Pleomorphes Adenom mit Durchbruch nach intraoral
Der Patient klagte im Rahmen der Erstvorstellung über Schluckbeschwerden und gab einen Gewichtsverlust von sieben Kilogramm innerhalb der neun Monate zuvor an. Allgemeinanamnestisch bestand ein chronischer Nikotinabusus.
Die extraorale Untersuchung ergab eine weiche Schwellung submandibulär links. Der intraorale Befund zeigte eine Leukoplakie sublingual und eine fast vollständige Verlegung der Rachenhinterwand durch eine von links wachsende, parapharyngeale Schwellung. Des Weiteren fand sich ein kariöser Restzahnbestand.
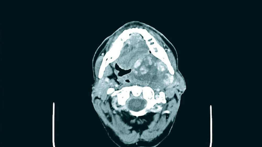
Im Rahmen einer ambulanten Probeentnahme von intra- und extraoral in Lokalanästhesie konnte nur Speicheldrüsengewebe im Sinne einer Sialadenitis mit Sialektasie gewonnen werden, so dass eine erneute Probenentnahme unter stationären Bedingungen von intraoral aus dem Parotistumor und aus dem Bereich der Leukoplakie im vorderen Mundboden erfolgte. Die Ausdehnung des Tumors ist auf den CT-Bildern deutlich zu erkennen (Abbildungen 1 bis 3).
Postoperativ kam es zu einer so starken Schwellung mit zunehmender Dyspnoe, dass eine notfallmäßige chirurgische Tracheotomie durchgeführt wurde. Histologisch ergaben sich nun Anteile eines pleomorphen Adenoms und im Bereich des Mundbodens ein Lichen ruber planus. Da letztlich eine maligne Transformation des riesigen pleomorphen Adenoms nicht ausgeschlossen werden konnte, wurden weitere Staging-Untersuchungen (Bronchoskopie, Röntgen-Thorax in zwei Ebenen, Gastroskopie) durchgeführt. Diese zeigten keine Auffälligkeiten.
Aufgrund der Größenausdehnung des Tumors nach intraoral erfolgte die Anlage einer perkutanen endoskopischen Gastrostomie, um die Ernährung aufrechtzuerhalten und zur Schonung der intraoralen Wunde postoperativ. Der Patient wurde den neurochirurgischen Kollegen im Haus vorgestellt – mit der Fragestellung der Angiografie der Halsgefäße und der Embolisation des Tumors. Diese war aufgrund der nicht ausreichenden Kontrastmittelanreicherung und Vaskularisierung des Tumors nicht möglich, so dass wir dem Patienten nach Dekanülierung, Abschwellung und ambulanter Zahnsanierung zu einem stationären Operationstermin bezüglich der Entfernung des pleomorphen Adenoms wieder einbestellten.
Im Rahmen des zweiten stationären Aufenthalts erfolgte die totale Parotidektomie – und es war möglich, die große Raumforderung von intra- und extraoral unter Nervmonitoring mit Erhalt des Nervus facialis in toto zu entfernen. Die Defektauffüllung präaurikulär erfolgte mittels eines SMAS-Lappens (superfizielles muskulo-aponeurotisches System). Der entstandene Defekt intraoral konnte primär verschlossen werden.
Postoperativ zeigte sich eine regelrechte Facialisfunktion.
Da der Patient auf Kuba lebt und nur gelegentlich seine Heimat in Deutschland besucht, war letztmalig 2014 eine Wiedervorstellung erfolgt. Hierbei berichtete er über das sogenannte „Frey-Syndrom“ – das gustatorische Schwitzen beim Essen. Die Facialisfunktion war weiterhin regelgerecht. Es bestand noch eine Hyposensibilität im Bereich des linken Ohrläppchens.
Bei dieser Gelegenheit wurde dem Patienten empfohlen, eine erneute Probeentnahme aus der Erythroleukoplakie im Bereich des Mundbodens entnehmen zum lassen. Hier war zuvor die Diagnose eines Lichen ruber erfolgt. Leider hat der Patient einen geplanten Termin nicht wahrgenommen.

Diskussion
Die meisten Speicheldrüsentumoren – etwa 70 bis 80 Prozent – sind benigne [Lyu et al., 2019]. Mit circa 80 Prozent ist die Glandula parotidea am häufigsten betroffen [Pinkston et al., 1999; Tian et al., 2010]. Das pleomorphe Adenom ist die häufigste Tumorform der großen und der kleinen Speicheldrüsen. Klinisch kommt es zu einer langsam progredienten Schwellung. Der Tumor ist gekapselt, eine maligne Transformation im Sinne eines carcinoma ex pleomorphen Adenom möglich – diese kommt in ungefähr drei bis vier Prozent der Fälle vor [Andreasen et al., 2016; Chooback et al., 2017; Stodulski et al., 2007]. Eine von zahlreichen Differenzialdiagnosen ist vor allem das Zystadenolymphom (Warthin-Tumor). Dieses kann innerhalb einer Drüse multilokulär wie auch bilateral in beiden Parotiden vorkommen.
Typische Komplikationsmöglichkeiten sind in der Hyposensibilität durch die Präparation eines Hautlappens zu sehen, aber auch durch Schädigung des sensiblen Nervus auricularis magnus, die Verletzung des Nervus facialis und seiner Äste, die ästhetische Veränderung und als Spätfolge das im Fall geschilderte gustatorische Schwitzen (Frey-Syndrom), das mit Schweißabsonderung präaurikulär bei Auftreten gustatorischer Reize ausgelöst wird [Ogino et al., 2019].
Im Anschluss an Parotistumor-Operationen sollte eine regelmäßige Tumornachsorge inklusive klinischer Kontrollen und bildgestützter Verfahren wie Ultraschall, MRT und CT gewährleistet sein, um mögliche Rezidive frühzeitig zu erkennen. Selbstverständlich sollte nach dem Auffallen solcher Speicheldrüsentumoren eine zeitnahe Entfernung derselben erfolgen und nicht – wie im vorliegenden Fall – aufgrund der langsamen Größenzunahme und der nicht vorhandenen Schmerzhaftigkeit eine abwartende Haltung eingenommen werden.
Hier kommt auch dem niedergelassenen Zahnarzt eine wichtige Rolle zu: die Patienten auf präaurikuläre und intraorale Schwellungen aufmerksam zu machen, um sie der fachlichen Weiterbetreuung zuzuführen.
Coordt Alexander Büddicker
Kommissarischer Chefarzt
Diakonie Klinikum Jung-Stilling
Klinik für Mund-, Kiefer-, Gesichtschirurgie
Wichernstr. 40, 57074 Siegen
Coordt-Alexander.Bueddicker@diakonie-sw.de
Literatur:
1.) Pinkston JA, et al. Incidence rates of salivary gland tumors: results from a population-based study; Otolaryngology Head and Neck Surgery, 1999
2.) Tian Z. et al.; Salivary gland neoplasms in oral and maxillofacial regions: a 23-year retrospective study of 6982 cases in eastern Chinese population; Int. Journal of maxillofacial surgery, 2010
3.) Andreasen et al. Pleomorphic adenoma of the parotid gland 1985-2010: A Danish nationwide study of incidence, recurrence rate, and malignant transformation; Head and Neck April 2016
4.) Chooback N., et al.; Carcinoma ex pleomorphix adenoma: case report and options for systemic therapy; Current Oncology, 2017
5.) Stodulski D. et al; Carcinoma ex pleomorphic adenoma of major salivary glands-a clinicopathologic review; otolaryngology Poland, 2007
6.) Ogino A., et al.; Use of parotid gland fascia in the prevention of Frey Syndrome after parotidectomy; craniofavial Surgery, 2019
7.) Lyu HX., et al, Clinical pathologic analysis on 3724 cases of salivary gland tumors; Zhonghua Kou Qiang Yi Xue za Zhi, 2019





