Unterkieferfraktur nach Weisheitszahnentfernung
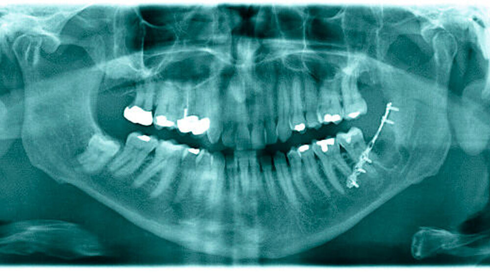
Bei einem 61-jährigen Patienten wurden vor knapp einem Monat die Zähne 28 und 38 osteotomiert. Gut zwei Wochen später bemerkte der Patient ein lautes Knacken beim Biss auf ein Gummibärchen, dessen Entstehungspunkt der Patient auf den Unterkiefer links projizierte. Der Patient wurde erneut beim Hauszahnarzt vorstellig, der in der dann angefertigten Panoramaschichtaufnahme keinen sicheren Frakturausschluss führen konnte (Abbildung 1) und bei weiter bestehenden Schmerzen den Patienten in die Klinik für Mund-, Kiefer- und Gesichtschirurgie nach Mainz überwies.
In der klinischen Untersuchung bestanden keine weiteren Auffälligkeiten im Sinne einer Okklusionsstörung, eines Hämatoms oder anderer entzündlicher Zeichen.
Bei typischer Anamnese mit lautem Knacken beim Zubeißen lag der Verdacht einer Fraktur des Unterkiefers links vor, so dass zur weiterführenden Diagnostik eine digitale Volumentomografie des Kieferwinkels links durchgeführt wurde (Abbildungen 2 und 3).
In dieser kann man die fissurale Fraktur der vestibulären Lamelle erkennen, die bei Zustand nach Osteotomie der eingekürzten vestibulären Lamelle vom tiefsten Punkt derselben nach caudal distal verläuft. Ebenfalls zu erkennen ist die Mitbeteiligung der vestibulär gelegenen Spongiosa. Die medialen Anteile der Spongiosa und die linguale Lamelle des Unterkiefers waren von der Fraktur nicht affektiert.
Zur Vermeidung einer kompletten Fraktur und einer potenziellen Dislokation der Unterkieferanteile bei erneutem Insult wurde in Lokalanästhesie eine Miniplattenosteosynthese zur Stabilisierung durchgeführt. Die Platte wird prospektiv in einem halben Jahr wieder entfernt.
Diskussion
In der Diagnostik von traumatisierten Patienten ist neben der Anamnese und einer gegebenenfalls neurologischen Untersuchung zur Abschätzung einer potenziellen intrazerebralen Beteiligung die klinische Untersuchung des Patienten essenziell. Zur Sicherung der Diagnose von Frakturen dienen die sogenannten sicheren und unsicheren Frakturzeichen. Dieses wären Schmerzen, Kompressionsschmerzen, Schwellungen und Hämatome sowie eine eingeschränkte Funktion als Functio laesa in diesem Bereich. Zu den sicheren Frakturzeichen, die beweisend für eine Fraktur sind, gehören eine abnorme Beweglichkeit, eine Dislokation, sichtbare freie Knochenenden als Zeichen einer offenen Fraktur und Krepitationen durch das Knirschen der Knochen bei Bewegung, was jedoch als obsoletes Diagnostikum einzustufen ist. Den letzten sicheren Frakturnachweis stellt der radiologische Nachweis der Fraktur.
Im vorliegenden Fall gelang die Darstellung der Fraktur mittels konventioneller Bildgebung, das heißt der Panoramaschichtaufnahme, nicht. Dies liegt an der für die Panoramaschichtaufnahme spezifischen Informationsakquise zur anschließenden optischen Darstellung, bei der durch die tomografische Technik eine bestimmte Schicht im zu untersuchenden Körper im Fokus liegend scharf abgebildet wird. Alle Röhren- beziehungsweise Sensor-näherliegenden Bereiche werden verwischt, so dass auch bereits eine ungeeignete Ausrichtung des Patienten dazu führt, dass die zu untersuchende Struktur nicht mehr im Fokus steht. Dies ist ein typisches Szenario bei stärker dislozierten Frakturen oder auch bei Patienten, die schmerzbedingt nur unzu- reichend gut ausgerichtet werden können. Im beschriebenen Fall war die Fraktur zu fein, als dass sie mit der Panoramaschichtaufnahme hätte abgebildet werden können. Durch die digitale Volumentomografie ist es in der zahnärztlichen Radiologie möglich geworden, in solchen Fällen bereits präoperativ die Diagnose zu stellen. Durch die hohe Auflösung von einer Voxelkantenlänge zwischen 0,1 und 0,4 mm [Spin-Neto et al., 2012] gelingt auch die Darstellung von fissuralen Frakturen. Es werden noch weitaus kleinere Voxelkanten beschrieben, so dass theoretisch eine noch bessere Ortsauflösung möglich wäre, jedoch geht dies mit weitaus längeren Umlauf- und Scanzeiten einher, in denen sich der Patient nicht bewegen darf, so dass dies mit den derzeitigen technischen Lösungen in der Diagnostik am lebenden Objekt unrealistisch ist [Schulze, 2012]. Alternativ zur digitalen Volumentomografie steht die computertomografische Darstellung zur Verfügung, die aus strahlenhygienischen Gründen in vielen derartigen Fällen nicht durchgeführt wird. Mit der digitalen Volumentomografie kann bei Verwendung unterschiedlicher Geräte die interessierende Region, das sogenannte Field of View (FOV), durch die Verwendung unterschiedlicher Zylinder eingegrenzt werden, so dass hier die Option der Dosisreduktion gegeben ist. Der Vollständigkeit halber soll aber auch erwähnt werden, dass es bei der Computertomografie dosisreduzierte Programme gibt, die eine entsprechende Diagnostik zulassen bei Dosiswerten, die auch mit der digitalen Volumentomografie erreicht werden. Daher kann nicht generell behauptet werden, dass Aufnahmen digitaler Volumentomogramme immer eine geringere Dosis haben als entsprechend computer- tomografische Aufnahmen [Ritter et al., 2009]. Eine weitere Option bei Patienten mit derartigen Beschwerdebildern liegt in der Exploration, das heißt der Darstellung des Knochens und der aktiven Suche nach der Fraktur, um dann intraoperativ zu entscheiden, ob es hier zur Frakturierung kam, die gegebenenfalls einer weiteren Therapie bedarf.
Im vorliegenden Fall gelang mit der digitalen Volumentomografie der Nachweis der Fraktur, so dass man sich hier entschlossen hat, die Fraktur mittels Miniplattenosteosynthese zu versorgen.
Fazit: Man kann Frakturen im DVT besser erkennen als in der konventionellen Röntgenaufnahme.
PD Dr. Dr. Christian Walter
Prof. Dr. Dr. Wilfried Wagner
Klinik für MKG-Chirurgie – Plastische Operationen, Universitätsmedizin der Johannes Gutenberg-Universität Mainz
Augustusplatz 2
55131 Mainz





