Dermoidzyste des Mundbodens
Eine 27-jährige Patientin stellte sich zur Abklärung einer schmerzlosen Schwellung des Mundbodens in unserer Klinik vor. Die Patientin berichtete den Befund vor etwa einem Jahr erstmals bemerkt zu haben. Seitdem habe dieser stetig an Größe zugenommen und behindere nun die Zungenbeweglichkeit beim Schlucken und Sprechen.
Bei der klinischen Untersuchung zeigte sich intraoral eine etwa 3 cm große, kugelige, prall elastische, schmerzlose, gut verschiebliche Raumforderung rechtsbetont im anterioren Mundboden (Abbildung 1). Die Mundbodenschleimhaut war deutlich vorgewölbt, jedoch ansonsten unauffällig. Die Ausführungsgänge der Glandulae submandibulares ließen sich bis über den Befund hinaus sondieren, und es konnte klarer Speichel exprimiert werden. Weiter waren intrawie auch extraoral keine Auffälligkeiten zu verzeichnen.
Sonographisch imponierte die Raumforderung als ein gut abgrenzbarer, zystischer Prozess. In der veranlassten Magnetresonanztomographie stellte sich der Befund als eine maximal 3,5 cm durchmessende, zystische Raumforderung rechtsbetont im Bereich des anterioren Mundbodens in direkter Nachbarschaft zum Ausführungsgang der Glandula submandibularis rechts dar. Ein Konkrement im Sinne einer Sialolithiasis konnte nicht identifiziert werden (Abbildung 2).
Nach Abschluss der Diagnostik erfolgte die Extirpation der zystischen Läsion von intraoral unter Schonung der Speicheldrüsenausführungsgänge (Abbildungen 3 und 4).
Makroskopisch präsentierte sich ein ovaler rund 3,5 x 3 x 2 cm messender prall elastischer Tumor (Abbildung 5). Bei der Eröffnung entleerte sich zähflüssiger, gelber, talgartiger Inhalt (Abbildung 6).
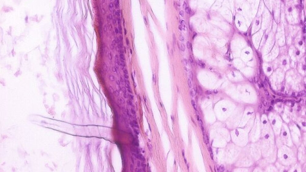
Das histologische Bild nach Aufarbeitung des Präparats zeigte eine Dermoidzyste mit Auskleidung durch partiell entzündlich destruiertes, mehrschichtiges Plattenepithel ohne Atypien. In Richtung Lumen fanden sich reichlich abgeschilferte Hornlamellen sowie im Bereich der entzündlich destruierten Wandanteile mehrkernige Riesenzellen vom Fremdkörpertyp und Schaumzellen. Subepithelial lagen des Weiteren zahlreiche Talgdrüsen, einzelne apokrine Drüsen und ganz vereinzelt auch in das Lumen ragende Haare (Abbildungen 7 und 8).
Diskussion
Dermoidzysten zählen zu den häufigsten Zysten der äußeren Haut. Die gängigsten Lokalisationen finden sich am Hals, am Rücken und an den proximalen Extremitätenabschnitten [Braun-Falco et Burgdorf, 2005]. Im Mund-, Kiefer- und Gesichtsbereich ist die Periorbitalregion die häufigste Lokalisation. Dermoidzysten innerhalb der Mundhöhle hingegen sind selten und be-finden sich üblicherweise in der Mitte des Mundbodens [Neukam et Becker, 2002]. Abweichungen nach lateral wie im vorgestellten Fall und andere intraorale Lokalisationen sind vereinzelt beschrieben [Neville et al., 2009]. Hauptmanifestationsalter sind die zweite und die dritte Lebensdekade mit leichter Prädominanz beim männlichen Geschlecht [Neville et al., 2009]. Die Zyste ist meist solitär. Bei multiplem Auftreten ist an eine syndromale Erkrankung wie das Basalzellnävus-Syndrom zu denken [Braun-Falco et Burgdorf, 2005].
Charakteristisch, wie im vorgestellten Fall, ist eine langsame, zunächst asymptomatische, schmerzlose Größenzunahme der Zysten. Größenabhängig können Atem-, Sprech- und Schluckstörungen resultieren [Neukam et Becker, 2002].
Die dermalen und epidermalen Zysten werden als reife und damit gutartige zystische Formen des Teratoms klassifiziert. Die Zystenwand ist mit geschichtetem, verhornendem Plattenepithel mit gut ausgebildetem Stratum granulosum ausgekleidet [Neville et al., 2009]. Laut WHO-Definition handelt es sich bei Dermoidzysten um entwicklungs-bedingte, histogenetisch und histopatho- logisch aus Ekto- und Mesoderm gebildete Läsionen [Cardesa et Luna, 2005]. In der detaillierten Klassifikation nach Meyer werden histopathologisch drei Typen unterschieden: epidermoide Zysten mit plattenepithelialer Auskleidung und umgebendem Bindegewebe, dermoide Zysten mit zusätzlichen Hautanhangsgebilden wie Talgdrüsen und Haaren sowie teratoide Zysten mit mesodermal differenzierten Geweben wie Muskeln, Knochen und Zähnen [Meyer 1955].
Die orale Dermoid- oder Epidermoidzyste entsteht durch versprengte Zell- linien der Dermis oder Epidermis während der Embryonalentwicklung [Neukam et Becker, 2002]. Davon abzugrenzen ist die epidermale Einschlusszyste, die durch traumatische Implantation von Epidermis in die Dermis bei Verletzungen oder operativen Eingriffen entsteht [Neville et al., 2009].
Behandlungsmethode der Wahl ist die Extirpation. Die Rezidivraten sind gering [El-Hakim et Alyamani, 2008].
Hilfreich in der Diagnostik und zur ersten Differenzierung ist die Sonographie. Unabdingbar zur Bestimmung der Größe und Lokalisation des Befundes sowie dessen Abgrenzung gegenüber Nachbarstrukturen ist eine adäquate Bildgebung mittels Computertomographie oder Magnetresonanztomographie [Jham et al., 2007].
Differentialdiagnostisch müssen andere Zysten, Tumoren, entzündliche Prozesse und Speicheldrüsenerkrankungen, hier insbesondere Tumoren, Mukozelen und eine Sialolithiasis in Betracht gezogen werden. Im vorliegenden Fall war ein entzündliches Geschehen aufgrund der klinischen Befunde und der Laborbefunde unwahrscheinlich. Ein Speicheldrüsentumor konnte durch die bildgebenden Verfahren ausgeschlossen werden. Die Abgrenzung gegenüber anderen Zystenformen gelang letztlich durch die histopathologische Untersuchung.
Dr. Stefan LegalDr. Dr. Martin GosauProf. Dr. Dr. Torsten E. ReichertKlinik und Poliklinik für Mund-, KieferundGesichtschirurgieUniversität RegensburgFranz-Josef-Strauß-Allee 1193053 RegensburgMartin.gosau@klinik.uni-regensburg.de
Dr. Corinna Lang-SchwarzInstitut für PathologieUniversität RegensburgFranz-Josef-Strauß-Allee 1193053 Regensburg




