Gingivahyperplasie als klinisches Zeichen einer akuten myeloischen Leukämie
Eine 49-jährige Patientin wurde vom HNO-ärztlichen Kollegen mit vergrößerten Halslymphknoten, einer seit einer Woche bestehenden ausgeprägten Zahnfleischentzündung sowie einer Leukozytose von 52 000/µl zur Abklärung in die eigene Klinik für Mund-, Kiefer- und Gesichtschirurgie überwiesen.
Bei der klinischen Untersuchung zeigten sich extraoral ein Lidödem und eine Rötung der rechten Wange (Abbildung 1). Submandibulär und entlang der Hals-Gefäß-Nervenscheide waren beidseits vergrößerte, nicht druckdolente Lymphknoten tastbar. Intraoral imponierte bei mäßig gepflegtem Zahnstatus eine diffus entzündlich erscheinende, jedoch wenig schmerzhafte Gingiva (Abbildung 2).
Im durchgeführten Orthopantomogramm wurde eine generalisierte Parodontitis mit horizontalem Knochenabbau auffällig (Abbildung 3).
Auf Nachfrage gab die Patientin an, bereits drei Wochen vorher ein auffälliges, dunkelrotes, stecknadelkopfgroßes Exanthem an Armen und Beinen sowie am Dekolleté entwickelt zu haben (Abbildung 4). Zudem berichtete sie von einem Gewichtsverlust von 12 kg in den letzten zwei Monaten, Fieber, Abgeschlagenheit und vermehrtem Schwitzen in der Nacht. Als Dauermedikation wurde von der Patientin das Antidepressivum Fluoxetin® eingenommen.
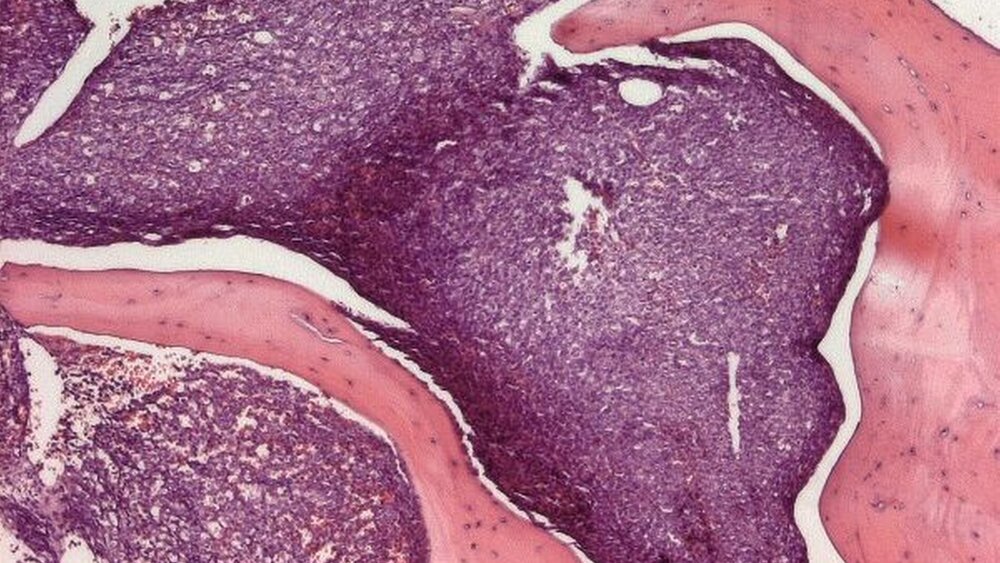
Bei Verdacht auf ein leukämisches Infiltrat wurden eine Probeexcision der Gingiva durchgeführt und ein Differentialblutbild angefertigt. Das Auftreten von Blasten sowie ein massiv erhöhter Anteil an Monozyten im Differentialblutbild (Tabelle 1) deuteten in Kombination mit dem klinischen Erscheinungsbild und der Histologie (Abbildung 5) auf eine akute myeloische Leukämie vom monozytären Typ (M5) hin. Die Patientin wurde nun den Kollegen der Hämatologie/Onkologie zur Knochenmarksbiopsie (Abbildung 6) und Weiterbehandlung vorgestellt. Drei Tage später wurde eine Chemotherapie mit Daunorubicin, Cytarabin und Midostaurin eingeleitet.
Diskussion
Schwellungen des Zahnfleisches sind in den meisten Fällen entzündlicher Genese. Dabei stellt eine mangelhafte Mundhygiene mit Ablagerungen von Plaque und Zahnstein die häufigste Ursache der Gingivitis dar. Klinisch erkennt man ein gerötetes, leicht blutendes, geschwollenes und schmerzhaftes Zahnfleisch. Gelegentlich kommt es zu einer Vergrößerung der regionären Halslymphknoten mit Foetor ex ore, so auch in diesem Fall. Die Patientin wies einen mangelhaft gepflegten Zahnstatus auf, dennoch erschien das Zahnfleisch bei nahezu fehlender Schmerzsymptomatik unverhältnismäßig stark und diffus geschwollen. Während die regionären Lymphknoten im Rahmen einer ausgeprägten akuten Gingivitis druckdolent imponieren können, wurden von unserer Patientin Schmerzen bei Palpation des Halses verneint.
Wegweisend in diesem Fall waren die Begleitsymptome: das Lidödem, die Exantheme und Einblutungen an Extremitäten und Stamm sowie vor allem auch die Anamnese des Gewichtsverlusts in Kombination mit Fieber und Nachtschweiß.
Diese Symptomtrias wird als B-Symptomatik bezeichnet. Sie wurde ursprünglich für das Hodgkin-Lymphom definiert, gilt jedoch für eine Vielzahl von Malignomen.
Leukämien (griechisch ëåõ÷áéìßá leuchaimia, von ëåõêüò, leukós – weiß und á ìá, haima – das Blut) sind Erkrankungen des blutbildenden Systems und haben als solche ihren Ursprung im Knochenmark. Allen Leukämien ist gemeinsam, dass sich maligne, entartete Leukozyten sowohl im Knochenmark als auch im peripheren Blut finden lassen. Bei einer akuten Leukämie handelt es sich um eine aggressive Erkrankung, charakterisiert durch entartete Knochenmark-Vorläuferzellen, den sogenannten Blasten, deren klonale Vermehrung zu einer Verdrängung der gesunden knochenmarkbildenden Zellen führt [Fauci et al., 2008]. Im weiteren Verlauf infiltrieren die Blasten über den Blutweg andere Organe wie Leber, Milz, Lymphknoten, Gehirn und Haut oder eben auch, wie in unserem Fall, das Zahnfleisch. Unbehandelt führt die akute Verlaufsform rasch zum Tode. Weisen die malignen Zellklone eine monozytäre oder granulozytäre Differenzierung auf, spricht man von einer akuten myeloischen Leukämie (AML) [Hoffbrand et al., 2003].
Die AML betrifft im Gegensatz zur kindlichen akuten lymphatischen Leukämie (ALL) überwiegend erwachsene Menschen im mittleren Alter [Herold, 2007].
Als bekannte Risikofaktoren für die Entstehung einer AML gelten unter anderem die Exposition gegenüber ionisierender Strahlung, eine langjährige Benzolbelastung, die Anwendung von Zytostatika sowie genetische, chromosomale Aberrationen [Löwenstein et al., 1999; Fauci et al., 2008]. Bei unserer Patientin konnte keiner dieser Faktoren eruiert werden.
Das klinische Erscheinungsbild ist in erster Linie geprägt durch die Folgen der Verdrängung der physiologischen Hämatopoese durch die Blasten. Dies führt zu Anämie, Thrombopenie und Neutropenie, sowie zu den damit einhergehenden Symptomen Blässe, Müdigkeit, Blutungsneigung und erhöhte Infektanfälligkeit. Darüber hinaus treten unspezifische Zeichen wie Lymphknotenschwellung (30 Prozent), Spleno- und Hepatomegalie auf [Herold, 2007].
Eine intraorale Manifestation findet sich in etwa 60 Prozent der Fälle einer AML. Dabei werden Erytheme, petechiale Hämorrhagien und vor allem aphtöse Ulzera an Schleimhaut und Gingiva auffällig [Meyer et al, 2000]. In etwa 20 Prozent der Fälle einer AML kommt es wie bei unserer Patientin zu einer Gingivahyperplasie mit einer Blutungsneigung und nekrotischem Zerfall der Papillen. Beim hier vorliegenden Sub-typ der akuten monozytären Leukämie (M5) wird eine Gingivahyperplasie sogar in zwei von drei Fällen beobachtet [Demirer et al., 2007]. In jedem fünften Fall stellen Beschwerden im Bereich der Mundhöhle das Erstsymptom einer akuten Leukämie dar [Petrasch, 1998]. Histologisch handelt es sich bei der Gingivahyperplasie um Infiltrate von unreifen Blasten, wobei das vermehrte Auftreten von Monozyten die im Fall vorliegende AML vom M5-Typ kennzeichnet. Als intraorale Komplikation der Leukämie finden sich häufig Candidosen oder Herpesinfektionen [Neville et al., 2009].
Differentialdiagnostisch ist bei einer Gingivahyperplasie neben einer entzündlichen oder malignen Ursache auch an eine medikamenteninduzierte Zahnfleischschwellung etwa durch die Einnahme von Hydantoin-Präparaten, Cyclosporin oder Calciumantagonisten zu denken. Im Rahmen einer Schwangerschaft kann es ebenfalls zu Zahnfleischschwellungen kommen. Ferner können systemische Erkrankungen wie HIV, Morbus Crohn oder eine Sarkoidose zu ähnlichen Gingivaveränderungen führen [Lautenschlager et al., 2005].
Bei Verdacht auf eine systemische Ursache oder bei Malignitätsverdacht sollten in jedem Fall eine serologische Untersuchung mit Differentialblutbild und eine Probebiopsie zur histopathologischen Diagnostik durchgeführt werden.
Zur Diagnosesicherung einer Leukämie wird neben Serologie und Histologie einer Gewebeprobe eine Knochenmarksbiopsie durchgeführt. Immunhistochemische, zytogenetische und molekulare Zusatzuntersuchungen helfen, die Leukämie entsprechend der bestehenden Klassifikations-systeme zu typisieren, was für die nachfolgende Therapie von entscheidender Bedeutung ist [Fauci et al., 2008].
Die Therapie der AML umfasst zum einen die symptomatische Therapie mit Antibiotikagabe, die Substitution von Erythrozyten und Thrombozyten sowie die Infektprophylaxe. Den zweiten Baustein stellt die Chemotherapie zur Reduktion der blastären Zellen dar. Die Fünf-Jahres-Überlebensrate der AML liegt bei etwa 40 Prozent [Robak et al., 2009].
Dr. Judith FuchsDr. Dr. Martin GosauProf. Dr. Dr. T. E. ReichertKlinik und Poliklinik für Mund-, Kiefer- undGesichtschirurgieUniversität RegensburgFranz-Josef-Strauß-Allee 1193053 RegensburgMartin.gosau@klinik.uni-regensburg.de Dr. Elisabeth HuberInstitut für PathologieUniversität RegensburgFranz-Josef-Strauß-Allee 1193053 Regensburg
\n
Hämatologisches Differentialblutbild
Referenzbereich
Pat.-Werte
\n
Blasten
0 %
4 %
\n
Stabkernige
3-4 %
0 %
\n
Segmentkernige
50-70 %
18 %
\n
Eosinophile
2-4 %
0 %
\n
Basophile
0-1 %
0 %
\n
Lymphozyten
25-40 %
16 %
\n
Monozyten
2-6 %
62 %
\n
Erythroblasten
0 %
3 %
\n
Tabelle 1: Differentialblutbild am Aufnahmetag, auffällig ist der Monozytenanteil von 62 Prozent
\n
\n




