Diagnose eines Pneumothorax durch MKG-DVT
Ein 46-jähriger Patient wurde an einem Samstagabend über die zentrale Notaufnahme initial dem diensthabenden MKG-Chirurgen vorgestellt, nachdem er nach eigenen Angaben zu Hause über einen Teppich gestolpert und auf das Gesicht gestürzt war. Der Patient beklagte vorwiegend Schmerzen am Oberkiefer, eine schnell zunehmende Schwellung im Gesichtsbereich sowie eine nasale Sprache.
Diagnostik
Prellmarken waren nicht ersichtlich, Hypästhesien oder Okklusionsstörungen wurden nicht berichtet. Bei der klinischen Untersuchung zeigte sich ein eindrückliches Weichteilemphysem im gesamten Mittel- und Untergesicht und im Halsbereich beidseits (Abbildung 1). Schluckbeschwerden bestanden anamnestisch ebenfalls nicht.

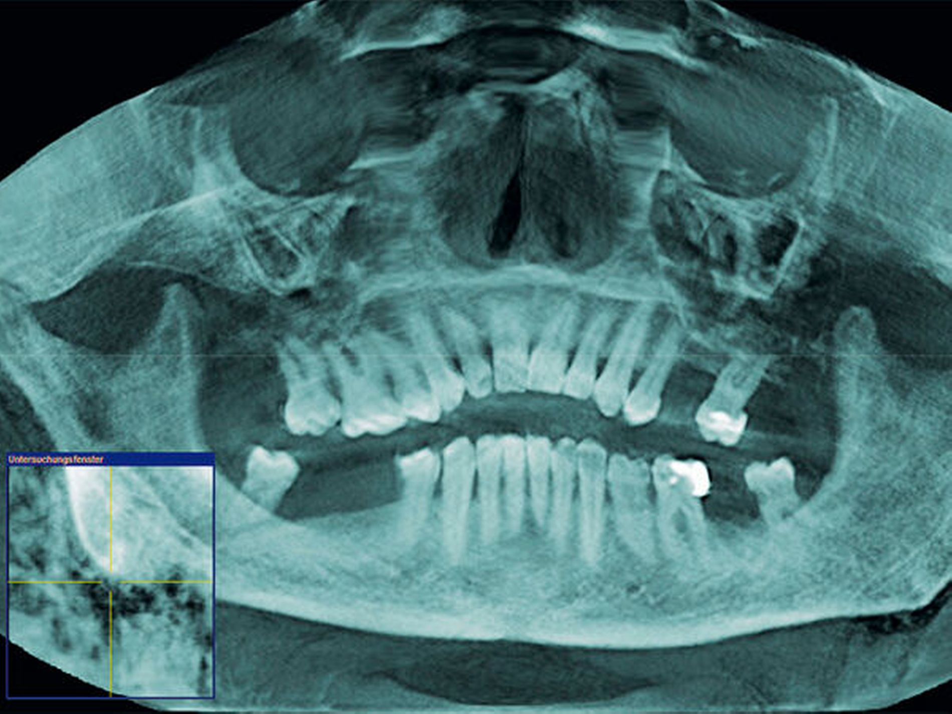
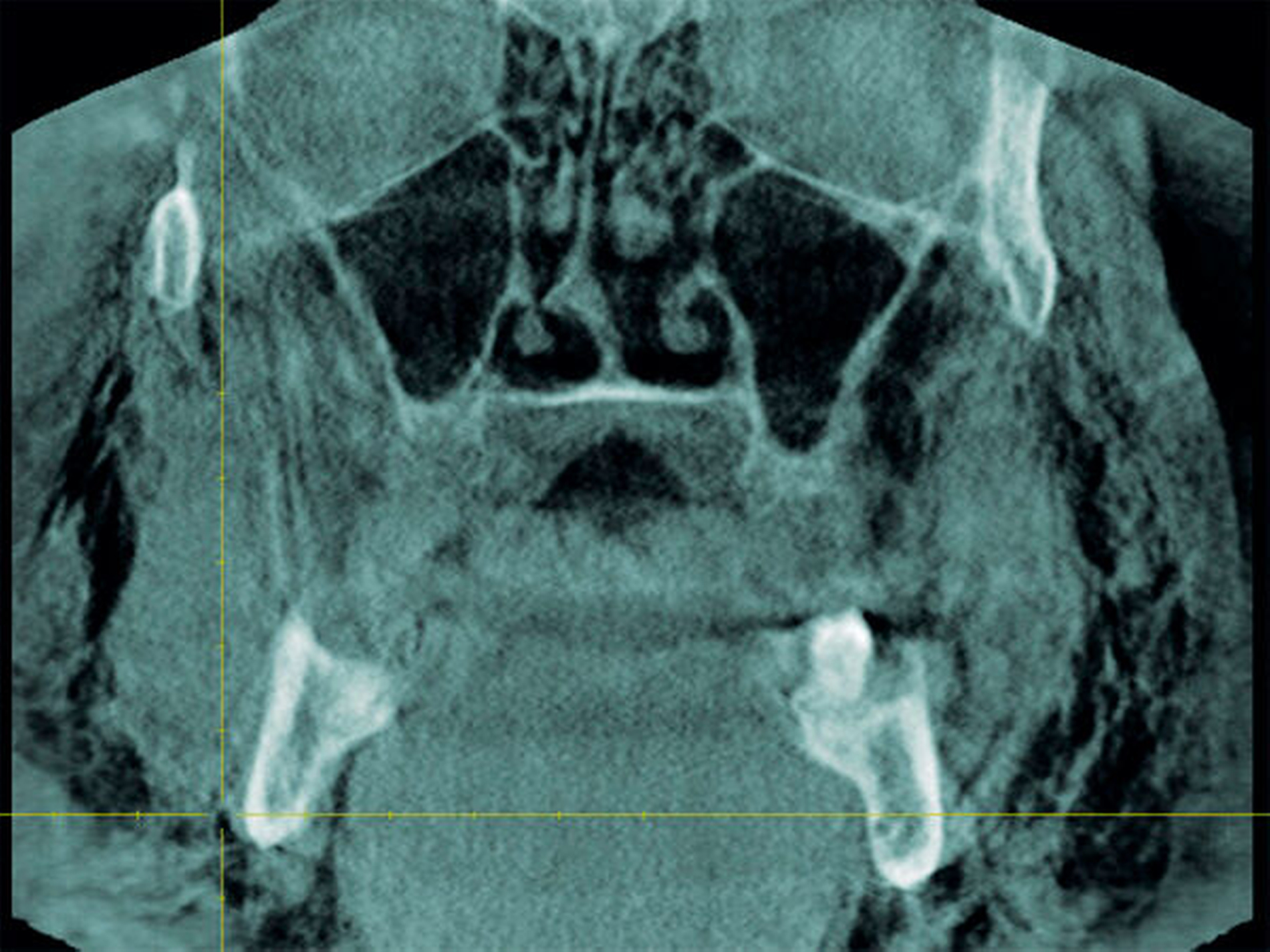
Zum Ausschluss einer Mittelgesichtsfraktur bei palpatorischem Weichteilemphysem erfolgte zur weiteren Diagnostik eine DVT-Aufnahme. Es zeigten sich keine Frakturen im Bereich des Mittelgesichts oder der Kiefer. Jedoch kam in der DVT-Bildgebung sowie in der OPT-Optik ein massives Weichgewebeemphysem zur Darstellung (Abbildungen 2 bis 5).
Bei daraufhin erneut durchgeführter Anamnese gab der Patient nun an, bei seinem Sturz zunächst mit dem linken Oberkörper gegen einen Tisch geprallt zu sein. Danach erst sei er mit dem Gesicht an den Tisch geschlagen. Links thorakal habe er jedoch keine nennenswerten Schmerzen, Beschwerden bei der Atmung wurden verneint.
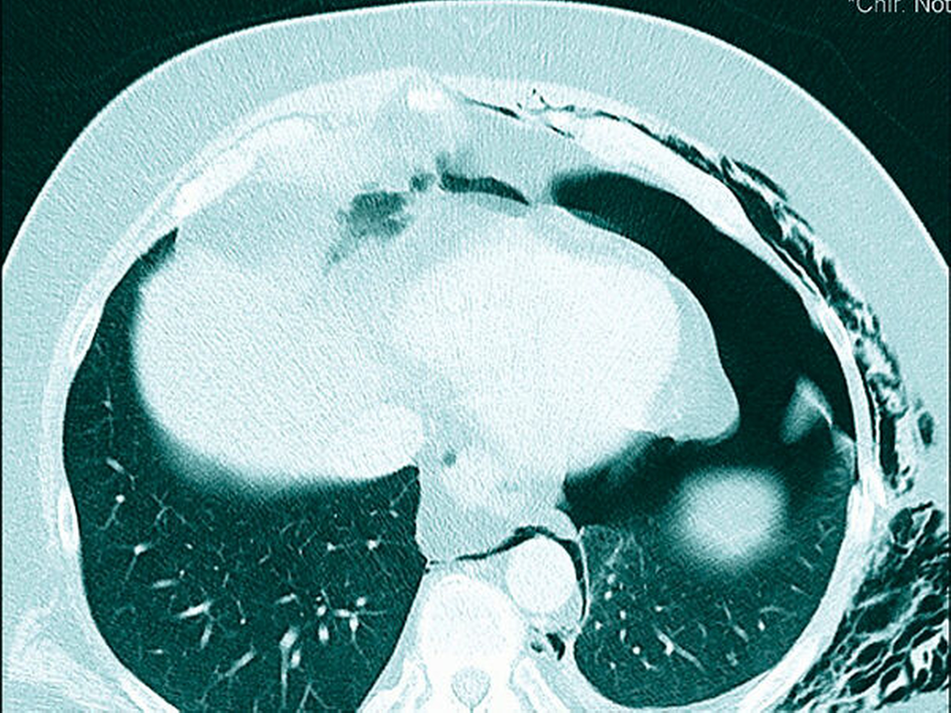
Die daraufhin durch die visceralchirurgische Abteilung durchgeführte Röntgen-Thorax-Aufnahme ergab keinen Frakturbefund im Bereich der Rippen bei ausgedehntem Weichteilemphysem. Bei weiterhin unklarer Diagnose und fehlenden radiologischen Korrelationen wurde auf nachdrückliche Indikation des MKG-Chirurgen eine Computertomografie des Thorax durchgeführt.
Diese zeigte nun Frakturen der siebten bis neunten Rippe links lateral, einen linksseitigen Mantelpneumothorax sowie ein ausgedehntes Weichteilemphysem mit Einstrahlen in den Hals, in den Rücken sowie in das Mediastinum (Abbildung 6).
Nach erneuter Vorstellung des Patienten bei den visceralchirurgischen Kollegen erfolgte nach Anlage einer Bülau-Thorax-Drainage die stationäre Aufnahme.
Im Weiteren zeigte sich ein protrahierter Verlauf mit Hämatothorax und Pleuraempyem. Der Patient verblieb insgesamt dreieinhalb Wochen im stationären Aufenthalt bis zur restitutio ad integrum.
Diskussion
Der dargestellte Fall zeigt einmal mehr die essenzielle Bedeutung einer gründlichen, gegebenenfalls wiederholten Anamnese und Erstuntersuchung, wobei die Patientencompliance eine grundlegende Rolle spielt.
Bei dem adipösen und indolenten Patienten waren in diesem Fall die klinischen Symptome eines Pneumothorax maskiert, die Anamnese war irreführend und die zweidimensionale Bildgebung des Thorax war zur Diagnosesicherung insuffizient. Diese Konstellation kann häufiger auftreten und ist für den erstbehandelnden Arzt in der Notaufnahme immer eine Herausforderung [Di Saviero, 2013; Rierson, 2016].
Weiterhin wird deutlich, dass bei in aller Regel doch sehr eingeschränkter Beurteilbarkeit von Weichgewebe im DVT in diesem speziellen Fall eine weiterführende Diagnostik und Therapie eingeleitet werden konnte.
Das Emphysem war initial im DVT so eindrucksvoll sichtbar, dass es trotz fehlender klinischer Symptomatik im Thoraxbereich, schwieriger Anamnese und blander zweidimensionaler Bildgebung der Lunge (RÖ-Thorax) der Faktor für eine weitere dreidimensionale Bildgebung (CT-Thorax) war, die letztendlich die Verdachtsdiagnose sicherte.
Wäre dieser Patient ohne adäquate Diagnose und Therapie des Pneumothorax nachts aus der Notaufnahme nach Hause entlassen worden, hätte Lebensgefahr bestanden.
Dass die Diagnosefindung bei unauffälliger OPG- und Röntgen-Thorax-Aufnahme ebenso zeitnah erfolgt wäre, ist eher unwahrscheinlich. So ist anzunehmen, dass bei bestimmten Fragestellungen – wie hier – eine initiale dreidimensionale zahnärztliche Bildgebung mittels DVT dem klassischen OPG überlegen ist.
Zur Frakturdiagnostik im Mittelgesichtsbereich eignet sich das DVT sehr gut, außerdem ist die freie Luft des Emphysems im undifferenzierten Weichgewebe gut darstellbar.
In diesem Fall zeigt sich auch die mitunter eingeschränkte Aussagekraft der konventionellen Röntgen-Thorax-Aufnahme, so dass dem initial behandelnden MKG-Chirurgen durchaus die Indikationsstellung zu einer thorakalen Computertomografie obliegt [Baik, 2016].
Fazit für die Praxis
Die Ursache eines Emphysems im Kopf-Hals-Bereich muss definitiv abgeklärt werden.
Demzufolge muss bei fehlendem Fokus im Kopf-Hals-Bereich an eine umfassende Diagnostik der Emphysemursache gedacht werden.
Mittels der digitalen Volumentomografie können Weichteile schlecht bis gar nicht beurteilt werden, Lufteinschlüsse im Weichgewebe hingegen können gut dargestellt werden.
Dr. Sebastian Heil*
Dr. Isabel M. Nolte*
(*geteilte Erstautorenschaft)
Prof. Dr. Dr. Robert A. Mischkowski
PD Dr. Dr. Oliver C. Thiele, M.Sc., FEBOMS
Klinik für Mund-, Kiefer- und plastische Gesichtschirurgie
Klinikum Ludwigshafen
Bremserstr. 79, 67061 Ludwigshafen
thieleo@klilu.de
Literatur
Baik JH, Ko JM, Park HJ: Pitfalls in Radiographic Interpretation of Emphysema Patients. Can Assoc Radiol J. 2016 Aug;67(3):277–83. doi: 10.1016/j.carj.2015.09.015. Epub 2016 Apr 15.
Di Saverio S, Kawamukai K, Biscardi A, Villani S, Zucchini L, Tugnoli G: Trauma-induced „Macklin effect“ with pneumothorax and large pneumomediastinum, disguised by allergy. Front Med. 2013 Sep;7(3):386–8. doi: 10.1007/s11684–013–0278-y. Epub 2013 Jul 15.
Rierson D, Bueno J: Pneumothorax in the Supine Patient: Subtle Radiographic Signs. J Thorac Imaging. 2016 Jul;31(4):W16–22. doi: 10.1097/RTI.0000000000000216.









