Unklare Synkope in der MKG-Ambulanz
Klinische und radiologische Diagnosestellung
Zur initialen Vorstellung brachte der Patient sowohl kardiologische Befunde als auch ein MRT der Halsweichteile mit. Kardiologisch waren bereits ein intermittierendes Vorhofflimmern sowie eine tachykarde Herzrhythmusstörung bekannt. Eine Kontrolle dieser Erkrankungen war ohne Befund verlaufen, die Medikation nahm der Patient regelmäßig ein.
Klinisch waren äußerlich zervikal keine Asymmetrien feststellbar. Palpatorisch konnte jedoch auf Höhe des M. sternocleidomastoideus rechts eine deutliche Raumforderung festgestellt werden.
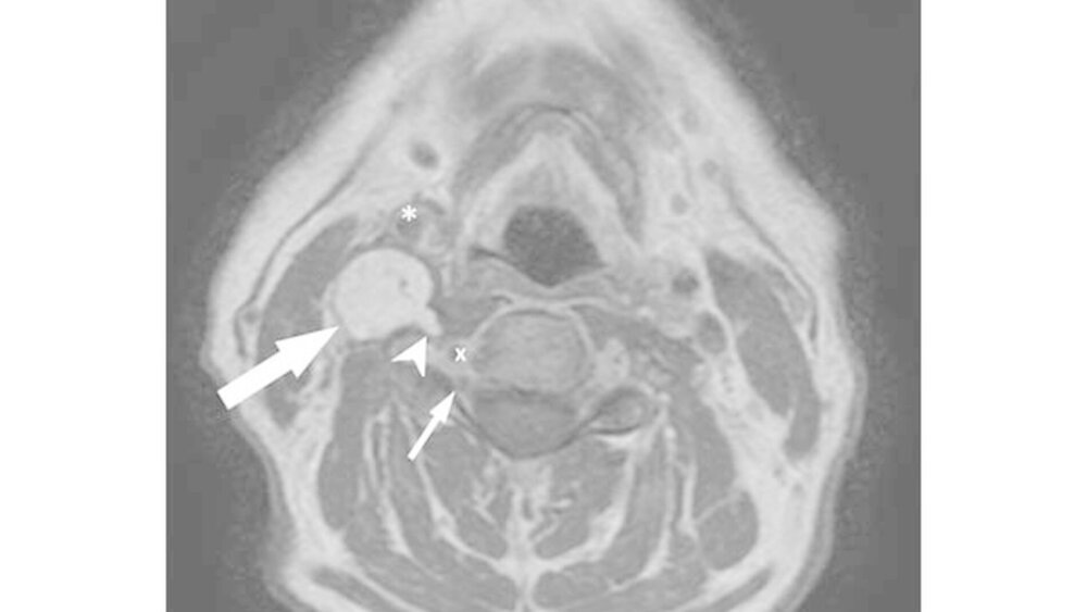
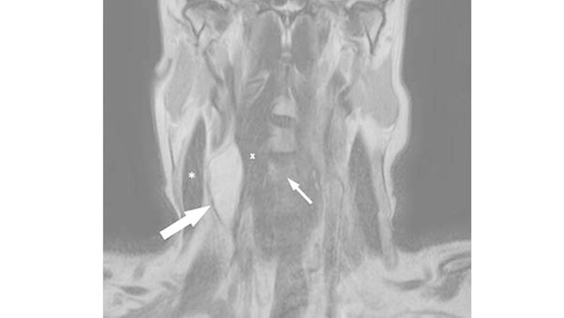
Im MRT zeigte sich korrelierend zum Tastbefund eine spindelförmige Raumforderung mit den Ausmaßen von 5x2x2cm paravertebral auf Höhe HWK 3 bis HWK 6 (Abbildung 1). Der Befund verdrängte sowohl den prävertebrale M. longus colli als auch die Arteria carotis nach ventral.
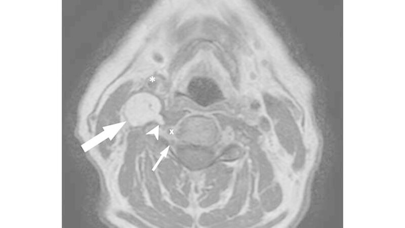
Die Vena jugularis interna war subtotal komprimiert. Kleinere Ausläufer der Raumforderung lagen unmittelbar lateral des Neuroforamens der Radix C5, unterhalb des HWK 4 und reichten bis auf 3mm an die Arteria vertebralis heran (Abbildung 2). Ein infiltratives Wachstum war radiologisch nicht nachweisbar.
Chirurgische Exstirpation und histopathologische Untersuchung
Bedingt durch die progressiven Beschwerden des Patienten stellten wir die Indikation zur operativen Entfernung in Intubationsnarkose mit einem Schnellschnitt zur intraoperativen feingeweblichen Diagnostik.
Palpatorisch zeigte sich das Punktum maximum intraoperativ auf Höhe der zweiten Halsfalte, so dass ausgehend von dieser Lokalisation die Präparation in die Tiefe erfolgte. Bereits bei der Darstellung des M. sternocleidomastoideus zeigte sich die starke Komprimierung der V. jugularis interna durch eine etwa 5x2x2cm große lipomatöse Raumforderung (Abbildung 3).
Unter Schonung der umgebenden arteriellen und nervalen Strukturen erfolgte die Abpräparation des Befundes bis auf die prävertebrale Halsfaszie (Abbildung 5). Diese wurde zur histopathologischen Untersuchung eingesandt - mit der Diagnose eines abgekapselten lipomatösen Tumors mit eingestreuten Skelettmuskelfasern.
Diskussion
Synkopen werden hauptsächlich vasovagal, orthostatisch oder kardiovaskulär ausgelöst. In der Regel lassen sie sich durch eine ausführliche Anamnese der Ursache und eingenommenen Medikamente sowie klinische Untersuchungen wie EKG, Blutdruckmessung, Kipptisch-Untersuchung oder Schellong-Test diagnostizieren [Guidelines for the diagnosis and management of syncope (version 2009; Herold, 2016].
Grundsätzlich empfiehlt sich bei jeder unklaren zervikalen Raumforderung primär eine Sonografie der Weichgewebe zur Abschätzung der Größenausdehnung und Lokalisation. Zur genauen Abklärung der involvierten Strukturen ist präoperativ jedoch eine dreidimensionale Bildgebung wie CT oder MRT indiziert [Abd El-Monem et al., 2005].
Lipome sind die häufigsten mesenchymalen Tumore. Zu ihren Merkmalen zählen ihre Benignität, das Bestehen aus Fettzellen und das langsame Wachstumsverhalten. Prädispositionsstellen für Lipome sind Nacken-, Schulterbereich sowie die Streckseite der Extremitäten. Der Großteil der Lipome ist subkutan oder in den oberflächlichen Weichgewebsschichten lokalisiert.
Tief gelegene Lipome sind eine Seltenheit und werden aufgrund ihrer Lokalisation klinisch erst spät detektiert [Som, PM, et al., 1986]. Lipome treten selten bei Kindern, jedoch häufig bei adipösen Patienten im Alter von 40 bis 60 Jahren auf.
Klinisch präsentieren sie sich als schmerzlose Schwellungen, können jedoch bei Kompression von peripheren Nerven Dysästhesien verursachen [Fletcher, et al., 2002].
Myolipome werden den sehr selten auftretenden gutartigen Tumoren zugeordnet, welche sowohl durch ihre glattmuskulären Anteile als auch ihr Fettgewebe charakterisiert sind. Sie befinden sich vorzugsweise in den tiefen Strukturen wie zum Beispiel dem Abdomen, dem Becken, der Inguinalregion oder dem Retroperitoneum [Fletcher, et al., 2002] und treten zwischen der fünften und sechsten Lebensdekade auf. Frauen sind häufiger von Myolipomen betroffen [John R et al., 2013].
Als kurative Therapie der Wahl wird sowohl beim Lipom als auch beim Myolipom die chirurgische Entfernung angeraten. Treten in seltenen Fällen diese lipomatösen Raumforderungen in Nähe der Karotisgabel auf, so kann dies zu einem Karotissinussyndrom führen, das sich durch die Steigerung des Vagotonus entweder als arterielle Hypertonie oder wie bei unserem Patienten als Bradykardie mit synkopalen Beschwerden äußern kann [Goldblum et al., 2013].
Tipps für die Praxis
Eine ausführliche Anamnese, Inspektion und Palpation sind die Grundlage jeder klinischen Untersuchung.
Unklare Synkopen sollten immer zeitnah ärztlich abgeklärt werden.
Beim Vorliegen einer Raumforderung werden die Exzision und die histologische Aufarbeitung empfohlen.
Dr. Dr. Nora Lautner
Univ.-Prof. Dr. Dr. Frank Hölzle
PD Dr. Dr. Ali Modabber
Klinik und Poliklinik für Mund-, Kiefer- und Gesichtschirurgie
Universitätsklinikum RWTH Aachen
Pauwelsstr. 30, 52074 Aachen
nlautner@ukaachen.de
PD Dr. Nils Krämer
Klinik für Diagnostische und Interventionelle Radiologie
Literaturverzeichnis
Abd El-Monem, M, Gaafar, A and Magdy, E. Lipomas of the head and neck: presentation variability and diagnostic work-up. The Journal of Laryngology & Otology. 2005, Vol. 1, 120, pp. 47-55.
Fletcher, CDM, Unni, KK and Mertens, F. Pathology and Genetics of Tumours of Soft Tissue and Bone. 2002.
Guidelines for the diagnosis and management of syncope (version 2009): The Task Force for the Diagnosis and Management of Syncope of the European Society of Cardiology (ESC). European Heart Journal . 2009.
Goldblum, JR, Weiss, SW and Folpe, AL. Enzinger and Weiss's Soft Tissue Tumors E-Book. 2013.
Herold. Innere Medizin . 2016.
John R. Goldblum, Sharon W. Weiss, Andrew L. Folpe. Enzinger and Weiss's Soft Tissue Tumors E-Book. 2013.
Romanó, M, et al., et al. An Unusual Cause of Carotid Sinus Syndrome: Multiple Symmetric Lipomatosis. Pacing and Clinical Electrophysiology. 1992, Vol. 15, 2, pp. 128-130.
Som, PM, et al., et al. Rare presentations of ordinary lipomas of the head and neck: a review. American Jorunal of Neuroradiology. 1986, Vol. 4, 7, pp. 657-664.








