Osteosarkom des Unterkiefers
Ein 19-jähriger männlicher Patient wurde auf Überweisung eines niedergelassenen MKG-Chirurgen mit einer knochenharten Auftreibung im Bereich des vestibulären Unterkiefers regio 45 vorstellig. Nach eigenen Angaben habe er die schmerzlose Schwellung vor zwei Monaten erstmalig bemerkt, seitdem habe diese kontinuierlich an Größe zugenommen. Zudem sei der Zahn 45 in die Länge „gewachsen“ und zunehmend lockerer geworden.
Bei der klinischen Inspektion der Mundhöhle imponierte vestibulär in regio 44 bis 46 eine etwa 2,5 cm x 2 cm große, palpatorisch knochenharte und schmerzlose, exophytisch wachsende Raumforderung (Abbildung 1). Der Zahn 45 zeigte sich elongiert und wies einen Lockerungsgrad II auf. Die Zähne 44 bis 46 reagierten alle positiv im Kälte-Provokationstest.
Im durchgeführten OPG (Orthopantomogramm) war eine etwa 1,5 cm x 1 cm große, unscharf begrenzte Osteolyse um die Wurzel des Zahnes 45 erkennbar (Abbildung 2).
Es folgte eine Inzisionsbiopsie des Tumors, deren histopathologische Begutachtung zunächst die Diagnose eines odontogenen ameloblastischen Fibroms ergab.
Daraufhin wurden eine Kürettage des Tumors sowie die Entfernung des Zahnes 45 durchgeführt. Die histopathologische Untersuchung des insgesamt 3,5 cm x 2,5 cm x 1,7 cm messenden Tumorpräparats bestätigte die Verdachtsdiagnose eines ameloblastischen Fibroms. Zur Absicherung wurden die Schnittpräparate zur referenz-pathologischen Begutachtung an das Knochentumorregister des DÖSAK (Deutsch-Österreichisch-Schweizerischer Arbeitskreis für Tumoren im Kiefer- und Gesichtsbereich, Prof. Dr. Jundt, Basel) versandt. Aus der Synopsis von Histologie, Immunhistochemie und radiologischem Erscheinungsbild diagnostizierte Prof. Jundt ein chondroblastisch differenziertes low-grade-Osteosarkom (Abbildung 3).
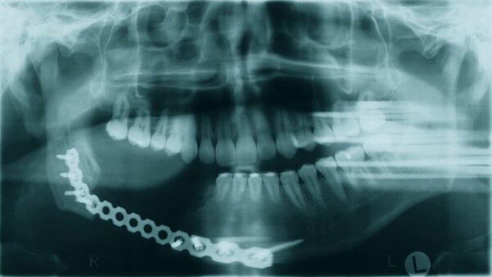
Auf der Basis der Diagnose eines malignen Tumors schloss sich nach abgeschlossenem Tumor-Staging (CT Kopf-Hals, PET, Rö-Thorax, Sono-Abdomen) die primäre Tumorresektion in Form einer Unterkieferkontinuitätsresektion (Abbildungen 4 und 5) sowie die supraomohyoidale Lymphknotenausräumung rechts an. Der entstandene Unterkieferdefekt wurde mit einer Titan-Rekonstruktionsplatte temporär überbrückt (Abbildung 6). Nach zwischenzeitlicher Nachresektion aufgrund eines tumorpositiven knöchernen Resektatrandes, wurde seitens der Pathologie die Entfernung des Tumors im Gesunden bestätigt und der Patient einer postoperativen Polychemotherapie entsprechend den Leitlinien für Osteosarkome zugeführt [www.awmf-leitlinien.de].
Diskussion
Das Osteosarkom (Synonym: Osteogenes Sarkom; ICD-O 9180/3) beschreibt einen seltenen malignen Knochentumor, dessen mesenchymale Zellen Osteoid oder immaturen Knochen produzieren [Saito and Unni 2005]. Die Mehrzahl dieser Tumoren findet sich in den Metaphysen der langen Röhrenknochen, häufig im Kniebereich. Das Erkrankungsalter der Patienten liegt zumeist zwischen zehn und 20 Jahren. Osteosarkome im Kieferbereich besitzen einen Anteil von etwa sechs bis acht Prozent, wobei hier das durchschnittliche Erkrankungsalter in der dritten und vierten Lebensdekade liegt. Ober- und Unterkiefer sind zu etwa gleichen Anteilen betroffen. Als Prädilektionsstellen der Unterkiefertumoren gelten entsprechend dem präsentierten Fall der Korpusund der Kieferwinkelbereich [Neville et al. 2009].
Klinisch klagen die betroffenen Patienten über lokale knochenharte Schwellungen sowie gelegentlichen Schmerzen oder Parästhesien im Bereich der Unterlippe, wenn der N. alveolaris inferior infiltriert ist. Häufig werden, wie auch im eigenen Fall, eine veränderte Zahnposition und eine zunehmende Zahnlockerung beschrieben. Prothesenträger berichten über Druckstellen und Passungenauigkeiten. In vielen Fällen sind die Symptome jedoch unspezifisch, weshalb die korrekte Diagnose häufig verzögert wird [Jasnau et al. 2008].
Das radiologische Bild ist sehr variabel und reicht von dichten Sklerosierungen bis hin zu transluszenten Befunden mit scharfer oder unscharfer Begrenzung. Wie beim eigenen Patienten werden gelegentlich Zahnresorptionen oder Erweiterungen des Parodontalspalts auffällig [Nakayama et al., 2005]. Als weitergehende Bildgebung zur Bestimmung der Tumorausdehnung, der Kalzifikation sowie der Weichgewebsbeteiligung wird eine Computertomographie oder eine Magnetresonanztomographie empfohlen.
Differentialdiagnostisch müssen bei palpatorisch derben Kieferauftreibungen mit Zahnverdrängungen und -lockerungen vor allem andere benigne und maligne odontogene und nicht-odontogene Tumoren in Erwägung gezogen werden [Jundt und Prein 2000]. Beispielhaft seien hier das Osteom, das Osteoblastom, das ossifizierende Fibrom, das Chondrom, das Chondrosarkom, das desmoplastische Fibrom, die aneurysmatische Knochenzyste, das Ameloblastom oder das im vorliegenden Fall primär diagnostizierte ameloblastische Fibrom genannt. Auch zystische Veränderungen können zu Knochenauftreibungen und gelegentlich auch zu Zahnverdrängungen führen, jedoch imponieren diese klinisch als eher weich und komprimierbar. Als Hinweis auf ein malignes Geschehen gelten rasches Wachstum, zunehmende Zahnlockerungen, Zahnelongationen, Sensibiltätsstörungen sowie unverhältnismäßig starke Schmerzen. In diesen Fällen sollte umgehend eine bioptische Abklärung des Befundes erfolgen.
Histopathologisch ist das Osteosarkom des Kiefers durch eine Osteoid-Produktion von malignen mesenchymalen Zellen gekennzeichnet. Daneben können die Tumorzellen, wie im eigenen Fall demonstriert, auch chondroides Material und fibröses Bindegewebe produzieren. Die meisten Kieferosteosarkome erscheinen im Vergleich zu den Osteosarkomen des übrigen Skeletts relativ hoch differenziert mit geringen Zell- und Kernpolymorphien. Je nach Anteil des Knochen-, Knorpel oder Bindegewebes wird ein osteoblastischer, chondroblastischer oder fibroblastischer Subtyp unterschieden [Jundt et al. 2006, Neville et al. 2009].
Während das Osteosarkom der Extremitäten und des Stammskeletts üblicherweise in Form einer neoadjuvanten Chemotherapie mit nachfolgender Resektion, histologischer Auswertung des Tumoransprechens und zusätzlicher adjuvanter Chemotherapie therapiert wird, wird das zumeist höher differenzierte Osteosarkom des Kiefers, so wie im eigenen Fall geschehen, primär radikal mit Sicherheitsabstand (> 5 mm) reseziert [Smith et al. 2003, Jundt et al. 2004, Laskar et al. 2008]. Osteosarkome des Kiefers neigen primär zur lokalen Ausbreitung und metastasieren im Gegensatz zu den Extremitäten-Osteosarkomen erst im Verlauf, bevorzugt in die Lunge. Zudem scheint die Ansprechrate der Kieferosteosarkome auf die Chemotherapie geringer zu sein, weshalb eine präoperative Chemotherapie für den Patienten den Nachteil einer verzögerten Operation mit sich bringt [Patel et al. 2002, Jundt et al. 2004, Jundt 2006]. Einer postoperativen Chemotherapie wird hingegen ein zusätzlicher Benefit zugeschrieben [Laskar et al. 2008]. Bei high-grade-Osteosarkomen sollte eine neoadjuvante Chemotherapie in Erwägung gezogen werden, im Falle von positiven Resektionsgrenzen scheint eine postoperative Radiatio das Überleben zu verbessern [Laskar et al. 2008, Guadagnolo et al. 2009].
Aktuelle Angaben größerer Studien zur Prognose der Kieferosteosarkome bewegen sich zwischen Fünf-Jahres-Überlebensraten von 60 Prozent und 74 Prozent [Patel et al. 2002, Smith et al. 2003, Jasnau et al. 2008, Guadagnolo et al. 2009]. Als entscheidender positiver prognostischer Parameter gilt die Resektion des Tumors im Gesunden. Negative prognostische Faktoren umfassen zudem die fortgeschrittene Tumorgröße, die extragnathe Tumorlokalisation, den osteoblastischen Subtyp sowie high-grade-Tumoren [Patel et al. 2002, Smith et al. 2003, Jasnau et al. 2008].
Dr. Tobias Ettl
Priv.-Doz. Dr. Dr. Oliver Driemel
Priv.-Doz. Dr. Dr. Ulrich Wahlmann
Prof. Dr. Dr. Torsten E. Reichert
Klinik und Poliklinik für Mund-, Kiefer- und Gesichtschirurgie
Universität Regensburg
Franz-Josef-Strauß-Allee 11
93053 Regensburg




