Malignes Melanom der Unterlippe
Ein 55-jähriger Patient stellte sich aufgrund eines histologisch gesicherten malignen Melanoms der Unterlippe in der eigenen Klinik für Mund-, Kiefer- und Gesichtschirurgie vor. Der Patient berichtete, dass er bereits vor drei Jahren eine anfänglich erbsengroße, schmerzlose, bläulich-schwarze Veränderung der Unterlippe bemerkt hätte, die erst in den letzten acht Wochen deutlich an Größe zunahm. Die Berufsanamnese ergab eine jahrelange Sonnenexposition durch seinen früheren Beruf als Feldarbeiter. Bei der klinischen Inspektion zeigte sich eine rund 2,5 x 2,5 cm2 messende, grau-braune, teils indurierte Läsion mit unregelmäßiger Begrenzung, welche sich von der Lippenrotgrenze bis zur vestibulären Umschlagsfalte erstreckte (Abbildung 1).
Die daraufhin eingeleiteten Staging-Untersuchungen (CT und Sonographie Kopf-Hals, CT Thorax, Sonographie Abdomen) ließen keine Fernmetastasen erkennen, jedoch prinzipiell metastasensuspekte, im Durchmesser bis zu 1,1 cm große Lymphknoten im Bereich des linken Kieferwinkels sowie entlang der linken Hals-Gefäß-Nervenscheide (Abbildung 2).
Daraufhin erfolgte die Resektion des Tumors mit einem Sicherheitsabstand von 1,5 cm und die primäre Rekonstruktion der Unterlippe durch eine Webster-Fries-Plastik. Zusätzlich wurde eine Lymphknotenausräumung submental (Level Ia) beidseits sowie eine selektive Lymphknotenexstirpation (Level Ib-IV) links durchgeführt.
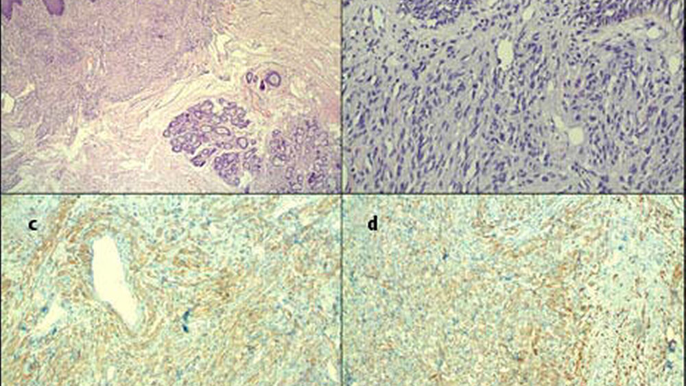
Die histopathologische Begutachtung des Resektates bestätigte, gestützt durch immunhistochemische Zusatzuntersuchungen (Positivität für Melan-A, HMB 45 und S100), die Diagnose eines R0-resezierten, invasiv wachsenden malignen Melanoms mit Ulzeration (Abbildung 3). Die abschließende Einteilung ergab eine Tumordicke nach Breslow von 5 mm, ein Clark-Level V sowie eine TNM Klassifikation (Klassifikation für maligne Malignome der Haut UICC 2002) von pT4b, pN0, cM0.
Nach der chirurgischen Therapie des Primarius wurde seitens der Dermatologie eine zusätzliche Therapie mit Interferon-alpha (3x3 Mio I.E. / Woche s.c. für 18 Monate) eingeleitet.
Diskussion
Das maligne Melanom (ICD-O-code: 8720/3) bezeichnet eine maligne Neoplasie der Haut oder Schleimhaut, welche durch die invasive Proliferation atypischer Melanozyten an der Übergangszone von Epithel zu subepithelialem Bindegewebe charakterisiert ist [Speight, 2005].
Maligne Melanome der Lippe und der oralen Schleimhaut sind selten. Ihre Inzidenz liegt bei 0,02 auf 100 000 Einwohner, ihr Anteil an allen Mundhöhlenmalignomen bei etwa 0,5 Prozent [Batsakis and Suarez, 2000; Hicks and Flaitz, 2000]. In der Mundhöhle gelten die Gaumenschleimhaut sowie die Gingiva des Oberkiefers als Prädilektionsstellen.
Während für die Entstehung des malignen Melanoms der Haut die intermittierend starke UV-Licht-Exposition, insbesondere im Kindesalter, als anerkannter Risikofaktor gilt, fehlen für das Melanom der Mundschleimhaut entsprechende ätiologische Faktoren [Speight, 2005]. Obwohl das maligne Melanom des Lippenrots prinzipiell den Melanomen der Mundschleimhaut zugeordnet wird, kann speziell für die Unterlippe aufgrund seiner sonnenexponierten Lokalisation ein kausaler Zusammenhang zwischen der jahrelangen UV-Belastung des vorgestellten Patienten und der Tumorentstehung angenommen werden. In etwa 30 Prozent der Fälle gehen dem oralen malignen Melanom (OMM) Monate bis Jahre bestehende Pigmentationen, sogenannte Vorläufer-Läsionen mit zytologisch atypischer Melanozytenproliferation, voraus [Meleti et al., 2007].
Klinisch imponiert das OMM zumeist, wie im Fallbericht beschrieben, als schmerzlose, asymmetrische, unregelmäßig begrenzte, schwarz-braune bis blau-rötliche Läsion. In über 50 Prozent präsentiert sich diese als knotig, in einem Drittel der Fälle geht sie mit Ulzerationen einher.
Differentialdiagnostisch sind neben weiteren melanozytären Veränderungen, wie etwa einem Pigmentnävus, einer Lentigo oder Lentigo Maligna, verschiedene pigmentöse Veränderungen der Mundschleimhaut sowohl exogener als auch endogener, systemischer Ursache in Betracht zu ziehen. So zeigen Amalgamtättowierungen oder Schwermetallablagerungen ähnliche schwarz-bräunliche Pigmentierungen. Auch systemische Erkrankungen, wie das Peutz-Jeghers-Syndrom, der Morbus Addison oder auch HIV (Kaposi-Sarkom), können durch schwarz-bräunliche Mundschleimhautveränderungen auffällig werden. Eher bläuliche Schleimhautveränderungen sollten dagegen an eine venöse Malformation oder an ein Lymphangiom denken lassen [Reichart und Philipsen, 1999; Cawson et al., 2001; Laskaris, 2006]. Die für das maligne Melanom der Haut typische ABCD-Regel (Asymmetry – Asymmetrie, Border – unregelmäßige Begrenzung, Colour – unterschiedlich Farbe, Diameter – > 6 mm Durchmesser) kann auch für die Diagnose eines oralen malignen Melanoms hilfreich sein. Eine rasche Infiltration in die Tiefe sowie in umgebende knöcherne Strukturen ist typisch. Angaben zur regionären Lymphknotenmetastasierung variieren zwischen 27 Prozent und 75 Prozent [Chang et al., 1998; Speight, 2005].
Während sich das maligne Melanom der Haut in die vier klassischen Typen des superfiziell spreitenden, des nodulären, des akrolentiginösen sowie des Lentigo-maligna Melanoms einordnen lässt, gilt das maligne Melanom der Mundschleimhaut als Sonderform. Histologisch wird das OMM in ein „in-situ“ Melanom, ein invasives Melanom und ein gemischtes „in-situ“-invasives Melanom unterschieden [Speight, 2005]. Die meisten Läsionen, so auch im vorgestellten Fall, zeigen invasive melanozytäre Wachstumsmuster mit spindelförmigen, plasmazytoiden, klarzelligen und epitheloiden Zellformen [Meleti et al., 2007]. Kernpleomorphie, Hyperchromatosen und Mitosen sind häufig. Unterstützt wird die Diagnose durch die immunhistochemische Positivität für S100, HMB 45 und Melan-A [Speight, 2005].
Ein Problem des oralen malignen Melanoms stellt die Stadieneinteilung dar, da die für das maligne Melanom der Haut gebräuchlichen und auch im eigenen Fall angewendeten Einteilungen nach Tumordicke (Breslow), nach Invasionstiefe (Clark-Level) sowie die aktuelle TNM-Klassifikation (Tumordicke, Ulzeration, Lymphknoten-, Fernmetastasen, LDH-Level) nicht bedenkenlos auf das OMM übertragen werden können [Meleti et al., 2007]. Die meisten Mundschleimhautmelanome präsentieren bereits bei der Erstvorstellung eine Tumordicke nach Breslow von mehr als 4mm [Hicks and Flaitz, 2000] und gelten somit automatisch als T4. Ferner fehlen in der Mundschleimhaut histologische Landmarken, wie die Unterteilung der Dermis in ein Stratum papillare und Stratum reticulare, welche für die Bestimmung des Clark-Levels notwendig sind.
Als negative prognostische Faktoren für das OMM gelten eine Tumordicke > 5 mm, ein positiver Lymphknotenstatus, Ulzerationen, histopathologische Gefäßeinbrüche und Nekrosen [Speight, 2005; Meleti et al., 2007]. Prinzipiell ist die Prognose des OMM mit einem durchschnittlichen Gesamtüberleben von etwa zwei Jahren und einer Fünf-Jahres-Überlebensrate von unter 20 Prozent schlecht [Hicks 2000].
Therapeutisch wird das OMM mit einem Sicherheitsabstand von etwa 1,5 cm exzidiert. Eine Entfernung der Lymphknoten (Neck dissection) erfolgt, wie im eigenen Fall geschehen, bei präoperativem Verdacht auf Tumorbefall. Eine prä- oder postoperative Radiatio wird kontrovers diskutiert. Verbesserungen des Gesamtüberlebens sowie der lokalen Rezidivkontrolle sind beschrieben, grundsätzlich gilt das maligne Melanom jedoch als wenig strahlensensibel [Meleti et al., 2007]. Adjuvante Chemotherapien (Decarbazin, Cisplatin) bleiben der Palliativsituation vorbehalten. Als Substanz mit signifikantem Überlebensvorteil, vor allem bei Patienten mit erhöhtem Metastasierungsrisiko, gilt Interferon-alpha [Garbe et al., 2005].
Dr. Tobias EttlPriv.-Doz. Dr. Dr. Oliver DriemelProf. Dr. Dr. T. E. ReichertKlinik und Poliklinik für Mund-,Kiefer- und GesichtschirurgieFranz-Josef-Strauss-Allee 1193053 Regensburgoliver.driemel@klinik.uni-regensburg.de




