Kavernöses Hämangiom im Kanal des Nervus alveolaris inferior
Eine 30-jährige Patientin stellte sich aufgrund eines persistierenden und intensiven Schmerzes im Bereich des Unterkiefers rechts in der Poliklinik für Mund-, Kiefer- und Gesichtschirurgie des Universitätsklinikums Regensburg vor. Bei Inspektion und Palpation der Mundhöhle war kein pathologischer Befund erkennbar. Der Vitalitätstest der Molaren war positiv und die Zähne waren nicht perkussionsempfindlich. Eine Hypästhesie im Bereich des Versorgungsgebiets des Nervus mentalis rechts wurde nicht angegeben.
In der Panoramaschichtaufnahme fiel eine lokalisierte, 9 mm große Aufweitung des Mandibularkanals im Bereich des Kieferwinkels auf (Abbildung 1). Die Lage dieser Raumforderung innerhalb des Nervkanals wurde durch eine Digitale Volumentomographie bestätigt; dabei gelang es auch, die räumliche Ausdehnung in allen Ebenen zu bestimmen.
Die bukkale Knochenlamelle erschien partiell aufgebraucht (Abbildungen 2a und 2b).
Die Patientin wurde in Intubationsnarkose operiert. Dabei wurde mittels einer Piezochirurgiesäge ein vestibulärer Knochendeckel präpariert und vorsichtig abgehoben. Ein livides, weiches Gewebe wurde excochleiert und vom Gefäß-Nervenbündel abpräpariert. Die gesamte Läsion wurde somit unter Erhaltung der Kontinuität des Nervus alveolaris inferior und seiner Begleitgefäße entfernt. Zum Abschluss der Operation wurde der Knochendeckel reponiert und mit einer Mikroschraube fixiert (Abbildung 3). Das Excochleat wurde zur histologischen Untersuchung eingeschickt.
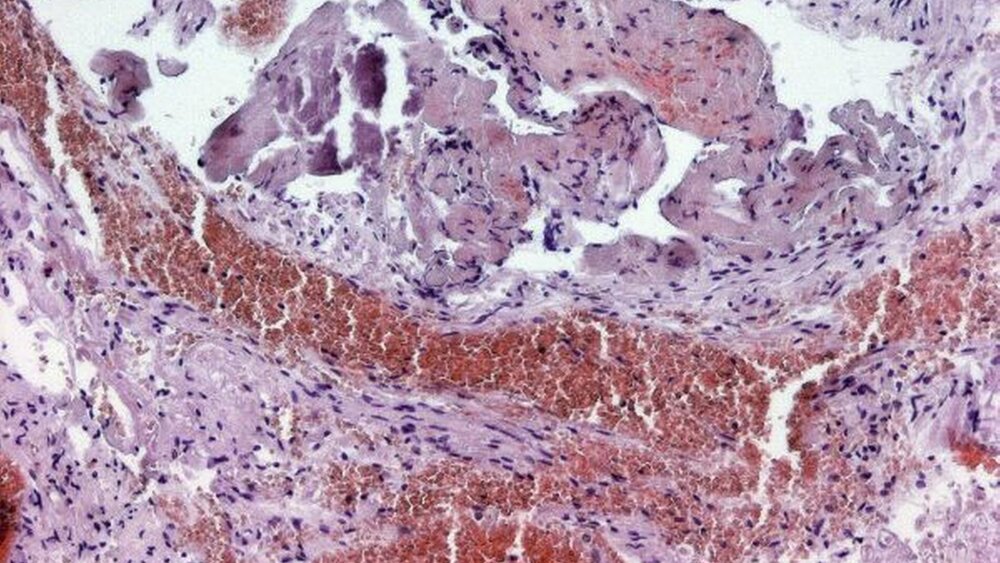
Das histologische Präparat zeigte in der van-Gieson-, in der CD34- und in der HE-Färbung (Abbildung 4) ein Bindegewebe mit zahlreichen, ektatischen Blutgefäßen. Die histopathologische Begutachtung ergab somit ein kavernöses Hämangiom.
Postoperativ empfand die Patientin nur noch eine leichte und passagere Hypästhesie des N. alveolaris inferior; der ursprüngliche, intensive Schmerz im Bereich des linken Unterkiefers ist seit der Operation nicht mehr aufgetreten.
Diskussion
Bei der vorliegenden Lokalisation kommen pathologische Prozesse der Nerven oder des Gefäßbündels in Frage. Unsere erste Verdachtsdiagnose der intraossären Läsion war ein Neurom des Nervus alveolaris inferior im Verlauf des knöchernen Kanals. Ein Neurom wird beispielsweise als eine Reaktion eines verletzten Nervs angesehen [Neville, 2009] wie etwa nach einer Zahnextraktion, nach einem Trauma oder als Komplikation einer Leitungsanästhesie. Im intraossären Verlauf wäre ein Trauma bezüglich des Nervs bei fehlenden anamnestischen Hinweisen allerdings relativ unwahrscheinlich.
Weitere Differentialdiagnosen sind Schwannom (Neurilemom), Neurofibrom und der maligne periphere Nervenscheidentumor:
Ein Schwannom ist insgesamt selten, tritt aber (zu 25 bis 48 Prozent ) im Kopf-Hals-Bereich auf und ist dort meistens im Bereich der Zunge und der posterioren Mandibula zu finden [Neville, 2009]. Dieser gutartige, gekapselte Tumor betrifft hauptsächlich junge Erwachsene. Bei der Neurofibromatose Typ II findet man multiple Tumoren im Bereich der ZNS und der Wirbelsäule. Fast immer tritt bilateral ein Akustikusneurinom auf [Colreavy, Lacy et al., 2000; Chi, Carey et al., 2003], so dass die Patienten an Tinnitus oder Hörverlust leiden.
Im Gegensatz dazu ist das Neurofibrom nicht gekapselt und hauptsächlich im Be reich der Haut als Weichgewebetumor anzutreffen. Im Mundbereich betrifft es häufiger die Zunge und die Wangenschleimhaut. Selten kann es im Knochen auftreten und dann als uni- oder multilokuläre Radioluzenz imponieren [Neville, 2009]. Patienten mit multiplen Neurofibromen leiden an Neurofibromatose Typ I (von-Recklinghausen- Syndrom), sofern noch weitere Kriterien zutreffen [Ferner, 2007; Neville, 2009].
Ein maligner peripherer Nervenscheidentumor ist ein bösartiger Tumor, der im Kopf- Hals-Bereich sehr selten anzutreffen ist (10 bis 15 Prozent aller Fälle). Im Unterkieferbereich kann er durch Aufweitung des Mandibularkanals auffällig werden [Neville, 2009].
Als wahrscheinlichere Differentialdiagnose käme neben einem Angiom auch eine aneurysmatische Knochenzyste in Frage. Die aneurysmatische Knochenzyste tritt häufiger im Unterkiefermolarenbereich auf und betrifft hauptsächlich junge Erwachsene bis zum Alter von 30 Jahren. Sie kann von Symptomen wie einer starken Auftreibung, einer Malokklusion und Wurzelresorptionen bei vitalen Zähnen begleitet werden [Jundt, 2005]. Bei der chirurgischen Therapie findet man üblicherweise blutgefüllte Hohlräume mit weichem Gewebe ohne Epithel.
Hämangiome sind häufig im Kopf- und im Halsbereich anzutreffen und dort treten sie hauptsächlich im Bereich von Haut und Schleimhäuten als Weichgewebetumoren auf. Sie werden in kapilläre, kavernöse und gemischte Hämangiome klassifiziert. Eine aktuellere Klassifikation unterscheidet auch oberflächliche, tiefliegende und gemischte Hämangiome [Ethunandan, Mellor, 2005; Neville, 2009]. Wenn ein Hämangiom sich im Knochen ausdehnt, spricht man von einem intraossären Hämangiom [Valentini et al., 2008]. Mulliken und Glowacki haben schon 1982 angedeutet, dass Hämangiome und vaskuläre Malformationen als zwei unterschiedliche Entitäten gelten [Mulliken JB, Glowacki J, 1982]. Hämangiome sind proliferierende Tumoren, sie wachsen durch endotheliale Hyperplasie und sie können je nach ihrer Art fortbestehen oder sich zurückentwickeln. Regressive Befunde sind häufig anzutreffen. Im Gegensatz dazu sind vaskuläre Malformationen Morphogenesedefekte, die kein proliferierendes Endothel aufweisen. Sie können in jedem Lebensalter angetroffen werden; eine spontane Rückbildung tritt bei vaskulären Malformationen nicht ein [Enjolras O., 2007; Neville, 2009].
Zlotogorski, Buchner et al. [2005] beschreiben zehn Fälle, in denen der Kanal des Nervus alveolaris inferior mit einem intraossären Hämangiom assoziiert wird.
Im vorliegenden Fall scheint das Hämangiom von Inhalt des Nervkanals auszugehen, so dass der Knochen nur zirkulär verdrängt wurde und somit bei enossaler Lage kein klassisches Knochenhämangiom vorliegt. Leider gibt es keine Voraufnahmen, so dass die Wachstumsdynamik nicht beurteilt werden kann.
Neben der Anamnese und den klinischen Befunden können Sonographie, Doppler- Sonographie, Magnetresonanztomographie und Computertomographie als zusätzliche diagnostische Methoden herangezogen werden, ein Hämangiom zu diagnostizieren [Enjolras, 2007]. Bei enossaler Lage entzieht sich der Befund leicht einer sonografischen Detektion.
Obwohl Hämangiome ein eingeschränktes Wachstumspotential aufweisen, können sie lokal zerstörend sein, wenn entscheidende anatomische Entitäten benachbart sind. Da eine chirurgische Entfernung von Hämangiomen eine gute Prognose zur Folge hat, ist sie – insbesondere bei kleinen Befunden – die am besten geeignete Therapiemethode.
Maria Eleni ProkopidiPriv. Doz. Dr. Dr. Ulrich WahlmannProf. Dr. Dr. Torsten E. ReichertKlinik und Poliklinik für Mund-,Kiefer- und GesichtschirurgieUniversität RegensburgFranz-Josef-Strauß-Allee 1193053 Regensbug
Dr. Corinna VogelInstitut für PathologieUniversität RegensburgFranz-Josef-Strauß-Allee 1193053 Regensbug




