TED entscheidet
Anamnese
Die 48-jährige Patientin stellte sich am 14. Juli 2009 in der Praxis vor. Sie strebte eine prothetische Neuversorgung an, da sie immer wieder Probleme mit zervikaler Karies, rezidivierender Parodontitis, Rezessionen und nun lockeren Zähne habe. Sie vermutete, an einer Xerostomie zu leiden und beobachtete eine generalisierte Rötung der Gingiva seit der medikamentösen Begleittherapie einer Mastektomie nach Mama-CA im Jahr 2002.
Das Medikamentenregime gliedert sich wie folgt:
• Standardchemotherapie (drei Monate)
• Trastuzumab (Herceptin®, HERA-Studie, therapeutischer humanisierter monoklonaler Antikörper gegen den Wachstumsfaktorrezeptor HER2/neu) für zwei Jahre
• dann Letrozol (Femara®, Aromatasehemmer, blockieren die Umwandlung von Androgenen in Östrogene) zur Brustkrebs- Rezidivprophylaxe bis heute.
Des Weiteren leidet sie an einer Neurodermitis. Aus allgemeinmedizinischen Gründen will die Patientin jegliches gesundheitliche Risiko, das von Zähnen ausgeht, minimieren. Die Versorgung im Unterkiefer möchte sie, falls möglich, gerne erhalten, ihre ästhetischen Ansprüche sind hoch.
Befunde und Diagnosen
DieSpeichelfließratein Ruhe betrug 0,2 ml/min (Norm 0,3-0,4 ml/min), die stimulierte Speichelfließrate lag bei 0,22 ml/min und 1,1 ml/5min (Norm 2,0 ml/min) bei hoher Pufferkapazität. Damit ergab sich ein erhöhtes Kariesrisiko bei vorliegender Xerostomie.
Radiologischliegen folgende Diagnosen vor (Abbildung 1): Insuffiziente Wurzelfüllungen an 17, 18, 21, 26, Beherdung an 21, zervikale Karies an 11, 17, enge Wurzel- proximität an 17, 18 und ein tiefer intra- alveolärer Knochendefekt an 25, 26.
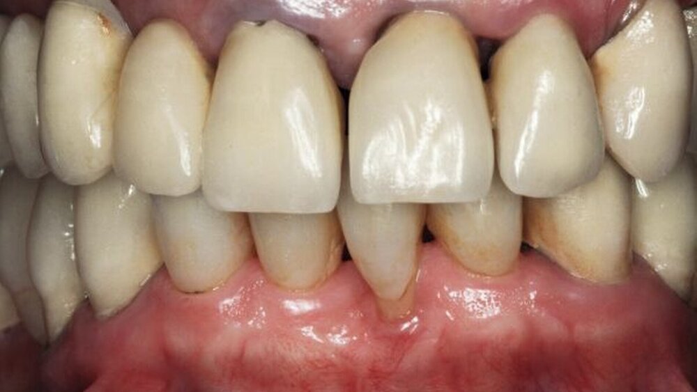
Derparodontale Befundist in Abbildung 2 grafisch dargestellt. Die klinischen Fotografien (Abbildungen 3 bis 5) zeigen den Zustand nach der ersten professionellen Zahnreinigung.
Damit ergibt sich die Fragestellung:Wie könnte eine unter allgemeinmedizinischen Kriterien sichere Versorgung aussehen, die den Vorstellungen der Patientin in Bezug auf Ästhetik und Komfort entspricht?
Dr. Markus SchleeBayreuther Str. 3991301 Forchheimanmeldung@32schoenezaehne.de




