Zahnarzt warnt seine Patienten durch Schockbilder
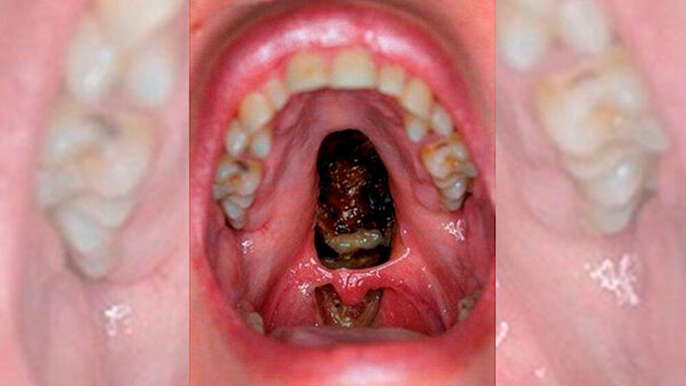
Zahnarzt Howard Farran veröffentlichte das Bild eines perforierten Gaumens auf Facebook, um vor den verheerenden Folgen des Kokainkonsums zu warnen. Das Bild wurde über 68.000 Mal geteilt.
Wie wichtig es ist, dass Zahnärzte ihre Patienten zu dem Thema aufklären, geht aus einer aktuellen Studie der University of Queensland in Australien hervor: "Zahnärzte können die ersten sein, die klinische Anzeichen einer fortgeschrittenen Zahn- oder Parodontalerkrankung sehen, die auf einen Drogenmissbrauch schließen lassen", schreiben die Autoren. Zudem sollten Zahnärzte bei der Anamnese das Thema Drogenabusus nicht vernachlässigen und Patienten über die Risiken für die Mundgesundheit informieren.
Drogenabhängige haben 3,5 Zähne weniger
Die Forscher haben in einer systematischen Übersichtsarbeit belegt, dass sich Drogenkonsum unmittelbar auf die Mundgesundheit auswirkt. 28 internationale Studien sowie die Daten von über 4.086 Drogenabhängigen, die sich in zahnärztlicher Behandlung befanden, wurden dazu ausgewertet. Die Kontrollgruppe bestand aus 28.031 Personen.
Das Ergebnis: Drogenabhängige haben im Durchschnitt 3,5 weniger Zähne und entwickeln häufiger Karies und parodontale Erkrankungen als Menschen, die keine Drogen konsumieren. Vor allem Mangelernährung und Heißhungerattacken haben eine schlechte Mundhygiene, Mundtrockenheit und Zähneknirschen zur Folge. Zudem schädigen Drogen - wie Kokain, Heroin oder Cannabis - das Zahnfleisch.
Die Mundgesundheit hat zudem erhebliche Auswirkungen auf die Lebensqualität und die allgemeine Gesundheit, stellten die Autoren fest: "Chronische Entzündungen und Bakteriämie, die für eine schlechte Mundgesundheit charakteristisch sind, können koronare Herzerkrankungen, Schlaganfall, Diabetes und Atemwegserkrankungen auslösen."
Quelle: Hooman Baghaie, Steve Kisely, Malcolm Forbes, Emily Sawyer, Dan J. Siskind, A systematic review and meta-analysis of the association between poor oral health and substance abuse, in: Addiction, 16 March 2017 , doi: 10.1111/add.13754



