Zahnwurzeln als Augmentate
Die Transplantation autogener Zähne stellt heutzutage ein sehr gut dokumentiertes klinisches Verfahren zum Lückenschluss dar [Chung et al, 2014]. Klinische Langzeitbeobachtungen belegen, dass die kummulative Überlebensrate zum Beispiel autotransplantierter Prämolaren mit abgeschlossenem Wurzelwachstum nach fünf und zehn Jahren bei 100 Prozent beziehungsweise 72,7 Prozent liegt und untermauern somit die hohe klinische Relevanz dieses Therapieverfahrens [Yoshino et al, 2013].
Durch die strukturelle Ähnlichkeit zum Knochengewebe rückt in den vergangenen Jahren zunehmend auch die Verwendung von Zahnhartsubstanz als alternative biologische Matrix für Augmentationsverfahren in den Fokus des Interesses [Catanzaro-Guimaraes et al, 1986; Andersson et al, 2009; Andersson, 2010; Bormann et al, 2012; Atiya et al, 2014; Qin et al, 2014].
Strukturelle Ähnlichkeit zum Knochen
Die makro- und mikroskopische Beschaffenheit unterschiedlicher Anteile der Zahnhartsubstanz ist grundsätzlich mit der des Knochengewebes vergleichbar [Brudevold et al, 1960; Linde, 1989] (Abbildungen 1a und b).
Dies trifft insbesondere auf die anorganische und organische Substanz von Dentin zu, die mit etwa 69,3 Prozent und 17,5 Prozent analoge Werte (62 Prozent und 25 Prozent) zum Knochen aufweisen. Vergleichbare Werte finden sich auch beim Wassergehalt (Knochen: 13 Prozent; Dentin 13,2 Prozent). Im Unterschied hierzu stellt der Zahnschmelz mit 96 Prozent eine überwiegend anorganische Matrix dar (anorganische Substanz: 1,7 Prozent; Wasser: 2,3 Prozent) [Leonhardt, 1990].
Die organische Substanz von Dentin wird von überwiegend in der Längsrichtung des Zahns verlaufenden Typ-I Kollagenfasern dominiert, welche ihm neben der Härte auch elastische Eigenschaften verleihen. Daneben finden sich zudem nicht-kollagene Proteine wie zum Beispiel Phosphoproteine, Osteocalcin, Proteoglykane und Glykoproteine [Linde, 1989].
Für das Wurzelzement wurde eine ähnliche strukturelle Zusammensetzung beschrieben: Mit einer anorganischen Substanz von rund 65 Prozent entspricht sein Aufbau weitestgehend dem eines noch schwach mineralisierten Geflechtknochens [Leonhardt, 1990].
Von Zahntransplantation zu Wurzeltransposition
In zahlreichen tierexperimentellen Untersuchungen konnte gezeigt werden, dass die Dentinmatrix – als partikuläre und blockförmige Matrix – osteokonduktive und osteoinduktive Eigenschaften aufweist. Dies führte zu einer homogenen Integration der Augmentate in den ossären Remodellationsvorgang und somit zu einer histologisch nachweisbaren Regeneration unterschiedlichster Defekttypen [Catanzaro-Guimaraes et al, 1986; Andersson et al, 2009; Andersson, 2010; Miyata et al, 2011; Bormann et al, 2012; Atiya et al, 2014; Qin et al, 2014].
In Kenntnis der hohen biologischen Wertigkeit der Dentin-/ Wurzelmatrix führte unsere Arbeitsgruppe zahlreiche Untersuchungen und Analysen am Tiermodell durch, um die grundsätzliche Wirksamkeit autogener Zahnwurzeltransplantate zur lokalisierten Kieferkammaugmentation weiter zu überprüfen [Becker et al, 2016; Schwarz et al, 2016c; Schwarz et al, 2016a]. Dafür wurde das chirurgische Prinzip der etablierten Zahntransplantation innerhalb der knöchernen Kontur auf die Transposition von Zahnwurzelaugmentaten außerhalb des physiologischen Envelopes adaptiert.
Zum Einsatz kamen maxilläre Prämolarenzähne, die in den nachfolgenden Zustandsformen randomisiert auf chronische Kieferkammdefekte im Unterkiefer verteilt wurden:
a) gesunde Zahnwurzeln mit intakter Zahnpulpa,
b) gesunde Zahnwurzeln ohne Zahnpulpa (nach Pulpaexstirpation und medikamentöser Einlage von Kalziumhydroxid)
c) und Zahnwurzeln mit einer Ligatur-induzierten parodontalen Infektion.
Als positive Kontrollgruppe dienten kortikale autogene Knochenblöcke, die aus der retromolaren Region des Unterkiefers entnommen wurden [Schwarz et al, 2016c; Schwarz et al, 2016a].
Nach der Zahnextraktion wurde die Zahnwurzel bei allen Prämolaren an der Schmelz-Zement-Grenze separiert und für die Augmentation vorbereitet. Bei den gesunden und parodontal infizierten Zähnen wurde die Zahnpulpa im Bereich der Wurzel erhalten, wohingegen diese in der Gruppe b (endodontische Therapie) bereits initial entfernt wurde. Um die ossäre Integration (Ankylose) im Defektbereich zu fördern [Andreasen, 1980], erfolgte an den entsprechenden Kontaktzonen eine Freilegung des Dentins durch eine vorsichtige Abtragung der Zementschicht mittels Kugelfräse.
Die parodontal infizierten Zähne wurden zudem vor und nach der Extraktion durch ein intensives Scaling und Wurzelglätten von bakteriellen Auflagerungen befreit.
Die hohe Elastizität des Dentins ermöglichte ein hervorragendes klinisches Handling bei der Adaptation und Fixierung (Osteosyntheseschrauben) der Zahnwurzelaugmentate im Defektbereich (Abbildung 2a).
Sowohl in den Test- als auch Kontrollgruppen wurde auf den zusätzlichen Einsatz eines Knochenersatzmaterials oder einer Barrieremembran bewusst verzichtet [Schwarz et al, 2015].
Nach einer plastischen Deckung des Wundgebiets zeigte die Wiedereröffnung nach einer Heilungsphase von zwölf Wochen in allen Gruppen eine vergleichbare homogene Integration der jeweiligen Augmentate im ehemaligen Defektbereich (Abbildung 2b).
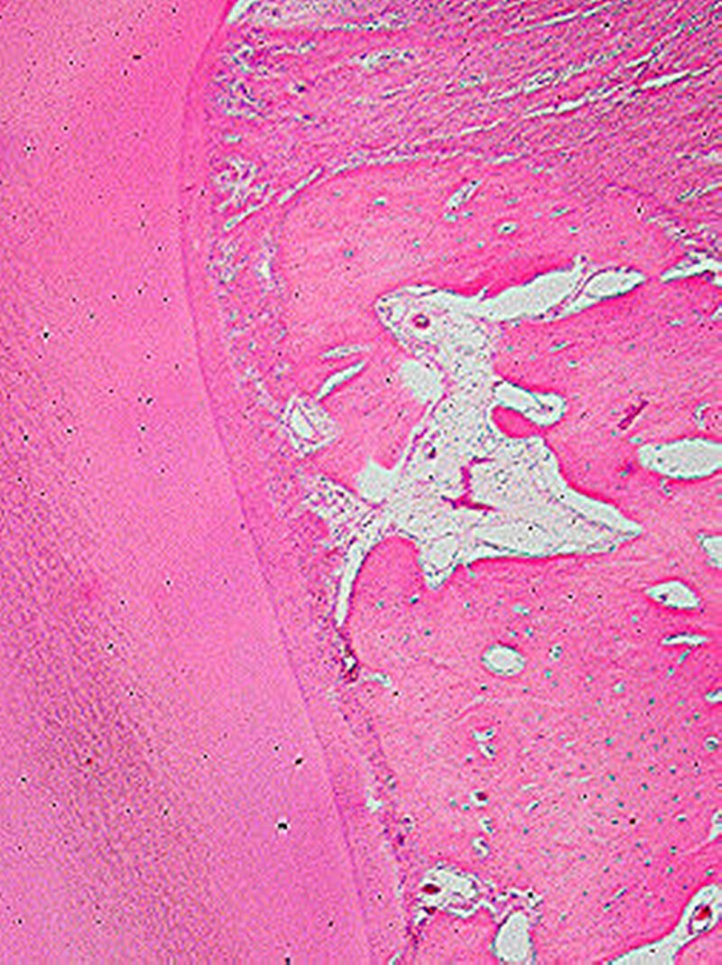
Die histologische Analyse zeigte eine Ersatzresorption sowohl der Zahnwurzel- als auch der autogenen Knochenaugmentate (Abbildung 3). Die hieraus resultierenden Kieferkammbreiten (CW) und knöchern organisierten Augmentationsflächen (AA) waren in allen Test- und Kontrollgruppen vergleichbar: Sie variierten bei den gesunden und endodontisch behandelten Zahnaugmentaten zwischen 2,70 und 2,96 mm (CW) sowie zwischen 7,55 und 11,20 mm2 (AA).
In der Kontrollgruppe (Knochenblöcke) variierten diese Werte zwischen 3,30 und 3,35 mm (CW) sowie zwischen 6,60 und 8,56 mm2 (AA) [Schwarz et al, 2016b]. Vergleichbare Ergebnisse wurden auch in der Gruppe der parodontal infizierten Zahnwurzel beobachtet (CW: 3.83 mm; AA: 10.18 mm2) [Schwarz et al, 2016c].
Von der Osseointegration zur Dentointegration
Die Beschädigung der Wurzeln benachbarter Zähne im Zuge einer Implantatinsertion muss grundsätzlich als Behandlungsfehler gewertet werden. Unabhängig davon deuten tierexperimentelle Studien jedoch darauf hin, dass eine erfolgreiche Implantateinheilung auch in der Kontaktzone zu intentionell belassenen Zahnwurzelfragmenten erfolgen kann. Die Wundheilung in diesem Bereich war sowohl durch eine Ablagerung von neu entstandenem Wurzelzement als auch durch die Ausbildung eines parodontalen Ligamentes auf der Implantatoberfläche gekennzeichnet [Buser et al, 1990; Warrer et al, 1993; Hürzeler et al, 2010]. Weiterhin wurde beschrieben, dass die peripheren Anteile der Implantatoberfläche auch mit einer dünnen Schicht eines atubulären Reparaturdentins, welches sich aus der externen Schicht des exponierten Dentins entwickelte, bedeckt waren. Die mittlere prozentuale mineralisierte Kontaktzone zwischen der Implantatoberfläche und der Zahnwurzel betrug 67,4 Prozent und war mit dem Knochen-Implantat-Kontakt auf der gegenüberliegenden vestibulären Seite mit 63,5 Prozent vergleichbar [Schwarz et al, 2012].
Hieraus wurde der Begriff der Dentointegration abgeleitet, der in Analogie zum Phänomen der Osseointegration eine direkte strukturelle Verbindung zwischen der Implantatoberfläche und der exponierten Dentin/Wurzelmatrix beschreibt [Schwarz et al, 2012].
Klinisch geht die operative Entfernung insbesondere ankylosierter Wurzelreste mit einer erheblichen Kompromittierung des knöchernen Implantatlagers einher, welche in aller Regel weiterführende augmentative Verfahren nach sich zieht. Alternative klinische Konzepte basieren daher auf dem intentionellen Belassen von Wurzelresten, die somit als Teil des Implantatlagers dienen. In klinischen Fallberichten konnten hierbei hohe Implantatüberlebens- und Erfolgsraten beobachtet werden [Davarpahah Szmukler-Moncler, 2009; Davarpanah Szmukler-Moncler, 2009; Davarpanah et al, 2015a; Davarpanah et al, 2015b].
In den oben genannten tierexperimentellen Untersuchungen zur lateralen Augmentation chronischer Kieferkammdefekte unter Verwendung von Zahnwurzelaugmentaten wurde zudem die frühe Einheilphase enossaler Titanimplantate im Defektbereich bewertet [Schwarz et al., 2016c; Schwarz et al., 2016a]: Nach einer Heilungsphase von drei Wochen war die histomorphometrisch bewertete frühe Osseo-, beziehungsweise Dentointegration der eingebrachten Titanimplantate im Bereich der Zahnwurzelaugmentate (Mediane: 36,96 bis 50,79 Prozent) mit der im Bereich der autogenen Knochenblöcke (Mediane: 32,53 bis 64,10 Prozent) vergleichbar (Abbildung 4). Die gemessenen Werte sind mit den frühen – das heißt nach zwei Wochen – prozentualen Knochen-Implantat-Kontakten von 58,8 Prozent bis 59,3 Prozent im nativen Knochenlager grundsätzlich vergleichbar [Schwarz et al., 2007a; Schwarz et al., 2007b].
Weiterführende Analysen zeigten auch, dass die Zahnwurzelaugmentate zu einer vergleichbaren Osteocalcin-Antigen Reaktivität (6,71 versus 2,73 Prozent) im Bereich der Kontaktzone zum Implantat führten sowie ein ähnliches Knochenvolumen pro bewertetem Gewebevolumen (0,34 versus 0,21) (Micro CT) wie die autogenen Knochen- blöcke zeigten. Im Ausdrehversuch zeigten beide Augmentationsgruppen vergleichbare biomechanische Werte (61,97 versus 44,8 Ncm) [Becker et al., 2016].
Mögliche Anwendungen und klinische Konzepte
Grundlegend gilt es anzumerken, dass gemäß der Angaben der Kassenzahnärztlichen Bundesvereinigung alleine in Deutschland jährlich rund 13 Millionen Zähne extrahiert und verworfen werden. Die zur Verfügung stehenden Daten zeigen jedoch deutlich, dass extrahierte Zahnwurzeln eine hochwertige biologische Matrix für die lokalisierte Kieferkammaugmentation darstellen können und das resultierende Knochenlager die regelrechte Osseo-/Dentointegration von Titanimplantaten fördert.
Die Ergebnisse waren nach der Verwendung endodontisch behandelter als auch parodontal infizierter Zähne (nach Scaling und Wurzelglättung) im Tierversuch grundsätzlich mit denen von gesunden Zahnwurzeln vergleichbar.
In einem ersten Pilotversuch beim Menschen konnte das Verfahren der autogenen Wurzeltransposition erfolgreich bestätigt werden. Hierbei diente ein retinierter oberer Weisheitszahn als Quelle für das Wurzelaugmentat, das zur lateralen Augmentation einer Schaltlücke im Unterkiefer analog zu dem oben genannten chirurgischen Verfahren eingesetzt wurde. Nach einer Heilungsphase von sechs Monaten zeigten sich deutlich klinische Anzeichen für eine nahezu vollständige Ersatzresorption der Zahnwurzel durch eine mineralisierte Hartsubstanz. Die horizontale Verbreiterung des ehemaligen Defektbereichs ermöglichte eine prothetisch orientierte, regelrechte Implantatinsertion (Abbildungen 5a und b).
Neben retinierten, impaktierten, verlagerten oder überzähligen Zähnen werden im nächsten Schritt auch endodontisch behandelte Zähne ohne Anzeichen einer lokalen Pathologie für die Gewinnung von Zahnwurzelaugmentaten klinisch untersucht (Abbildungen 6a und b).
Neben einer Transposition in bereits bestehende Defektbereiche könnte die Zahnwurzel auch zur direkten Augmentation defizitärer Extraktionsalveolen (zum Beispiel Schalentechnik bei Dehiszenzdefekten) Verwendung finden (Abbildung 6c).
Aktuell werden diese und weitere Konzepte in einer prospektiven klinischen Studie am Universitätsklinikum Düsseldorf untersucht.
Mit großer Wahrscheinlichkeit werden Wurzelaugmentate die Zahnmedizin in naher Zukunft um ein wichtiges Kapitel erweitern.
Univ. Prof. Dr. Frank Schwarz, Dr. Vladimir Golubovich, Dr. Ilja Mihatovic,ZÄ Didem Hazar, Univ. Prof. Dr. Jürgen Becker
Poliklinik für ZÄ Chirurgie und Aufnahme Westdeutsche Kieferklinik
Universitätsklinikum Düsseldorf der Heinrich-Heine-Universität
Moorenstraße 5, 40225 Düsseldorf
Prof. Dr. rer. nat. Birgit Henrich, Institut für Medizinische Mikrobiologie und Krankenhaushygiene
Universitätsklinikum Düsseldorf
Moorenstr. 5, 40225 Düsseldorf
Dr. MSc. (Informatik) Kathrin Becker, Univ. Prof. Dr. Dieter Drescher
Poliklinik für Kieferorthopädie, Westdeutsche Kieferklinik
Universitätsklinikum DüsseldorfMoorenstraße 5, 40225 Düsseldorf
















