S2k-Leitlinie "Operative Entfernung von Weisheitszähnen" aktualisiert
Unter der Federführung von DGMKG und DGZMK wurde die S2k-Leitlinie "Operative Entfernung von Weisheitszähnen" in Zusammenarbeit mit sieben weiteren beteiligten Fachgesellschaften und Institutionen, darunter die Bundeszahnärztekammer und die Kassenzahnärztliche Bundesvereinigung, aktualisiert. Die letzte Überarbeitung stammt aus dem Jahr 2013.
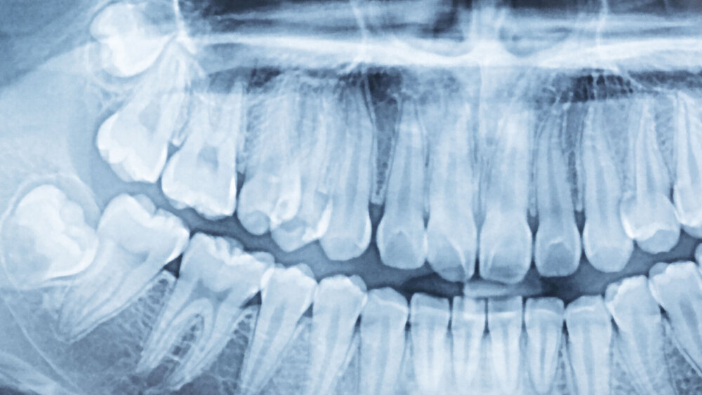
Indikationsstellung
Bereits in der Leitlinie von 2013 wurde die traditionelle Unterscheidung von klinisch beziehungsweise radiologisch symptomlosen und symptomatischen Zähnen in Frage gestellt. Diese Einschätzung wird in der aktualisierten Leitlinie bekräftigt und mit Erkenntnissen aus neueren wissenschaftlichen Arbeiten unterlegt. So ist bei belassenen Weisheitszähnen nicht nur zu einem relevanten Teil mit pathologischen Veränderungen, die sich auch auf die parodontale Situation der angrenzenden Molaren und darüber hinaus auswirken können, sondern "auch an benachbarten 12 Jahr Molaren mit einer hohen Rate (bis rund 50 Prozent) an distaler Karies als Folge einer engen Lagebeziehung zum Weisheitszahn zu rechnen (McArdle et al. 2016, Kang et al. 2016)". Vor diesem Hintergrund "erscheint eine grundsätzliche Unterscheidung zwischen prophylaktischer und therapeutischer Weisheitszahnentfernung nicht mehr gerechtfertigt", so die Leitlinienautoren.
Auf der anderen Seite wird auf longitudinale Untersuchungen verwiesen, die zeigen, "dass sich rund 30 Prozent der um das 18. Lebensjahr zur Entfernung vorgesehenen Weisheitszähne im weiteren Verlauf bis zum 30. Lebensjahr regulär in die Zahnreihe einstellen (Kruger et al., 2001)".
Im Hinblick auf die Komplikationen zeigen sich der Leitlinie zufolge mit steigendem Alter zwei gegenläufige Entwicklungen: "Während die Häufigkeit von inflammatorischen Komplikationen in der Altersgruppe zwischen 18 und 35 Jahren ein Maximum hat und danach mit zunehmendem Lebensalter abnimmt (Fernandes et al. 2009), ergeben sich gleichzeitig mit zunehmendem Alter vermehrt Komplikationen bei der operativen Entfernung (Chuang et al., 2007, Baensch et al. 2017).
DVT
Zum Thema DVT wird als Statement formuliert: "Eine dreidimensionale Bildgebung ist vor einer Weisheitszahnentfernung nicht erforderlich, wenn in der konventionell zweidimensionalen Bildgebung keine Hinweise auf eine besondere Risikosituation vorliegen." Bislang konnte nicht gezeigt werden, "dass der Gewinn an Informationen über die Wurzelmorphologie und Topographie durch die 3-D-Diagnostik tatsächlich zu einer anderen operativen Vorgehensweise geführt hat und dass diese dann auch in einer verminderten Nerv-Schädigungsrate resultiert."
Auf der anderen Seite kann die dreidimensionale Bildgebung indiziert sein, "wenn in der konventionellen zweidimensionalen Bildgebung Hinweise auf eine unmittelbare Lagebeziehung zu Risikostrukturen oder pathologischen Veränderungen vorhanden sind und gleichzeitig aus Sicht des Behandlers weitere räumliche Informationen entweder für die Risikoaufklärung des Patienten, Eingriffsplanung oder auch für die intraoperative Orientierung erforderlich sind."
Hintergrund:
Hintergrund:




