Zahnärzte haben hohe Verantwortung
Kindesvernachlässigung ist die am häufigsten auftretende und am wenigsten erkannte Gefährdungsproblematik. Sie wird von der Allgemeinheit, aber auch von medizinischen Fachkräften oft übersehen oder nicht beachtet. Vernachlässigung verläuft schleichend. Sie beginnt meist im Säuglings- und Kleinkindalter und bleibt häufig bis zum Eintritt in den Kindergarten oder die Schule unerkannt. Je jünger die betroffenen Kinder sind, desto größer ist das Risiko nachhaltiger Schäden [8].
Zahnmedizinische Vernachlässigung, sogar in ihren schwersten Ausprägungen, wird in einem noch größeren Ausmaß ignoriert [17, 20]. Die zahnmedizinischen Auswirkungen sind nicht lebensbedrohlich wie bei extremer medizinischer Vernachlässigung oder physischer Misshandlung. Sie sind aber keineswegs unter dem Begriff „banal“ abzutun und erfordern daher die Aufmerksamkeit aller medizinischen Fachkräfte [20].
Allgemeine Definitionen
Vernachlässigung steht in direktem Kontext mit körperlicher Gewalt (physischer Misshandlung), seelischer Gewalt (psychischer Misshandlung) und sexueller Gewalt (sexueller Missbrauch) [5, 26]. Bisweilen wird als fünfte Kategorie das Münchhausen-Stellvertreter-Syndrom genannt. Vernachlässigung wird als „andauernde oder wiederholte Unterlassung fürsorglichen Handelns sorgeverantwortlicher Personen bezeichnet, welches zur Sicherstellung der physischen und psychischen Versorgung des Kindes notwendig wäre“ [31]. Die Unterlassung kann aktiv (bewusst) oder passiv (unbewusst) sein, aufgrund unzureichender Einsicht oder mangelnden Wissens erfolgen. Die durch die Vernachlässigung bewirkte chronische Unterversorgung des Kindes hemmt, beeinträchtigt oder schädigt nachhaltig seine körperliche, geistige und seelische Entwicklung und kann zu gravierenden bleibenden Schäden oder gar zum Tod des Kindes führen [31]. Aktive Vernachlässigung ist die wissentliche Verweigerung von Handlungen (Versorgung, Hygiene, Nahrung, Schutz), die von der sorgeberechtigten Person als Bedarf des Kindes erkannt wird. Passive Vernachlässigung entsteht aus mangelnder Einsicht oder Nichterkennen von Bedarfssituationen, Überforderung oder unzureichenden Handlungsmöglichkeiten der sorgeberechtigten Personen (zum Beispiel: Alleinlassen des Kindes, Vergessen von Versorgungsleistungen, unzureichende Pflege, Mangelernährung). Eine scharfe Grenzziehung zwischen passiver und aktiver Vernachlässigung ist jedoch oftmals nicht möglich [27].
Im Wesentlichen werden zwei Formen der Vernachlässigung differenziert. Körperliche (medizinische) Vernachlässigung liegt bei fehlender Pflege und Kleidung, mangelnder Ernährung und Hygiene sowie unzureichender Versorgung/Gesundheitsfürsorge vor, die zu massiven Entwicklungsstörungen führen kann, bis zum psychosozialen Minderwuchs. Emotionale Vernachlässigung (Deprivation) entsteht bei einem nicht hinreichenden oder ständig wechselnden emotionalen Beziehungsangebot und fehlender Reaktion auf emotionale Signale [12, 19]. Weitere Formen sind die kognitive Vernachlässigung (unzureichende Anregung und Förderung motorischer, geistiger, emotionaler und sozialer Fähigkeiten oder mangelndes Engagement für die schulische Entwicklung) und die erzieherische Vernachlässigung (mangelnder Schutz vor Gefahren, Missachtung kindlichen Fehlverhaltens und Gleichgültigkeit der sozialen Bindungen des Kindes).
Kinder werden demnach vernachlässigt, wenn ihre grundlegenden Bedürfnisse nicht gewährleistet sind, sie unzureichend ernährt, gepflegt, gefördert, gesundheitlich versorgt, beaufsichtigt und/oder vor Gefahren geschützt werden [11, 16].
Hier liegt zahnmedizinische Vernachlässigung vor
Als grobe Anhaltspunkte für eine physische Vernachlässigung der Mundhöhle werden einem Laien erkennbare unbehandelte Karies (mindestens zwei Zähne pro Quadrant), Schmerzen, Infektionen, Blutungen oder Traumata der orofazialen Region genannt [3, 7, 24, 33]. Dieses gilt insbesondere dann, wenn nach Aufklärung über die Erkrankungen keine Behandlung eingeleitet wurde [3, 7, 24].
Die American Academy of Pediatric Dentistry und die American Academy of Pediatrics definieren zahnmedizinische Vernachlässigung als „vorsätzliches Unterlassen von Eltern oder Sorgeberechtigen eine Behandlung anzustreben und diese durchführen zu lassen, die notwendig ist, um einen Grad von oraler Gesundheit zu sichern, der unentbehrlich für eine adäquate Funktion und Freiheit von Schmerzen und Infektionen ist“ [1, 22]. Dabei müssen Sorgeberechtigte mit entsprechender Kenntnis und vorsätzlicher Unterlassung (eine Behandlung aufzusuchen) von denjenigen unterschieden werden, denen diese Kenntnisse oder ein Bewusstsein für die Bedürfnisse ihres Kindes fehlen. In letzterem Fall kann daher nicht von vorsätzlicher Vernachlässigung gesprochen werden [16]. Deshalb beginnt Vernachlässigung ab dem Zeitpunkt, an dem sorgeberechtigte Personen durch einen Arzt oder Zahnarzt die Erkrankung des Kindes, deren Ausmaß und die notwendige Behandlung sowie die Wege, diese Behandlung zu erreichen, aufgezeigt wurden und sie auf das ihnen bekannte schwerwiegende zahnmedizinische Problem nicht angemessen reagieren [16]. Arzt oder Zahnarzt sollten sicher sein, dass die Sorgeberechtigten die Erklärungen über die Erkrankung und deren Auswirkungen verstanden haben und gegebenenfalls Unterstützungsmöglichkeiten aufzeigen, wenn bestimmte Umstände (zum Beispiel finanzielle oder organisatorische Gründe) einer Behandlung im Wege stehen. Den Sorgeberechtigten sollte erklärt werden, dass jedwede Schmerzausschaltung während der zahnärztlichen Behandlung angewandt wird, um das Wohlergehen des Kindes sicherzustellen. Erst wenn dann eine Behandlung ihres Kindes unterlassen wird, sollten weitere Maßnahmen, wie zum Beispiel die Meldung an offizielle Stellen, eingeleitet werden [1, 16, 22].
Häufigkeit von Vernachlässigung
Die Angaben zur Inzidenz von Kindesmisshandlung und -vernachlässigung variieren in Europa zwischen 5 und 30 Fällen je 1 000 Kinder [25]. In Großbritannien sind 2,4 von 1 000 Kindern (im ersten Lebensjahr sogar 5,1) in offiziellen Registern für Misshandlung und Vernachlässigung erfasst. Der Anteil von Vernachlässigung beträgt 42 Prozent, für emotionale Misshandlung 19 Prozent, für physische Misshandlung 16 Prozent und für sexuelle Misshandlung 9 Prozent. 14 Prozent der Fälle sind multiplen Ursachen zuzuordnen. Der überwiegende Anteil der Kinder ist zwischen null und vier Jahren alt. Jedoch wird auch bei diesen Zahlen von hohen Dunkelziffern ausgegangen [16].
US-amerikanische Meldedaten aus dem Zeitraum 1994 bis 2003 geben für Vernachlässigung Inzidenzen zwischen 6,5 bis 7,7 pro 1 000 Kinder, 0,4 bis 0,6 für medizinische Vernachlässigung und 0,7 bis 0,9 für emotionale Misshandlung im Vergleich zu 2,3 bis 2,6 für physische Misshandlung und 1,2 bis 1,9 für sexuelle Misshandlung an. Damit beträgt der Anteil der Vernachlässigung zwischen 55 und 65 Prozent und der der emotionalen Misshandlung zwischen 4 und 6 Prozent [zitiert nach 19].
Deutschland verfügt über keine verwertbaren Datenquellen, um die Häufigkeiten sicher benennen zu können. Offizielle Stellen gehen davon aus, dass 5 bis 10 Prozent der Kinder in Deutschland vernachlässigt oder abgelehnt werden [9, 26, 27]. Als Untergrenze von Schätzungen wird eine Zahl von 50 000 Kindern genannt, die in Deutschland unter erheblicher Vernachlässigung leiden. Nach oben hin schwanken die Zahlen um das Fünf- bis Zehnfache [8]. Mehr als 40 Prozent der vernachlässigten Kinder sind zwischen drei und fünf Jahren alt [9].
Wetzels gibt an, dass etwa 100 Todesfälle pro Jahr in Deutschland gemeldet werden, die auf die Folgen von Misshandlung oder Vernachlässigung zurückzuführen sind. Schätzungen gehen von sechs- bis zehnmal höheren Zahlen aus [35].
Risikofaktoren für Vernachlässigung
Vernachlässigung entsteht durch permanente Überbelastung und durch Probleme, die Mütter und Väter aus eigener Kraft nicht bewältigen können. Materielle Belastungen (Armut), soziale Belastungen (Isolation), persönliche Belastungen (ungewollte Schwangerschaft, Sucht, eigene Deprivationserfahrung), familiäre Belastungen (anhaltender Paarkonflikt) oder auch die Persönlichkeit des Kindes (zum Beipiel Krankheitsanfälligkeit) stellen Risikofaktoren für Vernachlässigung dar. Vernachlässigende Eltern haben oft selbst Misshandlung, Missbrauch oder Vernachlässigung in ihrer Kindheit erlebt. Aufgrund dieser Erfahrungen ist es den Eltern oft nicht bewusst, dass es ihren Kindern an etwas mangelt. Das Aufsuchen von Hilfeeinrichtungen setzt allerdings das Empfinden voraus, dass dem Kind etwas fehlt [8].
Hallberg et al. untersuchten die Ursachen, warum einige Eltern dem für ihre Kinder vereinbarten zahnärztlichen Termin fernbleiben [15]. Sie konnten klar herausarbeiten, dass diese Eltern mit den Anforderungen ihres eigenen täglichen Lebens überfordert waren. Ihnen fehlten oft eigene regelmäßige Zahnarztbesuche, das Vertrauen in das zahnmedizinische Gesundheitssystem und Selbstvertrauen.
Risikofaktoren, die die Wahrscheinlichkeit der Vernachlässigung erhöhen [1,10,22, 28]:
• psychisch kranke Eltern (Sucht, Psychose, Depression, Persönlichkeitsstörungen)
• geringe Schulbildung
• mangelnde soziale Unterstützung (Alleinerziehende, junge Mütter), soziale Deprivation
• geringer sozioökonomischer Status
• Minoritäten ohne hinreichende gesellschaftliche Eingliederung (Sprache)
• vulnerable Kinder (junge Kinder, kranke und besonders förderungsbedürftige Kinder) Treten mehrere Faktoren auf, ist das Risiko erhöht. Andererseits ist trotz des Vorliegens eines oder mehrerer Faktoren nicht zwangsläufig Vernachlässigung zu beobachten!
Untersuchungen zu Karies und Vernachlässigung
Kariöse Zähne werden in exemplarischen Beschreibungen häufig als typischer Indikator für Vernachlässigung genannt [23, 27]. Bemerkenswert ist, dass im weiteren Verlauf auf diese oralen Erkrankungen nicht weiter eingegangen wird, während Folgen physischer Misshandlung umfangreich dargestellt werden. Ist ein Zusammenhang zwischen Misshandlung und Vernachlässigung und dem vermehrten Auftreten kariöser Läsionen in der Literatur überhaupt belegt?
Nur wenige Publikationen befassen sich mit dem Zusammenhang zwischen misshandelten oder vernachlässigten Kindern und deren oraler Gesundheit.
Badger untersuchte 68 Kinder von Militärangehörigen im Alter zwischen zwei und 19 Jahren, die als Opfer von Misshandlung oder Vernachlässigung erkannt worden waren [4]. Die Anzahl kariöser, wegen Karies fehlender und mit Füllungen versorgter Zähne in beiden Dentitionen dieser Kinder stellte er altersentsprechenden US-amerikanischen Mittelwerten gegenüber. Er konnte weder in der Gruppe der Sechs- bis Zwölfjährigen noch in der Gruppe der 13- bis 19-Jährigen signifikante Unterschiede zu den nationalen Mittelwerten finden [4].
Neuere Untersuchungen konnten jedoch deutliche Unterschiede herausarbeiten. Greene et al. untersuchten ebenfalls unter US-Militärangehörigen 30 misshandelte oder vernachlässigte Kinder im Alter zwischen fünf und 13 Jahren [13]. Bei diesen Kindern wurde die Anzahl unbehandelter, kariöser Zahnflächen im Gebiss der zweiten Dentition evaluiert. Die Ergebnisse wurden mit denen von 873 Kindern gleichen Alters verglichen. Die Untersucher kamen zu dem Ergebnis, dass missbrauchte Kinder achtmal häufiger unbehandelte, kariöse Zähne haben als die Kinder der Kontrollgruppe. Das Risiko für unbehandelte, kariöse Zähne erhöhte sich mit zunehmendem Alter des Kindes. Dieses erklären die Autoren zum einen mit dem bei älteren Kindern erhöhten Kariesrisiko, zum anderen mit der physiologisch größeren Anzahl von Zähnen der zweiten Dentition [13].
Die gleiche Arbeitsgruppe verglich in einer weiteren Untersuchung die Gesundheit der Zähne der ersten Dentition zwischen misshandelten beziehungsweise vernachlässigten Kindern und Kindern gleichen Alters [14]. 42 Kinder (Alter: drei bis elf Jahre) sowie als Kontrolle 822 andere Kinder wurden zahnärztlich auf die Anzahl kariöser und nicht mit Füllungen versorgter Zahnflächen untersucht. Das Risiko für unbehandelte, kariöse Zahnflächen an Zähnen der ersten Dentition war bei misshandelten Kindern 5,2-fach erhöht.
Olivan nahm eine zahnärztliche Untersuchung von 236 misshandelten oder vernachlässigten Kindern im Alter von sechs bis zwölf Jahren (mittleres Alter: 9,6 Jahre) in Saragossa, Spanien, vor [28]. 50,4 Prozent der Kinder zeigten unbehandelte kariöse Zähne. Die Prävalenz von unbehandelten kariösen Läsionen war bei misshandelten oder vernachlässigten Kindern in dieser Studie deutlich höher als im landesweiten Durchschnitt in Spanien oder anderen entwickelten Ländern in dieser Altersgruppe [28].
Valencia-Rojas et al. untersuchten im Bereich von Toronto, Kanada, 66 Vorschulkinder mit Misshandlung (19,7 Prozent) oder Vernachlässigung (80,3 Prozent) im Alter von zwei bis sechs Jahren (mittleres Alter: 4,1 Jahre) zahnärztlich [34]. Lediglich vier Kinder (6,1 Prozent) zeigen dentale Verletzungen während keines der untersuchten Kinder gefüllte oder als Folge von Karies extrahierte Zähne hatte. Early childhood caries (ECC, Anzahl kariöser Zähne > 1) wurde jedoch bei 57,6 Prozent, severe early childhood caries (S-ECC, Anzahl kariöser Zähne > 4) bei 31,8 Prozent der Kinder diagnostiziert. Damit war die Häufigkeit von ECC bei misshandelten oder vernachlässigten Kindern annähernd doppelt so hoch wie bei FünfJährigen in der gleichen Region. Die mittlere Anzahl kariöser Zähne war bei den Vier- bis Sechsjährigen misshandelten und vernachlässigten Kindern neunmal höher als bei anderen Fünfjährigen der Region (mittlere Anzahl kariöser Zähne = 0,42; p < 0,001). Der Anteil von Kindern mit unbehandelter Karies betrug in der Gruppe der misshandelten Kinder 61,5 Prozent und in der Gruppe der vernachlässigten Kinder 56,6 Prozent. S-ECC waren bei misshandelten Kindern mit 46,2 Prozent häufiger zu beobachten als bei vernachlässigten Kindern (28,3 Prozent); diese Unterschiede waren jedoch nicht signifikant. Die mittlere Anzahl kariöser Zähne (3,24 Zähne) von allen 66 Kindern unterschied sich bei misshandelten und vernachlässigten Kindern nicht signifikant (3,54 gegenüber 3,17). Die mittlere Anzahl kariöser Zähne der ersten Dentition der 38 Kinder mit Karies betrug 5,63 (misshandelte Kinder: 5,75; vernachlässigte Kinder: 5,60) [34].
Kasuistik
Eine alleinerziehende 21-jährige Mutter mit russischem Migrationshintergrund suchte mit ihrem 16 Monate alten Jungen unsere Klinik auf. Sie gab an, dass das Kind in letzter Zeit oft weinte und eine Nahrungsaufnahme ablehnte. Der Junge wurde voll gestillt. Eine Zahnpflege war nach Auskunft der Mutter wegen Schmerzen nicht möglich. Die sonstige medizinische Anamnese des Kindes war unauffällig.
Bei der Inspektion der Mundhöhle des Kindes zeigte sich ein altersentsprechender Durchbruchstand der Zähne (Abbildung 1). Sämtliche Zahnflächen wiesen Beläge auf. Alle zwölf Zähne zeigten Zahnhartsubstanzdefekte. Die Schneidezähne des Oberkiefers waren am stärksten betroffen. Diejenigen Zahnschmelzanteile, die erst seit kurzer Zeit innerhalb der Mundhöhle standen, zeigten keine Veränderungen. Im Bereich des Zahnes 51 bestand im Vestibulum eine fluktuierende Schwellung. Auf Druck entleerte sich Pus aus dem gingivalen Sulkus (Abbildung 1b). Aufgrund des großen Behandlungsbedarfs und des geringen Alters wurde eine zahnärztliche Behandlung in Intubationsnarkose angeboten und zeitnah durchgeführt. Dabei wurde der entzündete Schneidezahn 51 entfernt, sämtliche anderen Schneidezähne mit Füllungen und die ersten Molaren mit konfektionierten Kronen versorgt. An den verbliebenen Oberkiefer-Schneidezähnen wurde jeweils eine Wurzelkanalbehandlung durchgeführt. Bei einer postoperativen Kontrolle nach einer Woche war der Patient beschwerdefrei. Weitere Vorstellungen erfolgten nicht.
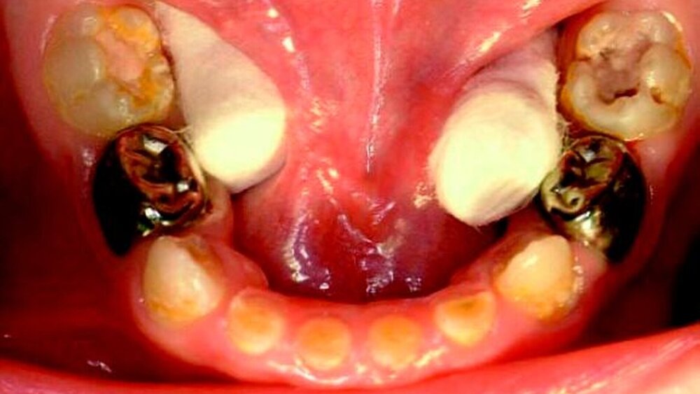
Nach zwölf Monaten traten Beschwerden an den Oberkiefer-Schneidezähnen auf. Die Füllungen waren zum Teil verloren gegangen. Von dem behandelnden Zahnarzt wurden die Zähne 52, 61 und 62 in Maskennarkose entfernt und eine Vorstellung in der konservierenden Abteilung unseres Hauses empfohlen.
Weitere drei Monate später wurde der nun 31 Monate alte Junge mit Schmerzen wieder vorgestellt. Nach der ersten Narkosebehandlung wurde abgestillt. Außerhalb der Mahlzeiten erhielt das Kind verdünnte Fruchtsäfte. Diese wurden auch zum Einschlafen und während der Nacht gegeben. Zum Zähneputzen wurde ausschließlich fluoridfreie Zahncreme verwendet. Der intraorale Befund ergab kariöse Läsionen an allen zweiten Molaren, Eckzähnen und Unterkiefer-Schneidezähnen. Die mit konfektionierten Kronen versorgten Zähne waren unauffällig. Erneut wurde eine Sanierung in Intubationsnarkose vorgeschlagen. Diese wurde zwei Monate später durchgeführt (Abbildung 2). Intraoperativ zeigte der Zahn 81 eine deutliche Lockerung sowie radiologisch eine periapikale Aufhellung und wurde daher entfernt. Die Zähne 55, 75 und 85 wurden mit konfektionierten Kronen, sämtliche anderen Zähne mit adhäsiven Füllungen versorgt. Der Zahn 71 wurde endodontisch behandelt. Der behandelnde Kinderarzt bestätigte, dass alle kinderärztlichen Vorsorgeuntersuchungen von der Mutter wahrgenommen wurden und keine auffälligen Befunde vorlagen.
Ein Ausschnitt aus dem bisherigen weiteren Behandlungsverlauf ist der Tabelle 1 zu entnehmen. Auffällig ist die große Anzahl nicht eingehaltener oder wegen Krankheit abgesagter Termine.
Folgen zahnmedizinischer Vernachlässigung
Folgen von Vernachlässigung sind in Extremfällen Tod durch Verhungern, Verdursten, vermeidbare Unfälle oder krankheitsbedingte Todesfälle. Dieses sind die in den Medien immer wieder präsentierten Spitzen eines Eisbergs. Weniger drastische Folgen, weil sie oftmals nicht unmittelbar erkennbar sind, können körperliche Entwicklungsstörungen und Krankheiten (zum Beispiel Gedeihstörungen, psychosozialer Minderwuchs, Verletzungen), psychosoziale Entwicklungsstörungen (zum Beispiel Rückstände der sprachlichen, motorischen, kognitiven, Sauberkeits-Entwicklung, emotionale Störungen, Bindungsstörungen, Verhaltensstörungen) und langfristig die Weitergabe der erlernten Verhaltensmuster in die nächsten Generationen hinein sein.
Durch tief zerstörte, kariöse Zähne leidet das Kind unter chronischen Schmerzen. Dies kann zur Beeinträchtigung des Schlafens, des Lernens und der Teilnahme an täglichen Aktivitäten führen. Es hat Schwierigkeiten beim Essen, weswegen insbesondere kauaktive Nahrungsmittel gemieden werden. Die weitere Zahnpflege ist erschwert, da die Zähne berührungs- und kälteempfindlich sind. Kariöse Zähne der ersten Dentition steigern das weitere Kariesrisiko, da die Keimzahl im Speichel und auf den Zahnoberflächen deutlich erhöht ist. Kinder mit kariös zerstörten Gebissen zeigen ein verzögertes Wachstum. Kariöse Destruktionen der Frontzähne führen zur Beeinträchtigung der Sprachentwicklung und zu Hänseleien durch andere Kinder [1, 2, 15, 16, 22, 32]. Chronisch entzündete Zähne führen zu einer Keimverschleppung in den periapikalen Raum. Im Weiteren können sich Fisteln, Abszesse (Abbildung 1a) und Mineralisationsstörungen an den nachfolgenden Zähnen bilden. Müssen Zähne der ersten Dentition vorzeitig entfernt werden, kann es zu Durchbruchstörungen der nachfolgenden Zähne bis hin zu deren Retention kommen. Es können sich Anomalien der Zahnstellung, der Okklusion und der Kieferposition entwickeln. Dieses kann zu Dysgnathien und zur Annahme von Dyskinesien führen. Beides hat langwierige kieferorthopädische Behandlungen zur Folge [29, 30].
Daher wird gefordert, dass aus medizinischen Gründen nach der Diagnose ECC umgehend eine zahnärztliche Behandlung eingeleitet wird, um weitere Zerstörungen der Zahnhartsubstanzen zu vermeiden, aber auch um die genannten Folgen, die die Gesundheit des Kindes beeinträchtigen, auszuschließen [2, 29, 30].
Schlussfolgerungen
Vernachlässigung ist die mit Abstand häufigste Misshandlungsform. Sie ist ein chronischer Zustand der Mangelversorgung des Kindes. Diese Ableitung aus der allgemeinen Definition von Vernachlässigung trifft insbesondere auf zahnmedizinische Vernachlässigung zu, da kariöse Läsionen als Folge eines chronischen Prozesses an den Zähnen entstanden und, zumindest nach der Aufklärung der sorgeberechtigten Personen über die Ursachen der Erkrankung und deren Folgen, die Möglichkeiten einer konsequenten Behandlung gegeben sind.
Innerhalb des medizinischen Berufsstandes ist allgemein akzeptiert, dass unbehandelte Verletzungen zu Komplikationen führen. Dieses wird jedoch gänzlich ignoriert, wenn es zahnmedizinische Vernachlässigung betrifft. Die Schwere einer zahnmedizinischen Vernachlässigung muss als genauso hoch angesehen werden wie die einer sonstigen medizinischen Vernachlässigung [32].
Bei der Befundung der Zähne ist auf Differentialdiagnosen der Karies zu achten. Exogene Beläge auf den Zähnen, angeborene und erworbene Störungen der Zahnhartsubstanzbildung sind ebenso auszuschließen wie traumatisch bedingte Zahnhartsubstanzdefekte.
Nur durch eine engere Zusammenarbeit zwischen Kinderarzt und Zahnarzt sowie einer regelmäßigen und früher einsetzenden Vorstellung der Kinder bei einem Zahnarzt können Defizite bereits im Frühstadium erkannt werden. Diese gegenseitige Ergänzung erscheint umso wichtiger, da auf zahnärztlicher Seite beim Erkennen von Vernachlässigung Defizite bestehen. In der pädiatrischen Ausbildung wiederum wird die dentale Diagnostik nur rudimentär vermittelt.
Misshandelte oder vernachlässigte Kinder weisen deutlich mehr unversorgte kariöse Läsionen auf als altersentsprechende Kontrollgruppen. Es ist daher wünschenswert, dass bei bestätigten Fällen von Kindesmisshandlung oder -vernachlässigung routinemäßig eine zahnärztliche Untersuchung als Teil einer Gesamtrehabilitation veranlasst wird [6, 13, 14].
Reinhard Schilke, Fenja FelgenhauerMedizinische Hochschule HannoverKlinik für Zahnerhaltung, Parodontologie undPräventive ZahnheilkundeCarl-Neuberg-Str. 130625 Hannoverschilke.reinhard@mh-hannover.de
Lorenz GrigullMedizinische Hochschule HannoverKlinik für Kinderheilkunde, Pädiatrische Hämatologie und Onkologie
Vorliegender Beitrag wurde in der Kinderund Jugendmedizin 8/2008 veröffentlicht und erscheint mit freundlicher Genehmigung des Verlags, um ihn dem zahnärztlichen Leserkreis zugänglich zu machen.




