Venöse Malformation des Zungenrückens
Ein 60-jähriger Patient stellte sich wegen rezidivierender Blutungen aus der Mundhöhle in unserer Abteilung für Mund-, Kiefer- und Gesichtschirurgie vor. Er berichtete, dass die schmerzlosen Blutungen seit mehreren Monaten in unregelmäßigen Abständen vor allem nach dem Essen aufträten, nach einigen Minuten spontan sistierten und in den letzten Wochen an Intensität und Häufigkeit zugenommen hätten. An ein Trauma konnte sich der Patient nicht erinnern. Allerdings war die Anamneseerhebung wegen einer zusätzlich bestehenden schizophrenen Psychose unsicher.
Bei der Inspektion der Mundhöhle fiel in der Zungenmitte ein etwa 0,5 x 0,5 cm2 messender, breitbasig aufsitzender und mäßig erhabener Tumor mit zentraler Ulzeration auf (Abbildungen 1a, 1b). Palpatorisch ließ sich der komprimierbare, nicht verschiebliche Tumor gut vom umgebenden Gewebe abgrenzen. Es ließen sich weder eine Überwärmung noch eine Pulsation erfassen. Die übrige Schleimhaut ließ keinen weiteren pathologischen Befund erkennen.
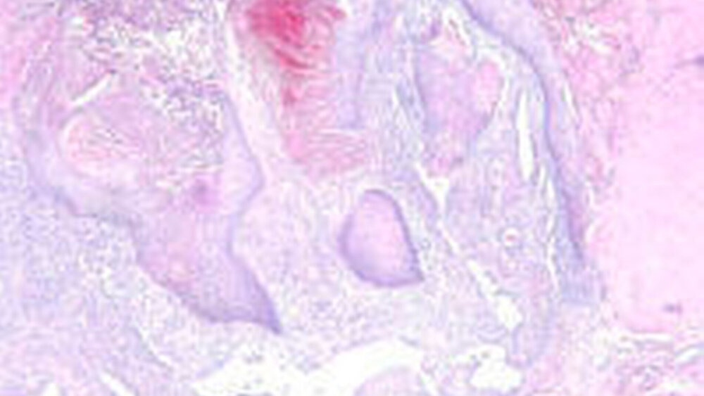
Der Tumor wurde ohne Sicherheitsabstand spindelförmig exzidiert (Abbildung 1a). Die histologischen Präparate zeigten ein oberflächlich gelegenes Schleimhautulkus mit granulozytärer Demarkation und Einblutungen. An den Rändern imponierte eine pseudoepitheliomatöse Hyperplasie mit ausgezogenen Epithelzapfen. Zur Tiefe hin fanden sich eine chronisch granulierende Entzündung sowie miteinander kommunizierende und endothelial ausgekleidete Gefäßspalten (Abbildungen 2a, 2b). Die histopathologische Begutachtung durch Dr. Stephan Schwarz, Institut für Pathologie der Universität Regensburg, diagnostizierte eine vollständig resezierte venöse Malformation.
Diskussion
Auch wenn im klinischen Sprachgebrauch für sämtliche Formen vaskulärer Läsionen noch sehr häufig der Begriff „Hämangiom“ verwendet wird, sind sowohl von der Pathogenese als auch vom klinischen Verhalten „vaskuläre Malformationen“ und „Hämangiome“ als zwei grundlegend unterschiedliche Entitäten zu unterscheiden [Neville et al., 2002].
Die vaskulären Malformationen (im vorliegenden Fall eine venöse Malformation) gehören zu den gefäßbezogenen Fehlbildungen des Gesichts- und Halsbereiches. Es handelt sich um anlagebedingte, nicht neoplastische Läsionen, die bei der Geburt zwar grundsätzlich bereits vorhanden sind, allerdings klinisch noch nicht erkennbar sein müssen. Entsprechend können vaskuläre Malformationen in jedem Lebensalter angetroffen werden. Eine spontane Rückbildung tritt bei vaskulären Malformationen nicht ein [Werner et al., 2001].
Davon sind die nicht anlagebedingten, proliferierenden echten Neubildungen abzugrenzen, zu denen die Hämangiome zählen [Enjolras, 1997; Ernemann et al., 2003]. Hämangiome stellen ganz überwiegend Tumoren des frühen Kindesalters dar, die nach einer raschen Größenzunahme während des ersten Lebensjahres in der Mehrzahl der Fälle eine Spontanregression erfahren.
Diese Einteilung basiert letztlich auf einer Klassifikation der International Society for the Study of Vascular Anomalies (ISSVA) aus dem Jahre 1996 und ist heute fast durchgehend akzeptiert.
Vaskuläre Malformationen können nach hämodynamischen Eigenschaften in Läsionen mit langsamem oder schnellem Blutfluss (low-flow oder high-flow) und nach dem Gefäßbett in kapillare, venöse oder lymphatische Malformationen unterteilt werden. Venöse Malformationen zeigen stets einen langsamen Blutfluss und wachsen, wie in der Kasuistik beschrieben, im Laufe des Lebens hypertrophisch zu klinisch weichen, komprimierbaren Formationen mit charakteristischer blau-rötlicher Färbung ohne Überwärmung oder Pulsation [Ernemann et al., 2002].
Das klinische Spektrum der venösen Malformation im Kopf-Hals- Bereich reicht, wie im vorliegenden Fall, von kleinen umschriebenen, ektatischen Formen der Haut oder Mundschleimhaut bis zu ausgedehnten, invasiven Malformationen mit Deformierungen des Gesichtsschädels. Neben erheblichen ästhetischen Beeinträchtigungen des Patienten kann es – zum Beispiel bei Lokalisation im Pharynx – zu massiven, teilweise lebensbedrohlichen, funktionellen Einschränkungen (akute Verlegung der Atemwege) kommen [Ernemann et al., 2003; Klein und Kunkel, 2005]. Weitere Komplikationen bilden traumatische oder iatrogene – zum Beispiel durch Probebiopsien bedingte – Blutungen.
Differentialdiagnostisch sollte neben einem Hämangiom auch ein eruptives Angiom (pyogenes Granulom) diskutiert werden. Diese häufige, nicht neoplastische und leicht blutende Entität findet sich ebenfalls im Bereich der Mundhöhle, gilt aber als reaktive, überschießende Gewebsreaktion auf lokale Irritationen. Prädilektionsstellen sind die Gingiva und Zonen typischer Aufbissverletzungen wie Lippe, bukkale Mukosa oder lateraler Zungenrand [Moergel und Kunkel, 2006]. Anamnestisch sollte demnach evaluiert werden, ob es sich bei einer vaskulären Läsion um eine angeborene Veränderung mit kontinuierlichem Wachstum (vaskuläre Malformation), um eine im frühen Kindesalter neu aufgetretene Neoplasie mit rascher Proliferation und beobacheter Involution (Hämangiom) oder um eine Gewebsveränderung nach Bissverletzung (eruptives Angiom) handelt. Weitere klinische Differentialdiagnosen präsentieren das ebenfalls rot-bläulich schimmernde Lymphangiom, das Neurofibrom und das traumatisch (Bissverletzung) bedingte Hämatom [Marx and Stern, 2003].
Als zusätzliches diagnostisches Mittel, vor allem bei ausgedehnteren vaskulären Läsionen, dient neben der Anamnese und dem klinischen Befund die Bildgebung mittels B-Bild-Sonographie, farbkodierter Duplexsonographie, Magnetresonanztomographie (MRT) sowie gelegentlich einer Angiographie [Ernemann et al., 2003].
Da die vaskuläre Malformation im Gegensatz zum Hämangiom keine Rückbildungstendenz besitzt, ist stets eine frühzeitige Therapie indiziert. Voraussetzung ist die hinsichtlich des Blutflusses korrekte Einordnung als high-flow- oder low-flow-Läsion. Größere vaskuläre Malformationen bedürfen oftmals interdisziplinärer Therapieansätze, bestehend aus Größenreduktion durch verschiedene Embolisationsverfahren und nachfolgender (laser-)chirurgischer Resektion des Restbefundes [Werner et al., 2001; Klein und Kunkel, 2005]. Im vorgestellten Fall gestatteten die geringe Größe, die gute Zugänglichkeit und der geringe Blutfluss der singulären Läsion eine primäre und vollständige Exzision derselben.
Dr. Tobias EttlPriv. Doz. Dr. Dr. Oliver DriemelProf. Dr. Dr. Torsten E. ReichertKlinik und Poliklinik für Mund-, Kiefer- undGesichtschirurgieUniversität RegensburgFranz-Josef-Strauß-Allee 1193053 Regensburgoliver.driemel@klinik.uni-regensburg.de




