Erkennung oraler Risikoläsionen in der zahnärztlichen Praxis
Bedeutung der Früherkennung
In Deutschland erkranken jährlich etwa 10 000 Patienten an einem oralen Plattenepithelkarzinom [Howaldt et al., 2000]. Im Gegensatz zum Karzinom der Portio uteri, bei dem systematische Vorsorgeuntersuchungs- und Früherkennungskonzepte einen substantiellen Rückgang der Erkrankungshäufigkeit und -schwere erreichen konnten, ist die Inzidenz des Mundhöhlenkarzinoms immer noch ansteigend [Robert Koch-Institut, 2005]. Es erkranken auch Patienten, ohne dass die klassischen Risikofaktoren Rauchen und Alkohol in der Anamnese erhoben werden können [Llewellyn et al., 2003]. Daher darf die systematische Fahndung nach einem Mundhöhlenkarzinom und seinen Vorläuferläsionen nicht allein auf einen bestimmten Personenkreis begrenzt bleiben, sondern sollte als integraler Bestandteil der zahnärztlichen Basisuntersuchung bei jedem Patienten routinemäßig erfolgen.
Es kann heute als gesichert gelten, dass eine Therapieverzögerung von mehr als vier Wochen eine signifikant schlechtere Überlebensrate bedingt [Kowalski and Carvalho, 2001]. Darüber hinaus erfordern fortgeschrittene Mundhöhlenkarzinome ausgedehnte, zumeist multimodale und aggressive Therapiemaßnahmen, die erhebliche Folgen für die betroffenen Patienten haben, während frühe Tumorstadien zumeist mittels Monotherapie mit geringen Einschränkungen der gesundheitsbezogenen Lebensqualität und häufig erfolgreich therapiert werden können [Howaldt et al., 1999]. Nachdem trotz verbesserter therapeutischer Möglichkeiten in den vergangenen 20 Jahren keine substanzielle Verbesserung der Fünf-Jahres-Überlebensrate oraler Plattenepithelkarzinome erreicht wurde [Bray et al., 2002], bleibt letztlich nur die systematische Früherkennung als aussichtsreiche Strategie zur Verminderung der individuellen Krankheitsbelastungen [Zavras et al., 2002].
Orale Vorläuferläsionen
Obwohl orale Plattenepithelkarzinome grundsätzlich auch in der klinisch gesund erscheinenden Mundschleimhaut entstehen können, bildet sich die große Mehrzahl auf dem Boden langfristig bestehender und klinisch erkennbarer Vorläuferläsionen [Forastiere et al., 2001; Scheifele and Reichart 2003]. Diese Vorläuferläsionen gehen überwiegend mit Verhornungsstörungen der Mundschleimhaut einher und erscheinen unter dem klinischen Bild der Leukoplakien oder Erythroplakien. Erhebungen für die Bundesrepublik Deutschland gehen von einer Leukoplakie-Inzidenz um 1,8 Prozent in den alten Bundesländern und um 0,9 Prozent in den neuen Bundesländern aus [Reichart, 2000]. Da sich hinter dem rein deskriptiven Begriff der Leukoplakie kein einheitliches Krankheitsbild verbirgt, ist die Häufigkeit der malignen Transformation in hohem Maße unterschiedlich und wird studienabhängig in einem Spektrum von 0,6 bis 18 Prozent angegeben [Reibel, 2003; Greenspan and Jordan, 2004]. Inhomogene Leukoplakien besitzen im Vergleich zur homogenen Leukoplakie ein vier- bis fünfmal erhöhtes Entartungsrisiko [Silverman et al., 1984]. Doch erfordern auch homogene Leukoplakien aufgrund einer Transformationsrate von bis zu 5 Prozent [Burkhardt und Maerker, 1981; Silverman et al., 1984; Lind, 1987] eine engmaschige Nachsorge. Die Transformationsraten von Erythroplakien und Leukoplakien mit erosiven Anteilen liegen deutlich höher und erreichen bis zu 50 Prozent [Reichart and Philipsen, 2005] (Abbildung 1).
Bei den Erkrankungsbildern, die mit einem erhöhten Entartungsrisiko einhergehen, werden aus systematischen Gründen „Vorläuferläsionen“ (Synonyme: Präkanzerosen Präkursorläsionen) von „prämalignen Konditionen“ (Synonyme: potentiell maligne Bedingungen, präkanzeröse Konditionen) unterschieden [Reichart, 2007].
Unter dem Begriff der „Vorläuferläsion“ wird dabei die konkrete Manifestation an umschriebener Stelle oder an mehreren Stellen der Mundschleimhaut verstanden. Im Gegensatz dazu bezeichnet der Begriff der „prämalignen Kondition“ eine Grunderkrankung, die durch eine generell erhöhte Entartungstendenz der Mundschleimhaut charakterisiert ist.
Die klinisch bedeutsamen „Vorläuferläsionen“ in den industrialisierten Ländern sind die Erythroplakie und die Leukoplakie [Scheifele and Reichart, 2003], die relevante „prämaligne Kondition“ stellt die Lichenerkrankung der Mundschleimhaut dar.
Zahlreiche andere Krankheitsbilder gehören ebenfalls zur Gruppe der „prämalignen Konditionen“ (Eisenmangelanämie, orale submuköse Fibrose, Syphilis, Xeroderma pigmentosum, Lupus erythematodes, Epidermolysis bullosa dystrophicans), spielen in der Bevölkerung westlicher Industrieländer aber eine untergeordnete Rolle [El Naggar and Reichart, 2005].
Da der Begriff „Präkanzerose“ in der Vergangenheit recht häufig für alle oben genannten Krankheitsbilder verwendet wurde, sollte dieser Begriff zugunsten der Bezeichnungen Vorläuferläsionen verlassen werden. Im weiteren Text wird daher einheitlich von Vorläuferläsionen gesprochen.
Vorläuferläsionen bezeichnen einen konkreten Schleimhautbezirk mit morphologisch verändertem Gewebe, in dem das Auftreten von Krebs wahrscheinlicher ist als in normaler Mundschleimhaut. Sie werden rein morphologisch-deskriptiv in homogene und inhomogene Leukoplakie, verruköse Leukoplakie, proliferative verruköse Leukoplakie, Erythroplakie sowie Erythroleukoplakie unterteilt.
•Homogene Leukoplakie(Abbildung 2)•Inhomogene Leukoplakie(Abbildung 3)•Verruköse Leukoplakie und proliferativeverruköse Leukoplakie (PLV)(Abbildung 4)• Erythroplakie(Abbildung 5)•Erythroleukoplakie(Abbildung 6)•Orales Plattenepithelkarzinom(Abbildung 7)
Klinisches Bild der prämalignen Konditionen
Mit dem Begriff der prämalignen Konditionen soll vor allem hervorgehoben werden, dass es sich um Erkrankungsbilder handelt, denen nicht nur aktuell an umschriebener Stelle, sondern generell an der gesamten Mundschleimhaut zu jedem Zeitpunkt ein erhöhtes Risiko für die Entstehung eines Schleimhautkrebses besteht.
Für folgende Grunderkrankung ist ein solches Risikoprofil bekannt:
• Lichen planus der Mundschleimhaut• Chronisch-diskoider Lupus erythematodes• Plummer-Vinson Syndrom bei Eisenmangelanämie• Orale submuköse Fibrose• Syphilis• Xeroderma pigmentosum• Epidermolysis bullosa
Histopathologische Definitionen
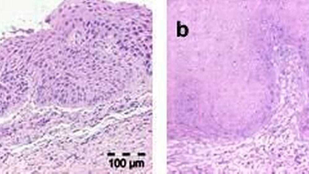
Histopathologische Einteilung der Vorläuferläsionen oraler Plattenepithelkarzinome nach der WHO-Klassifikation 2005
Die aktuelle WHO-Klassifikation der oralen Tumoren fasst die präkanzerösen Läsionen des Plattenepithels (Synonyme: Präkanzerosen, Präkursorläsionen, Dysplasien, prämaligne Läsionen) unter dem Terminus epitheliale Vorläuferläsionen zusammen.
Die epithelialen Vorläuferläsionen werden anhand von histologischen Kriterien der gestörten Plattenepithelarchitektur und der zytologischen Atypie klassifiziert (Tabelle 1) [Gale et al., 2005]. Im Gegensatz zur bisherigen WHO-Klassifikation werden nun in der aktuellen Nomenklatur drei Typisierungsund Graduierungssysteme epithelialer Vorläuferläsionen gleichberechtigt nebeneinander geführt (Tabelle 2).
Die gleichrangige Verwendung von drei alternativen Typisierungs- und Graduierungssystemen epithelialer Vorläuferläsionen vereinfacht zwar nicht die Kommunikation, gestattet aber den Konsens, dass die dre alternativen Klassifikationssysteme sowohl in der Mundhöhle, im Oro- und Hypopharynx sowie im Larynx als auch in der Trachea angewandt werden können (Abbildungen 11, 12 und 13).
Die morphologischen Kriterien graduieren das Risiko der malignen Transformation und bestimmen das diagnostisch-therapeutische Konzept. Während squamöse (einfache) Hyperplasie und Basalzell- beziehungsweise Parabasalzellhyperplasie (entspricht leichter Dysplasie beziehungsweise SIN I) noch eine Beobachtungsstrategie erlauben, sollten Läsionen mit einer atypischen Hyperplasie (entspricht einer mittelgradigen bis schweren Dysplasie beziehungsweise SIN II-III) und Carcinoma in situ (SIN III) entfernt werden [Küffer und Lombardi, 2002; Driemel et al., 2006].
Priv.-Doz. Dr. Dr. Oliver DriemelProf. Dr. Dr. Torsten E. ReichertKlinik für MKG-ChirurgieFranz-Josef-Strauß-Alle 1193053 Regensburgoliver.driemel@klinik.uni-regensburg.de
Prof. Dr. Dr. Martin KunkelKlinik für MKG-ChirurgieJohannes Gutenberg-Universität Mainz
Prof. Dr. Arne BurkhardtPathologie Praxis und Institut Reutlingen
Prof. Dr. Dr. Alexander HemprichProf. Dr. Torsten RemmerbachKlinik für MKG-ChirurgieUniversitätsklinikum Leipzig AöR
Prof. Dr. Dr. Hans Peter HowaldtKlinik für MKG-ChirurgieUniverstität Gießen
Prof. Dr. Hartwig KosmehlInstitut für PathologieHELIOS Klinikum Erfurt
Prof. Dr. Dr. Christopher MohrUniversitätsklinik für MKG-Chirurgiean den Kliniken Essen Mitte
Prof. Dr. Peter A. ReichartZentrum für ZahnmedizinAbteilung Oralchirurgie und ZahnärztlicheRöntgenologieCharité Campus Virchow-Klinikum
Prof. Dr. Dr. Klaus-Dietrich WolffKlinik für MKG-ChirurgieTechnische Universität München
\n
Merkmale der
\n
gestörten Plattenepithelarchitektur
Merkmale der
\n
zytologischen Atypie
\n
\n
Irreguläre Epithelschichtung
\n
Verlust der Ausrichtung der Basalzellen
\n
Tropfenförmige Reteleisten
\n
Steigerung der Mitosezahl
\n
Vorzeitige Keratinisierung in Einzelzellen
\n
(Dyskeratose)
\n
Keratinperlen innerhalb der Retezapfen
Abnorme Variation der Kerngröße
Abnorme Variation der Kernform
Abnorme Variation der Zellgröße
Abnorme Variation der Zellform
Pathologische Kern-Plasma-Relation,
Hyperchromasie der Kerne
Atypische Mitosefiguren
\n
\n
\n
\n
\n
\n
\n
\n
2005 WHO-Klassifikation
Squamöse
\n
Intraepitheliale
\n
Neubildung (SIN)
Ljubljana Klassifikation Squamöse
\n
Intraepitheliale Läsion (SIL)
\n
Squamöse Hyperplasie
—
Squamöse (einfache) Hyperplasie
\n
Leichte Dysplasie
SIN I
Basale und parabasale Hyperplasie (abnorme Hyperplasie)
\n
Mittelgradige Dysplasie
SIN II
Atypische Hyperplasie (Risikoepithel)
\n
Schwere Dysplasie
SIN III
Atypische Hyperplasie (Risikoepithel)
\n
Carcinoma in situ
SIN III
Carcinoma in situ
\n




