Peripheres Riesenzellgranulom im Oberkiefer
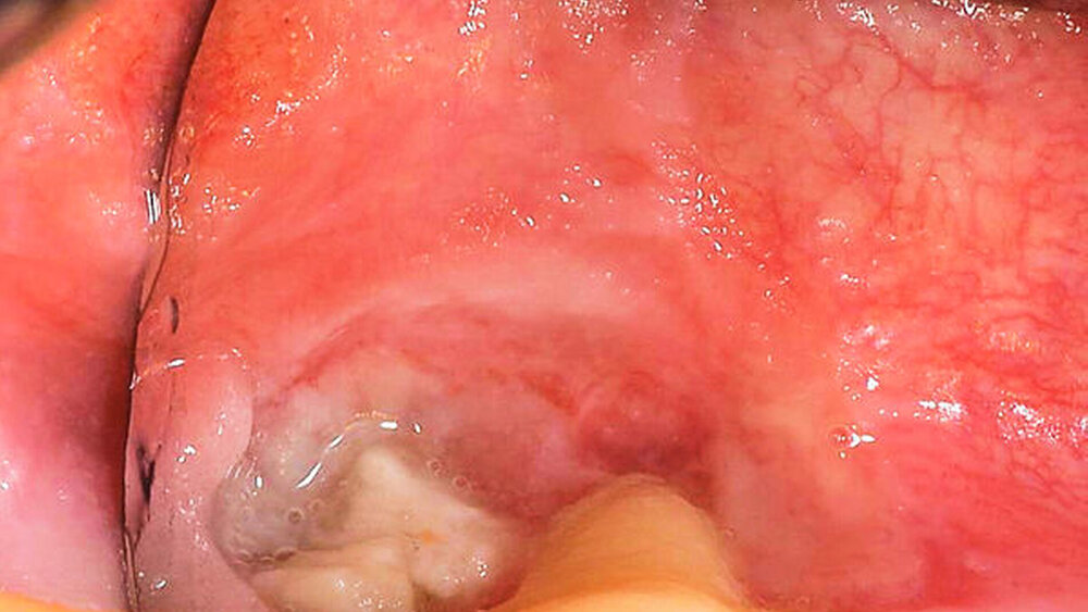
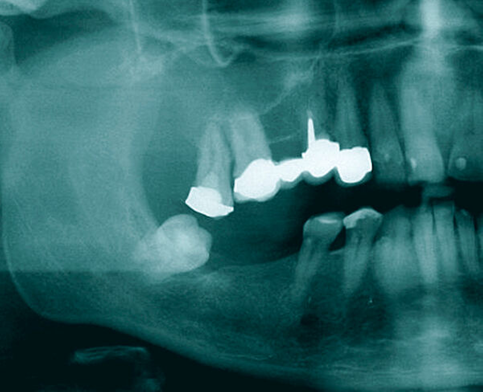
Ein 50-jähriger Patient ohne Nebenerkrankungen und Medikation stellte sich auf Überweisung seines Hauszahnarztes mit einem unklaren, tumorähnlichen Befund im rechten Oberkiefer vor. Intraoral zeigte sich vor allem distal des Zahns 17 eine fibrinbelegte, ulzerierend erscheinende Läsion. Die Zähne 17 und 16 reagierten negativ auf eine Vitalitätsprobe und wiesen einen Lockerungsgrad von I bis II auf. Insbesondere der Zahn 17 war mit seiner partiell freiliegenden Wurzeloberfläche auffällig (Abbildung 1). Eine Panoramaschichtaufnahme erbrachte den Nachweis einer starken Elongation des oberen, rechten zweiten Molaren mit erweiterten Parodontalspalt (Abbildung 2).
Das anschließend durchgeführte DVT wies an der besagten Stelle eine weichgewebsdichte, scharf begrenzte, ovale Struktur mit stellenhafter Unterbrechung der Kompakta auf, die bis in die Kieferhöhle ragte (Abbildungen 3 und 4).
Eine laborchemische Auswertung des Blutes ergab keine Auffälligkeiten. Unter der Verdachtsdiagnose eines odontogenen Tumors mit der Differenzialdiagnose eines Malignoms wurde eine Biopsie durchgeführt und ein ulzerierendes peripheres Riesenzellgranulom der Gingiva ohne Anhalt von Malignität diagnostiziert.
Bei der anschließend durchgeführten Resektion im Oberkiefer wurde der Befund in toto mit den Zähnen 17 und 16 bei Einhaltung eines geringen Sicherheitsabstands unter Eröffnung der Kieferhöhle exzidiert. Der entstandene Defekt wurde mithilfe eines gestielten Mukoperiostlappens unter Einbezug des Bichatschen Fettpfropfs gedeckt.
Die pathohistologische Untersuchung des entnommenen Präparats ergab zahlreiche zentrale Riesenzellen in einem gefäßreichen mesenchymalen Stroma und bestätigte somit die initiale Diagnose. Die lokale Wundheilung gestaltete sich komplikationslos (Abbildung 5).
Nach sechs Monaten erfolgte die Rekonstruktion mit einem avaskulären Transplantat vom rechten Beckenkamm und nach dessen Einheilung die Insertion von zwei enossalen Implantaten sowie die prothetische Versorgung. Bei einer Nachsorgedauer von nunmehr zwei Jahren nach der Operation blieb der Patient rezidivfrei.
Diskussion
Bei peripheren Riesenzellgranulomen (PRZG; Synonym: Riesenzellepulis) handelt es sich um in der Mundhöhle häufige Gewebsveränderungen der Gingiva oder der alveolären Mukosa, die als nicht-neoplastische, lokalisierte und reaktive Zellproliferationen aufgefasst werden und – häufiger bei Frauen – in jedem Alter auftreten können, jedoch eine gewisse Häufung um das dritte bis sechste Lebensjahrzehnt haben [Kämmerer und Kunkel, 2008; Boffano et al., 2013]. Das PRZG kommt häufiger im (posterioren) Unterkiefer als im Oberkiefer vor. Die Pathogenese des PRZG ist noch nicht abschließend geklärt, allerdings wird von einer Assoziation mit lokal-reizenden Faktoren wie Zahnextraktionen, impaktiertem Essen, insuffizienten zahnärztlichen Restaurationen, schlecht sitzenden Prothesen, zahnärztlichen Implantaten und chronischen Traumata ausgegangen [Boffano et al., 2013].
Klinisch handelt es sich meist um rötliche oder rot-blaue, exophytisch wachsende Auftreibungen mit fibröser Konsistenz und gelegentlich einer – wie im vorgestellten Fall – ulzerierenden Oberfläche. Da die meisten PRZG progressiv, aber asymptomatisch wachsen, sind eine Zahnverdrängung und eine Resorption des darunter liegenden Alveolarknochens zum Zeitpunkt der Erstdiagnose nicht selten [Baesso et al., 2019]. Daher ist das PRZG leicht mit dem ebenfalls an der Gingiva auftretenden pyogenen Granulom, der fibrösen Gingivahyperplasie und dem peripheren ossifizierenden Fibrom zu verwechseln. Als Differenzialdiagnose kommt zusätzlich der braune Tumor bei Hyperparathyreoidismus infrage, bei dem der erhöhte Parathormonspiegel die osteoklastären Prozesse stimuliert [Dos Santos et al., 2018]. Deswegen ist es wichtig, den Kalzium- und den Phosphatspiegel zu kontrollieren, um eine solche Diagnose auszuschließen.
Histopathologisch ist das periphere nicht vom zentralen Riesenzellgranulom zu unterscheiden; die Bezeichnung hängt hier alleine von der Lokalisation ab. Im Unterschied zum PRZG, das nur im Bereich der Gingiva zu finden ist, ist das zentrale Riesenzellgranulom intraossär lokalisiert. Beide zeigen histologisch das Bild von unregelmäßig verteilten Riesenzellen, umgeben von einer gut durchbluteten, zellreichen Matrix. Die Riesenzellen sind oft in Gruppen von bis zu 20 Kernen angeordnet, während sie beim zentralen Riesenzellgranulom etwas dichter beieinander liegen [Etoz et al. 2010]. Zur eindeutigen Diagnostik ist neben der Laboruntersuchung und einer Probebiopsie in jedem Fall die Röntgendiagnostik notwendig. Hier zeigt sich im zahntragenden Bereich häufig die bereits beschriebene und auch im vorliegenden Fall beobachtete Resorption des Alveolarknochens, eine Aufweitung des Parodontalspalts und – seltener – eine Wurzelresorption.
Therapie der Wahl ist die chirurgische Entfernung mitsamt Kürettage oder Osteotomie. Allerdings wird auch berichtet, dass es zu einem spontanen Regress des PRZG nach Ausschaltung der lokal-reizenden Ursache kam. Sollte ein Implantat ursächlich für das PRZG sein, wird daher auch gelegentlich die Entfernung des Implantats als notwendig angesehen [Chrcanovic et al., 2019]. Die Exzision mit nachfolgender Kürettage minimiert die Wahrscheinlichkeit eines Rezidivs, andere Faktoren, wie Alter, Größe des Defekts, Nachuntersuchungen, Geschlecht, Lokalisation, klinische Symptome und Knochenbeteiligung, scheinen die Rezidivrate nicht zu beeinflussen. Je nach Größe des entstandenen Defekts können – wie im vorliegenden Fall – ein anschließender Knochenaufbau und eine Implantatversorgung notwendig werden. Das generelle Rezidivrisiko des PRZG liegt bei circa 10 Prozent und ist am ehesten auf eine unvollständige Entfernung der Wucherung oder des beteiligten Periosts zurückzuführen.
Marie Schwarting
Klinik und Poliklinik für Mund-, Kiefer und Gesichtschirurgie – Plastische Operationen
Universitätsmedizin Mainz
Augustusplatz 2, 55131 Mainz
Charlott Luise Hell
Klinik und Poliklinik für Mund-, Kiefer und Gesichtschirurgie – Plastische Operationen
Universitätsmedizin Mainz
Augustusplatz 2, 55131 Mainz
PD Dr. Dr. Peer W.Kämmerer, MA, FEBOMFS
Leitender Oberarzt und stellvertretender Klinikdirektor
Klinik und Poliklinik für Mund-, Kiefer- und Gesichtschirurgie, Plastische Operationen
Universitätsmedizin Mainz Augustusplatz 2, 55131 Mainz
peer.kaemmerer@unimedizin-mainz.de
Fazit für die Praxis
Das periphere Riesenzellgranulom (PRZG) ist eine benigne Läsion der Mundhöhle, die als dunkelrot bis bläuliche Wucherung auftreten kann.
Das PRZG ist häufig extraossär lokalisiert, es grenzt sich vom zentralen Riesenzellgranulom nur durch seine Lokalisation ab.
Zur Abgrenzung gegenüber dem Hyperparathyreoidismus ist die laborchemische Bestimmung des Kalzium-, des Phosphat- und des Parathormonspiegels notwendig.
Eine eindeutige Diagnostik ist ohne Röntgendiagnostik, Laboruntersuchung und Probebiopsie nicht möglich.
Literaturliste
Baesso, R. C. P., M. C. de Lima Jacy Monteiro Barki, R. de Souza Azevedo, K. B. F. da Costa Fontes, D. L. Pereira, R. Tucci, F. R. Pires and B. L. S. Picciani (2019). „Peripheral giant cell granuloma associated with a dental implant.“ BMC Oral Health 19(1): 283.
Boffano, P., R. Benech, F. Roccia, C. Gallesio, M. Garzaro and G. Pecorari (2013). „Review of peripheral giant cell granulomas.“ J Craniofac Surg 24(6): 2206-2208.
Chrcanovic, B. R., C. C. Gomes and R. S. Gomez (2019). „Peripheral giant cell granuloma associated with dental implants: a systematic review.“ J Stomatol Oral Maxillofac Surg 120(5): 456-461.
Dos Santos, B., V. S. Koth, M. A. Figueiredo, F. G. Salum and K. Cherubini (2018). „Brown tumor of the jaws as a manifestation of tertiary hyperparathyroidism: A literature review and case report.“ Spec Care Dentist 38(3): 163-171.
Etoz, O. A., A. E. Demirbas, M. Bulbul and E. Akay (2010). „The peripheral giant cell granuloma in edentulous patients: report of three unique cases.“ Eur J Dent 4(3): 329-333.
Kämmerer, P. W. and M. Kunkel (2008). „Peripheres Riesenzellgranulom mit zentraler Kalzifikation.“ Zahnärztliche Mitteilungen 98: 40-42.









