Der wirklich „natürliche“ Zahnersatz
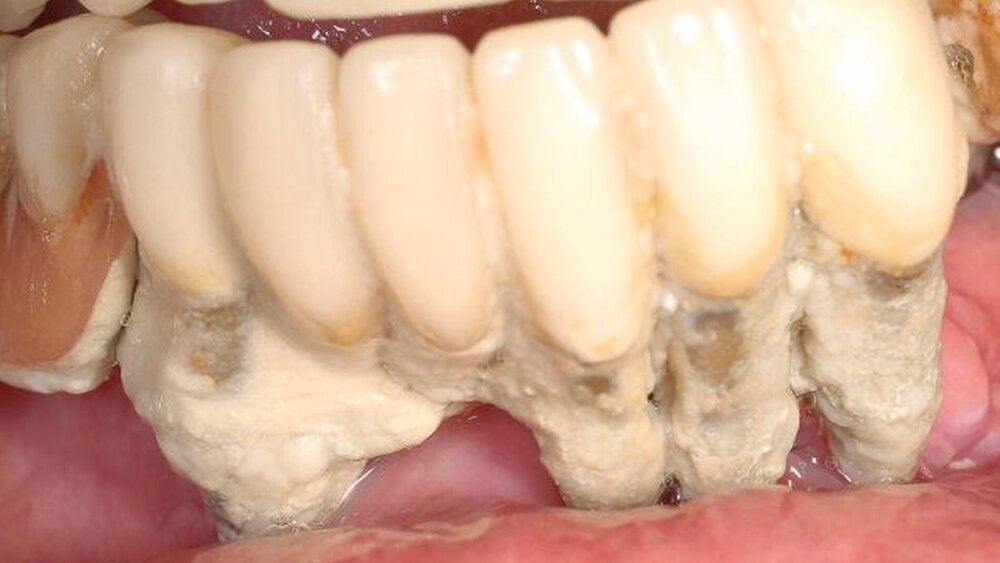
Die 51-Jährige ansonsten sehr gepflegte Patientin hat eine Zahnarztphobie und schon seit Jahren beide Prothesen nicht mehr herausgenommen, da sie wusste, dass die Zähne immer gleich mit den Prothesen herauskamen.
Die Alveolen waren mittlerweile auch schon geschlossen, die natürlichen Zähne standen in Mulden vor dem Alveolarkamm.
Ein Fall, wie man ihn nicht alle Tage sieht! Die Patientin wurde zunächst mit einer Interims-Totalprothese versorgt.
ZA Thomas SchmittRathausplatz 285716 Unterschleißheim




