Ehlers-Danlos-Syndrome
Schätzungen zufolge sind in der Bundesrepublik etwa 1.500 Menschen von den verschiedenen Subtypen des EDS betroffen. Rund 50 Prozent der Betroffenen können ihre Nasenspitze mit der Zunge berühren (Gorlin-Zeichen) [Inamadar AC, 2004]. Die Mundschleimhaut ist oftmals dünn und kann leicht einreißen (insbesondere beim klassischen und beim hypermobilen Typ), auch kann das Zungen- oder Lippenbändchen fehlen [Abel MD, 2006]. Des Weiteren wird eine erhöhte Neigung zur Gingivitis und Parodontitis beschrieben (insbesondere beim klassischen und beim vaskulären Typ), bei EDS-Typ-8 werden schwere Parodontitiden bereits im Kindes- und jungen Erwachsenenalter mit frühzeitigem Zahnverlust beschrieben [Kapferer-Seebacher, 2017]. Auch werden vermehrt Erosionen und Ulkusbildungen der Mundschleimhäute beobachtet [Abel MD, 2006]. Craniomandibuläre Dysfunktionen und Kiefergelenksluxationen können ebenfalls auftreten [Mitakides, 2017; Mitakides, 2018]. Zahnanomalien, besonders beim klassischen und beim hypermobilen EDS, umfassen Formanomalien der Zahnkronen und Zahnwurzeln, Pulpensteine sowie Schmelz- und Dentindefekte mit erhöhter Anfälligkeit für kariöse Läsionen [Abel MD, 2006].
Allgemeine Empfehlungen
Aufgrund der Veränderungen der Zahnhartsubstanz haben Menschen mit EDS ein höheres Risiko Karies zu entwickeln, ebenso besteht bei allen Typen ein höheres Risiko zu Gingivitis und Parodontitis aufgrund der Veränderungen des Bindegewebes. In der Folge können Zahnentfernungen, Abszess- oder Parodontalbehandlungen notwendig werden. Hier gilt, dass alle Patienten mit EDS ein höheres Risiko für intra- oder postoperative Blutungen aufweisen. Folglich sollten prophylaktische Maßnahmen erfolgen, um – soweit möglich – invasive zahnärztliche Maßnahmen zu vermeiden.
Empfehlungen für die zahnärztliche Therapie
Blutungsneigung
Grundsätzlich kann bei Patienten mit EDS ein höheres Risiko für intra- oder postoperative Blutungen bestehen [Létourneau Y, 2001]. Aufgrund dessen empfehlen wir, die Patienten in Anlehnung an die aktuelle S3-Leitlinie zu behandeln [S3-Leitlinie Zahnärztliche Chirurgie unter oraler Antikoagulation/Thrombozytenaggregationshemmung, AWMF-Registriernummer 083–018].
Hierzu empfehlen wir konkret ein atraumatisches Vorgehen und die lokale Anwendung von hämostyptischen Maßnahmen (zum Beispiel Einlage von Kollagen, Adaptationsnähte, Tranexamsäure, Verbandsplatte) und die Patienten auf dieses Risiko hinzuweisen. Von einer prophylaktischen plastischen Deckung der Extraktionswunden raten wir nicht nur aufgrund der erhöhten Blutungsneigung, sondern auch wegen der verstärkten Narbenbildung ab.
Lokalanästhesie
Auch finden sich Berichte, wonach die Wirkung der Lokalanästhesie unzureichend sein kann [Hakim, 2005]. In dem Fall sollte ein übermäßiges „Nachanästhesieren“ vermieden werden, da – bedingt durch die veränderte Bindegewebsstruktur – relative Überdosierungen und daraus resultierende erhöhte Serum-Konzentrationen mit entsprechenden systemischen Nebenwirkungen entstehen können.
Insgesamt ist die Datenlage bezüglich der fehlenden Wirksamkeit der Lokalanästhesie sowie der erhöhten Blutungsneigung bisher jedoch spärlich und lässt keine evidenzbasierte Therapieempfehlung zu. Somit beruhen die Angaben weitgehend auf Expertenmeinungen.
Mundschleimhaut
Aufgrund des EDS neigen Patienten zu verstärkter und unkalkulierbarer Narbenbildung [Abel, 2006]. Dies sollte bei allen zahnärztlich-chirurgischen Maßnahmen berücksichtigt werden.
Parodontitistherapie
Da bei allen Typen des EDS ein höheres Risiko zur Entwicklung einer Gingivitis und Parodontitis aufgrund der Veränderungen des Bindegewebes besteht, können PA-Therapien vermehrt notwendig werden [Kapferer-Seebacher, 2017].
Herausnehmbarer Zahnersatz
Generell bestehen bei der Anfertigung von herausnehmbarem Zahnersatz keine spezifischen Besonderheiten für EDS, jedoch werden häufiger durch Druckstellen und scharfe Kanten verursachte Ulzerationen beschrieben. Eine regelmäßige Kontrolle und Anpassung des Zahnersatzes ist daher erforderlich.
Wurzelkanalbehandlungen
Da bei EDS vermehrt Pulpensteine oder Wurzelanomalien auftreten können [Létourneau Y, 2001], kann es zu Schwierigkeiten bei Wurzelkanalbehandlungen kommen. Im Bedarfsfall ist eine Überweisung an einen Spezialisten zu empfehlen.
Zahnimplantate
Bisher finden sich in der wissenschaftlichen Literatur keine belastbaren Daten zu implantologischen Versorgungen bei Patienten mit EDS, somit kann hierzu keine klare Empfehlung ausgesprochen werden. Generell gelten die gleichen Sicherheitskautelen wie bei der Zahnextraktion, im Bedarfsfall kann an eine spezialisierte Einrichtung überwiesen werden.
Kieferorthopädie
Generell können kieferorthopädische Behandlungen bei EDS durchgeführt werden, wenngleich schnellere Zahnbewegungen zu erwarten sind [Abel, 2006]. Da Patienten mit EDS zur Entwicklung von Erosionen/Ulzerationen der Mundschleimhäute neigen [Abel, 2006], sollten scharfe Kanten vermieden oder durch schützendes Wachs abgedeckt werden.
Craniomandibuläre Dysfunktionen/Kiefergelenksluxationen
Craniomandibuläre Dysfunktionen können bei EDS vermehrt auftreten (insbesondere beim hypermobilen Typ), ebenso werden in diesem Zusammenhang Kiefergelenksluxationen beschrieben [Mitakides, 2017].
Endokarditisrisiko
Bei Patienten mit EDS und kardialen Valvulopathien sollte Rücksprache mit dem behandelnden Kardiologen bezüglich einer Endokarditisprophylaxe erfolgen.
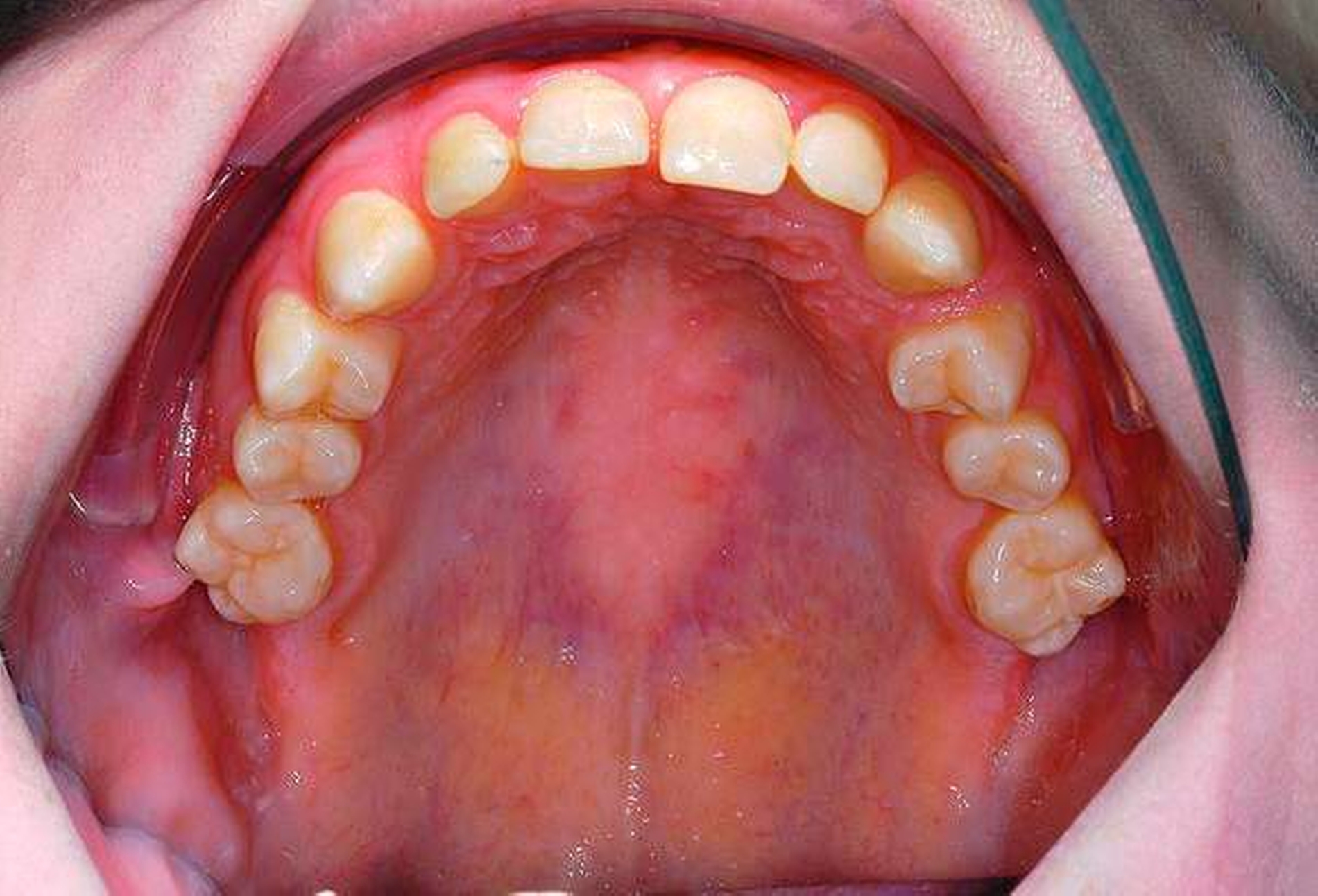
Klinischer Fall
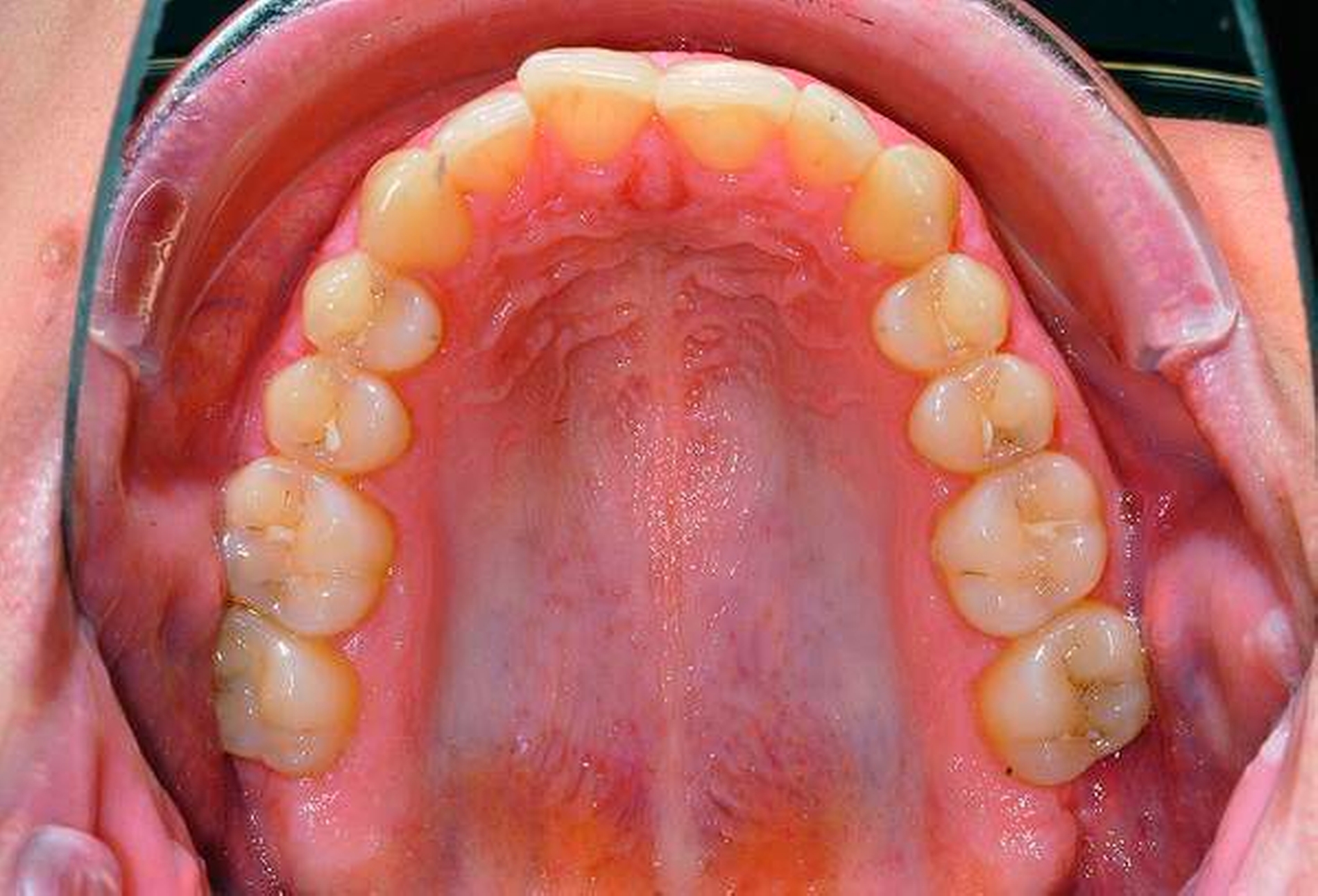
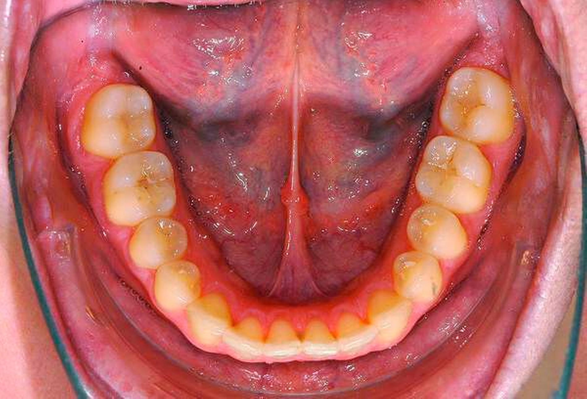
Eine 20-jährige Patientin wurde durch ihren Hauszahnarzt an unsere Poliklinik zur Entfernung aller Weisheitszähne überwiesen (Abbildung 1). Der Hauszahnarzt habe vergeblich versucht, diese zu extrahieren, die Lokalanästhesie habe keine ausreichende Wirkung erzielt.
Im Anamnesegespräch berichtet die Patientin zudem, dass sie unter regelmäßigen Gelenksluxationen, insbesondere der Schulter, leide. Auch das Kiefergelenk sei bereits mehrfach luxiert gewesen. Auf weitere Nachfrage beschreibt sie zudem regelmäßige Hinterhauptschmerzen und Blockaden im Nackenbereich, die phasenweise in das Versorgungsgebiet des N. trigeminus ausstrahlten.
Da aktuell keine durch die Weisheitszähne bedingten Beschwerden bestanden, wurde der Patientin zunächst neben einer orthopädischen Vorstellung auch eine humangenetische Beratung aufgrund der Verdachtsdiagnose eines hypermobilen Ehlers-Danlos-Syndroms angeraten, was letztlich bestätigt werden konnte.
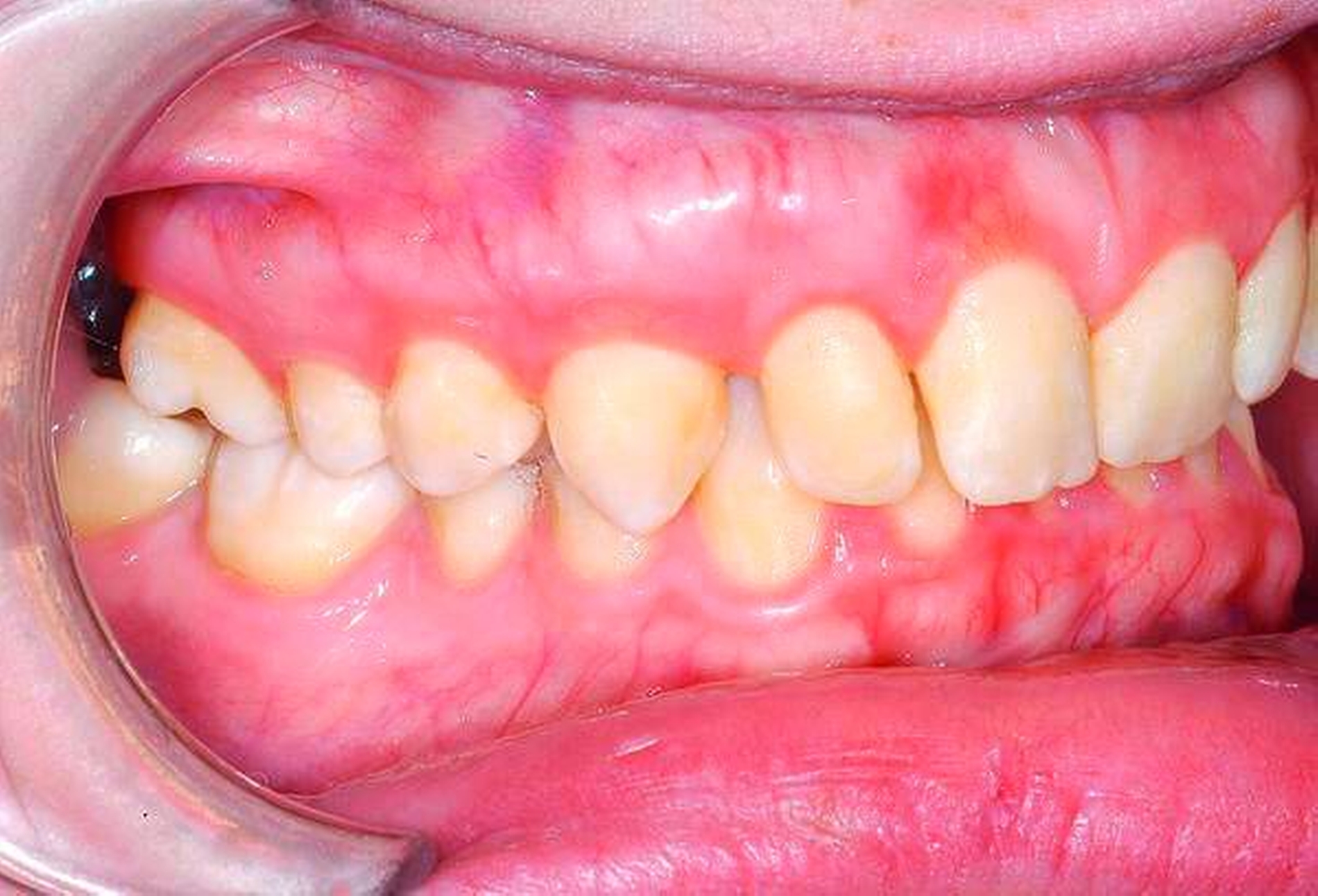
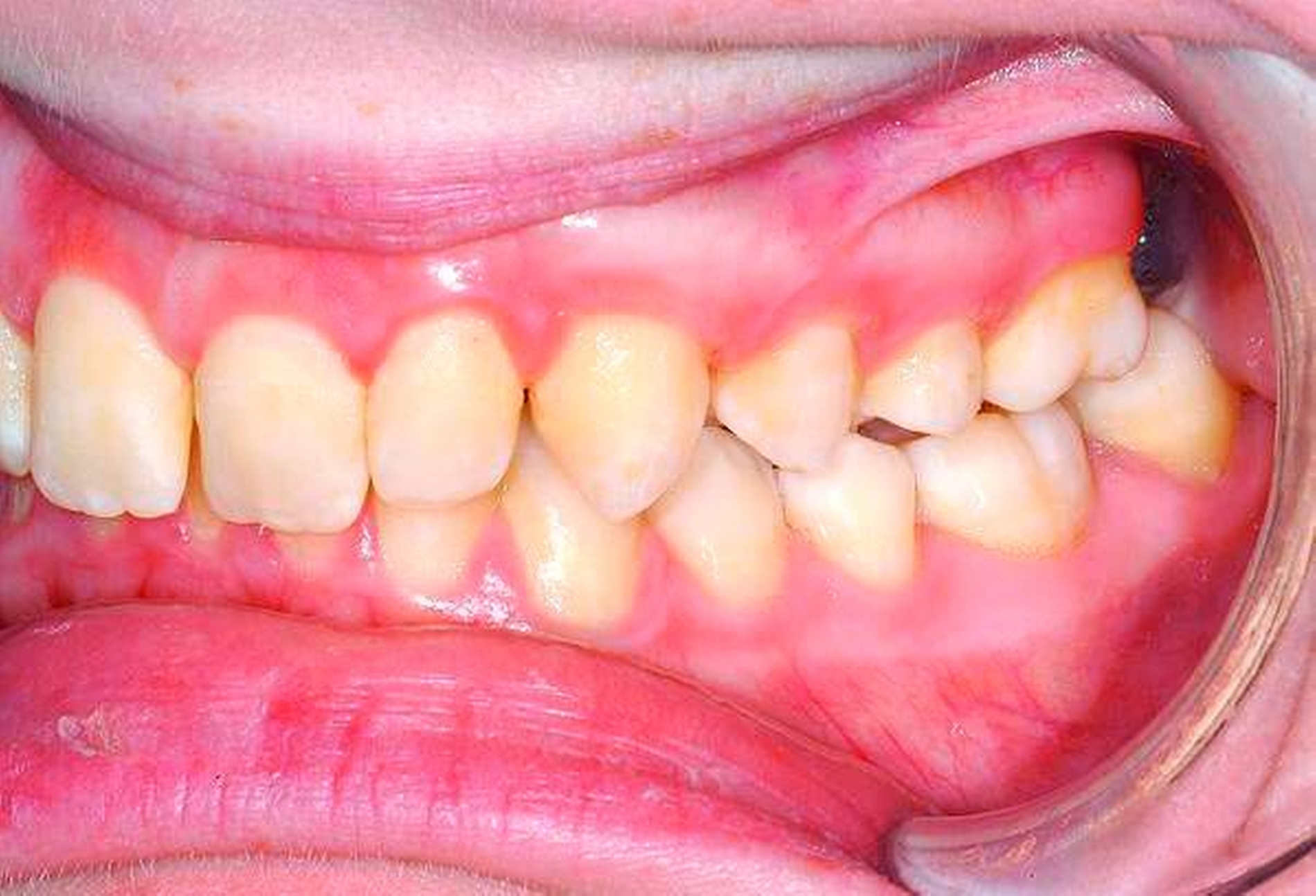
Die Entfernung aller Weisheitszähne wurde schließlich nach einem weiteren frustranen Extraktionsversuch unter Lokalanästhesie in Intubationsnarkose durchgeführt, der postoperative Verlauf gestaltete sich komplikationslos, auffällige Blutungen traten nicht auf (Abbildungen 2 und 3).
Neue EDS-Klassifikation
Ehlers-Danlos-Subtyp | Charakteristische Symptome |
|---|---|
klassischer Typ | Betroffen sind Haut, Wundheilung und Gelenke. Die Symptome verschlechtern sich mit der Zeit, die Hypermobilität der Gelenke verursacht schmerzhafte Dislokationen, Subluxationen, Arthritis, Schleimbeutelentzündungen, Tendinitis und weitere Probleme des Bewegungsapparats. Die hyperelastische Haut neigt zur Hämatombildung, kann leicht einreißen und heilt schlecht, oftmals unter Narbenbildung. |
hypermobiler Typ | Häufigster EDS-Typ, der sich im Laufe des Lebens entwickelt. In den ersten Lebensjahren sind Hypermobilitäten der Gelenke mit Dislokationen, Subluxationen und Hautbeteiligungen sowie leichter Fatigue typisch. Im Verlauf (zweites bis viertes Lebensjahrzehnt) nehmen muskoloskelettale Schmerzen, Kopfschmerzen und Fatigue zu, bei Frauen treten zudem Schmerzen im Beckenbereich auf. Im höheren Alter, selten bei jungen Erwachsenen, tritt eine generelle Versteifung der Gelenke mit Muskelschwäche und Arthritis ein, Schmerzen und Fatigue nehmen deutlich zu und führen zu massiven Einschränkungen im täglichen Leben. Craniomandibuläre Dysfunktionen sind häufig, bei einigen Betroffenen kann das Mastzellaktivierungssyndrom beobachtet werden. |
vaskulärer Typ | Dies ist der schwerste Typ aufgrund der oftmals verkürzten Lebenserwartung. Todesursächlich sind meist arterielle Rupturen insbesondere der Aorta. Auch können Darm- und Uterusperforationen auftreten. Bereits kleine Traumen können ausgedehnte Hämatome verursachen. |
ähnlich klassischer Typ | hyperelastische Haut (ohne Narbenbildung), Neigung zu Hämatomen, schlechte Wundheilung und hypermobile Gelenke |
kardio-valvulärer Typ | Neben schweren Herzklappenerkrankungen, die einen Herzklappenersatz erfordern, können Hyperelastizitäten der Haut mit atrophischer Narbenbildung und Gelenkhypermobilitäten auftreten. |
arthrochalasie Typ | Hier treten schwere generalisierte Gelenkhypermobilitäten, bereits bei der Geburt vorhandene bilaterale Hüftgelenkluxation und wiederkehrende Subluxationen und Luxationen sowohl kleiner als auch großer Gelenke auf. |
dermatosparaxis Typ | extrem brüchige, fast lockere Haut mit hoher Anfälligkeit für Hämatom |
kyphoskoliotischer Typ | Die Betroffenen werden bereits mit einem schwachen Muskeltonus und Khyphose geboren, zudem bestehen generelle Hypermobilitäten der Gelenke mit Dislokationen und Subluxationen. Zwei Formen werden unterschieden: Die PLOD1-Genvariante tritt zusätzlich mit brüchiger Haut und Augenveränderungen (Mikrokornea) sowie charakteristischen Gesichtszügen auf. Die FKBP14-Variante wiederum geht mit Hörstörungen, Muskelatrophie, charakteristischen Gesichtszügen und einer Überentwicklung von Keratin in den Haarfollikeln einher. |
Brittle-Cornea-Syndrom | blaue Skleren; dünne Kornea die leicht reißen kann und zu Blindheit oder Sehbehinderungen führen kann; Gelenkhypermobilitäten die Verrenkungen verursachen und meist auf kleinere Gelenke limitiert sind; milde Hautbeteiligungen mit der Tendenz zu atrophischen Narbenbildungen |
spondylodysplastischer Typ | Hier sind drei mögliche Genvarianten bekannt, die in einer der schwersten Formen von EDS resultieren: Mutationen in B4GALT7 verursachen eine kleine Statur und moderate geistige Behinderungen. Die B3GALT6-Form verursacht charakteristische Kopf- und Gesichtsmerkmale, abnormale Wirbelsäulen -krümmungen, Gelenkhypermobilitäten und deformierte, starre Gelenke, Kleinwuchs, Osteoporose mit Fraktur Gefahr sowie kognitive Verzögerungen durch Hirnatrophie und geistige Behinderung. SLC39A13 zeichnet sich durch einen moderaten Kleinwuchs, eine hyperelastische, samtige, dünne und leicht verletzliche Haut mit einem gut sichtbaren Venenmuster und atrophischer Narbenbildung aus; zudem treten schlanke, sich verjüngende Finger, faltige Handflächen sowie eine distale Gelenkhypermobilität auf, die später zu Kontrakturen führt. |
muskulo-kontrakturaler Typ | Neben ausgeprägten Kopf- und Gesichtsmerkmalen treten deformierte und starre Gelenke bereits bei der Geburt auf, einschließlich angedeutetem Daumen und Klumpfuß; die Haut ist leicht dehnbar und fragil, die Patienten neigen zur ausgeprägten Hämatom- und Narbenbildung, zudem treten progressive Wirbelsäulen- und Fuß - deformitäten sowie ophthalmologische und urogenitale Beteiligung auf. |
myopathischer Typ | Muskelschwäche, die bereits im Säuglings- oder Kleinkindalter auftritt, sich zudem mit proximaler Großgelenksteifigkeit und distaler Gelenkhypermobilität manifestiert. Die Muskelschwäche verbessert sich im jungen Erwachsenen alter, eine erneute Verschlechterung tritt meist in der vierten Lebensdekade ein. |
Parodontitis-Typ | früh einsetzende Gingivitis und Parodontitis mit Zahnverlusten bereits im Kindesalter. Die Haut kann leicht verletzlich, brüchig und hyperelastisch sein. |
Quelle: Marcel Hanisch, modifiziert nach Malfait et al.; Tabelle 1
Dr. med. dent. Marcel Hanisch
Oberarzt, Fachzahnarzt für Oralchirurgie
Leiter der Spezialsprechstunde „Seltene Erkrankungen mit oraler Beteiligung“
Universitätsklinikum Münster
Klinik für Mund-, Kiefer- und Gesichtschirurgie
Albert-Schweitzer-Campus 1, Gebäude W30, 48149 Münster
marcel.hanisch@ukmuenster.de
Dr. Dr. Jens Bodem
Dr. Dr. Jens Bodem & Kollegen
Facharztpraxis für Mund-, Kiefer- und Gesichtschirurgie
Franz-Knauff-Str. 2-4, 69115 Heidelberg
Fazit für die Praxis
Ehlers-Danlos-Syndrome können sich auch im Zahn-, Mund- und Kieferbereich manifestieren und bei bislang noch nicht dia gnostizierten Patienten einen Hinweis auf die Grunderkrankung liefern.
An oralen Symptomen treten üblicherweise auf: eine erhöhte Neigung zur Gingivitis und Parodontitis (auch im Kindesalter), Kiefergelenksluxationen, Formanomalien der Zähne sowie Schmelz- und Dentindefekte.
Auch muss bei allen Ehlers-Danlos-Syndromen mit einer insuffizienten Wirkung der Lokalanästhesie und einer erhöhten Blutungs neigung gerechnet werden.
Literaturliste
1. Orphanet www.orpha.net/consor/cgi-bin/OC_Exp.php
2. Malfait F et al. The 2017 international classification of the Ehlers-Danlos syndromes. Am J Med Genet C Semin Med Genet. 2017 Mar;175(1):8-26.
3. Inamadar AC, Palit A. Cutaneous signs in heritable disorders of the connective tissue. Indian J Dermatol Venereol Leprol. 2004 Jul-Aug; 70(4):253-5.
4. Abel MD, Carrasco LR. Ehlers-Danlos syndrome: classifications, oral manifestations, and dental considerations. Oral Surg Oral Med Oral Pathol Oral Radiol Endod. 2006 Nov;102(5):582-90.
5. Kapferer-Seebacher I, Lundberg P, Malfait F, Zschocke J. Periodontal manifestations of Ehlers-Danlos syndromes: A systematic review. J Clin Periodontol. 2017 Nov;44(11):1088-1100
6. Mitakides J, Tinkle BT. Oral and mandibular manifestations in the Ehlers-Danlos syndromes. Am J Med Genet C Semin Med Genet. 2017 Mar;175(1):220-225
7. Mitakides JE. The effect of Ehlers-Danlos syndromes on TMJ function and craniofacial pain. Cranio. 2018 Mar;36(2):71-72.
8. S3-Leitline Zahnärztliche Chirurgie unter oraler Antikoagulation/Thrombozytenaggregationshemmung, AWMF Registriernummer 083-018.
9. Létourneau Y, Pérusse R, Buithieu H. Oral manifestations of Ehlers-Danlos syndrome. J Can Dent Assoc. 2001 Jun;67(6):330-4.
10. Hakim AJ, Grahame R, Norris P, Hopper C. 2005. Local anaesthetic failure in joint hypermobility syndrome. J R Soc Med. 98:84–85.











