Ästhetikklammern im Frontzahnbereich
Eine minimalinvasive Therapie wird in allen medizinischen Fächern wann immer möglich und sinnvoll gegenüber klassischen Vorgehensweisen bevorzugt. Auch in der zahnärztlichen Prothetik ist dies durch die Anwendung der Klebetechnik und der Verwendung glasfreier Hochleistungskeramiken beim festsitzenden Zahnersatz gut zu realisieren - ohne die Ansprüche an naturidentischen Zahnersatz herabzusetzen.
In der Teilprothetik ist die konventionelle Modellgussprothese die einzig wirklich minimalinvasive und bewährte Methode, um ein Lückengebiss dauerhaft zu versorgen. Bukkal liegende und häufig sichtbare Klammeranteile sind aber ein Ärgernis gerade bei den Patienten, bei denen die Zähne stark entblößt werden. Das vorliegende Beispiel zeigt eine Patientin, bei der eine gute Kombination zwischen Funktionalität und Ästhetik erreicht werden konnte.
Der Fall
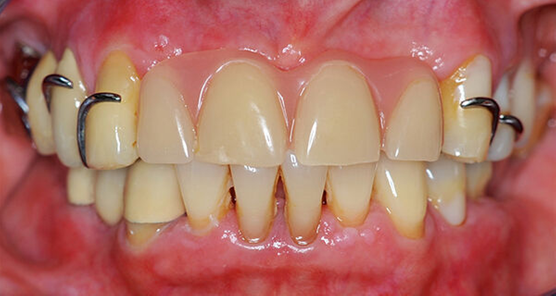
Die 86-jährige Patientin stellte sich im Studentenkurs nach einer konventionellen Versorgung mit einer Modellgussprothese vor (Abbildungen 1 bis 4).
Trotz sehr guter Passung und Funktion war sie mit dem Erscheinungsbild ihrer Prothese nicht zufrieden, da sie gerne und ausgeprägt lachte und sowohl der Frontzahnsattel als auch die Klammeranteile ihren Ansprüchen nicht genügten.
Eine Versorgung mit einer Teleskopprothese oder gar eine implantatgestützte festsitzende Versorgung lehnte die Patientin aus Alters- und Kostengründen ab. Da die auch neu hergestellten Kronen auf den Zähnen 14 und 17 sehr gut passten, musste nur die klammerverankerte Prothese erneuert werden.
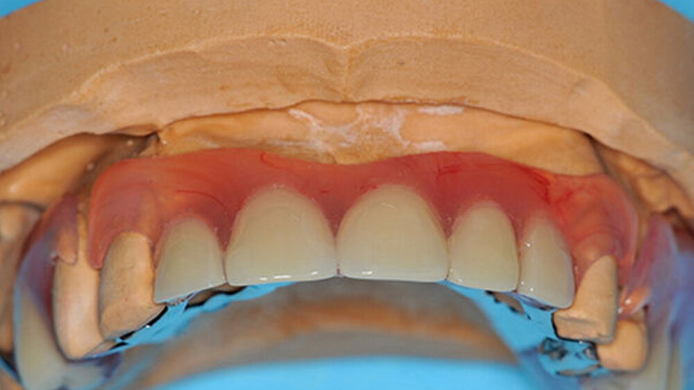
Nach Rücksprache mit dem zahntechnischen Labor haben wir uns für eine Kombination aus klassischer Konstruktion im nicht sichtbaren Bereich und einer doch auch aufwendigeren Konstruktion für den ästhetisch relevanten Bereich entschieden. Die flexiblen retentiven Klammerarme wurden mit dem Polyamidkunststoff Valplast ersetzt (Abbildung 5a).
Durch die hohe Flexibilität des Kunststoffs konnte eine ausreichende Retentionswirkung in den Infrawölbungen erzielt werden. Die fast transparente Erscheinung ließ diese Konstruktionselemente optisch auch fast unsichtbar erscheinen. Auch der Frontzahnsattel konnte mit diesem Material im vestibulären Bereich mit einer sehr naturidentischen Farbgestaltung fast unsichtbar gestaltet werden.
Alle funktionellen und lasttragenden Anteile wurden weiterhin mit den klassischen Materialien und Methoden konstruiert, um die zweckmäßige Abstützung der Prothese und damit eine vertikale Lastaufnahme zu gewährleisten wie auch die Kompensation horizontal wirkender Kräfte durch stabile Schubverteiler und Stützelemente aus einer CoCrMo-Legierung zu erzielen (Abbildung 5b).
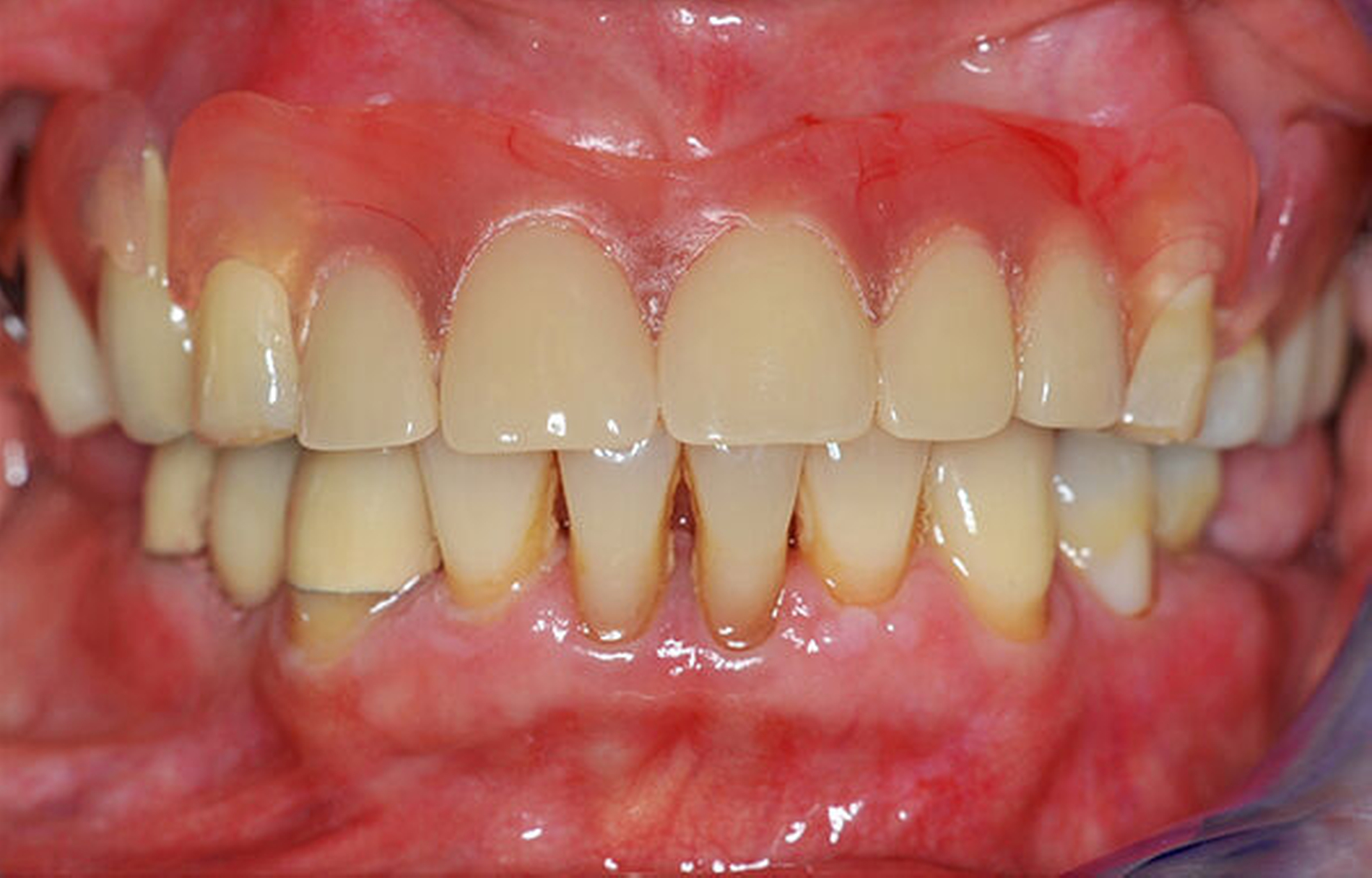
Die Patientin zeigte sich hochzufrieden und konnte wieder unbeschwert lachen (Abbildungen 6 und 7).
Kritischer Ausblick
Das Ergebnis war zumindest für die noch kurze Beobachtungszeit zufriedenstellend. Langzeitergebnisse über fünf Jahre liegen derzeit noch nicht vor. Es ist zu beachten, dass die Polyamidwerkstoffe thermoplastisch sind und einer aufwendigen Bearbeitung mit speziellen Fräsen bedürfen. Auch die Verbindung zu Metall- und PMMA-Teilen bedarf eines bestimmten Haftvermittlers und somit eines höheren Aufwandes.
So ist dies zwar eine mögliche und auch funktionierende Lösung, kann aber sicherlich (noch) nicht zu den Standardlösungen innerhalb der Modellgussprothetik gezählt werden. Die Herstellung der Arbeit konnte mit dem Dentallabor Lexmann, ZTM Holm Preußler, Dresden realisiert werden.
Prof. Dr. Peter Pospiech
Universitätsmedizin Berlin. CBF: Campus Benjamin Franklin, CharitéCentrum Zahn-, Mund- und Kieferheilkunde CC 3.
Zahnärztliche Prothetik, Alterszahnmedizin und Funktionslehre
Aßmannshauser Straße 4–6, 14197 Berlin
Peter.pospiech@charite.de














