Genetisch bedingte Zahnnichtanlagen erkennen und therapieren
Ein damals 19-Jähriger (Abbildung 1) wurde 2017 in unserer interdisziplinären Implantatsprechstunde zur Beratung bezüglich seiner Zahnnichtanlagen vorstellig. Äußerlich zeigte der Patient keine klassischen Merkmale einer ektodermalen Dysplasie wie beispielsweise eine Hypotrichose, er berichtete jedoch, dass er tendenziell wenig schwitze und seine Haut eher trocken und rissig sei.
Fallbericht
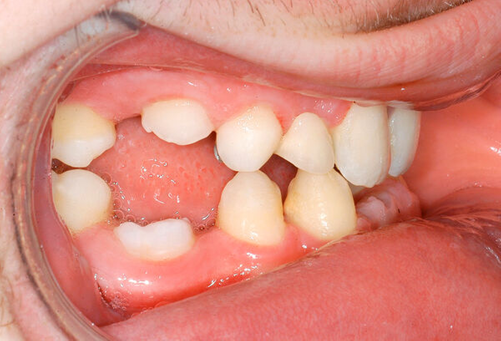
Beim intraoralen Befund imponierten neben multiplen Lücken ein partiell seitlich-offener Biss, eine auffällig konische Form der oberen mittleren Schneidezähne sowie persistierende Milchzähne (Abbildungen 2 bis 4). Zusammen mit der angefertigten Panoramaschichtaufnahme (Abbildung 5) konnte der Verdacht einer ausgeprägten Oligodontie bestätigt werden – insgesamt waren 22 Zähne inklusive der Weisheitszähne nicht angelegt. Auf Grundlage der bestehenden Befunde wurde der Verdacht einer genetischen Ursache der Symptome geäußert und dem Patienten zunächst eine molekulargenetische Abklärung mit der Verdachtsdiagnose „genetisch bedingte Zahnnichtanlagen / ektodermale Dysplasie“ empfohlen. Bei der Sequenzanalyse wurde eine Mutation im WNT10A-Gen nachgewiesen und somit die klinische Verdachtsdiagnose bestätigt.
Tag der seltenen Erkrankungen
Etwa 4 Millionen Menschen in Deutschland leiden an einer seltenen Krankheit, die im Durchschnitt erst nach sieben Jahren entdeckt wird. Bis dahin haben viele der Patienten einen langen Leidensweg mit verschiedenen (Fach-)Arztbesuchen und Fehldiagnosen hinter sich. Denn meist sind die Symptome klinisch nicht geläufig oder zu unspezifisch. Dabei können die Krankheiten lebensbedrohlich sein und unerkannt schwerwiegend verlaufen.
15 Prozent der seltenen Erkrankungen erscheinen mit Symptomen im Mund-, Kiefer- oder Gesichtsbereich. Bei einer regelmäßigen Kontrolle können diese schneller entdeckt oder sogar zugeordnet werden, wie zum Beispiel bei der systemischen Sklerodermie – einer rheumatischen Autoimmunerkrankung, bei der sich das Zungenbändchen verändert. Gegebenenfalls kann der Zahnarzt an eine Universitätsklinik mit spezialisierten Zentren überweisen.
Der Tag der seltenen Krankheiten wurde in Europa erstmals am 29. Februar 2008 begangen, um die Öffentlichkeit auf die Belange der von seltenen Krankheiten Betroffenen aufmerksam zu machen. Ausgerufen wurde der Tag von EURODIS, einer nichtstaatlichen Allianz von Patientenorganisationen. Es wurde dabei bewusst der seltenste Tag eines Jahres, der nur alle vier Jahre vorkommende Schalttag, ausgewählt. In Nicht-Schaltjahren wird der Tag der seltenen Krankheiten am 28. Februar begangen.
Was ist „selten“?
Eine Krankheit gilt als selten, wenn von 10.000 Menschen maximal 5 von ihr betroffen sind. Etwa 7.500 seltene Erkrankungen sind weltweit registriert. In 80 Prozent der Fälle sind sie genetisch bedingt.
Nun wurde gemeinsam mit dem Patienten ein implantatgetragener Zahnersatz zur kaufunktionellen Rehabilitation gemäß Paragraf 28 Absatz 2 Satz 9 SGB V [G-BA, 2006] geplant, der letztlich genehmigt wurde. Nach Entfernung aller Milchzähne und einer sechswöchigen Abheilung des Weichgewebes erfolgte unter intravenöser Sedierung ein beidseitiger externer Sinuslift, eine Knochenblockaugmentation im Unterkiefer sowie die Insertion von sechs Implantaten im Oberkiefer. Nach einer dreimonatigen Einheilphase erfolgte im Unterkiefer die Insertion von zwei Implantaten. Anschließend erfolgte die prothetische Versorgung des Patienten (Abbildung 6).
Die Implantate wurden in Ober- und Unterkiefer mit vollkeramischen Kronen aus Zirkonoxid versorgt. Zum Lückenschluss in der Unterkieferfront wurde eine konventionelle vollkeramische Brücke angefertigt, mit der zugleich die Formanomalie der unteren Eckzähne korrigiert werden konnte. Die Kauflächen der in Infraokklusion stehenden Oberkiefermolaren wurden mit vollkeramischen Teilkronen aufgebaut. Auf diese Weise konnte ein funktionell und ästhetisch gutes Behandlungsergebnis erzielt werden.
Diskussion
Genetisch bedingte Zahnnichtanlagen treten insbesondere bei den ektodermalen Dysplasien auf. Das ist eine heterogene Gruppe hereditärer, kongenitaler Fehlbildungen mit entwicklungsbedingten Dystrophien ektodermaler Strukturen die etwa einen von 5.000 bis 10.000 Menschen betreffen [Wang et al., 2016] und somit zu den seltenen Erkrankungen zählen. Für ektodermale Dysplasien wurde kürzlich eine neue Klassifikation veröffentlicht, die diese nach Phänotyp, Genotyp und molekularem Signalweg klassifiziert und organisiert [Wright et al., 2019].
Zu den Derivaten des Ektoderms gehören Haare, Zähne, Nägel, Schweißdrüsen, Talgdrüsen, Brustdrüsen und Wimperndrüsen [Ramesh et al., 2010; Deshpande et al., 2010; Mikkola, 2009; Visinoni et al., 2009]. An oralen Manifestationen werden bei den verschiedenen Formen der ektodermalen Dysplasie neben Zahnnichtanlagen (Hypodontie, Oligodontie, Anodontie) auch Formanomalien der Zähne wie Mikrodontie oder Zapfenzähne [Hanisch et al., 2018] beschrieben.
Trotz offensichtlicher Symptome wie multiple Zahnnichtanlagen scheint teilweise ein Problem bei der Diagnosestellung zu bestehen. So wurden in zwei Publikationen [Hanisch et al., 2018, Hanisch et al., 2019] Diagnosezeiträume von 7,73 beziehungsweise 9,04 Jahren zwischen dem Auftreten der ersten Symptome der Erkrankung, wie dies Zahnnichtanlagen oder Formanomalien der Zähne sein können, und der korrekten Diagnose ermittelt. Gerade Zahnärzte, Fachzahnärzte für Kieferorthopädie oder Oralchirurgie sowie Mund-, Kiefer- und Gesichtschirurgen könnten die Symptome Nichtanlagen und Formanomalien der Zähne einer ektodermalen Dysplasie zuordnen und entsprechende weitere diagnostische Maßnahmen, wie eine molekulargenetische Abklärung, veranlassen. Dies kann durch eine einfache Überweisung an die Humangenetik erfolgen.
Auch ist inzwischen bekannt, dass multiple Zahnnichtanlagen im Zusammenhang mit einer ektodermalen Dysplasie die mundgesundheitsbezogene und die allgemeine Lebensqualität mindern [Hanisch et al., 2018, Hanisch et al., 2019]. Eine kaufunktionelle und ästhestische Versorgung zur Steigerung der Lebensqualität kann beispielsweise mit Implantaten erfolgen.
Der Gemeinsame Bundesausschuss (G-BA) legt in den Richtlinien gemäß Paragraf 92 Absatz 1 SGB V die seltenen Ausnahmeindikationen für Fälle fest, bei denen ein Anspruch auf implantologische Leistungen einschließlich der Suprakonstruktionen im Rahmen einer medizinischen Gesamtbehandlung gemäß Paragraf 28 Absatz 2 Satz 9 SGB V als Sachleistung besteht [G-BA, 2006]. In diesem Rahmen hat der G-BA die ektodermalen Dysplasien den angeborenen Fehlbildungen des Kiefers zugeordnet. Folglich sollte eine mögliche Ausnahmeindikation mit Anspruch auf implantatgetragenen Zahnersatz zur kaufunktionellen Rehabilitation von Patienten mit ektodermalen Dysplasien stets geprüft, und den Patienten somit ein Lösungsweg aufgezeigt werden.
Aufgrund der bei Oligodontien fehlenden Zahnanlagen wird auch der mit dem Durchbruch des bleibenden Zahns verbundene Wachstumsreiz auf den Alveolarfortsatz nicht ausgelöst, woraus meist ein reduziertes Knochenangebot resultiert [Terheyden und Wüsthoff, 2015]. Neben oftmals erforderlichen augmentativen Maßnahmen [Wang et al., 2016] ist im Rahmen der Implantation auch mit einem harten und spröden Knochen zu rechnen [Terheyden und Wüsthoff, 2015]. Insgesamt zeigen Implantate bei Patienten mit ektodermalen Dysplasien jedoch hohe Überlebensraten [Chrcanovic, 2018].
Schlussfolgerungen
Bei Zahnnichtanlagen sollte stets auch eine ektodermale Dysplasie bedacht und gegebenenfalls molekulargenetisch abgeklärt werden. Eine Überweisung an die Humangenetik kann durch den Zahnarzt erfolgen. Sollte der Verdacht einer ektodermalen Dysplasie bestätigt werden, kann eine implantologische Versorgung nach den im Sozialgesetzbuch V unter Paragraf 28 geregelten Ausnahmeindikationen beantragt werden.
Dr. med. dent. Marcel Hanisch, MBA
Fachzahnarzt für Oralchirurgie Oberarzt, Klinik für Mund-, Kiefer- und Gesichtschirurgie, Universitätsklinikum Münster, Leiter der Spezialsprechstunde „Seltene Erkrankungen mit oraler Beteiligung“
Waldeyerstr. 30, 48149 Münster, marcel.hanisch@ukmuenster.de
Dr. med. dent. Natalie Weber
Oberärztin, Poliklinik für Prothetische Zahnmedizin und Biomaterialien, Universitätsklinikum Münster
Waldeyerstr. 30, 48149 Münster
Literaturliste
1. Wang Y, He J, Decker AM, Hu JC, Zou D. Clinical outcomes of implant therapy in ectodermal dysplasia patients: a systematic review. Int J Oral Maxillofac Surg. 2016;45:1035-43.
2. Wright JT et al. Ectodermal dysplasias: Classification and organization by phenotype, genotype and molecular pathway. Am J Med Genet A. 2019 Mar;179(3):442-447
3. Ramesh K, Vinola D, John JB: Hypohidrotic ectodermal dysplasia - diagnostic aids and a report of 5 cases. J Indian Soc Pedod Prev Dent 2010;28(1):47-54.
4. Deshpande SN, Kumar V: Ectodermal dysplasia - Maxillary and mandibular alveolar reconstruction with dental rehabilitation: A case report and review of the literature. Indian J Plast Surg 2010;43:92-6
5. Mikkola ML: Molecular aspects of hypohidrotic ectodermal dysplasia. Am J Med Genet A 2009;149:2031-6.
6. Visinoni AF, Lisboa-Costa T, Pagnan NA, Chautard-Freire-Maia EA: Ectodermal dysplasias: clinical and molecular review. Am J Med Genet A 2009;149:1980-2002.
7. Hanisch M, Bohner L, Jung S, Kleinheinz J Seltene Erkrankungen mit implantologischem Therapiebedarf: ektodermale Dysplasien. Implantologie 2018, 26(2):157-166.
8. Hanisch M, Sielker S, Jung S, Kleinheinz J, Bohner L. Self-Assessment of Oral Health-Related Quality of Life in People with Ectodermal Dysplasia in Germany. Int J Environ Res Public Health. 2019 May 31;16(11).
9. www.g-ba.de/downloads/62-492-78/RL-Z_Behandlung_2006-03-01.pdf Zugegriffen: 07.02.2019











