Die orthograde Revision nach einer Wurzelspitzenresektion
Die Wurzelspitzenresektion (WSR) ist ein operativer Eingriff, der bei Neuauftreten oder Persistenz von apikalen Osteolysen nach bereits erfolgter primärer endodontischer Therapie, durchgeführt wird. Ziel ist der Abtrag der Wurzelanteile, die für die Entstehung der Infektion verantwortlich sind (Apikales Delta, Ramifikationen, Seitenkanäle). Die klassische WSR wird in aller Regel ohne die Zuhilfenahme optischer Vergrößerung sowie retrograder Präparation und Verschluss durchgeführt. Die in der Literatur beschriebenen Erfolgsquoten für die traditionelle Wurzelspitzenresektion (WSR) liegen bei unter 60 Prozent [Rahbaran et al., 2001; Setzer et al., 2010; Tsesis et al., 2006].
Der Misserfolg einer WSR ist bedingt durch eine persistierende Infektion des Wurzelkanalsystems [Nair et al., 1999], für die verschiedene Ursachen wie der fehlende retrograde Verschluss, aber auch eine unzureichende Reinigung und Desinfektion oder Undichtigkeiten der Wurzelkanalfüllungen im Rahmen der endodontischen Primärbehandlung infrage kommen.
Allein durch den chirurgischen Abtrag der Wurzelspitze wird die mikrobiologische Ursache des Misserfolgs der Primärbehandlung häufig nicht vollständig beseitigt, in der Folge kann es zu Neuauftreten oder Persitenz apikaler Entzündungsprozesse kommen. Wird vor der chirurgischen Entfernung der Wurzelspitze eine orthograde Revision durchgeführt, steigt durch die Reduktion der Keimbelastung im Wurzelkanal auch die Erfolgsrate der WSR an [Taschieri et al., 2010]. Eine gültige Leitlinie für die WSR existiert aktuell nicht.
Bei einem Misserfolg der WSR gelten diese Zähne allgemein als austherapiert und es folgt in der Regel die Extraktion mit anschließender prothetischer oder implantologischer Versorgung. Die Möglichkeit der Zahnerhaltung durch eine Revision der Wurzelkanalbehandlung wird in den meisten Fällen als Therapiealternative nicht in Betracht gezogen. Eine orthograde, unter OP-Mikroskop durchgeführte Revision mit der Verwendung von MTA oder biokeramischen Materialien stellt heutzutage eine realistische Erhaltungschance für bereits resezierte Zähne dar. Diese Behandlungen gestalten sich unter Umständen als diffizil und arbeitsintensiv, zeigen jedoch gute Erfolgsquoten von 63,7 bis 87 Prozent [Mente et al., 2015; Caliskan, 2005]. Im Vergleich dazu liegt der Therapieerfolg einer erneuten herkömmlichen WSR, ohne eine orthograde Revision, bei nur 35,7 Prozent [Peterson & Gutmann, 2001]. Zusätzlich verringern sich im Fall des Misserfolgs einer erneuten Resektion die Chancen der späteren Implantation.
Anhand der folgenden Fälle soll das klinische Vorgehen bei der orthograden Revision an bereits resezierten Zähnen vorgestellt und diskutiert werden.
Fall 1
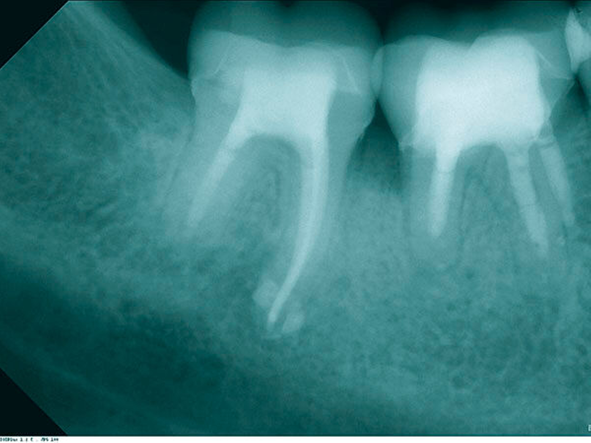
Ein 52-jähriger Patient wurde für die Revision des Zahnes 46 überwiesen. Zum Zeitpunkt der Überweisung klagte der Patient über diffuse, sporadisch auftretende Schmerzen und eine leichte Empfindlichkeit beim Aufbeißen und auf Perkussion. Der Zahn war vor 15 Jahren reseziert worden, die Krone war sieben Jahre alt. Das präoperativ angefertigte Röntgenbild zeigte eine insuffiziente Wurzelkanalfüllung mit apikaler Aufhellung an beiden resezierten Wurzelspitzen. Die mesiale Wurzel wies nur einen abgefüllten Kanal auf, in der distalen Wurzel war ein Wurzelstift aus Metall zur Verankerung eingebracht (Abbildung 1).
In der ersten Therapiesitzung erfolgte – nach Isolierung mit Kofferdam – die Trepanation des Zahnes und die Stiftentfernung mit Ultraschallinstrumenten. Im Anschluss wurden die drei gefüllten Kanäle revidiert, der vierte, nicht abgefüllte, mesiobukkale Kanal dargestellt und präpariert. Die elektronische Längenmessung ergab 14,5 mm für den mesiobukkalen Kanal, 17,0 mm für den mesiolingualen, 15 mm für den distobukkalen und 16 mm für den distolingualen. Aufgrund der großen initialen Kanaldurchmesser und der guten Einsicht bis ins periapikale Gewebe (Abbildung 2) wurde auf eine Längenmessaufnahme verzichtet. Die Desinfektion erfolgte mit Natriumhypochlorid (NaOCl) 5 Prozent und EDTA 17 Prozent, sowie Schallaktivierung mittels EDDY-Spitzen (VDW, München). Das Wurzelkanalsystems wurde manuell mit K-Feilen bis IS0 70 präpariert. Es folgte eine medikamentöse Einlage mit AH Temp (DentsplySirona, Bensheim). Danach wurde eine Aufnahme zur Kontrolle der vollständigen Guttapercha-Entfernung und der suffizienten Einbringtiefe des Kalziumhydroxids angefertigt (Abbildung 3).
Bereits nach der ersten Sitzung war der Patient symptomfrei. In der zweiten Sitzung wurden nach erneuter ausgiebiger Reinigung und Desinfektion des Kanalsystems in allen vier Wurzelkanälen apikale Plugs mit Total Fill BC Root Repair Material (FKG, La Chaux-de-Fonds, Schweiz) appliziert (Abbildungen 4 und 5) und es wurde eine Röntgenaufnahme zur Kontrolle der Plugs angefertigt (Abbildung 6). Anschließend wurden die restlichen Kanalanteile mit Total Fill BC Sealer und warmer-vertikaler Fülltechnik abgefüllt, der Zahn wurde adhäsiv verschlossen und ein Röntgenkontrollbild angefertigt (Abbildung 7). Bei der Verlaufskontrolle nach sechs Monaten war radiologisch bereits ein deutlicher Rückgang der Läsion zu erkennen (Abbildung 8), der Patient war nach wie vor symptomfrei.
Fall 2
Ein 31-jähriger Patient stellte sich mit seit Monaten bestehenden Schmerzen im Unterkiefer rechts vor. Die Zähne 46 und 47 waren perkussions- und aufbissempfindlich. Es lag keine Fistel oder Schwellung vor. Distal des Zahnes 46 war ein Knochenabbau mit Ausbildung einer Tasche von 6 mm zu beobachten. Ein anderthalb Jahre altes OPTG wurde vom Patienten mitgebracht (Abbildung 9). Zusätzlich wurde eine Einzelzahnaufnahme der beiden Zähne angefertigt (Abbildung 10). Beide Zähne wiesen insuffiziente Wurzelkanalfüllungen und große apikale Läsionen auf. Die distale Wurzel des Zahnes 47 war apikal resorbiert. An Zahn 46 war vor mehr als fünf Jahren eine Wurzelspitzenresektion durchgeführt worden.
Nach kritischer Prüfung und der Aufklärung des Patienten über den Behandlungsablauf, die Prognose und die Therapiealternativen entschied sich der Patient für die Möglichkeit der Zahnerhaltung mittels orthograder Revision beider Zähne.
In der ersten Sitzung erfolgten die Trepanation des Zahnes 46 und die komplette Entfernung der Guttapercha unter Kofferdam (Abbildung 11). Nach ausgiebiger Desinfektion mit NaOCl 5 Prozent und EDTA 17 Prozent sowie Schallaktivierung mittels EDDY-Spitzen erfolgte eine medikamentöse Einlage mit AH Temp. In der zweiten Sitzung wurden nach der endometrischen Ermittlung der Arbeitslänge (mesiobukkal 15 mm, mesiolingual 14 mm und distal 13,5 mm) die Kanäle manuell bis ISO 70 aufbereitet. In alle drei Kanäle wurden dann apikale Plugs mit ProRoot MTA (DentsplySirona, Bensheim) eingebracht und diese radiologisch kontrolliert (Abbildung 12). Im Anschluss wurden die koronalen Kanalanteile und die Zugangskavität mit dual-härtendem Komposit verschlossen. Danach wurde die orthograde Revision an Zahn 47 durchgeführt, wobei der anresorbierte distale Kanal ebenfalls mit MTA verschlossen wurde. Abbildung 13 zeigt die Kontrollaufnahme der beiden Zähne nach der Behandlung. Die Nachkontrollen nach neun und 18 Monaten zeigen einen deutlichen Rückgang der Läsionen (Abbildungen 14 und 15) und die Zähne waren symptomfrei. Jedoch kam es zu einer Zunahme der distalen parodontalen Tasche an 46.
Fall 3
Ein Patient wurde zur Wurzelkanalrevision an Zahn 11 vor einer geplanten prothetischen Versorgung überwiesen. Zum Zeitpunkt der Überweisung lag keine klinische Symptomatik vor. Das vom Patienten mitgebrachte Röntgenbild zeigte eine bereits resezierte Wurzel, die mit einem Silberstift gefüllt war und eine apikale Läsion aufwies (Abbildung 16). Beim ersten Termin wurde nach Isolation des Zahnes mit Kofferdam der Silberstift dargestellt (Abbildung 17) und mittels Ultraschall entfernt. Die Desinfektion und Reinigung erfolgte mit NaOCl und EDTA. Die endometrische Längenmessung ergab 20,5 mm mit einer initialen Anfangsfeile von ISO 70. Eine Messaufnahme wurde angefertigt (Abbildung 18). Schließlich erfolgte eine Einlage mit Kalziumhydroxid. In der zweiten Sitzung wurde nach erneuter ausgiebiger Spülung und mechanischer Präparation mit Handinstrumenten bis ISO 80 und Ultraschall die Arbeitslänge noch einmal mittels Papierspitzenmessung verifiziert (Abbildung 19). Anschließend wurden ein apikaler Plug mit Total Fill BC Root Repair Material appliziert (Abbildung 20) und eine Röntgenaufnahme angefertigt (Abbildung 21). Ein Glasfaserstift wurde inseriert und der Zahn mit einem dual-härtendem Komposit verschlossen (Abbildung 22).
Diskussion
In allen beschriebenen Fällen ist davon auszugehen, dass keine ausreichende Desinfektion und Reinigung des Wurzelkanalsystems im Rahmen der Primärbehandlung erzielt wurde. Darüber hinaus erscheinen die Wurzelkanalfüllungen radiologisch undicht und nicht randständig, die Aufbereitungsgrößen unterdimensioniert. Die durchgeführten Resektionen erfolgten alle ohne retrograde Präparation und Verschluss. So blieb das Wurzelkanalsystem weitgehend offen für die Zufuhr von Substrat zur Aufrechterhaltung und Entwicklung einer bakteriellen Mikroflora. Von daher war davon auszugehen, dass dort nach wie vor eine hohe Keimbelastung vorlag, wodurch eine erneute WSR als alternative Behandlungsoption ausgeschlossen werden konnte. Aufgrund der guten knöchernen Verankerung der Zähne und der ausreichenden Restzahnsubstanz kam auch die Extraktion nicht infrage.
Wie eingangs beschrieben, kann durch eine sorgfältig durchgeführte Revision vor WSR der Therapieerfolg erhöht werden [Taschieri et al., 2010; Orstavik & Ford, 1998]. Dies lässt sich dadurch erklären, dass die Hauptursachen für den Misserfolg der Primärbehandlung in Undichtigkeiten der Wurzelfüllung, in unbehandelten Kanälen und in zu kurzen Wurzelfüllungen liegen [Song et al., 2011]. Diese Ursachen lassen sich durch eine orthograde Revision in aller Regel beseitigen. Folglich muss die Notwendigkeit der WSR in solchen Fällen generell infrage gestellt werden. Auch die Langzeiterfolgsquoten der Revision sind denen der Resektion überlegen [Torabinejad et al., 2009]. Weiterhin wird die Indikation zur WSR in über 55 Prozent der Fälle falsch gestellt und mehr als 80 Prozent der Zähne, die für eine WSR vorgesehen werden, weisen bereits eine insuffiziente Wurzelfüllung auf [Abramovitz et al., 2002].
Die hohe Anzahl von Fallberichten orthograder Revision [Hülsmann et al., 2011] zeigt, dass diese Technik zumindest unter endodontisch tätigen Kollegen regelmäßig Anwendung findet. Zwar liegen nur wenige klinische Studien vor [Mente et al., 2015; Caliskan, 2005], doch scheint die Revision nach WSR in Einzelfällen eine Erfolg versprechende, wenig invasive Therapiealternative darzustellen. Um eine prognostische Einschätzung der Therapie für den Einzelfall abgeben zu können, ist es wichtig, die Ursache des Misserfolgs der Primärbehandlung wie auch der WSR zu eruieren. Sind Risse oder Längsfrakturen ursächlich oder ist der Zahn durch die ersten beiden Eingriffe bereits irreversibel geschädigt, dann ist die logische Konsequenz in diesen Fällen die Extraktion. Die Verwendung von Biokeramik oder MTA spielt eine entscheidende Rolle im Rahmen der orthograden Revision nach WSR. Beide Produkte sind aufgrund ihrer Materialeigenschaften für dieses Einsatzgebiet hervorragend geeignet. Die Handhabung ist zwar schwierig und erfordert ein gewisses Maß an Geschick und Erfahrung, jedoch bieten diese Werkstoffe die höchste Dichtigkeit für den apikalen Verschluss [Coneglian et al., 2007] und durch die leichte Expansion bei der Abbindung zusätzliche Sicherheit [Parirokh & Torabinejad, 2010]. Die hervorragenden biokompatiblen [Chen et al., 2016] und antibakteriellen [Parirokh & Torabinejad, 2010] Materialeigenschaften sowie die geringe Zytotoxizität [Ciasca et al., 2012] ermöglichen eine schnellere und bessere Abheilung periapikaler Läsionen. Darüber hinaus ermöglichen sie die Anheftung körpereigener Zellen und begünstigen deren Proliferation [Chen et al., 2016]. Die alternative Füllung mit Guttapercha und Sealer kann durch das Fehlen der apikalen Konstriktion und der schweren Kontrollierbarkeit zu Sealerüberpressungen in den Periapex und zu Undichtigkeiten führen.
Im Vergleich zur klassischen WSR finden sich in der Literatur Erfolgsquoten von über 90 Prozent für die unter OP-Mikroskop von spezialisierten Zahnärzten durchgeführte WSR mit Verwendung von MTA oder biokeramischen Materialien als retrogradem Verschluss [Setzer et al., 2010; Kim et al., 2018]. Diese hohen Erfolgsquoten wurden unter anderem dadurch erzielt, dass Zähne die keine suffiziente Wurzelfüllung hatten, aus der Studie ausgeschlossen wurden, was auf die große Bedeutung der Qualität der Primärbehandlung für den Therapieerfolg der WSR hindeutet.
Auch wenn im Rahmen der gesetzlichen Krankenversicherung für die Therapie von Zähnen mit Wurzelfüllungen und apikalen Veränderungen primär chirurgische Maßnahmen angezeigt sind, ist der Zahnarzt juristisch dazu verpflichtet, den Patienten über die Alternative der orthograden Revision aufzuklären [Tulus & Heckenbücker, 2016].
Die aktuell verfügbare Leitlinie für die WSR aus dem Jahr 2007 ist 2012 abgelaufen und besitzt keine Gültigkeit mehr. Seit Jahren ist eine neue, aktualisierte Leitlinie notwendig, die einerseits moderne Indikationsstellungen, andererseits die Empfehlung zur orthograden Revision und auch den Benefit apikaler Plugs thematisiert. Erfreulicherweise befindet sich die Leitlinie bereits in Überarbeitung. Wir dürfen ihr freudig gespannt entgegensehen.
Dr. Benjamin Mahmoodi, M. Sc.
Praxis für mikroskopische Endodontie
Dr. Anna Lechner & Kollegen
Eschollbrücker Str. 26, 64295 Darmstadt
benjamin.mahmoodi@web.de
Dr. Anna Lechner, M. Sc.
Praxis für mikroskopische Endodontie
Dr. Anna Lechner & Kollegen
Eschollbrücker Str. 26, 64295 Darmstadt
Literaturliste
1. Rahbaran S, Gilthorpe MS, Harrison SD, Gulabivala K. Comparison of clinical outcome of periapical surgery in endodontic and oral surgery units of a teaching dental hospital: a retrospective study. Oral surgery, oral medicine, oral pathology, oral radiology, and endodontics. 2001;91(6):700-9.
2. Setzer FC, Shah SB, Kohli MR, Karabucak B, Kim S. Outcome of endodontic surgery: a meta-analysis of the literature--part 1: Comparison of traditional root-end surgery and endodontic microsurgery. Journal of endodontics. 2010;36(11):1757-65.
3. Tsesis I, Rosen E, Schwartz-Arad D, Fuss Z. Retrospective evaluation of surgical endodontic treatment: traditional versus modern technique. Journal of endodontics. 2006;32(5):412-6.
4. Nair PN, Sjogren U, Figdor D, Sundqvist G. Persistent periapical radiolucencies of root-filled human teeth, failed endodontic treatments, and periapical scars. Oral surgery, oral medicine, oral pathology, oral radiology, and endodontics. 1999;87(5):617-27.
5. Taschieri S, Machtou P, Rosano G, Weinstein T, Del Fabbro M. The influence of previous non-surgical re-treatment on the outcome of endodontic surgery. Minerva stomatologica. 2010;59(11-12):625-32.
6. Mente J, Leo M, Michel A, Gehrig H, Saure D, Pfefferle T. Outcome of orthograde retreatment after failed apicoectomy: use of a mineral trioxide aggregate apical plug. Journal of endodontics. 2015;41(5):613-20.
7. Caliskan MK. Nonsurgical retreatment of teeth with periapical lesions previously managed by either endodontic or surgical intervention. Oral surgery, oral medicine, oral pathology, oral radiology, and endodontics. 2005;100(2):242-8.
8. Peterson J, Gutmann JL. The outcome of endodontic resurgery: a systematic review. International endodontic journal. 2001;34(3):169-75.
9. Orstavik D, Ford TRP. Essential Endodontology: Prevention and Treatment of Apical Periodontitis: Wiley; 1998.
10. Song M, Kim HC, Lee W, Kim E. Analysis of the cause of failure in nonsurgical endodontic treatment by microscopic inspection during endodontic microsurgery. Journal of endodontics. 2011;37(11):1516-9.
11. Torabinejad M, Corr R, Handysides R, Shabahang S. Outcomes of nonsurgical retreatment and endodontic surgery: a systematic review. Journal of endodontics. 2009;35(7):930-7.
12. Abramovitz I, Better H, Shacham A, Shlomi B, Metzger Z. Case selection for apical surgery: a retrospective evaluation of associated factors and rational. Journal of endodontics. 2002;28(7):527-30.
13. Hülsmann M, Drebenstedt S, Nordmeyer S, Rödig T. Die orthograde Revision bei persistierender Parodontitis apicalis nach Wurzelspitzenresektionen. Endodontie. 2011;20(3):251-67.
14. Coneglian PZ, Orosco FA, Bramante CM, de Moraes IG, Garcia RB, Bernardineli N. In vitro sealing ability of white and gray mineral trioxide aggregate (MTA) and white Portland cement used as apical plugs. Journal of applied oral science : revista FOB. 2007;15(3):181-5.
15. Parirokh M, Torabinejad M. Mineral trioxide aggregate: a comprehensive literature review--Part I: chemical, physical, and antibacterial properties. Journal of endodontics. 2010;36(1):16-27.
16. Chen I, Salhab I, Setzer FC, Kim S, Nah HD. A New Calcium Silicate-based Bioceramic Material Promotes Human Osteo- and Odontogenic Stem Cell Proliferation and Survival via the Extracellular Signal-regulated Kinase Signaling Pathway. Journal of endodontics. 2016;42(3):480-6.
17. Ciasca M, Aminoshariae A, Jin G, Montagnese T, Mickel A. A comparison of the cytotoxicity and proinflammatory cytokine production of EndoSequence root repair material and ProRoot mineral trioxide aggregate in human osteoblast cell culture using reverse-transcriptase polymerase chain reaction. Journal of endodontics. 2012;38(4):486-9.
18. Kim D, Kim S, Song M, Kang DR, Kohli MR, Kim E. Outcome of Endodontic Micro-resurgery: A Retrospective Study Based on Propensity Score-matched Survival Analysis. Journal of endodontics. 2018;44(11):1632-40.
19. Tulus G, Heckenbücker F. Endodontie und Recht. Die Quintessenz. 2016;67(6):677-84.




























