Bessere Nutzen-Risiko-Abwägung
Experten der Fächer Endodontologie (Prof. Roland Weiger), Parodontologie (Dr. Bettina Dannewitz), Implantologie (Dr. Karl-Ludwig Ackermann, Dr. Gerhard Iglhaut und Dr. Stefan Schmidinger) sowie Prothetik (Prof. Peter Rammelsberg) erläuterten ihre Therapiekonzepte anhand von Grundsatzreferaten und vorgegebenen Falldarstellungen. Es zeigte sich, dass die Einschätzung der Experten über die Frage der Erhaltungswürdigkeit von Zähnen mit endodontischen oder parodontalen Erkrankungen beziehungsweise ausgeprägten Zahnhartsubstanzdefekten zum Teil extrem weit auseinander gingen. Während zum Beispiel von endodontischer Seite die Optionen der Zahnerhaltung auch bei komplexen endodontischen Situationen hervorgehoben wurden, warnte man aus implantologischer Sicht vor allzu „heroischen endodontischen Eingriffen“. In der unter Einbeziehung der Zuhörer abgehaltenen Podiumsdiskussion konnte allerdings zumindest in einigen zunächst kontrovers diskutierten Fällen eine Annäherung erzielt werden. Vertreter der konservierenden Fächer würdigten ausdrücklich die segensreichen Entwicklungen von Implantologie und Prothetik, im Gegenzug räumten die Vertreter der Implantologie ein, dass es wichtig sei, die Errungenschaften von Endodontologie, Parodontologie und Restaurativer Zahnheilkunde künftig vermehrt zu nutzen.
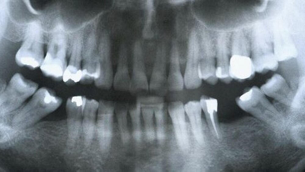
Bemerkenswert waren auch die äußerst kontroversen Einschätzungen zur Frage, wann ein prothetischer oder implantologischer Lückenschluss im Fall eines Zahnverlustes angezeigt sei. Aus endodontischer und parodontologischer Sicht wurde moniert, dass besonders in der implantologischen Literatur oftmals ein Lückenschluss vorgenommen würde, der die Fragen des medizinischen Nutzens bzw. der Nutzen-Risiko- Abwägung unter Berücksichtigung der Verhältnismäßigkeit des Mitteleinsatzes nicht hinreichend aufgreife. In diesem Punkt trafen – wie aus dem in der Abbildung präsentierten Beispiel hervorgeht – in Berlin fast unvereinbar erscheinende Positionen aufeinander: Eine gesunde 59-jährige Patientin, der im Alter von sechs Jahren die beiden Unterkiefermolaren 36 und 46 extrahiert worden waren, suchte zahnärztlichen Rat zu der Frage, wie man mit den beiden Lücken künftig verfahren solle. Die Ausdehnung der Lücken war durch Zahnkippungen verringert, rechts mehr als links. Die parodontale Situation war seit Jahren stabil (keine erhöhten Sondiertiefen, kein Bluten nach Sondieren), die vorhandenen Restaurationen wiesen keine Mängel auf, die eine Intervention nahegelegt hätten. Es konnte nicht auf funktionelle oder ästhetische Einschränkungen verwiesen werden. Während von endodontischer und parodontologischer Seite dafür plädiert wurde, vor dem Hintergrund der seit langer Zeit bestehenden Lücken die Situation zu belassen und zu beobachten, wurde vor allem von implantologischer Seite, zumindest auf der linken Seite, eine Implantatversorgung empfohlen, teils nach vorheriger kieferorthopädischer Zahnaufrichtung (siehe Tabelle).
Die kontroversen Therapieempfehlungen bei dieser und anderen Fallpräsentationen riefen bei der Zuhörerschaft eine lebhafte Diskussion hervor. Es zeigte sich, dass zwischen den Fachdisziplinen ein hoher Gesprächsbedarf besteht, um konsensfähige Versorgungsansätze zu entwickeln.
Aufgrund der hohen Resonanz der Berliner Veranstaltung ist für 2011 eine Wiederholung des Symposiums im süddeutschen Raum geplant.
Prof. Dr. Dr. Hans Jörg StaehlePoliklinik für Zahnerhaltungskunde der Klinikfür Mund-, Zahn- und Kieferkrankheiten desUniversitätsklinikums HeidelbergIm Neuenheimer Feld 400D-69120 Heidelberghans-joerg.staehle@med.uni-heidelberg.de
\n
Endodontologe
Kein Lückenschluss regio 036 & 046 erforderlich, da Lücken seit Langem bestehen
\n
Parodontologe
Lücken belassen, auch keine restaurative Therapie, da aktuell nicht nur keine parodontalen, sondern auch keine ästhetischen oder funktionellen Probleme erkennbar sind; regelmäßige Kontrollen (einschließlich Situationsmodellen)
\n
Implantologe I
Extraktion der Zähne 28, 38 & 48, anschließend KFO-Behandlung (Aufrichtung von 37 & 47, Lücken öffnen); Implantation in regio 036 & 046, ggf. mit Bone Spreading/Bone Splitting; 4 Monate später Freilegung mit bukkalem Verschiebelappen, Versorgung mit Titanabutment und Vollkeramikkronen
\n
Implantologe II
Unterkiefer rechts: kein Lückenschluss regio 046 (nur Okklusions -ausgleich); Unterkiefer links: 35 & 37 Krone, 036 Implantat, okklusal adjustieren
\n
Implantologe III
Unterkiefer rechts: do-Inlay bei 45 und mo-Inlay bei 47 mit flächen-hafter Berührung beider Inlays (bessere Reinigungsmöglichkeit mit Interdentalraumbürsten); Unterkiefer links: Implantat und Krone, zusätzlich bei 26 neue Krone und Okklusion in Idealkauebene
\n
Prothetiker
Lücke 046: keine Therapie; Lücke 036: evtl. Versorgung unter Abwä-gung der Gefahr weiterer Zahnkippungen und Elongationen oder bei Auftreten funktioneller Einschränkungen der Patientin
\n




