Intraossäres Hämangiom des Unterkiefers
Ein 21-jähriger Patient stellte sich wegen einer im Rahmen einer klinisch-radiologischen Routinekontrolle diagnostizierten zystischen Veränderung im Bereich des rechten Unterkiefers in unserer Abteilung für Mund-, Kiefer- und Gesichtschirurgie vor (Abbildung 1).
Bei der intraoralen und extraoralen klinischen Untersuchung war kein pathologischer Befund zu erkennen. Die Zähne des vierten Quadranten reagierten im Vitalitätstest positiv und im Perkussionstest negativ. Eine Sensibilitätsstörung im Bereich des Versorgungsgebiets des Nervus alveolaris inferior rechts lag nicht vor.
Im Orthopantomogramm zeigte sich eine radioluzente, scharf begrenzte, unilokuläre zystische Raumforderung im Bereich der Wurzelspitzen der Zähne 45 bis 46, die sich nach kaudal bis zur Basis des Unterkiefers ausdehnte.
In nasaler Intubationsnarkose erfolgte der Zugang über einen Zahnfleischrandschnitt und die Präparation des vestibulären Knochendeckels mittels einer Piezochirurgiesäge. Nach vorsichtigem Abheben des Knochendeckels fand sich ein blutreicher, im Randbereich bindegewebig imponierender Inhalt mit kleineren soliden Anteilen, der mittels Excochleation entfernt wurde (Abbildung 2). Der Nervus alveolaris inferior sowie die in die Läsion hineinragenden Wurzeln der Zähne 45 und 46 wurden geschont. Zur Blutstillung und Stabilisierung des intraossären Blutkoagels wurde Kollagen in die Knochenhöhle eingebracht. Der Knochendeckel wurde reponiert und mit einer Zugschraube refixiert (Abbildungen 3 und 4). Das entnommene Gewebe wurde zur histologischen Untersuchung eingeschickt.
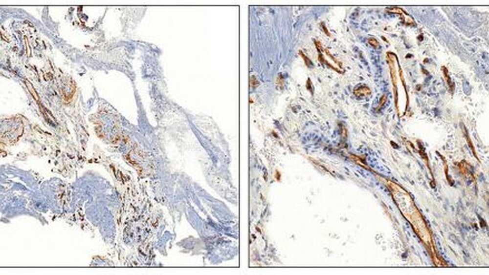
Die histologische Aufarbeitung des Präparats zeigte Fett- und Bindegewebe mit dem Nachweis von großlumigen, wandstarken Gefäßen, ausgekleidet durch regelhaftes zartes Endothel (Abbildung 5). Im Interstitium waren auch Siderophagen erkennbar. In der ergänzenden immunchistochemischen Färbung mit dem Endothelmarker CD34 konnten zahlreiche Gefäßgeflechte nachgewiesen werden (Abbildung 6). Somit ergab sich abschließend in der histopathologischen Begutachtung die Diagnose eines intraossären kavernösen Hämangioms mit regressiven Veränderungen.
Der postoperative Verlauf war komplikationslos. Eine Hypästhesie des Nervus alveolaris inferior rechts war nicht aufgetreten.
Diskussion
Intraossäre Hämangiome des Unterkiefers sind seltene pathologische Veränderungen wobei circa 70 Fälle in der Literatur beschrieben worden sind [Özdemir et al., 2002]. Die häufigste Lokalisation ist der Prämolaren- und Molarenbereich [Oliveira et al., 2008]. Das Geschlechtsverhältnis weiblich zu männlich liegt bei 2:1 mit einem Prädilektionsalter zwischen dem 10. und 20. Lebensjahr. Klinisch ist eine langsam zunehmende schmerzlose Schwellung typisch, die zu Lockerungen von Zähnen führen kann. Rezidivierende spontane Blutungen aus dem Parodontalspalt sowie Schmerzen und Parästhesien der Gingiva können ebenso auftreten. Ein asymptomatischer klinischer Verlauf ist häufig [Naikmasur et al., 2009] und auch in unserem Fall war die Läsion ein Zufallsbefund.
Rund 50 Prozent der intraossären Hämangiome imponieren multizystisch und beim Auftreten im Unterkiefer kommt es häufig zu charakteristischen osteolytischen Zonen mit einem röntgenologisch seifenblasenähnlichen oder bienenwabenartigen Erscheinungsbild. Wurzelspitzenresorptionen können auch beobachtet werden [Naikmasur et al., 2009]. Die Veränderungen im Röntgenbild sind in unserem aktuellen Fall nicht typisch für ein intraossäres Hämangiom und können zu klinischen Fehleinschätzungen seitens des Behandlers führen. Es sind mehr als zehn tödliche Verläufe in der Literatur beschrieben, bei denen es zu einer unstillbaren Blutung nach Zahnextraktion gekommen war [Bunel, Sindet-Pedersen, 1993; Özdemir et al., 2002]. Falls eine spritzende Blutung aus der Alveole nach einer Zahnextraktion auftritt, kann die Reposition des Zahnes eine lebensrettende Sofortmaßnahme sein.
Histologisch besteht ein intraossäres Hämangiom typischerweise aus erweiterten, dickwandigen Blutgefäßen die mit roten Blutkörperchen angefüllt sind. Die Blutgefäße zeigen eine stark positive immunhistochemische Reaktion mit den Endothelmarkern CD31 und CD34. Hämangiome lassen sich in kavernöse, kapilläre und gemischte Formen untergliedern. Die überwiegende Zahl der intraossären Hämangiome sind der kavernösen Form zuzuordnen, für die erweiterte, großlumige Gefäße charakteristisch sind. Seltener ist die kapilläre Form, bestehend aus englumigen Kapillaren sowie die gemischte Form, die beide Komponenten aufweist. [Williams et al., 2002; Oliveira et al., 2008; Schwenzer, Ehrenfeld, 2011].
Die aktuelle Klassifikation der International Society for the Study of Vascular Anomalies (ISSVA) unterscheidet die Hämangiome von den vaskulären Malformationen. Hämangiome sind echte, gutartige endotheliale Tumoren und vaskuläre Malformationen werden als lokalisierte Defekte der Gefäßneubildung klassifiziert, die durch eine fehlerhafte vaskuläre Morphogenese verursacht werden und bereits bei der Geburt vorhanden sind [Enjolras et al., 2007]. Hämangiome können sich im Gegensatz zu den vaskulären Malformationen spontan zurückbilden, weswegen häufig regressive Befunde anzutreffen sind.
In die differentialdiagnostischen Überlegungen müssen im vorliegenden Fall odontogene Tumoren oder zystische Läsionen wie die aneurysmatische Knochenzyste, die einfache Knochenkavität, das Ameloblastom, das zentrale Riesenzellgranulom, das isolierte eosinophile Granulom, der keratozystische odontogene Tumor (KZOT) sowie eine radikuläre Zyste eingeschlossen werden.
Eine radikuläre Zyste ist immer mit kariösen, avitalen oder endodontisch behandelten Zähnen ursächlich verbunden. Die aneurysmatische Knochenzyste zeigt sich röntgenologisch in der Regel mit einer scharfen Kontur. Dagegen imponiert ein zentrales Riesenzellgranulom meist als eine unscharf begrenzte, meistens polyzystische Aufhellung [Horch, 2007]. Ein Ameloblastom präsentiert sich radiologisch mit uni- oder multizystischen scharf begrenzten Osteolysezonen, wobei auch hierbei bevorzugt der Unterkiefer betroffen ist. Auf konventionellen Röntgenbildern ist die Abgrenzung gegen einen KZOT oder andere osteolytische Prozesse sehr schwierig. Im Fall des intraossären Hämangioms ist mittels konventioneller Röntgenaufnahmen sowie auch mittels Computertomographie eine differentialdiagnostische Unterscheidung nur bei Auftreten der typischen strahlenförmig angeordneten Knochenbälkchen im Zentrum der Läsion im Unterkiefer möglich [Oliveira et al., 2008; Schwenzer, Ehrenfeld, 2011].
Beim eigenen Patienten wurde die Läsion entsprechend der Verdachtsdiagnose einer aneurysmatischen Knochenzyste operiert. Bei Hinweisen auf ein Hämangiom oder eine vaskuläre Malformation kann präoperativ eine zusätzliche Gefäßdarstellung durchgeführt werden [Bunel, Sindet-Pedersen, 1993; Perugini et al., 2004]. Die Literatur zu den tödlichen Fällen bei Hämangiomen im Kieferbereich beruht auf einer Arbeit von Lamberg und Mitarbeitern aus dem Jahre 1979 [Lamberg et al., 1979]. Hierzu ist anzumerken, dass sich die aktuelle Klassifikation der ISSVA grundlegend gegenüber früheren Einteilungen unterscheidet [Mulliken, 1982; Enjolras, 2007]. So ist davon auszugehen, dass in früheren Arbeiten vaskuläre Malformationen, die insbesondere als ’’high-flow’’-Läsionen intraoperativ beträchtlich bluten können, den Hämangiomen, die dagegen eher als „low-flow“- Läsionen zu betrachten sind, zugeordnet wurden. Hämangiome zeigen in der Regel eine langsame, spontane Involution. Dies wurde auch im eigenen Falle histologisch nachgewiesen und erklärt die geringe intraoperative Blutung. In vielen Fällen intraossärer Hämangiome können intraoperative Blutungen durch lokale Maßnahmen kontrolliert werden [Perugini et al., 2004].
Die konventionelle Röntgendiagnostik mittels Orthopantomogramm kann durch weitergehende bildgebende Untersuchungen ergänzt werden, unter anderem Magnetresonanztomographie oder Computertomographie. Bei Verdacht auf eine ausgedehnte Gefäßmalformation oder ein ausgedehntes Hämangiom ist eine Angiographie empfehlenswert.
Die Therapie der Wahl bei kleinen Hämangiomen ist die chirurgische Entfernung. Bei größeren Befunden ist eine interdisziplinäre Behandlung zusammen mit den Kollegen der interventionellen Radiologie zu empfehlen, um gegebenenfalls mittels Embolisationsverfahren eine Größenreduktion anzustreben und um das intraoperative Blutungsrisiko zu reduzieren [Perugini et al., 2004].
Dimitrios PapavasileiouPriv.-Doz. Dr. Dr. Martin GosauProf. Dr. Dr. Torsten E. ReichertKlinik und Poliklinik für Mund-, Kiefer- undGesichtschirurgieUniversität RegensburgFranz-Josef-Strauß-Allee 1193053 Regensburg
Katharina ZeitlerInstitut für PathologieUniversität RegensburgFranz-Josef-Strauß-Allee 1193053 Regensbug




