Schädelmetastase weist auf unentdecktes Rektumkarzinom hin
Anamnese
Die 87-jährige Frau stellte sich mit einer seit 1,5 Monaten bestehenden, schnell größenprogredienten, schmerzlosen, jetzt tischtennisballgroßen Schwellung im Bereich Stirn-, Haargrenze median bei intakter Hautoberfläche vor. Palpatorisch ergibt sich kein Anhalt für zystischen Prozess (Abbildung 1). Eigenanamnestisch berichtet sie von einem kurativ behandelten Mammakarzinom vor 20 Jahren. Weitere Beschwerden bestehen nicht, sie ist altersgerecht fit und gesund.
Diagnostik und Therapie
Die Patientin wurde zur Diagnostik und Therapieeinleitung stationär aufgenommen. Ein maligner Prozess, eventuell eine Metastase des ehemals behandelten Mammakarzinoms, wird in die diagnostischen Überlegungen einbezogen.
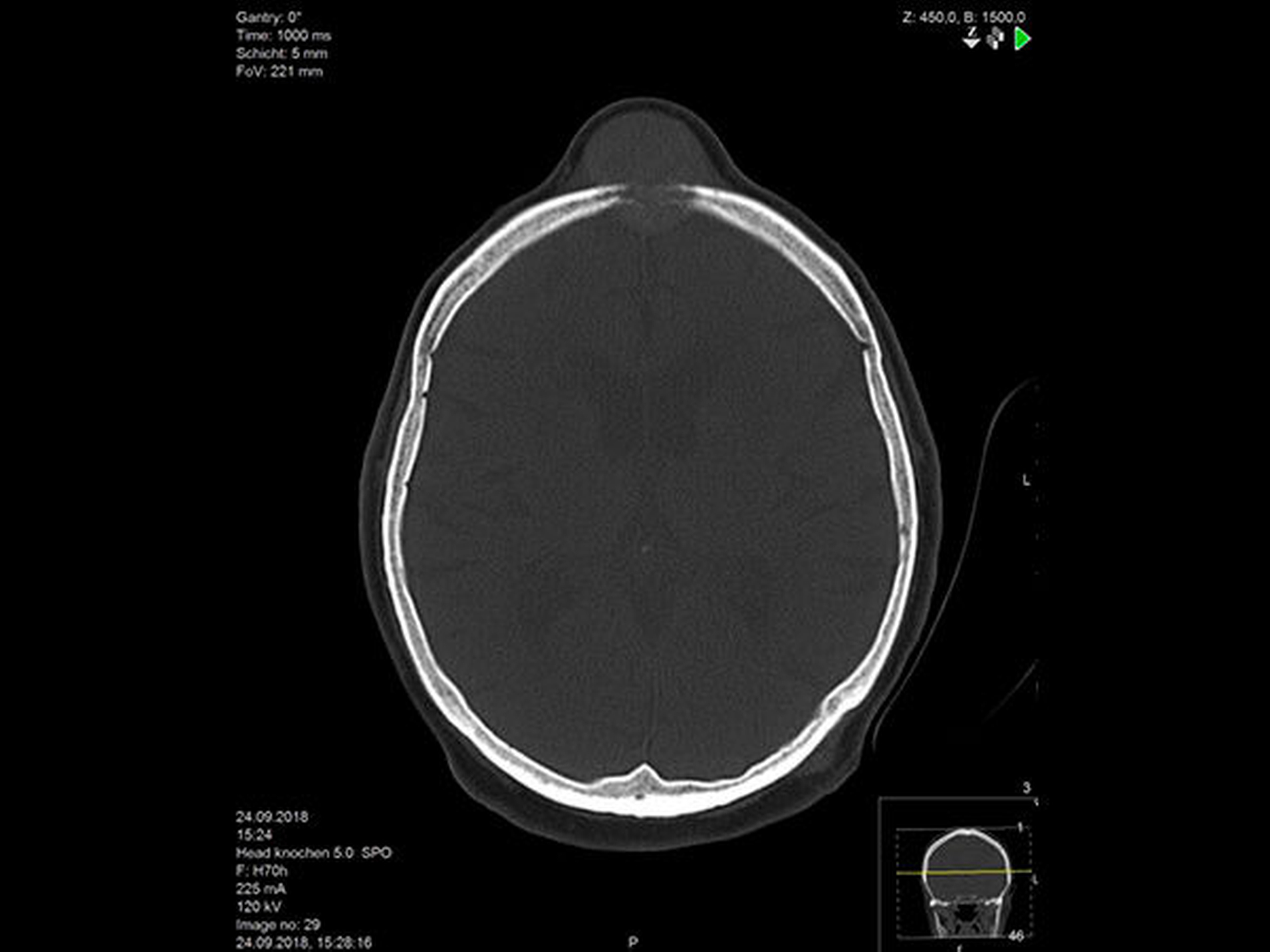
Nach Befundbesprechung mit der Patientin, Einwilligung zur Probenentnahme wird diese nach kranialer CT-Diagnostik in Lokalanästhesie durchgeführt. In der CT-Befundung zeigt sich ein infiltrativ wachsender Prozess, die Kalotte ist osteolytisch verändert, eine Alteration des Sinus sagittalis superior ist wahrscheinlich (Abbildung 2).
Das histologische Ergebnis der Probenentnahme beschreibt Anteile eines Adenokarzinoms mit dem einem Kolontyp ähnlichen Wachstumsmuster bei gleichzeitiger Knocheninfiltration. Immunhistologische Zusatzuntersuchungen führen zum hochgradigen Verdacht auf eine von einem kolorektalen Karzinom ausgehende
Metastase.
Im nun durchgeführten bildgebenden Staging wird im kranialem MRT die Infiltration des Sinus sagittalis superior bestätigt, eine weitere intrakranielle Filiarisierung ausgeschlossen (Abbildung 3).
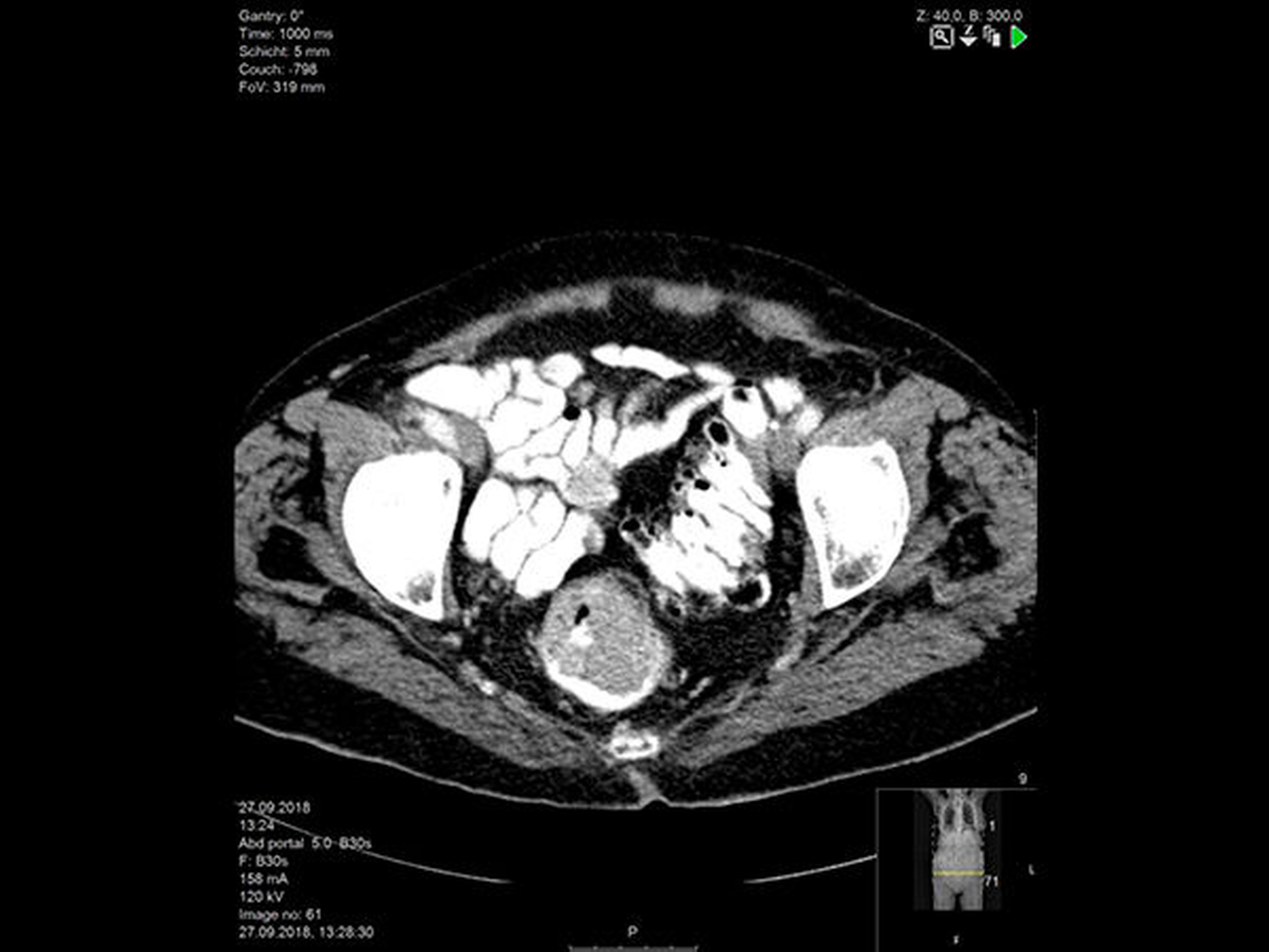
Die CT-Untersuchung von Hals, Thorax, Abdomen und Becken zeigt
ein ausgedehntes Rektumkarzinom mit perifokaler Lymphadenopathie, bipulmonalen und hepatischen Metastasen
(Abbildung 4).
Nach Falldiskussion in unserer interdisziplinären Tumorkonferenz wird der Patientin eine palliative Chemotherapie mit lokaler Bestrahlung der Kopfmetastase vorgeschlagen. In diesen Therapieansatz willigt sie ein.
Diskussion
Bei bis zu 10 Prozent maligner Tumore treten Hautmetastasen auf [ Arndt et al. , 2002; Braun-Falco et al., 2012; , Fritsch, 2004].
Als Primärprozesse kommen maligne Melanome und Mammakarzinome am häufigsten vor. Malignome ausgehend vom Gastrointestinum, von Lunge, Uterus und Niere aber auch des Oropharynx können zu Hautmetastasen führen [ Lookingbill et al., 1993].
Hautmetastasen entstehen meist in der Nähe des Primärtumors, aber bis zu zwei Fünftel der Hautmetastasen in weiter entfernteren Hautbereichen. Hier insbesondere Metastasen des malignen Melanoms, des Mamma-, Lungen- und Nierenkarzinoms [ Lookingbill et al., 1993; Krathen et al., 2003; Wolina et al. , 2004).
Bei Frauen entstehen Kopfhautmetastasen am häufigsten beim Mammakarzinom, beim malignen Melanom, Malignomen des Ovar, der Lunge, des Gastrointestinum und des Oropharynx. Bei Männern liegt der Ursprungstumor in der Lunge, dem Gastrointestinum, Oropharynx, Ösophagus und der Niere, aber auch das metastasierte Maligne Melanom kommt häufig vor [Fritsch, 2004].
Kalottenmetastasen haben ihren häufigsten Ursprung im Prostata- und Mammakarzinom, aber auch Tumore der Lunge, des Kolon, der Niere, der Schilddrüse und das maligne Melanom können Ursache sein [ Coleman, 2006; Laigle-Donadey, 2005; Michael et al., 2001; Mitsuya et al, 2011] .
In dem hier geschilderten Fall ist eine Zuordnung zum Ursprungsort der Metastase (Knochen oder Kopfhaut) schwierig, Kopfhaut- wie Kalottenmetastasen sind beim Rektumkarzinom in seltenen Fällen möglich.
Bei bis zu 11 Prozent der Rektumkarzinomfälle treten Hautmetastasen auf, dann aber häufig in Operationsnarbenbereichen [ Lookingbill et al., 1993]. Schädelknochenmetastasen treten in bis zu 38 Prozent der vorhergenannten Ursprungstumore auf [ Laigle-Donadey, 2005] .
Aussagen zum prozentualen Anteil von Kopfhautmetastasen beim Rektumkarzinom ist in der uns zur Verfügung stehenden Literatur nicht zu entnehmen. Das gilt ebenfalls für Kalottenmetastasen.
Vom histologischen wie röntgenmorphologischen Standpunkt sehen wir den Ursprungsort der Metastase in der Kalotte mit davon ausgehender intrakranieller sowie Ausbreitung in die Kopfhaut.
Fazit für die Praxis
Infiltrativ wachsende Kopfhaut- oder Kalottentumore können Symptom eines malignen Geschehens andernorts sein. Differenzialdiagnostisch ist an Metastasen ausgehend vom Malignen Melanom, Malignomen von Mamma, Gastrointestinum, Lunge, Uterus, Niere und Prostata zu denken.
Nach Vorstellung und Diskussion jedes einzelnen Falles in der Tumorkonferenz erfolgt die Therapie multi- und interdisziplinär.
Dr. med. Dr. med. dent. Thilo Prochno Helios Klinikum Bad SaarowAbteilung für Mund-, Kiefer-, Gesichtschirurgie/Plastische Operationen
Dr. med. Dipl.-Phys. Jan PeterseinHelios Klinikum Bad SaarowInstitut für RadiologiePieskower Str. 33, 15526 Bad Saarow
###more### ###title### Literatur ###title### ###more###
Literatur
Arndt KA, Bowers KE. Manual of dermatologic therapeutics. Philadelphia: Lippincott, Williams & Wilkins, 2002.
Braun-Falco O, Plewig G, Wolff HH, Burgdorf W. Dermatology. New York Heidelberg Berlin: Springer, 2012
Coleman RE (2006) Clinical features of metastatic bone disease and risk of skeletal morbidity. Clin Cancer Res 2006 (12) : 3243s–3249s
Fritsch PO. Dermatologie. Heidelberg Berlin New York: Springer, 2004
Krathen RA, Orengo IF, Rosen T (2003) Cutaneous Metastasis: A Meta-analysis of Data. South Med J 96: 164-167
Laigle-Donadey F, Taillibert S, Martin-Duverneuil N, et al. (2005) Skull-base metastases. J Neurooncol 75:63–69
Lookingbill DP et al. (1993) Cutaneous metastases in patients with metastatic carcinoma: a retrospective study of 4020 patients. J Am Acad Dermatol 29:228-236
Michael CB, Gokaslan ZL, DeMonte F, et al. (2001) Surgical resection of calvarial metastases overlying dural sinuses. Neurosurgery 48:745–755
Mitsuya K, Nakasu Y, Horiguchi S et al. (2011) Metastatic skull tumors: MRI features and a new conventional classifi cation. J Neurooncol 104:239–245
Wolina U, Graefe H, Konrad J, Schönlebe A, Koch G, Hansel G, Haroske G, Köstler E (2004) Cutaneous metastasis of internal cancer. Acta Dermatoven APA 13 (2):79-84






