Zahnimplantate – Boom ohne Grenzen?
Es besteht kein Zweifel, dass die durchschnittliche Qualität und Haltbarkeit dentaler Implantate in den vergangenen Jahrzehnten deutlich gestiegen ist – nicht zuletzt dank werkstoffkundlicher, instrumenteller und operativ-technischer Fortschritte. Auch günstigere klinische Rahmenbedingungen und zusätzliche Behandlungsoptionen (zum Beispiel einzeitige Implantatversorgung, minimalinvasive und lappenlose Chirurgie, Miniimplantate) haben zu diesem Erfolg beigetragen.
Doch die zunehmenden und verbesserten Möglichkeiten haben auch zu einer Erweiterung – und bisweilen zu einer Überdehnung – der Indikationsstellung geführt. Weitere Herausforderungen bieten die Aufklärung beziehungsweise die Wahrung der Patientenautonomie sowie die Zuschreibung von Verantwortung bei komplexen, arbeitsteiligen Behandlungssituationen. Auch die zum Teil unbefriedigende Evidenzlage sowie die Abschätzung von (und der Umgang mit) klinischen Komplikationen und Spätfolgen stellen potenzielle Probleme dar (Tabelle 1).
Herausforderungen in der Implantologie
(1) Indikationsstellung
(2) Aufklärung und Patientenautonomie
(3) Verantwortlichkeit in komplexen, arbeitsteiligen Behandlungssituationen
(4) Evidenzlage
(5) Abschätzung von / Umgang mit Komplikationen und Spätfolgen
Tabelle 1; Quelle: Karin Groß, Mathias Schmidt, Dominik Groß
Herausforderung 1:
Indikationsstellung
In der Literatur finden sich Hinweise, dass die Indikation zur Implantation zunehmend breiter gestellt wird und dass die Implantatversorgung mit einer Abnahme der Bereitschaft zum Zahnerhalt einhergeht [Klinge et al., 2015; Lang-Hua et al., 2014; Chandki und Kala, 2012].
Primär widerspricht es dem Nichtschadensgebot, einen prinzipiell erhaltungswürdigen Zahn zu opfern. Insofern sollte auch bei jedem erkrankten Zahn zunächst eine Abwägung und eine Einzelfallentscheidung erfolgen. Neben den konkreten fall- beziehungsweise zahnbezogenen Erfolgsaussichten sind hierbei auch strategische Aspekte in die Entscheidung einzubeziehen. So hat der Erhalt bei einem Zahn, der als Brückenanker fungiert, eine andere Relevanz als bei einem Einzelzahn ohne strategische Funktion. Ökonomische Erwägungen sollten medizinischen (Möglichkeit des Zahnerhalts) und ethischen Überlegungen (Nichtschadensgebot) grundsätzlich nachgeordnet werden [Zitzmann et al., 2013; Hasegawa und Matthews, 1995; Hartshorne und Hasegawa, 2003; Tuna et al., 2018a und 2018b]. Jedwede implantatgestützte Therapie bedarf somit einer sorgfältigen, kritischen Indikationsstellung – dies umso mehr, als Implantatversorgungen in der Regel vergleichsweise invasiv sind, häufig eine lange Behandlungsdauer erfordern und überdies zu den kostenintensiveren Therapiemöglichkeiten gehören [Vogel et al., 2013].
Andererseits sind implantatgestützte Versorgungen häufig komfortabler, oft funktioneller und zum Teil auch ästhetisch befriedigender als restaurative Behandlungsoptionen. Insofern sind sie grundsätzlich eine sehr willkommene Erweiterung des therapeutischen Spektrums – sofern die Indikation stimmt.
Grenzfälle stellen Patienten mit (relativen) allgemeinmedizinischen Kontraindikationen dar. Auch die Implantatversorgung von hochbetagten beziehungsweise physisch oder psychisch beeinträchtigten Patienten erfordert erhöhte Achtsamkeit. Prinzipiell ist festzuhalten, dass hohes Alter und/oder begrenzte Lebenserwartung per se keine Kontraindikationen in der zahnärztlichen Implantologie darstellen. Gerade bei pflegebedürftigen zahnlosen Patienten kann eine Implantatversorgung von großem funktionellen Nutzen sein [Müller et al., 2013; Schimmel, 2017]. Umso wichtiger ist es, bei den vorgenannten, als besonders „vulnerabel“ geltenden Patienten die Indikationsstellung anhand von drei Kriterien zu überprüfen, die auch unter dem Begriff „zahnmedizinische funktionelle Kapazität“ zusammengefasst werden [Kunze und Nitschke, 2012]: der Therapiefähigkeit, der Mundhygienefähigkeit sowie der Eigenverantwortung beziehungsweise Selbstwirksamkeit des Patienten (Tabelle 2).
Die Trias Therapiefähigkeit, Mundhygienefähigkeit und Eigenverantwortung
Therapiefähigkeit
– Risiko für allgemeine Zwischenfälle
– Risiko für Medikamenteninteraktionen
– Transportfähigkeit in die zahnärztliche Praxis
– Umsetzbarkeit in den Behandlungsstuhl
– Lagerungseinschränkung
– Möglichkeit der Diagnostik
– Verständnis von Anweisungen / Wiedergabe von Sachverhalten
– Längere Mundöffnungsphasen
– Manuelle Geschicklichkeit
– Adaptionsfähigkeit
– Nachsorgekompetenz (Versorgungsdiagnose)
Mundhygienefähigkeit
– Koordination
– Greiffähigkeit
– Putzkraft bei der Durchführung der Mundhygiene
– Sehvermögen
– Lernfähigkeit / Umsetzung von Informationen
– Hilfe durch Fremdputzer/Dritte
– Überwachung der Mundhygiene
– Kauf der Mundhygieneartikel
– Handkraft
Eigenverantwortlichkeit
– Erkennen von Problemen
– Entscheidungsfähigkeit
– Willensäußerung
– Nachsorgekompetenz
– Organisationsfähigkeit
– Kontrollorientiertes Besuchsverhalten
– Verantwortungsträger
– Beistand/Vormund
Tabelle 2, Quelle: Karin Groß, Mathias Schmidt, Dominik Groß
Je positiver diese Kriterien beurteilt werden, desto eher kommt eine Implantatversorgung in Betracht. Sie eignen sich besonders, um Limitationen zu erfassen, die sich nicht auf den ersten Blick erschließen. So werden neben etwaigen körperlichen und mentalen Einschränkungen auch die familiären und gesellschaftlichen Beziehungen des einzelnen Patienten – das heißt dessen soziale Ressourcen sowie auch die prospektive Nachsorge – in die Beurteilung einbezogen [Nitschke et al., 2017]. Zur prospektiven Nachsorge gehören wiederum die Variablen „Nachsorgekompetenz“ und „Nachsorgeplanung“ [Kunze und Nitschke, 2012; Groß, 2014; Groß et al., 2018]: Die prospektive Nachsorgekompetenz ist von grundlegender Bedeutung, weil lmplantatkonstruktionen im Regelfall als Langzeitversorgungen angelegt sind. Hierbei interessiert zum Beispiel, ob der manuell eingeschränkte Patient (mutmaßlich) auch in der absehbaren Zukunft regelmäßig zum Säubern in die Praxis kommen kann, ob er ein soziales Umfeld hat, das diese Zahnarztbesuche ermöglicht beziehungsweise unterstützt oder ob Fremdputzer zur Verfügung stehen.
Die Nachsorgeplanung soll klären, wie die Restauration mit minimalem Aufwand instandgehalten und auch unter veränderten Rahmenbedingungen (zum Beispiel Immobilität) an einen neuen Kontext angepasst werden kann. Hier sollte sich der Zahnarzt unter anderem fragen, ob er sich im Bedarfsfall zu Haus- oder Heimbesuchen bereitfindet oder ob er beispielsweise ein Implantatsystem anbietet, das so bewährt und nachhaltig ist, dass ein gegebenenfalls erforderlicher Materialaustausch nach einigen Jahren möglich erscheint und dadurch eine Neuversorgung umgangen werden kann.
Zusammenfassend lassen sich folgende Leitfragen für eine sorgfältige Indikationsstellung zur Implantatversorgung ableiten [Groß, 2014; Groß et al., 2018]:
Wurde dem Erhalt der vorhandenen biologischen Strukturen bei der Therapieplanung Vorrang eingeräumt?
Wurden die Möglichkeiten der restaurativen Behandlung mitbedacht und gegebenenfalls als Behandlungsoption angeboten?
Wurden bestehende Kontraindikationen für einen implantatchirurgischen Eingriff, wie zum Beispiel eine geplante oder laufende Chemo- oder Strahlentherapie oder eine geplante beziehungsweise bereits durchgeführte Organtransplantation, zuverlässig ausgeschlossen?
Wurden risikoerhöhende Einflussfaktoren wie zum Beispiel fortgesetztes (starkes) Rauchen, schlecht eingestellter Diabetes oder Medikamente wie Bisphosphonate oder Denosumab hinreichend berücksichtigt?
Insbesondere bei hochbetagten beziehungsweise eingeschränkten Patienten: Wurden die Therapiefähigkeit, die Mundhygienefähigkeit und die Selbstwirksamkeit des Patienten abgeschätzt?
Ist der Behandlungsplan an der bestmöglichen Evidenz orientiert? Bedeutet eine strategische Pfeilervermehrung, zum Beispiel durch ein Implantat, eine Verbesserung der Langzeitprognose?
Ist die letztlich geplante Behandlung durch den Patientenwunsch gedeckt oder resultiert sie gegebenenfalls aus einer direktiven zahnärztlichen Aufklärung?Herausforderung 2:
Aufklärung und Wahrung der Patientenautonomie
Die letztgenannte Frage verweist auf das ethische Prinzip des Respekts vor der Patientenautonomie [Groß, 2012; Groß und Nitschke, 2017; Reid, 2017]. Tatsächlich gibt es zwei extreme Szenarien, bei denen die Indikationsstellung und die gebotene Achtung der Selbstbestimmung des Patienten in ein Spannungsverhältnis geraten können: Im ersten Szenario klärt der Zahnarzt direktiv zugunsten der Behandlungsoption „Implantatversorgung“ auf, obwohl es im betreffenden Fall gleichwertige oder gegebenenfalls sogar vorzugswürdige Behandlungsalternativen gibt. Hier wird der Patient also selektiv informiert und damit gar nicht erst auf einen Kenntnisstand gebracht, der ihm eine selbstbestimmte Entscheidung nach vollständiger Aufklärung ermöglicht [Groß, 2012; Tuna et al., 2018a].
Ein zweites Szenario ist ein Patient, der dezidiert eine Implantatversorgung fordert und bestehende alternative Optionen für sich kategorisch ausschließt, während der Therapeut zum Beispiel eine andere Behandlungsoption favorisiert oder zumindest für überlegenswert erachtet. In einem solchen Fall ist entscheidend, ob der Zahnarzt die Implantatversorgung (noch) zu den grundsätzlich indizierten Behandlungsoptionen zählt oder ob er hierin eine Kontraindikation sieht. Sieht er eine Gegenanzeige, muss er den Behandlungswunsch ablehnen, im erstgenannten Fall sollte er den Patientenwunsch respektieren, sofern dieser auch nach einer umfassenden, abwägenden Aufklärung des Zahnarztes über die Behandlungsalternativen fortbesteht.
Dabei kann es sich durchaus um ethisch komplexe Grenzfallentscheidungen handeln, etwa wenn hochbetagte, sozial beziehungsweise körperlich oder mental eingeschränkte oder schwerkranke Patienten – also Personen, die zur oben erwähnten vulnerablen Patientengruppe gehören – einen Implantatwunsch äußern. Ein klinisches Beispiel für die letztgenannte Personengruppe bietet die jüngst publizierte Kasuistik eines Palliativpatienten, der trotz bekannter, sehr limitierter Lebenserwartung und umfassender, durchaus kritischer Aufklärung durch den Zahnarzt dezidiert eine implantatgestützte Versorgung wünschte [Dirsch et al., 2018]. Im besagten – zweifellos extremen – Fall entschieden die Behandler auf der Grundlage des ethischen Prinzips des „Respekts vor der Patientenautonomie“, die gewünschte Behandlung durchzuführen und dem Patienten nicht etwa mit dem (letztlich diskriminierenden) Hinweis auf dessen begrenzte Lebenserwartung eine solche Behandlungsoption zu verwehren – obwohl er nur noch sehr kurze Zeit von der Neuversorgung profitierte.
Dort, wo eine medizinische Indikation für eine Implantatversorgung gestellt werden kann, sollte diese im Rahmen des Aufklärungsgesprächs auch als Behandlungsoption angeführt werden. Dennoch ist sicherzustellen, dass dem betreffenden Patienten alle zur Verfügung stehenden therapeutischen Alternativen (und damit eben auch kostengünstigere Varianten) genannt und offeriert werden – soweit sie nach Ansicht des Zahnarztes fachlich infrage kommen. Zudem ist zu gewährleisten, dass diese Patientenaufklärung non-direktiv – also nicht einseitig zugunsten (oder zulasten) einer bestimmten Behandlungsoption – erfolgt [Vernazza et al., 2015]. Darüber hinaus müssen die Informationen in einer Sprache kommuniziert werden, die der Patient versteht, und in einer Weise, die dessen Bildungsstand und spezifisches Vorwissen berücksichtigt. Zudem sollte die Zustimmung frei von Zwang beziehungsweise äußeren Einflüssen erfolgen. Schließlich ist es notwendig, dass dem Patienten hinreichend Zeit für die Entscheidungsfindung eingeräumt wird, ähnlich wie dies zum Beispiel bei allgemeinchirurgischen Eingriffen grundsätzlich etabliert ist. Mit anderen Worten: Er sollte seine Entscheidung überschlafen können.
Grundsätzlich gilt: Je autonomer ein Patient in seinem gesundheitlichen Handeln ist, desto günstiger sind die Voraussetzungen für eine zufriedenstellende Adhärenz (früher: Compliance) und desto leichter fällt es, die Indikation für eine therapeutisch und nachsorgetechnisch aufwendige Implantatversorgung zu stellen. Bei Patienten, die ihre Selbstständigkeit eingebüßt haben, gehört es vor diesem Hintergrund zu den Aufgaben des Zahnarztes, etwaige soziale Ressourcen des Patienten (Hilfestellung durch Betreuer, Familienangehörige, emotionale Verwandte) auszuloten und gegebenenfalls zu mobilisieren und dem Patienten auf diese Weise zu mehr Selbstwirksamkeit zu verhelfen (Patient-Empowerment). Auch hierfür lässt sich eine Schlüsselfrage formulieren: Ist der Patient in der Lage, den Gang zum Zahnarzt selbstständig zu beschließen und umzusetzen oder kann er alternativ auf ein soziales Umfeld zurückgreifen, das ihm regelhaft die erforderlichen Zahnarztbesuche – ad hoc wie auch in absehbarer Zukunft – ermöglicht? (Tabelle 3) [Nitschke et al., 2012]
Risiken, Komplikationen und Nebenwirkungen im Zusammenhang mit Zahnimplantaten
a) Biologische Komplikationen und Nebenwirkungen (Allgemeinerkrankungen, schlechte Mundhygiene, schlechter Knochenzustand)
– Bakterielle Infektionen
– Periimplantitis
– Sensorische Störungen
– Progressiver Knochenabbau
– Implantatverlust
b) Mechanische Komplikationen und Nebenwirkungen (schlechte Implantatposition, Probleme bei der Belastung, unzureichendes Knochenbett, Bruxismus)
– Schraubenlockerung
– Schrauben-/Implantatfrakturen
– Probleme bei der Zementierung/Dezementierung
– Implantatverlust
c) Technische Komplikationen und Nebenwirkungen (Überlastung, Parafunktion, Materialschwächen)
– Fraktur des Gerüsts
– Fraktur des Abutments
– Absplitterung oder Bruch der Verblendkeramik
Tabelle 3, Quelle: Karin Groß, Mathias Schmidt, Dominik Groß
Herausforderung 3:
Arbeitsteilung und komplexe Behandlungssituationen
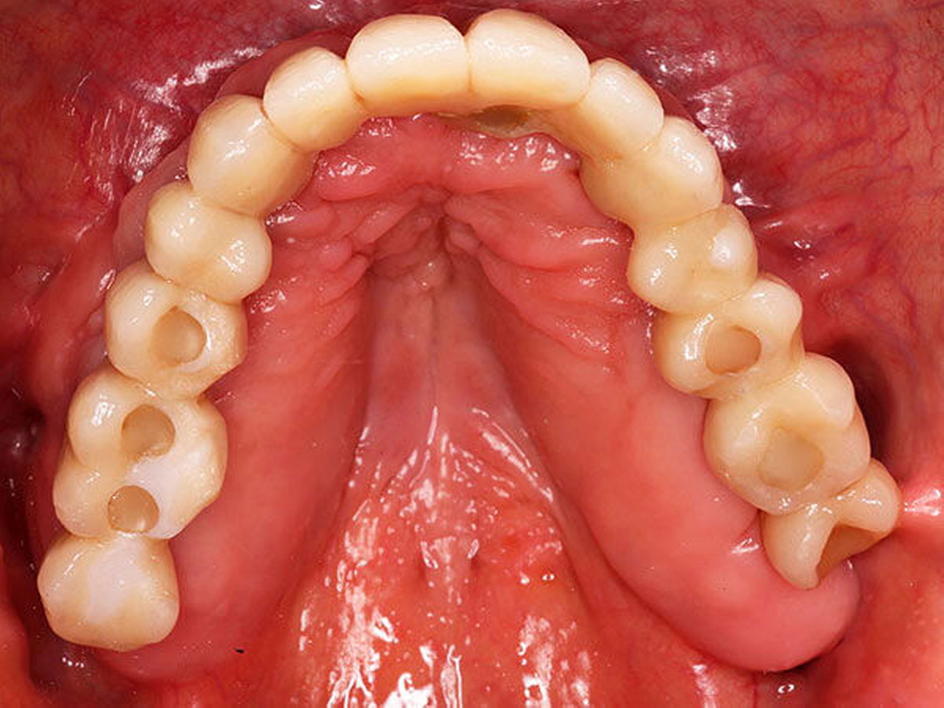
Die chirurgische Platzierung von Zahnimplantaten, das heißt die eigentliche Implantation, und die nachfolgende prothetische Versorgung dieser Implantate liegen nicht immer in einer Hand, sondern werden zum Teil von zwei verschiedenen Behandlern durchgeführt. Eine solche Arbeitsteilung hat durchaus Vorzüge: Aus der Allgemeinchirurgie wissen wir, dass Operateure mit großer Behandlungsroutine (hohe Fallzahlen pro Jahr) signifikant bessere Ergebnisse erzielen [Halm et al., 2002]. Doch geteilte Zuständigkeiten bergen auch Fallstricke: Wenn die Implantation und die nachfolgende prothetische Versorgung nicht gemeinsam geplant oder zumindest aufeinander abgestimmt werden, stellen sich im Fall eines ungünstigen Endresultats (Behandlungsfehler-Vorwurf) Fragen der Verantwortlichkeit. Man denke etwa an einen Fall, in dem ein Fachchirurg Implantate setzt, die aus Sicht des Implantatprothetikers falsch positioniert sind (Abbildungen 1, 2, 4, 5 und 6).
Letzterem bleibt nur die Wahl zwischen der Ablehnung der Weiterbehandlung und der Empfehlung einer aufwendigen und substanzverlustträchtigen Revision der Implantate (beides mutet dem betroffenen Patienten einiges zu) oder einer „Kompromissbehandlung“ mit dem Ziel, die invasive Revision der gesetzten Implantate abzuwenden und so den Schaden für den Patienten zu begrenzen. Heikel wird es insbesondere dann, wenn der Prothetiker in bester Absicht eine solche Kompromissbehandlung wagt, diese sich aber als nicht alltagstauglich erweist und der Patient schlussendlich Klage erhebt.
Hier kann es unter Umständen schwerfallen, die Verantwortung zuzuweisen: Liegt die Schuld beim Chirurgen, der die Implantate an ungünstiger Stelle gesetzt hat, oder beim Prothetiker, der sich nolens volens auf diese Situation eingelassen und ein letztlich unzureichendes Behandlungsergebnis erzielt hat? Aus fachlicher und ethischer Sicht ist die eigentliche Ursache für das insuffiziente Behandlungsergebnis beim Chirurgen zu suchen. Juristisch gesehen trägt dagegen jedoch der Implantatprothetiker die unmittelbare Verantwortung für das Behandlungsergebnis, da er die insuffiziente Suprakonstruktion geplant und eingegliedert hat. Rechtlich verhängnisvoll wird dieses Vorgehen insbesondere dann, wenn er den Patienten nicht explizit über den Kompromiss- und Versuchscharakter seiner Versorgung aufgeklärt hat oder das Aufklärungsgespräch und das Einverständnis des Patienten zur eigenen juristischen Absicherung nicht sorgsam dokumentiert hat.
Herausforderung 4:
Unzureichende Evidenz
Aus der empirischen, auf persönlicher Erfahrung beruhenden Zahnmedizin ist in den vergangenen Jahren eine evidenzbasierte Heilkunde geworden, die darauf abzielt, jeden (zahn-)ärztlichen Patienten auf der Basis der besten verfügbaren (klinischen) Daten zu versorgen. Allerdings ist das Evidenzniveau in vielen Bereichen der Zahnmedizin noch eher niedrig [Antes und Türp, 2013; Vollmuth und Groß, 2017]. Dies trifft auch auf die noch junge Teildisziplin der dentalen Implantologie zu – auch deshalb, weil es nicht den einen anerkannten Goldstandard gibt, gegen den getestet wird, sondern zahlreiche verschiedene Systeme und vom individuellen Behandler abhängige therapeutische Präferenzen. Während es für einzelne, bereits lange am Markt befindliche Implantatsysteme erste Verlaufsstudien über Zeiträume von bis zu 30 Jahren gibt, mangelt es bei anderen Produkten an (Langzeit-)ergebnissen.
Vor dem Hintergrund dieser Diversität kann es nicht überraschen, dass die verfügbaren klinischen Studien oft schwer vergleichbar sind. Hinzu kommt, dass nicht wenige Studien nur geringe Fallzahlen bieten. Zudem wird die Produktpalette von den Herstellern oft in kurzen Zeitzyklen verändert; dementsprechend kommt es nicht selten vor, dass sich die Ergebnisse der wichtigen (Langzeit-)Studien auf Produkte beziehen, die zum Zeitpunkt der Veröffentlichung der Studie so nicht mehr verfügbar beziehungsweise bereits durch Nachfolgemodelle ersetzt worden sind. Dies schränkt die Aussagekraft der Ergebnisse maßgeblich ein [Groß, 2019]. Mit dem hochfrequenten Wechsel der Produkte steht generell die Frage im Raum, ob man unter diesen Bedingungen überhaupt zu soliden Langzeitergebnissen kommen kann. Zu den Problemen der Evidenzgenerierung gehört auch, dass die Durchführung klinischer Studien bisweilen auch durch zum Teil unverhältnismäßige administrative und datenschutzrechtliche Hürden erschwert wird [Groß et al., 2018].
All dies hat Implikationen: Zahnärzte möchten die eigene Tätigkeit am Wohl des Patienten orientieren und diesem nach bestem Wissen den größtmöglichen Nutzen verschaffen (Benefizienz-Prinzip). Je niedriger das Evidenzniveau ist, desto schwerer fällt es jedoch, diesem ethischen Prinzip zu entsprechen.
Herausforderung 5:
Klinische Komplikationen und Spätfolgen
Mit der zunehmenden Etablierung der Implantatversorgung wuchs und wächst auch das klinische Wissen um mögliche Risiken, Nebenwirkungen, Komplikationen oder Spätfolgen [Wolfart et al., 2011; Anonymus, 2018]. Komplikationen und Spätfolgen können mechanische, technische oder biologische Ursachen haben, wobei in der jüngeren Literatur gerade der Periimplantitis besondere Aufmerksamkeit geschenkt wird [Derks und Tomasi, 2015; Tarnow, 2016; Gaudio et al., 2018]. Die Angaben zur Prävalenz von periimplantärer Mukositis und periimplantärer Entzündung schwanken hierbei zwischen 20 und 65 Prozent, was sich wohl auch dadurch erklärt, dass die Definition von Periimplantitis in den jeweiligen Studien uneinheitlich ist. In jedem Fall stellen Periimplantitis und -mukositis häufige Nebenwirkungen dar, die entsprechenden Nachsorgebedarf nach sich ziehen und zudem Risiken für die Langzeitstabilität der Suprakonstruktionen bergen. Auch mechanische und technische Komplikationen spielen eine Rolle (Tabelle 3). Aus ethischer Sicht kommt daher der Risikoabschätzung eine besondere Bedeutung zu – und diese muss wiederum Einfluss auf die Indikationsstellung nehmen. Ähnliches gilt für die frühzeitige Feststellung und Nachsorge von komplizierten Verläufen.
Schlussfolgerung
Dentale Implantate sind eine unverzichtbare Therapieoption. Sie erhöhen den klinischen Handlungsspielraum der Behandler, steigern in vielen Fällen die Versorgungsqualität und genießen bei den Patienten eine zunehmende Akzeptanz. Umso wichtiger ist es, dass die Indikationsstellung nicht überdehnt und die durchaus erheblichen Herausforderungen der Implantatversorgung – insbesondere in den Bereichen Patientenautonomie, Verantwortlichkeit beziehungsweise Verantwortungsübernahme, klinische Evidenz und Management von Komplikationen und Spätfolgen – analysiert und prospektiv abgeschätzt werden.
Der vorliegende Beitrag fußt auf der Veröffentlichung Karin Groß, Mathias Schmidt, Dominik Groß: „Indication first“: Die zahnärztliche Implantologie aus ethischer Sicht, Implantologie 27/1 (2019), S. 7–18.
Dr. med. dent. Karin Groß
Universitätsklinikum Aachen,
Klinik für Zahnärztliche Prothetik und Biomaterialien, Zentrum für Implantologie
Pauwelsstr. 30, 52074 Aachen
Dr. rer. medic. Mathias Schmidt, M.A.
Universitätsklinikum Aachen,
Institut für Geschichte, Theorie und Ethik der Medizin
Wendlingweg 2, 52074 Aachen
Univ.-Prof. Dr. med. Dr. med. dent. Dr. phil. Dominik Groß
Universitätsklinikum Aachen,
Institut für Geschichte, Theorie und Ethik der Medizin
Wendlingweg 2, 52074 Aachen
Literatur
Anonymus, Implantologie: Kaum noch Kontraindikationen, dafür mehr Risikopatienten. Zahnmedizin-Report 2018; 2:13.
Antes G, Türp JC. Evidenzbasierte Zahnmedizin – aktueller Stand. Dt Zahnarztl Z 2013;68:72–75.
Chandki R, Kala M. Natural tooth versus implant: a key to treatment planning. J Oral lmplantol 2012;38:95–100.
Derks J, Tomasi C. Peri-implant health and disease: a systematic review of current epidemiology. J Clin Periodontol 2015;42(Suppl 16):158–171.
Dirsch P, Groß D, Benz K, Jackowski J. Möglichkeiten und Grenzen der Implantatversorgung bei einem Palliativpatienten. Implantologie 2018;26:187–192.
Gaudio RM, Ottria L, Lauritano D, Palmieri A, Tagliabue A, Cura F, Tettamanti L. Peri-implant test is a proposal of a new procedure to prevent peri-implantitis and forensic claims. J Biol Reg Homeost Agents 2018;32(Suppl 1):43–50.
Groß D. Die zahnärztliche Implantologie in ethischer Perspektive. Implantologie 2014;22:391–398.
Groß D. Ethik in der Zahnmedizin. Berlin: Quintessenz, 2012.
Groß D, Groß K, Schmidt M. Ethical dilemmas of dental implantology: ready for aftercare? Quintessence Int 2018; 49:367–375.
Groß D. Quo vadis? Eine Profession im Umbruch und ihre Herausforderungen. In: Groß D. Die Geschichte des Zahnarztberufs in Deutschland. Entstehungsbedingungen – Begleitumstände – aktuelle Entwicklungen. Berlin: Quintessence Publishing, 2019:203–230.
Groß D, Kern M, Groß K, Figgener L. Klinische Studien und Datenschutz – Protektion vs. Restriktion. Zahnarztl Mitt 2018;108:52–56.
Groß D, Nitschke I. Dental Ethics – Ethik in der Zahnheilkunde. Ethik Med 2017;29:1–6.
Groß K., Schmidt M., Groß D. “Indication first”: Die zahnärztliche Implantologie aus ethischer Sicht, Implantologie 2019;27/1:7–18
Halm EA, Lee C, Chassin MR. Is volume related to outcome in health care? A systematic review and methodologic critique of the literature. Ann Intern Med 2002;137:511–520.
Hartshorne J, Hasegawa TK. Over-servicing in dental practice: ethical perspectives. SADJ 2003;58:364–369.
Hasegawa TK Jr, Matthews M Jr. Overtreatment or appropriate treatment? Tex Dent J 1995;112:37–41.
Klinge B, Flemming T, Cosyn J, De Bruyn H, Eisner BM, Hultin M, Isidor F, Lang NP, Lund B, Meyle J, Mombelli A, Navarro JM, Pjetursson B, Renvert S, Schliephake H. The patient undergoing implant therapy: summary and consensus statements. The 4th EAO Consensus Conference 2015. Clin Oral Implants Res 2015;26(Suppl 12):64–67.
Kunze J, Nitschke I. Zur Implantatnachsorge. Wenn Patient und Implantat ins Alter kommen. Implantologie 2012; 20:441–452.
Lang-Hua BH, McGrath CP, Lo EC, Lang NP. Factors influencing treatment decision-making for maintaining or extracting compromised teeth. Clin Oral Implants Res 2014;25:59–66.
Müller F, Duvernay E, Loup A, Vazquez L, Herrmann FR, Schimmel M. Implant-supported mandibular overdentures in very old adults: a randomized controlled trial. J Dent Res 2013;92:154S–160S.
Nitschke I, Groß D, Kunze J: Spezifische Bedarfe bei zahnärztlichen Patienten mit Demenz und ihre ethischen Implikationen. Ethik Med 2017;29:71–84.
Nitschke I, Kunze J, Hopfenmüller W, Reiber T. Repetitorium: Die zahnmedizinische funktionelle Kapazität – ein Instrument in der Gerostomatologie. Quintessenz 2012;63: 207–210.
Reid KI. Informed Consent in Dentistry. J Law Med Ethics 2017;45:77–94.
Schimmel M. Implantologische Konzepte für sehr alte Patienten. der junge zahnarzt 2017;8:40–43.
Tarnow D. Increasing prevalence of peri-implantitis: how will we manage? J Dent Res 2016;95:7–8.
Tuna T, Groß D, Groß K, Wolfart S. „All-on-4“ oder Zahnerhalt: Wie direktiv dürfen Patientenaufklärungen sein? Zahnarztl Mitt 2018a;108:40–47.
Tuna T, Groß D, Groß K, Wolfart S. Zur klinisch-ethischen Falldiskussion: Die klinische Lösung des Falls. Zahnarztl Mitt 2018b;108:48–55.
Vernazza CR, Rousseau N, Steele JG, Ellis JS, Thomason JM, Eastham J, Exlex C. Introducing high-cost healthcare to patients: dentists’ accounts of offering dental implant treatment. Community Dent Oral Epidemiol 2015;43:75–85.
Vogel R, Smith-Palmer J, Valentine W. Evaluating the health economic implications and cost-effectiveness of dental implants: a literature review. Int J Oral Maxillofac Implants 2013;28:343–356.
Vollmuth R, Groß D. Zwischen Gütesiegel und Scheinargument: der Diskurs um die Evidenzbasierte Zahnmedizin am Beispiel der Professionellen Zahnreinigung. Dt Zahnarztl Z 2017;72:382–388.
Wolfart S, Gehrt M, Groß D. Management prothetischer Komplikationen in der Implantatprothetik. Teil 1: Festsitzende Restaurationen. Implantologie 2011;19:395–408.
Zitzmann NU, Krastl G, Weiger R, Kühl S, Sendi P. Costeffectiveness of anterior implants versus fixed dental prostheses. J Dent Res 2013;92(Suppl 12):183–188.











