Epulis granulomatosa an einem dentalen Implantat
Nachdem bei einem 55-jährigen Patienten in regio 24 – 27 der letzte Zahn alio loco extrahiert worden war, wurde in der eigenen Klinik und Poliklinik eine Augmentation mit einem freien kortikospongiösen Beckenkammtransplantat im Bereich dieser Freiendsituation durchgeführt. Sechs Monate später erfolgte im Bereich des reizlos eingeheilten Augmentates die Insertion dreier dentaler Implantate. Die Implantate zeigten sich intraoperativ primärstabil und konnten spannungsfrei mit der ortsständigen Schleimhaut gedeckt werden. Bei ausreichendem Knochenangebot und normaler Knochenqualität (D3 nach Lekholm und Zarb [Lekholm, 1998]) waren keine zusätzlichen augmentativen Maßnahmen erforderlich. Postoperativ wurde der Patient mit Amoxicillin / Clavulansäure (Amoxicomp® 500/125) für sieben Tage antibiotisch abgeschirmt. Zusätzlich wurde Ibuprofen 400 mg nach Bedarf als Schmerzmedikation verordnet. Der Patient trug keinen provisorischen Zahnersatz.
Bei der zehn Tage später erfolgten, zeitgerechten Nahtentfernung imponierte eine dezente Schwellung kranial der linken Nasolabialfalte (Abbildung 1). Der Patient beschrieb leichte persistierende Schmerzen im Bereich des ehemaligen OP-Gebietes. Intraoral zeigte sich die Gingiva regio 24 – 27 geringgradig ödematös geschwollen, aber nicht gerötet. Die Wundränder ließen keine Dehiszenz erkennen. Eine erneute Antibiose und/oder Schmerzmedikation war nicht notwendig.
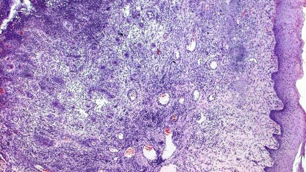
Weitere drei Wochen später stellte sich die extraorale Schwellung unverändert dar. Der Patient war jetzt beschwerdefrei. In regio 24 – 27 hatte sich eine etwa 3 x 2 x 1,5 cm3 große, rötliche, nicht druckdolente, weiche Geschwulst gebildet (Abbildung 2). Unter der Arbeitsdiagnose Epulis granulomatosa wurde die Läsion unter Mitnahme des Periostes mit dem Skalpell exzidiert. Der darunterliegende Knochen ließ keine Veränderung erkennen, so dass auf eine modellierende Osteotomie verzichtet werden konnte. Allerdings konnte eine Verbindung der Geschwulst mit dem periimplantären Gewebe des Implantates in regio 27 identifiziert werden. Das Implantat selbst wies im Vergleich zu den Implantaten 24 und 25 einen dumpfen Klopfschall sowie eine geringgradige Mobilität auf. Die weitere Exploration detektierte eine bindegewebige Einheilung des Implantates 27 und erforderte die sofortige Explantation. Das Implantatbett wurde vollständig kürettiert (Abbildung 3). Die histopathologische Begutachtung durch Priv.-Doz. Dr. Andreas Gaumann, Institut für Pathologie der Universität Regensburg, bestätigte die Arbeitsdiagnose einer Epulis granulomatosa (Abbildung 4). Die Schwellung der Wange war nach vier Tagen nicht mehr vorhanden, ein Rezidiv der Epulis trat bis heute nicht auf. Nach dreimonatiger Konsolidierungsphase wurde in regio 27 ein neues Implantat inseriert, welches inzwischen freigelegt und versorgt werden konnte.
Die Epulis bezeichnet eine periphere (außerhalb des Knochens auftretende) Granulationsgewebebildung mit unterschiedlichem klinischem Bild. Da auch maligne sowohl epitheliale als auch mesenchymale Tumoren und Metastasen unter dem klinischen Bild einer Epulis auftreten können, sollte – wie im eigenen Fall – stets eine histopathologische Begutachtung des entfernen Tumorgewebes erfolgen. Erst nach histopathologischem Ausschluss eines solchen Malignoms dürfen weitere Therapieschritte eingeleitet werden [Jundt, 2002].
In der aktuellen WHO-Klassifikation wird der Begriff „Epulis“ nicht geführt [Barnes L, 2005], so dass die Klassifikation der WHO von 1971 nach wie vor ihre Gültigkeit hat [Wahi, 1971]. Hier lassen sich neben der Bezeichnung „Epulis“ die Synonyme „pyogenes Granulom“ (Epulis granulomatosa, Epulis gravidarum, Epulis angiomatosa, Epulis sarcomatodes), „fibröse Hyperplasie“ (Epulis fibromatosa) und „peripheres Riesenzellgranulom“ (Epulis gigantocellularis) finden [Wahi, 1971]. Die Unterteilung erfolgt anhand des histologischen Aufbaus [Gundlach, 2007]. Da die Epulis congenita (Granularzelltumor) und Epulis fissurata (Prothesenrandfibrom, Reizfibrom) nicht aus peridentalem Gewebe entstehen, werden sie nicht zu den Epuliden im engeren Sinne gezählt.
Eine Abgrenzung von der zentralen (im Knochen gelegenen) Epulis erfolgt ausschließlich durch die Lokalisation [Driemel et al., 2006].
Das für die Epulis granulomatosa charakteristische histologische Bild mit läppchenförmig gegliedertem Gewebe, zahlreichen Kapillaren und einer Infiltration mit neutrophilen Granulozyten bestätigte im aktuellen klinischen Fall die Arbeitsdiagnose.
Die Epulis granulomatosa kann in jedem Lebensalter nach einem Trauma durch eine überschießende Granulationsgewebebildung entstehen. Daneben können parodontale Infektionen und hormonale Faktoren ätiologisch eine Rolle spielen [Jundt, 2002]. Die Entwicklung einer Epulis nach Insertion dentaler Implantate – wie auch hier beschrieben – konnte wiederholt beobachtet werden [Leong and Seng, 1998; Cloutier et al., 2007]. Darüber hinaus ist ein Zusammenhang mit dem Klippel-Trénaunay-Syndrom, dem Melkersson-Rosenthal-Syndrom, der Cheilitis granulomatosa und dem Morbus Crohn bekannt [Bogenrieder et al., 2003; Kuhl et al., 2006]. Bildet sich eine Epulis granulomatosa während der Schwangerschaft so spricht man von einer Epulis gravidarum [Kämmerer und Kunkel, 2008].
Wie auch im hier vorgestellten Fall ist sie meistes im Oberkiefer lokalisiert. Sie tritt häufiger bei Frauen auf und repräsentiert nach der Epulis fibromatosa den zweithäufigsten Typ einer Epulis [Hamada et al., 1989].
Der Übergang zur Epulis fibromatosa ist fließend. Diese entspricht dem kollagenfaserreicheren Spätstadium insbesondere einer rezidivierenden Epulis granulomatosa [Jundt, 2002; Gundlach, 2007]. Beide lassen sich eindeutig von einer Epulis congenita abgrenzen, welche sich als echter Tumor am Alveolarkamm des Ober- und Unterkiefers bereits beim Neugeborenen gebildet hat. Die Epulis fissurata bezeichnet eine inflammatorische reaktive fibröse Hyperplasie insbesondere nach permanentem Trauma durch schlecht sitzende Prothesen [Jundt, 2002]. Das spindelzellige Stroma der Epulis gigantocellularis weist mehrkernige Riesenzellen auf [Driemel et al., 2006].
Alle Formen der Epulis sind benigne, neigen aber häufig zu Rezidiven. Da die Epulis granulomatosa wie alle Epuliden als reaktiver Prozess verstanden wird, umfasst ihre Therapie neben dem Ausschalten mechanischer Reize, einer Verbesserung der Mundhygiene und der Behandlung parodontaler Infektionen, die vollständige Exzision der Läsion einschließlich der Entfernung des darunterliegenden Periostes entweder mit dem Skalpell, dem CO 2 -Laser oder der Elektroschlinge (Diathermie) [Lawoyin et al. 1997]. Im Falle einer veränderten Knochenoberfläche wird eine dezente modellierende Osteotomie empfohlen. Tritt ein Rezidiv auf, sollten angrenzende parodontal geschädigte Zähne mit entfernt werden [Jundt, 2002].
Im eigenen Fall war die Ursache in dem bindegewebig eingeheilten Implantat zu sehen. Die Entfernung des Implantates und der Epulis führte zur Ausheilung des Befundes [Hirshberg et al., 2003; Bischof et al., 2004]. Trotzdem können Rezidive auftreten und lassen klinische Nachkontrollen zumindest bis zum Ende der Abheilungsphase erforderlich werden [Nathanson, 1951].
Dr. Till GerlachGemeinschaftspraxis Dr. Kornmann /Dr. Gerlach und KollegenSant-Ambrogio-Ring 39, 55276 Oppenheimtill.gerlach@gmx.de
Prof. Dr. Dr. Torsten E. ReichertKlinik und Poliklinik für Mund-,Kiefer- und GesichtschirurgieUniversität RegensburgFranz-Josef-Strauß-Allee 1193053 Regensburg
Priv.-Doz. Dr. Dr. Oliver DriemelAbteilung für Mund-, Kiefer- undGesichtschirurgie/Plastische OperationenStädtisches Klinikum LüneburgBögelstr. 1, 21339 Lüneburgoliver.driemel@klinik.uni-regensburg.de




