Vaskuläre Malformation der Wange
Ein 39-jähriger Patient wurde mit einer schmerzlosen Schwellung der rechten Wange zugewiesen (Abbildung 1). Anamnestisch bestand der Befund seit etwa zwei Jahren. Die Erstuntersuchung wurde durch einen Hals-Nasen-Ohrenarzt durchgeführt, der den Verdacht auf ein Lipom äußerte und damals keine Intervention empfahl. Nun bestand jedoch eine deutliche Progredienz, die den Patienten aus Sorge zu einer weiteren Überprüfung trieb. Insbesondere war dem Patienten nun eine Induration des Befundes aufgefallen, während sich die Läsion bis vor kurzer Zeit noch auf Druck exprimieren ließ und sich nach seiner Empfindung anschließend wieder spontan auffüllte.
Klinisch fand sich ein kugeliger, gut abgrenzbarer, gut pflaumengroßer Tumor in der rechten Wange, der im Wangenfett gut verschieblich war. Enoral waren Speicheldrüsenostien und -sekret unauffällig, und auch die Sensibilität der Haut und der Schleimhäute wies keine Besonderheiten auf. Der raumfordernde Charakter der Läsion wird in der Abbildung 2 durch die Vorwölbung der Wangenschleimhaut erkennbar.
Die Sonographie zeigte eine von der Umgebung gut abgegrenzte, inhomogene, Raumforderung mit multiplen echoarmen lakunären Arealen (Abbildung 3 a). Im colour flow mapping stellt sich eine deutliche Gefäßversorgung dar (Abbildung 3 b). Bereits im Vorfeld war eine CT-Untersuchung vorgenommen worden. Hierbei ergab sich eine hyperdense, rechtsseitig vor dem Unterkieferast gelegene Struktur, die sich gut vom bukkalen Fettgewebe abgrenzte. Des Weiteren fanden sich kleine punktförmige Verkalkungen innerhalb der Läsion (Abbildungen 4 a und b).
Der Tumor wurde in einer kurzen Narkose von enoral entfernt. Mit der Durchtrennung des M. buccinator wird der stark vaskularisierte Tumor erkennbar (Abbildung 5 a). Nach dem präparatorischen Umfahren ließ sich das Gebilde aus dem Wangenfett luxieren (Abbildung 5 b) und nach Unterbindung des Gefäßstiels in toto entnehmen. Das Resektat zeigt prall gefüllte Gefäßkonvolute (Abbildung 6), aus denen sich reichlich Blut exprimieren ließ, was zu einer deutlichen Volumenabnahme führte. Im Anschnitt werden dann die sinusoidalen Hohlräume analog der sonographischen Darstellung erkennbar, außerdem finden sich als Korrelat der Verkalkungsstruktur kleine Phlebolithen (Abbildung 7).
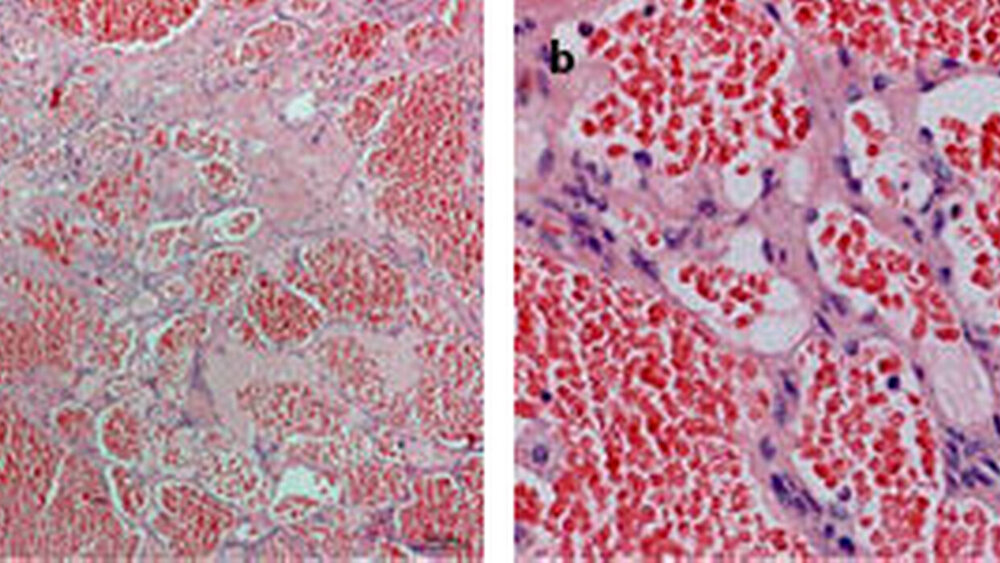
Histologisch stellten sich multiple, kommunizierende, teilweise sehr ausgedehnte, dünnwandige blutgefüllte Hohlräume dar (Abbildung 8a). Die Detailaufnahme zeigt die reguläre Endothelauskleidung ohne Atypiezeichen (Abbildung 8 b). Dieses Bild entspricht der typischen Morphologie einer venösen Malformation
Diskussion
Während Hämangiome als echte gutartige Neoplasien durch eine erhöhte endotheliale Zellproliferation gekennzeichnet sind, entstehen vaskuläre Malformationen durch eine fehlerhafte vaskuläre Morphogenese [Mulliken and Glowacki, 1982; Werner et al., 2001]. Dabei ist die Zellteilungskinetik des Endothels nicht verändert. Diese Unterscheidung wurde unter anderem in der Klassifikation der International Society for the Study of Vascular Anomalies (ISSVA) aus dem Jahre 1996 niedergelegt und ist heute durchgehend akzeptiert.
Die grundsätzliche Unterscheidung zwischen Hämangiomen und vaskulären Fehlbildungen hat vor allem Bedeutung für die Behandlungsstrategie. Während die Entwicklung von echten Hämangiomen typischerweise die früheste Kindheit betrifft und in einem charakteristischen „Lebenszyklus“ verläuft (initiale Proliferationsphase, Stagnationsphase und in einem erhebliche Teil der Fälle: Involutionsphase), zeigen vaskuläre Malformationen keine Involutionstendenz [Ernemann et al., 2003]. Größenveränderungen im Sinne einer Volumenzunahme auch nach dem Abschluss des Wachstumsalters ergeben sich bei Malformationen vor allem passiv durch die Aufweitung der Gefäßlumina, da die zumeist hypoplastischen Gefäßwandstrukturen mit zunehmendem Lebensalter dem Perfusionsdruck nachgeben.
Damit ergibt sich die Indikation zur therapeutischen Intervention bei kleinen vaskulären Malformationen der Kiefer-Gesichtsregion nicht, wie bei den Hämangiomen aus der Begrenzung des destruktiven Wachstums, sondern aus der Vorbeugung beziehungsweise der Therapie von passiven Gewebedeformierungen, der Prophylaxe von Blutungen oder aber, wie im vorliegenden Fall, aus der Notwendigkeit einer differentialdiagnostischen Abgrenzung. Im vorliegenden Fall stand als Differentialdiagnose vor allem eine Neoplasie der akzessorischen Speicheldrüsen entlang des Ductus parotideus im Raum.
Während vor allem oberflächliche Hämangiome heute eine Domäne der Lasertherapie darstellen, ist das Therapiespektrum der vaskulären Malformationen sehr komplex und orientiert sich an dem jeweiligen Gefäßtypus und an den Flusscharakteristika. Niedrigflussläsionen sind einer chirurgischen Exstirpation oder einer Sklerosierung sowie gegebenenfalls einer interstitiellen Lasertherapie als ergänzende Maßnahme empfänglich [Seybert et al., 2002]. Bei Hochflussläsionen ist das therapeutische Mittel der Wahl die Embolisation und, wenn erforderlich, die nachfolgende Resektion.
Für die zahnärztliche Praxis soll dieser Fall die diagnostische Aufmerksamkeit auch auf die pathologischen Veränderungen der Wange lenken. Tatsächlich bleiben selbst ausgedehnte Läsionen der seitlichen Mundhöhlenbegrenzungen oft lange unbemerkt, da der Weichgewebsmantel der Wange sehr anpassungsfähig ist und ohnehin starke konstitutionelle Unterschiede in der allgemeinen Population vorliegen. Die wichtigste Untersuchung dieser Region ist denn auch die einfache bidigitale Palpation, durch die selbst kleine pathologische Veränderungen frühzeitig wahrgenommen werden können.
Dr. Peer W. KämmererKlinik für Mund-, Kiefer- und GesichtschirurgieKlinikum der Johannes Gutenberg-UniversitätAugustusplatz 255131 Mainzkaemmerer@mkg.klinik.uni-mainz.de
Prof. Dr. Dr. Martin KunkelKlinik für Mund-, Kiefer- und plastischeGesichtschirurgieKnappschaftskrankenhausBochum LangendreerUniversitätsklinik Ruhr Universität BochumIn der Schornau 23-2544892 Bochummartin.kunkel@ruhr-uni-bochum.de




