Manifestation eines malignen Lymphoms an der Schläfe
Anamnestische Hinweise für das Vorliegen einer B-Symptomatik wie Fieber, Nachtschweiß oder Gewichtsverlust lagen nicht vor. Die klinische Untersuchung zeigte keine Entzündungszeichen oder Einschränkungen der Motorik beziehungsweise Sensorik im Gesichtsbereich. Der palpatorisch derbe Befund war jedoch schlecht verschieblich zum umliegenden Gewebe.
In der B-Mode-Sonografie (Abbildung 3) präsentierte sich eine unscharf begrenzte, wenig komprimierbare Raumforderung mit inhomogenem Binnenecho im Bereich des Muskulus temporalis. Eine gesteigerte Durchblutung im Dopplermode konnte nicht nachgewiesen werden. Die weitere sonografische Untersuchung im Kopf- und Halsbereich war insbesondere hinsichtlich der Lymphknoten unauffällig.
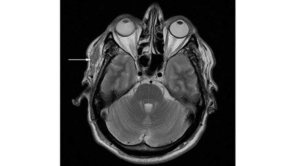
Korrespondierend zum klinischen und sonografischen Befund zeigte sich in einer von extern bereits vorliegenden MRT-Untersuchung eine unscharf begrenzte, inhomogene Raumforderung (Abbildungen 4 und 5). Über einen präaurikulären Zugang wurde der Befund scharf aus dem umliegenden Gewebe unter Schonung der relevanten Gefäß- und Nervstrukturen entfernt (Abbildung 6).
In der histopathologische Aufarbeitung des Präparats (Abbildungen 7 und 8) präsentierte sich ein atypisches lymphoides Infiltrat mit zum Teil blastären Zellen. In Zusammenschau mit den ergänzenden immunhistochemischen Untersuchungen wurde die Diagnose eines B-Zell-Non-Hodgkin-Lymphoms gestellt, so dass der Patient an die Hämatoonkologie weitergeleitet wurde. Bei zwar grenzwertig vergrößerten Lymphknoten supra- und infradiaphragmal, aber fehlender Symptomatik wurde eine „Watch-and-wait“-Position verfolgt. Der Patient ist seither im Recall bei stabiler Erkrankung.
Diskussion
Unter der Bezeichnung malignes Lymphom wird eine heterogene Gruppe maligner Erkrankungen zusammengefasst, die von den Zellen des lymphatischen Systems ausgehen. Nach der aktuellen Klassifikation der WHO aus dem Jahr 2008 wird weiterhin zwischen den Non-Hodgkin-Lymphomen und dem Hodgkin-Lymphom unterschieden, wobei sich letztere durch das typische Vorkommen von Hodgkin- und Sternberg-Reed-Zellen auszeichnen [Swerdlow et al., 2008].
Aufgrund des ubiquitären Vorkommens lymphatischen Gewebes können sich Non-Hodgkin-Lymphome überall im Körper manifestieren. In circa einem Drittel der Fälle manifestieren sich die Non-Hodgkin-Lymphome extranodal, wobei das B-Zell-Non-Hodgkin-Lymphom mit knapp 90 Prozent den häufigsten histologischen Subtyp darstellt.
T-Zell-Lymphome sind mit gut zehn Prozent deutlich seltener. Lymphome – ausgehend von natürlichen Killerzellen – sind extrem selten [Walter et al., 2015; Hart et al., 2004]. Das häufigste Leitsymptom ist die schmerzlose Lymphknotenschwellung beziehungsweise das Allgemeinsymptom Fieber unklarer Ursache, kann aber in Abhängigkeit von der Lokalisation in den jeweiligen Organsystemen stark variieren.
In Deutschland treten pro Jahr circa 16.000 Neuerkrankungen auf, womit sie einen Anteil von fünf Prozent aller Malignome ausmachen. Männer und Frauen sind etwa gleich häufig betroffen. Das mittlere Erkrankungsalter beträgt bei Frauen 70, bei Männern 66 Jahre.
Sowohl die Zunahme der Neuerkrankungen in den vergangenen Jahrzehnten als auch die Ursachen für die Entstehung von Non-Hodgkin-Lymphomen sind weiterhin unbekannt, als potenzielle Risikofaktoren für die Entstehung gelten jedoch neben genetischen Faktoren, Virusinfektionen (HIV, Epstein-Barr-Virus und mehr), Infektionen mit Helicobacter pylori (MALT-Lymphom), die Immunsuppression, radioaktive Strahlung, Rauchen sowie zunehmendes Alter [Kaatsch et al., 2012].
Die Stadieneinteilung erfolgt nach der Ann-Arbour-Klassifikation und unterscheidet vier Stadien in Abhängigkeit von der Anzahl und Lokalisation der Herde (einseitig oder beidseitig des Zwerchfells) sowie von ihrer Art, das heißt, ob es sich allein um einen Lymphknoten- beziehungsweise einen diffusen Organbefall (wie Knochenmark, Leber und mehr) handelt. Beim Vorliegen von Allgemeinsymptomen wie Fieber, Nachtschweiß oder Gewichtsverlust bekommt das Stadium den Zusatz B, fehlen diese Symptome, erhält es den Zusatz A. Ein extranodaler Befall (zum Beispiel in Lunge, Knochen, Muskeln) wird durch Hinzufügen des Buchstabens E kenntlich gemacht [Dreyling, 2007].
Therapie
In Abhängigkeit vom Tumorstadium, vom Subtyp des Lymphoms und vom allgemeinen Gesundheitszustand des Patienten bestehen die Therapieoptionen aus der Kombination oder der alleinigen Behandlung mittels Chemo-, Strahlen- und Antikörpertherapie sowie der Knochenmarkstransplantation.
Eine chirurgische Therapie spielt nur in Ausnahmefällen eine Rolle, ist jedoch obligat für die histologische Gewinnung von ausreichend aussagekräftigem Probenmaterial für die Differenzierung der Subtypen [Dreyling, 2007; Walter, 2015].
Unklare Schwellungen in der Kopf-Hals- Region sollten stets einer histologischen Sicherung zur schnellstmöglichen Diagnosegewinnung zugeführt werden, damit gezielt, individuell und – vor allem – schnell therapiert werden kann.
Fazit für die Praxis
Das maligne Lymphom besteht aus einer heterogenen Gruppe von Malignomen, die sich aus den Zellen des lymphatischen Systems ableiten. Ein häufiger Manifestationsort für Lymphome ist die Kopf-Hals-Region. Persistierende, unklare Schwellungen der Kopf-Hals-Region sollten stets einer histologischen Sicherung zugeführt werden.
Dr. Dr. Keyvan Sagheb, Roman Rahimi-Nedjat, PD Dr. Dr. Christian Walter
Klinik und Poliklinik für Mund-, Kiefer- und Gesichtschirurgie - plastische Operationen
Universitätsmedizin der Johannes Gutenberg-Universität Mainz
Augustusplatz 2, 55131 Mainz
walter@mkg.klinik.uni-mainz.de
Dr. Cristina L. Cotarelo
Institut für Pathologie der Universitätsmedizin Mainz
Langenbeckstr. 1, 55131 Mainz












