011]. In der Schweiz publizierten von Arx (1990) und Schmuckli und Mitarbeiter (2010) Geschlechterverhältnisse von 2,6:1, beziehungsweise 2,75:1. In einer aktuellen Arbeit von Mossaz und Mitarbeiter (2014) von Patienten aus dem Raum Bern lag dieses Verhältnis etwas ausgeglichener bei 1,61 zu 1.
Komplikationen aufgrund von überzähligen Zähnen
Unterbliebener oder verzögerter Zahndurchbruch
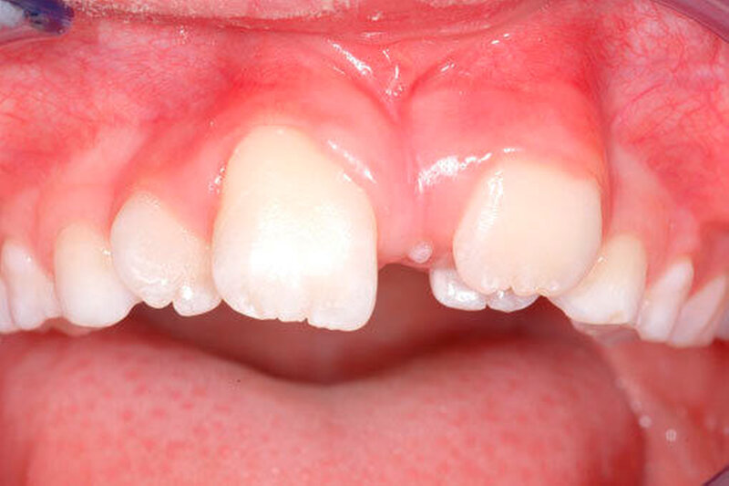
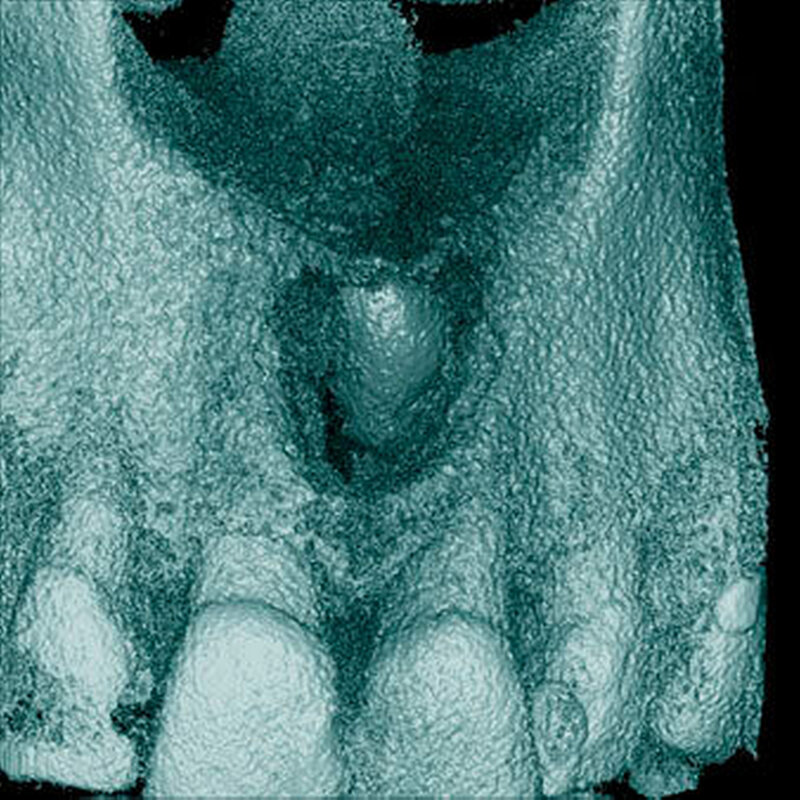
Überzählige Zähne sind die häufigste Ursache für einen unterbliebenen oder verzögerten Durchbruch der oberen Schneidezähne (Abbildungen 13, 14, 15) [Betts Camilleri, 1999]. Besonders beim höckerförmigen Typ kommt es häufig zu Störungen der Eruption der oberen Schneidezähne [Mason et al., 2000]. Diese Komplikation macht sich klinisch initial dadurch bemerkbar, dass die oberen seitlichen Schneidezähne durchbrechen und die Eruption von einem oder beiden zentralen Schneidezähnen ausbleibt [Rajab Hamdan, 2002]. Auch in anderen Lokalisationen der Kiefer können überzählige Zähne zu Durchbruchsstörungen benachbarter Zähne führen [Garvey et al., 1999; Rajab Hamdan, 2002; Mossaz et al., 2014]. Insgesamt liegt die Prävalenz für den Ausfall des Durchbruchs bleibender Zähne bedingt durch überzählige Zähne zwischen 10,2 Prozent und 61 Prozent [Tay et al., 1984; Koch et al., 1986; Tyrologou et al., 2005; Fernández Montenegro et al., 2006; Liu et al., 2007; Gündüz et al., 2008; Hyun et al., 2009; Mínguez-Martinez et al., 2012; Mossaz et al., 2014].
Verschiebung oder Rotation benachbarter Zähne, Diastemabildung
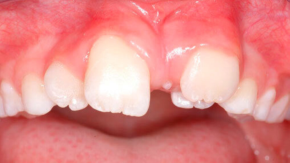
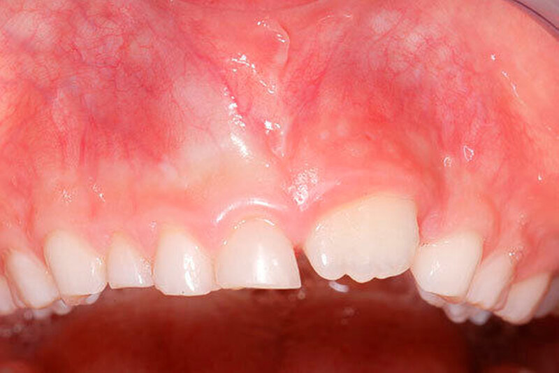
Überzählige Zähne können bei Nachbarzähnen von einer leichten Rotation bis hin zu einer körperlichen Verschiebung alle Formen der Lageveränderungen bewirken. Studien zeigen auf, dass etwa bei einem Drittel der überzähligen Zähne eine Verschiebung des benachbarten Zahns resultiert [Koch et al., 1986; von Arx, 1990; Tyrologou et al., 2005; Liu et al., 2007; Gündüz et al., 2008; Mossaz et al., 2014]. Tay und Mitarbeiter (1984) berichteten gar über eine noch höhere Prävalenz von 55 Prozent. Hyun und Mitarbeiter (2009) betonen, dass überzählige Zähne im Oberkieferfrontzahnbereich nicht selten auch zu einer Diastemabildung führen, was für die Therapieplanung von Bedeutung ist (Abbildungen 16 uns 17).
Engstand/Crowding
Wenn zusätzliche Zähne eruptieren, verursachen diese oft einen Engstand/Crowding in der bleibenden Dentition [Rajab Hamdan, 2002; Garvey et al., 1999]. Auch nicht durchgebrochene überzählige Zähne können sich mitunter klinisch über einen Engstand der bleibenden Zähne manifestieren.
Krümmung, verzögerte oder abnormale Entwicklung der Wurzeln der Nachbarzähne
Eine Verzögerung, Krümmung oder sonstige abnormale Entwicklung benachbarter Zahnwurzeln scheint selten zu sein, und es sind nur wenige Fallberichte bekannt [Yeung et al., 2003; Hansen Kjaer, 2004; Arslan et al., 2008].
Wurzelresorptionen an benachbarten Zähnen
In einer aktuellen Arbeit berichteten Mossaz und Mitarbeiter (2014) über eine relativ hohe Prävalenz (22,8 Prozent) der Wurzel- resorptionen an benachbarten Zähnen, wobei besonders häufig überzählige Prämolaren zu Resorptionen führen (Abbildung 18). Für die Beurteilung der Wurzelresorptionen wurden digitale Volumentomografie (DVT) der Patienten herangezogen. In einer Studie aus China, welche ebenfalls DVT-Bilder beurteilte, wurde über eine deutlich geringere Häufigkeit von Wurzelresorptionen (1,6 Prozent) berichtet [Liu et al., 2007]. Im Gegensatz zu den Daten aus der Schweiz war Diagnose und Bewertung von Wurzelresorptionen kein primäres Ziel dieser Studie und es wurde auch keine Information über das Ausmaß der Resorptionen gegeben.
Daher könnte diese Studie leichte oder mäßige Wurzelresorptionen nicht eingeschlossen haben, was zumindest einen Teil des doch deutlichen Unterschieds in den Prozentsätzen erklären würde. Studien, welche Panoramaschichtaufnahmen zur Diagnose von Wurzelresorptionen heranziehen, berichten über Resorptionsraten zwischen 4,7 Prozent [Gündüz et al., 2008] und 7,6 Prozent [Hyun et al., 2009]. Tyrologou und Mitarbeiter (2005) berichteten sogar, dass keine Resorption im untersuchten Patientengut vorhanden waren. Allerdings wurden in dieser Studien nur Mesiodentes beurteilt, wo Wurzelresorption benachbarter Zähne eher selten vorkommen [Mossaz et al., 2014]. Generell lässt sich festhalten, dass zweidimensionale Röntgenaufnahmen für die Diagnose von Wurzelresorptionen eher ungenau sind und diese so in bis zu 50 Prozent der Fälle übersehen werden [Ericson Kurol, 1987, Heimisdottir et al., 2005; Botticelli et al., 2011; Alqerban et al., 2011a].
Zystenbildung
Radiologisch erscheint der Zahnfollikel um retinierte überzählige Zähne als eine dünne perikoronale Radio-luzenz, welche in der Regel nicht breiter als 3 mm ist [Mossaz et al., 2014] (Abbildung 19). Andere Autoren betrachten eine Breite von 2 mm als physiologisch [Tyrilogou et al., 2005]. Bis heute fehlen aber klare Angaben zu den normalen Dimensionen des Zahnfollikels, das heißt, es ist radiologisch nicht eindeutig zu erkennen, wann ein zystischer Prozess vorliegt [Villalba et al., 2012]. Studien berichteten über eine (pathologische) Erweiterung des Follikularraums in 1,4 Prozent bis 5,3 Prozent der überzähligen Zähne [von Arx 1990; Tyrologou et al., 2005; Liu et al., 2007; Hyun et al., 2009; Mossaz et al., 2014]. Dagegen sahen Koch und Mitarbeiter (1986) bei 54 überzähligen Zähnen keine Erweiterung des perikoronaren Raumes während des Beobachtungsintervalls (Mittelwert: 7,3 Jahre).
Nasaler Zahndurchbruch
Eine Eruption des überzähligen Zahnes in die Nasenhöhle ist sehr selten [Primosch, 1981; von Arx, 1990; Stellzig et al., 1997; Rajab Hamdan, 2002]. Fallberichte werden jedoch immer wieder publiziert [Clementi et al., 2012; Krishnan et al., 2013; Mohebbi et al., 2013]. In einer großen Stichprobe waren 3,6 Prozent der überzähligen Zähne, meistens Mesiodentes, nach nasal durchgebrochen [Hyun et al. 2009] (Abbildung 20).
Problem für eine zukünftige zahnärztlich-chirurgische Behandlung
Die Anwesenheit eines impaktierten überzähligen Zahnes kann eine Zahnimplantation oder auch augmentative-rekonstruktive Verfahren bei Patienten mit Gaumenspalten beeinträchtigen [Garvey et al., 1999; Wang Fan, 2011].
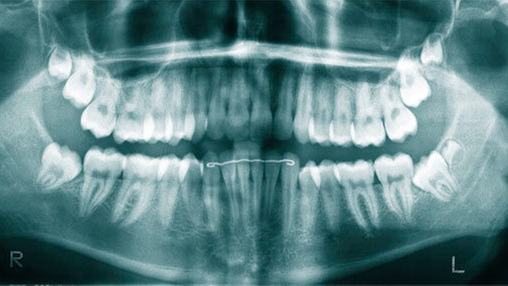
Überzählige Zähne können einzeln oder multipel auftreten [von Arx, 1990; Rajab Hamdan, 2002; Fernández Montenegro et al., 2006; Liu et al., 2007; Gündüz et al., 2008; Ferrés-Padró et al., 2009; Hyun et al., 2009]. Einzelne überzählige Zähne treten in 65,8 bis 80,5 Prozent, doppelte in 14,5 bis 27,7 Prozent und multiple in 0,6 bis 8 Prozent der Fälle auf [Rajab Hamdan, 2002; Fernández Montenegro et al., 2006; Liu et al., 2007; Ferrés-Padró et al., 2009; Hyun et al, 2009; Mossaz et al., 2014]. Einzelne oder doppelte überzählige Zähne finden sich typischerweise in der Oberkieferfront [Rajab Hamdan, 2002; Fernández Montenegroet al., 2006; Mossaz et al., 2014]. Multiple überzählige Zähne werden vor allem im Prämolarenbereich des Unterkiefers gefunden [Abbildung 4; YUSOF 1990, Ferrés-Padróet al., 2009; Wang Fan, 2011]. Multiple überzählige Zähne sind zudem oft mit anderen Erkrankungen oder Syndromen assoziiert, dazu gehören Lippen-Kiefer-Gaumenspalten, die cleidokraniale Dysplasie oder auch das Gardner-Syndrom. Bei Patienten mit einer Lippen-Kiefer-Gaumenspalte wird vermutet, dass sich die überzähligen Zähne aus der Fragmentierung der dentalen Lamina bei der Spaltbildung ergeben [Garvey et al., 1999; Wang Fan, 2011].
Die Ätiologie
Die Ätiologie überzähliger Zähne ist immer noch unklar, es wurden aber mehrere Theorien formuliert. Dazu gehören Atavismus (evolutionärer Rückschritt), Zweiteilung der Zahnkeime, Hyperaktivität der dentalen Lamina und genetische oder Umweltfaktoren. Der Atavismus oder die phylogenetische Theorie besagt, dass überzählige Zähne einem Wiederauftreten von anatomischen Merkmalen entsprechen, welche bei entfernten evolutionären Vorfahren ausgebildet waren [Bolk, 1917]. Diese Theorie basiert sich auf der Beobachtung, dass Vorfahrensäugetiere im Allgemeinen mehr Zähne hatten (beispielsweise sechs Schneidezähne). Heute gilt diese Theorie wegen des überwiegend singulären Auftretens der überzähligen Zähne als Mesiodentes im anterioren Oberkiefer median und auch der Lage der Mesiodentes außerhalb des regulären Zahnbogens als überholt [von Arx, 1990; Stellzig et al., 1997; Russell Folwarczna, 2003]. Die Zahnkeim-Dichotomie-Theorie beschreibt, dass sich die dentale Lamina während der frühen Zahnentwicklung in zwei Teile gleicher oder unterschiedlicher Größe teilt, was zur Ausbildung von zwei Zähnen mit ähnlicher Größe beziehungsweise einem normalen Zahn und einem dysmorphen Zahn führt [Sedano Gorlin, 1969; Primosch, 1981; von Arx, 1990]. Diese Theorie wurde noch kürzlich durch Mäuse-Experimente unterstützt [Munne et al., 2010]. Jedoch ist die am weitesten verbreitete und am besten akzeptierte Theorie die Hyperaktivitäts-Theorie. Diese besagt, dass überzählige Zähne die Folge einer lokalen, unabhängigen Hyperaktivität der dentalen Lamina darstellen [Primosch, 1981; von Arx, 1990; Stellzig et al., 1997; Rajab Hamdan, 2002; Russell Folwarczna, 2003; Wang Fan, 2011]. Die Vererbung könnte bei dieser Anomalie auch eine Rolle spielen, da überzählige Zähne bei Kindern von Betroffenen häufiger zu finden sind [Brook, 1984; Babu et al., 1998; Gallas Garcia, 2000]. Es wurde beschrieben, dass überzählige Zähne autosomal-rezessiv oder -dominant mit übertragen werden [Cadenat et al., 1977; Batra et al., 2005]. Ein Einfluss des Geschlechts wurde auch immer wieder hervorgehoben, da Männer häufiger als Frauen betroffen sind [Cadenat et al, 1977; Primosch, 1981; Russell Folwarczna, 2003; Wang Fan, 2011]. Brook (1984) schlug eine Kombination von genetischen und Umweltfaktoren vor, um das Auftreten der überzähligen Zähne zu erklären.
Form und Lage
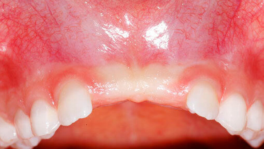
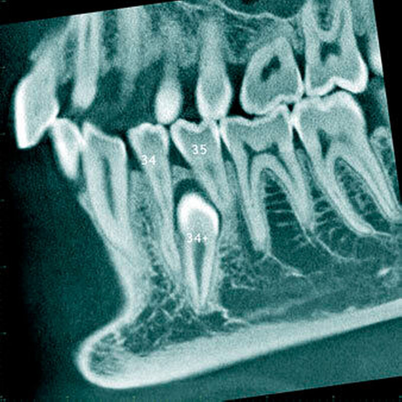
Überzählige Zähne werden nach ihrer Lage im Zahnbogen und auch aufgrund ihrer Morphologie eingeteilt. Basierend auf der Lage unterscheidet man bei überzähligen Zähnen zwischen Mesiodens (Oberkiefer median), zwischen den zentralen Inzisiven (Abbildungen 5 und 6), einem zusätzlichen Schneidezahn (zentral oder lateral), Eckzahn, Prämolar (Abbildung 7), Paramolar und Distomolar (Abbildungen 8). Mesiodentes werden am häufigsten dia- gnostiziert, wobei Prozentsätze zwischen 38,8 Prozent bis 86,3 Prozent der überzähligen Zähne in der Literatur zu finden sind [Salcido-García et al., 2004/38,8 Prozent, Fernández Montenegro et al., 2006 /46.9 Prozent; Mossaz et al., 2014/48.5 Prozent; Ferrés-Padró et al., 2009/53.2 Prozent; Schmuckli et al., 2010/75 Prozent; Rajab Hamdan 2002/83.2 Prozent; Liu et al., 2007/86.3 Prozent]. Überzählige Prämolaren und seitliche Schneidezähne sind die zweithäufigste Gruppe der überzähligen Zähne. Überzählige Eckzähne, Paramolaren und Distomolaren dagegen gelten als eher selten [Rajab Hamdan, 2002; Salcido- García et al., 2004; Liu et al., 2007; Ferrés-Padró et al., 2009; Schmuckli et al., 2010; Mossaz et al., 2014]. Einzig eine Spanische Gruppe [Fernández Montenegro et. al., 2006] berichtete, dass Paramolaren und Distomolaren insgesamt relativ häufig seien (18 Prozent, beziehungsweise 5,6 Prozent). Überzählige Zähne kommen im Ober- und Unterkiefer vor, wobei sich überzählige Schneidezähne in der Regel im Oberkiefer, überzählige Prämolaren sich dagegen eher im Unterkiefer befinden [Fernández Montenegro et al., 2006; Ferrés-Padró et al., 2009; Mossaz et al., 2014]. Überzählige Molaren wiederum treten normalerweise im Oberkiefer auf [Cassetta et al., 2014; Kaya et al., 2014].
Bei überzähligen Zähnen werden vier morphologische Typen unterschieden: konisch (Abbildung 9), tuberkulär (höckerförmig; Abbildung 10), überzählige Zähne mit identischer Zahnform (Abbildung 11) und Odontom (Abbildung 12) [GARVEY et al. 1999]. Der konische überzählige Zahn ist ein kleiner, zapfenförmiger Zahn und zudem der häufigste Fall im bleibenden Gebiss [Rajab Hamdan 2002, Liu et al. 2007, Gündüz et al., 2008; Ferrés-Padró et al., 2009; Hyun et al., 2009; Schmuckli et al., 2010; Mossaz et al., 2014]. Er kommt oft zwischen den oberen zentralen Schneidezähnen vor und entwickelt sich gleichzeitig zur Wurzelbildung der bleibenden Schneidezähne. Konische überzählige Zähne führen meist nicht zu einer Durchbruchstörung oder -behinderung der zentralen Schneidezähne. Tuberkuläre, überzählige Zähne sind größer als der konische Typ und besitzen einen zusätzlichen charakteristischen Höcker oder Tuberkel der Zahnkrone. Sie kommen oft gepaart vor und liegen in der Regel palatinal der oberen mittleren Schneidezähne. Im Gegensatz zu konischen überzähligen Zähnen brechen die meisten tuberkulären nicht in die Mundhöhle durch und es kommt nicht selten zur Durchbruchstörung oder -behinderung der zentralen Schneidezähne [Mason et al., 2000; Minguez-Martinez et al., 2012]. Überzählige Zähne mit identischer Zahnform sind Zähne, welche vom eigentlichen Zahn in der Lage (also in der Zahnreihe gelegen) und Form nicht zu unterscheiden sind.
Die überzähligen Zähne mit identischer Zahnform finden sich normalerweise beim oberen seitlichen Schneidezahn. Zusätzliche Prämolaren und Molaren können aber auch auftreten. Die Mehrheit der überzähligen Zähne im Milchgebiss sind vom identischen Zahnform-Typ und bleiben nur selten impaktiert oder retiniert.
Der letzte Typ der überzähligen Zähne ist das Odontom. Obwohl das Odontom gemäß WHO-Klassifikation als odontogener Tumor eingeteilt wird [Praetorius Piatelli, 2005], sind sich heute die meisten Autoren darin einig, dass ein Odontom keine benige Neoplasie darstellt, sondern eine hamartomatöse Fehlbildung ist [Garvey et al., 1999; Wang Fan, 2011]. Beim Odontom können zudem klinisch-radiologisch sowie histologisch zwei Arten unterschieden werden: Das komplexe Odontom, bei welchem Zahnhartgewebe als diffuse Masse, das heißt gänzlich unorganisiert angelegt ist, und das zusammengesetzte Odontom, welches aus multiplen zahn- ähnlichen Strukturen besteht, die jeweils bindegewebig abgegrenzt sind.
Überzählige Zähne werden auch als eumorph beschrieben, wenn die Zähne eine ähnliche Morphologie zu ihrem entsprechenden Zahntyp zeigen (analog zu den oben beschriebenen überzähligen Zähnen mit identischer Zahnform). Als dysmorph (heteromorph oder rudimentär) werden entsprechend überzählige Zähne bezeichnet, die eine abnormale Form und Größe, (in der Regel kleiner) haben, was den oben beschriebenen konischen, tuberkulären und Odontom-Typen entspricht [Primosch, 1981]. Mesiodentes haben in der Regel eine konische oder tuberkuläre Form.
Überzählige Prämolaren zeigen eine identische Zahnform. Überzählige Zähne in anderen Regionen des Ober- und Unterkiefers haben dagegen keine charakteristische Morphologie [Fernández Montenegro et al., 2006; Gündüz et al., 2008; Hyun et al., 2009; Schmuckli et al., 2010; Mossaz et al., 2014].
Überzählige Zähne können sich in der Richtung des normalen Durchbruchs entwickeln oder sie können inkliniert, horizontal oder in einer umgekehrten Position (invers) liegen. Ungefähr ein Drittel bis die Hälfte der überzähligen Zähne in der Oberkieferfront zeigen eine inverse Position [Humerfelt et al., 1985; Koch et al., 1986; von Arx, 1990; Tyrilogou, 2005; Liu et al., 2007; Gündüz et al., 2008; Hyun et al., 2009; Mossaz et al., 2014].
Dagegen haben überzählige Prämolaren in der Regel eine geneigte oder normale Eruptionslage [Mossaz et al., 2014]. Überzählige Zähne können normal durchbrechen oder bleiben retiniert beziehungsweise teilretiniert. Frühere Studien berichteten, dass zwischen 15 Prozent [Tay et al., 1984) und 34 Prozent [LIU et al., 1995] der überzähligen Zähne erst im bleibenden Gebiss durchbrechen. Im Gegensatz dazu eruptieren 73 Prozent der überzähligen Zähne bereits im Milchgebiss [Humerfelt et al., 1985}. Nicht-durchgebrochene überzählige Zähne können asymptomatisch bleiben und werden erst zufällig während einer routinemäßigen Zahnkontrolle auf einem Röntgenbild – in der Regel einer intraoralen Aufnahme – diagnostiziert. Überzählige Zähne werden jedoch auch dann entdeckt, wenn ein bleibender Zahn in seinem Durchbruch entweder verzögert oder in seiner Lage verschoben ist.
Folgende klinische Probleme und Komplikationen können auf überzählige Zähne, vor allem die des Oberkieferfrontzahnbereichs, hinweisen:
Zusammenfassung
Überzählige Zähne können in der primären oder permanenten Dentition auftreten und kommen im Ober- oder Unterkiefer vor. Basierend auf der Lage unterscheidet man bei überzähligen Zähnen zwischen Mesiodens, einem zusätzlichen seitlichen Schneidezahn, Eckzahn, Prämolar, Paramolar und Distomolar. Bei überzähligen Zähnen werden zudem vier morphologische Typen unterschieden: konisch, tuberkulär (höcker- förmig), überzählige Zähne mit identischer Zahnform und Odontom.
Überzählige Zähne können lange Zeit asymptomatisch bleiben und werden daher nicht selten erst zufällig diagnostiziert. Es werden aber auch eine Vielzahl an möglichen klinischen Komplikationen wie Zahndurchbruchstörungen, Lageverschiebungen/Rotationen sowie Wurzelresorptionen an benachbarten Zähnen und auch Zystenbildung in der Literatur beschrieben. Eine Wurzelresorption an Nachbarzähnen wird in bis zu 22,8 Prozent der Fälle im entsprechenden Röntgenbild beobachtet, wobei besonders häufig überzählige Prämolaren zu Resorptionen führen.
Schlussfolgerungen
Überzählige Zähne können in der primären oder permanenten Dentition auftreten und kommen in allen Regionen des Ober- oder Unterkiefers vor. Zusammenfassend lassen sich folgende Punkte zu Epidemiologie, Ätiologie, Klassifikation und mögliche Komplikationen bei überzähligen Zähnen für den Praktiker festhalten:
• Für überzählige Zähne wurden Prävalenzen im Bereich von 0,07 Prozent bis 0,6 Prozent für das Milchgebiss und von 0,3 Prozent bis 3,2 Prozent für die bleibenden Zähne mit deutlichen Variationen publiziert.
• Überzählige Zähne sind häufiger bei Männern als bei Frauen, wobei ein Geschlechterverhältnis von 1,18:1 bis 4,5:1 angegeben wird.
• Die Ätiologie überzähliger Zähne ist immer noch unklar, es werden aber mehrere Theorien wie Atavismus, Zweiteilung der Zahnkeime, Hyperaktivität der dentalen Lamina und genetische oder Umweltfaktoren diskutiert.
• Basierend auf der Lage unterscheidet man bei überzähligen Zähnen zwischen Mesiodens, einem zusätzlichen Schneidezahn (zentral oder lateral), Eckzahn, Prämolar, Paramolar und Distomolar. Mesiodentes werden am häufigsten diagnostiziert, wobei über Prozentsätze zwischen 38,8 Prozent bis 86,3 Prozent der überzähligen Zähne berichtet wurde.
• Bei überzähligen Zähnen werden vier morphologische Typen unterschieden: konisch, tuberkulär (höckerförmig), überzählige Zähne mit identischer Zahnform und das Odontom. Der überzählige Zahn vom konischen Typ ist ein kleiner, zapfenförmiger Zahn und der häufigste im bleibenden Gebiss.
• Überzählige Zähne können zu diversen klinischen Komplikationen wie Zahndurchbruchstörungen, Lageverschiebungen/Rotationen sowie Wurzelresorptionen an benachbarten bleibenden Zähnen und auch zu einer Zystenbildung führen. Wurzel- resorptionen an Nachbarzähnen werden in bis zu 22,8 Prozent der Fälle im entsprechenden Röntgenbild diagnostiziert, wobei dies besonders häufig bei überzählige Prämolaren beobachtet wurde.
Dr. Jessica Mossaz, Prof. Dr. Christos Katsaros
Klinik für Kieferorthopädie, Zahnmedizinische Kliniken d. Universität Bern
Freiburgstrasse 7, 3010 Bern
Prof. Dr. Michael M. Bornstein. Dr. Valérie G. A. Suter
Klinik für Oralchirurgie und Stomatologie, Zahnmedizinische Kliniken d. Universität Bern
Freiburgstrasse 7, 3010 Bern






































