Myxofibrom der Weichgewebe in Ober- und Unterkiefer
Bei dem körperlich und geistig von Geburt an schwerst beeinträchtigten Kind imponierten klinisch harte, der befestigten Gingiva in Struktur und Farbe ähnliche Gewebeneubildungen der Alveolarkämme beider Kiefer, in der sich Zähne aus beiden Dentitionen unregelmäßig verteilt und partiell teilretiniert zeigten. Die Schleimhautwucherungen beeinträchtigten mittlerweile nicht nur den Kieferschluss, so dass ein permanenter offener Biss bestand, sondern schränkten auch die Zungenbeweglichkeit sowie die Mundatmung durch den verlegten Mundraum massiv ein. Die Eltern befürchteten, dass es im Fall des Erbrechens zum Ersticken kommen könnte, und gaben an, dass die größenprogredienten Schleimhautwucherungen bereits seit einigen Jahren bestanden und bisher lediglich alio loco ärztlich verlaufskontrolliert wurden. Eine chirurgische Intervention war bislang abgelehnt worden.
Aufgrund der eingeschränkten Möglichkeit der klinischen Untersuchung erfolgte zur weiteren Diagnostik zunächst eine Magnetresonanztomografie in Intubationsnarkose. Hier zeigten sich Deformationen des knöchernen und des weichgewebigen Ober- und Unterkiefers sowie eine fast vollständige Verlegung der Mundhöhle im Rahmen der bestehenden Gingivahyperplasie im Bereich der Front- und der Eckzähne der Maxilla sowie der Rami mandibulae beidseits. Die Zunge wurde durch die Raumforderung in den Mundboden verlagert.
Neben der Vergrößerung der knöchernen maxillären Strukturen zeigte sich die Gingiva ebenfalls massiv hypertrophiert. Dies prägte auch das klinische Bild. Hinzu kam eine ausgeprägte Medialisierung der Rami mandibulae, die ebenfalls von deutlichen Gingivahyperplasien überzogen waren und sich in der Mitte der Mundhöhle großflächig berührten. Die Zähne in Ober- und Unterkiefer wiesen Fehlstellungen auf und waren zum Teil vollständig von den Hyperplasien überwuchert. In der Gesamtschau ergab sich eine deutliche Reduktion der Mundhöhle, so dass bei einer Progredienz des Wachstums dieser Raumforderungen von einer vitalen Bedrohung durch eine Verlegung der Atemwege auszugehen war.
Die Reduktion der Raumforderung mit einer zeitgleichen histopathologischen Aufarbeitung wurde in Allgemeinanästhesie geplant.
In Vollnarkose erfolgte eine gründliche klinische Inspektion. Diese zeigte ein noch massiveres Ausmaß der Gingivawucherungen als durch die radiologische Diagnostik und die klinische Untersuchung vermutet. Der Zungenraum war durch die Raumforderung stark eingeengt und die Zunge lag funktionseingeschränkt in den Mundboden – in einer Art Hohlraum – verlegt, umgeben von den Gingivawucherungen des Unterkiefers.
Eine besondere Herausforderung stellte die Intubationsnarkose für die Kollegen der Anästhesie dar, da eine orale Intubation aufgrund des verlegten Mundraums nicht möglich war. Durch eine fiberoptische nasale Intubation konnten die Atemwege anästhesiologisch gesichert werden.
Die weichgewebigen Anteile der Gewebewucherungen wurden chirurgisch schrittweise so weit abgetragen, bis die ursprünglichen anatomischen Strukturen, die darunter verborgenen Zähne und Alveolarknochen, zum Vorschein kamen. Die Milchzähne standen diffus verteilt in der Gewebeneubildung, während sich die bleibenden Zähne unterhalb der Wucherung befanden und erst nach Abtragung des überschüssigen Weichgewebes zum Vorschein kamen.
Zur histopathologischen Untersuchung wurden sowohl weichgewebige als auch knöcherne Resektate entnommen. Nach Entfernung der nicht erhaltungswürdigen Milchzähne, einer großzügigen Resektion der Gingiva sowie einer modellierenden Osteotomie in Ober- und Unterkiefer, um eine reguläre Größendimension der Kiefersegmente in Ober- und Unterkiefer zu erlangen, wurde in beiden Kiefern der speicheldichte Wundverschluss durchgeführt.
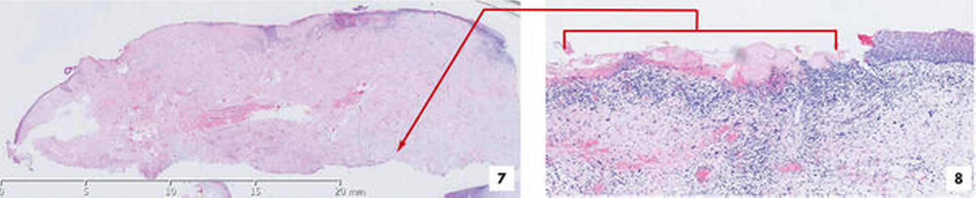
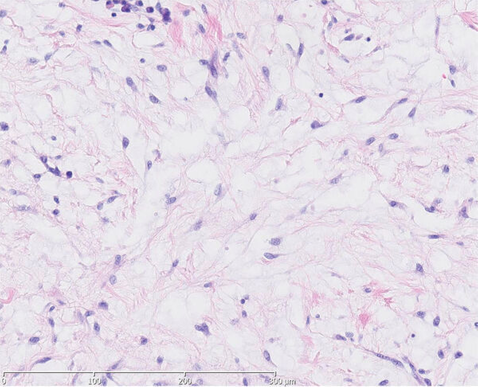
In der histopathologischen Aufbereitung zeigte sich in den weichgewebigen Resektaten eine interstitielle myxoide Matrix mit spindeligen Zellen mit geringen Kerngrößenschwankungen. Zur weiteren Befundeinordnung erfolgte eine immunhistochemische Aufbereitung. Dabei waren Anteile eines Myxofibroms mit fokal chronisch-erosiven Entzündungen im Bereich der Oberfläche sowie eine Hyperplasie des Plattenepithels erkennbar.
Um Aussagen zur intraossären Ausbreitung sowie zur Dignität des nachgewiesenen Myxofibroms treffen zu können, wurde das Material weiter aufbereitet. In der Alcian-PAS-Färbung zeigten sich keine infiltrativen Anteile des beschriebenen Myxofibroms sowie keine Destruktion des Knochengewebes. Es gab keine Anzeichen für Malignität.
Diskussion
Erstmals 1947 in Verbindung mit dem Auftreten im stomatognathen System durch Thoma und Goldman beschrieben, ist das odontogene Myxofibrom ein seltener, langsam lokal infiltrativ wachsender benigner Tumor mesenchymalen Ursprungs [Thoma und Goldman, 1947]. Die Begriffe „Myxofibrom“, „Fibromyxom“ und „Odontogenes Myxom“ werden durch die WHO analog verwendet. Sie bezeichnen Läsionen, die sich durch die Proliferation primitiver mesenchymaler Zellen auszeichnen, die eine amorphe mukoidreiche interzelluläre Matrix exprimieren [Kramer et al., 1992; Jaeger et al., 2000].
Das odontogene Myxom wird als dritthäufigster odontogener Tumor nach Odontomen und Ameloblastomen angeführt [Jackowski et al., 2017]. In der Literatur wird eine Verteilung von 1:1,4 (männlich:weiblich) angegeben. Das häufigste Auftreten wird von der zweiten bis zur vierten Lebensdekade beschrieben [Reichart et al., 2004; Kaffe et al., 1997]. Nichtsdestotrotz kann sich ein Myxofibrom ebenso bei Patienten in sehr jungem oder sehr hohem Alter entwickeln, wie dieser klinische Fall eindrücklich zeigt. Ursprungsgewebe können zum einen das faziale Skelettsystem, zum anderen und in selteneren Fällen jedoch auch periphere Weichgewebe, Interdentalpapillen, Zahnfollikel oder das parodontale Ligament sein [Bahl et al., 2016].

Entsprechend der aktuellen Literatur zeigt sich das häufigste Auftreten in der posterioren Mandibula [Alhousami et al., 2018], wobei die Maxilla grundsätzlich ebenso betroffen sein kann. Radiologisch imponieren bei einer den Knochen betreffenden Läsion multilokuläre, zystische Aufhellungen [Jackowski et al., 2017], die durch ihre Größe in einer deutlichen fazialen Deformität resultieren können. Die klinische Symptomatik ist vielfältig, jedoch zeigt sich bei der Mehrheit der Patienten eine schmerzlose Schwellung mit knöcherner Auftreibung. Okklusionsstörungen, fehlende oder impaktierte Zähne sowie Hypästhesien im Unterkiefer sind häufig mit odontogenen Myxofibromen assoziiert [Harder, 1978].
Die Besonderheit des vorliegenden Falls besteht zum einen darin, dass die Resektion aufgrund der eingeschränkten allgemeinen Anamnese deutlich verzögert stattfand, was zu einem letztlich fulminanten Befund führte. Zum anderen ist klinisch und histologisch keine knöcherne Beteiligung beziehungsweise intraossäre Ausbreitung des im Weichgewebe beschriebenen Myxofibroms erkennbar.
Die Therapie der Wahl bleibt jedoch gleich: Beim odontogenen Myxofibrom sollte aufgrund der hohen Rezidivneigung die vollständige chirurgische Resektion des Befunds angestrebt werden. Dies wird durch die unklar definierten chirurgischen Grenzen erschwert, wodurch auch eine Rezidivrate von fast 25 Prozent [Jackowski et al., 2017] erklärbar sein könnte.
Differenzialdiagnostisch sollte bei diesen Befunden an ein Ameloblastom, ein odontogenes Fibrom, ein hyperplastisches Zahnsäckchen, eine odontogene Keratozyste oder ein Riesenzellgranulom gedacht werden [Harder, 1978]. Die histopathologische Aufarbeitung sowie die regelmäßige und engmaschige klinische und radiologische Verlaufskontrolle wird dringend empfohlen, um im Fall eines Rezidivs frühzeitig intervenieren zu können.
Dr. Sandra Scholz
Klinik und Poliklinik für Mund-, Kiefer- und Gesichtschirurgie,
Universitätsklinikum RWTH Aachen
Pauwelsstr. 30, 52074 Aachen
sascholz@ukaachen.de
Dr. Dr. Nora Lautner
Klinik und Poliklinik für Mund-, Kiefer- und Gesichtschirurgie
Universitätsklinikum RWTH Aachen
Pauwelsstr. 30, 52074 Aachen
nlautner@ukaachen.de
Dr. Till Braunschweig
Institut für Pathologie
Universitätsklinikum RWTH Aachen
Pauwelsstr. 30, 52074 Aachen
Prof. Dr. Dr. Frank Hölzle
Klinik und Poliklinik für Mund-, Kiefer- und Gesichtschirurgie
Universitätsklinikum RWTH Aachen
Pauwelsstr. 30, 52074 Aachen
Fazit für die Praxis
Bei komplexen Befundkonstellationen empfiehlt sich die Überweisung des Patienten an eine Klinik für Mund-, Kiefer- und Gesichtschirurgie, um Behandlungsverläufe unter Berücksichtigung des Allgemeinzustands gegebenenfalls unter stationären Bedingungen zu planen.
Bei einer unklaren Mundraumschwellung ist eine frühe Vorstellung wichtig, um eine potenziell letale Verlegung der Atemwege frühzeitig zu vermeiden.
Bei histologisch gesichertem odontogenem Myxom sind aufgrund der unklaren Resektionsränder regelmäßige klinische und radiologische Verlaufskontrollen zu empfehlen.
Literaturliste
1. Thoma KH, Goldman HM. Central myxoma of the jaw. Am J Orthod Oral Surg. 1947;33(7):B532–B540. doi: 10.1016/0096-6347(47)90315-3.
2. Kramer, I. R. H., Pindborg, J. J., & Shear, M. (1992). Histological Typing of Odontogenic Tumours. doi:10.1007/978-3-662-02858-2
3. Jaeger M, et al. A novel cell line that retains the morphological characteristics of the cells and matrix of odontogenic myxoma. J Oral Pathol Med. 2000;29(3):129–138. doi: 10.1034/j.1600-0714.2000.290305.x.
4. Jackowski, Peters, Hölzle, Zahnärztliche Chirurgie, 2017, 522-523.
5. Odontogenic Myxoma or Myxofibroma. In: Reichart PA, Philipsen HP. Odontogenic tumours and allied lesions. 2nd edn London: Quintessence publication, 2004:191–2.
6. Kaffe I, Naor H, Buchner A. Clinical and radiological features of odontogenic myxoma of the jaws. Dentomaxillofac Radiol. 1997;26(5):299–303. doi: 10.1038/sj.dmfr.4600261
7. Sumit Bahl, Godishala Swamy Sugunakar Raju, Gunjan Shah, Parvin Chandarana; Central odontogenic fibromyxoma of mandible: an aggressive odontogenic pathology; BMJ Case Rep. 2016; 2016: bcr2016217303. Published online 2016 Oct 27. doi: 10.1136/bcr-2016-217303
8. Fibromyxoma of the Jaw: Case Report and Review of the Literature; Thabet Alhousami, Amarpreet Sabharwal, Shivane Gupta, Alfredo Aguirre, Etern Park, Jill M. Kramer; Head Neck Pathol. 2018 Mar; 12(1): 44–51. Published online 2017 May 16. doi: 10.1007/s12105-017-0823-0
9. Harder F. Myxomas of the jaws. Int J Oral Surg. 1978;7(3):148–155. doi: 10.1016/S0300-9785(78)80017-9.















