Drei Therapiestrategien bei Retention und Verlagerung
Generell sind bei retinierten Zähnen das Entfernen von Durchbruchshindernissen sowie die Platzbeschaffung die Therapie der Wahl. In vielen Fällen ist jedoch eine kieferorthopädische Therapie notwenig, um den retinierten Zahn zu elongieren und korrekt in den Zahnbogen einzustellen. Die folgenden drei Fallberichte beschreiben individuelle Therapiekonzepte der kieferorthopädischen Behandlung.
Fallbeispiel 1
Palatinale Verlagerung eines Eckzahns im linken Oberkiefer
Eine 21-jährige Patientin stellte sich in der Poliklinik für Kieferorthopädie des Universitätsklinikums Leipzig vor. Im Rahmen der operativen Entfernung der Weißheitszähne wurde ein Orthopantomogramm (OPG) (Abbildung 1) angefertigt. Bei Persistenz von 63 wurde im OPG die Verlagerung des Eckzahns im linken Oberkiefer festgestellt.
Familien- und Allgemeinanamnese waren unauffällig. Exraoral zeigten sich keine Besonderheiten. Intraoral fielen retroinkliniert stehende Frontzähne im Oberkiefer mit Distalrotationen von 12 und – vor allem – 22 auf. Weiterhin bestand eine dezente Mittellinienverschiebung um 1,5 mm nach links. In Regio 23 zeigte sich eine Lücke von sieben Millimetern. Der Unterkiefer war harmonisch geformt. Es existierte Regelverzahnung (Abbildungen 2a bis 2c).
Um die genaue Lageposition zum mittleren und zum seitlichen Incisivus zu bestimmen, wurde eine dreidimensionale Röntgenaufnahme (DVT, 3D Accuitomo, Morita Corp., Kyoto, Japan) der Region angefertigt (Abbildung 3). Dabei war zu erkennen, dass die Krone des Eckzahns palatinal der Wurzeln von 21 und 22 lokalisiert war. Es bestand kein Anhalt für eine Wurzelresorption beider Zähne.
Das kieferorthopädische Behandlungskonzept sah die orthodontische Elongation und Einstellung des retinierten Zahnes 23 vor.
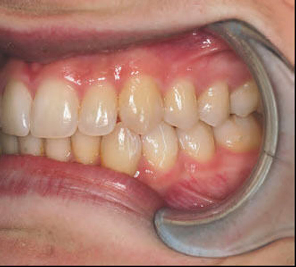
So wurde eine festsitzende Multibracketapparatur in beiden Kiefern eingegliedert. Zunächst wurde im Oberkiefer Platz für den Eckzahn geschaffen. Dies geschah durch Aufrichtung der steil stehenden Frontzähne, Derotation der gedrehten Zähne und Korrektur der Mittellinienabweichung. Anschließend wurde die Krone von 23 von palatinal chirurgisch freigelegt (offene Methode). Im weiteren Verlauf der Behandlung wurde der Zahn 23 in den Zahnbogen eingeordnet und konnte nach knapp 18 Monaten zur Feineinstellung in die festsitzende Apparatur einbezogen werden (Abbildungen 4a bis 4c, Abbildung 5).
Nach einer Behandlungszeit von 26 Monaten war ein befriedigendes Resultat erzielt. Beide Zahnbögen waren harmonisch. Der Zahn 23 konnte mit harmonischer Randgestaltung und einem breiten Band an befestigter Gingiva in den Zahnbogen integriert werden. Die vertikale Position hätte noch etwas optimiert werden können. Es folgte die Eingliederung von herausnehmbaren Plattenapparaturen zur Retention (Abbildungen 6a bis 6d).
Fallbeispiel 2
Verlagerung eines mittleren und eines seitlichen Schneidezahns im Oberkiefer
Ein siebenjähriger Junge erschien mit seinen Eltern in der Poliklinik für Kieferorthopädie des Universitätsklinikums Leipzig mit Überweisung vom Hauszahnarzt. Dieser bat um Abklärung hinsichtlich einer vermuteten Retention der Schneidezähne im rechten Oberkiefer. In der Familienanamnese bestanden keine Besonderheiten. Nach Angaben der Eltern lag eine positive Allergieanamnese (Gräser, Roggen) vor. Der Junge war Mundatmer und litt an Asthma bronchiale. Der Durchbruch der bleibenden Schneidezähne begann bereits vor dem sechsten Lebensjahr. Bei der klinischen Untersuchung fiel im kariesfreien Wechselgebiss der ersten Phase die Persistenz des Zahnes 51 auf. Die Zähne 21, 31, 41 waren fast vollständig durchgebrochen. Die seitlichen Schneidezähne des Unterkiefers befanden sich noch im Durchbruch. Die Zahnbögen waren harmonisch geformt. Lediglich im Unterkiefer zeigte sich ein leichter anteriorer Engstand. Es bestand Regelverzahnung (Abbildung 7a).
Im Orthopantomogramm des Hauszahnarztes (Mai 2006) konnte eine Durchbruchsstörung in der Frontzahnregion des rechten Oberkiefers vermutet werden (Abbildung 7b). Zur genauen Abklärung wurde ein DVT (3D Accuitomo, Morita Corp., Kyoto, Japan) der Region angefertigt (Abbildung 8). Dabei wurde in Regio 12 eine zusätzliche Zahnanlage diagnostiziert, die zwischen den retinierten Zähnen 11 und 12 lokalisiert war. Zahn 11 war nach labial verlagert und Zahn 12 befand sich palatinal der Doppelanlage 12. Der Patient wurde nach Diagnosestellung zum Fachzahnarzt für Oralchirurgie zur Entfernung der Doppelanlage überwiesen. Da die Wurzeln von 11 und 12 zu etwa einem Drittel ausgebildet waren, sollte zunächst der weitere Durchbruch abgewartet werden.
15 Monate nach Entfernung dieser zusätzlichen Zahnanlage war der inzwischen acht Jahre alte Patient erneut in unserer Abteilung vorstellig. Er stand am Ende der ersten Wechselgebissphase. Alle Sechs-Jahr-Molaren sowie die Zähne 21, 22, 32 bis 42 waren vollständig durchgebrochen. Der Zahn 52 persistierte bei fehlendem Durchbruch der Zähne 11 und 12. 11 konnte hochlabial unter der Schleimhaut getastet werden (Abbildung 9).
Erneut wurde ein dreidimensionales Röntgenbild (3D Accuitomo, Morita Corp., Kyoto, Japan) der betreffenden Region erstellt, um mögliche Ursachen des seit über einem Jahr ausbleibenden Durchbruchs abzuklären (Abbildungen 10a und 10b). Die Wurzeln beider Zähne wiesen ein noch offenes apikales Foramen auf und waren zu zwei Dritteln entwickelt. Der Periodontalspalt war vollständig nachvollziehbar. Es war kein Anhalt für eine Ankylose oder sonstige Durchbruchsbehinderung ersichtlich. Lediglich eine relativ enge Lagebeziehung beider Schneidezähne und ein daraus resultierender Platzmangel konnten als Ursache der Retention angenommen werden. 11 war hochlabial verlagert. 12 befand sich palatinal. Die Eltern wurden hinsichtlich einer kieferorthopädischen Frühbehandlung zur Elongation und Einordnung der beiden Schneidezähne aufgeklärt. In einem zweiten chirurgischen Eingriff wurden die Zähne 11 und 12 anluxiert, mit einem Attachment versorgt und anschließend mithilfe einer orthodontischen festsitzenden Teilapparatur (TPA mit Powerarm) extrudiert. Nach etwa einem halben Jahr waren bereits die Incisalkanten beider Schneidezähne zu sehen.
Da 11 und 12 die Tendenz zur Kreuzverzahnung aufwiesen (Abbildungen 11a und 11b),
wurde eine festsitzende MB-Teilapparatur (Brackets auf 12 bis 22, Bänder 16, 26, Utility Arch und Huckepackbogen aus .012 NiTi) eingegliedert, um die Achsenstellung zu verbessern (Abbildung 12).
Nach knapp 18 Monaten waren beide Zähne vollständig elongiert und befanden sich in nahezu korrekter sagittaler und vertikaler Position. Eltern und Patient wurden auf die notwendige Wiederaufnahme der orthodontischen Behandlung mit einer Multibracketapparatur nach Abschluss der späten Wechselgebissphase aufgrund des Engstands hingewiesen (Abbildungen 13a bis 13c).
Fallbeispiel 3
Retention und Verlagerung eines unteren Eckzahns
Eine elfjährige Patientin stellte sich in unserer Sprechstunde vor. Extraoral zeigten sich keine Auffälligkeiten. Die intraorale Untersuchung im späten Wechselgebiss ergab eine ausgeprägte Protrusion und einen distalen Kronentip von 12, eine dentale Mittellinienabweichung im Unterkiefer nach links sowie den Außenstand von 43 bei Persistenz von 73. Der Oberkiefer war im anterioren Bereich minimal komprimiert. Zusätzlich bestand ein frontaler Engstand. Der anterior schmale Unterkiefer wies ebenfalls einen Engstand in der Front mit Distalrotation 32 und Außenstand 43 auf. In beiden Kiefern konnte ein Platzproblem in den Stützzonen festgestellt werden (Abbildungen 14a bis 14c).
Im Orthopantomogramm (Abbildung 14d) vom Hauszahnarzt waren alle permanenten Zähne angelegt. Die Anlage von 38 und 48 war nachweisbar. Im Oberkiefer waren beide Stützzonen noch erhalten. Es zeigte sich weiterhin die dentale Mittellinienverschiebung im UK nach links bei dystoper Lage von Zahn 33 zwischen 32 und 31 (Transposition). Um die genaue Lageposition von seitlichem Schneidezahn und Eckzahn im Unterkiefer abzuklären, wurde auch hier ein DVT (3D Accuitomo, Morita Corp., Kyoto, Japan) der Region angefertigt (Abbildung 15). Dabei war zu erkennen, dass die Krone von 33 mesiovestibulär zur Wurzel von 32 lag, diese aber nicht berührte. Es konnten keine Anzeichen einer Wurzelresorption gesehen werden.
Das Hauptziel der Behandlung bestand in der kieferorthopädischen Elongation vom unteren Eckzahn. Dabei sollte die Transposition vor allem aus funktionellen und ästhetischen Gesichtspunkten aufgelöst werden und 33 an seine korrekte Position im Zahnbogen eingeordnet werden. Des Weiteren sollten beide Kiefer transversal nachentwickelt und die frontalen Engstände aufgelöst werden. Nach der chirurgischen Freilegung von 33 und dem Aufbringen eines Attachments (offene Methode) wurde zunächst eine Bukkalplatte eingesetzt (Abbildung 16a), um den Eckzahn nach vestibulär vom seitlichen Schneidezahn wegzubewegen. Die Ausformung des OK-Zahnbogens erfolgte mit einer herausnehmbaren Plattenapparatur. Nach dem Zahnwechsel im Unterkiefer wurden eine festsitzende Multibracketapparatur (0.022 SWA) sowie ein Lingualbogen als Verankerungsblock eingegliedert. Ein Teilbogen (Abbildung 16b) diente zur Extrusion und Distalisation von 43 (TMA-Hebel-Mechanik). Vierzehn Monate nach Therapiebeginn war Zahn 33 deutlich elongiert (Abbildungen 17a bis 17d).
Anschließend wurde auch im Oberkiefer eine Multibracketapparatur eingesetzt. Zahn 33 wurde weiterhin mithilfe eines superelastischen Overlaybogens (.012 NiTi) nach distal bewegt und in die korrekte Position gebracht. Beide Zahnbögen wurden aus-geformt, die Engstände aufgelöst und die Eckzähne eingestellt (Abbildungen 18a bis 18f). Im OPG (Abbildung 19) ist der Zahn 23 regelrecht eingeordnet.
Nach dem Debonding (28 Monate nach Therapiebeginn) zeigte das Ergebnis eine gute vertikale Position, eine harmonische Randgestaltung und ein breites Band an befestigter Gingiva. Herausnehmbare Plattenapparaturen zur Retention konnten nun eingegliedert werden (Abbildungen 20a und 20b).
Die Einordnung von verlagerten Zähnen ist ein wichtiger Bereich der kieferorthopädischen Therapie. Meistens ist eine interdisziplinäre Zusammenarbeit vor allem von Mund-Kiefer-Gesichtschirurg beziehungsweise Oralchirurg und Kieferorthopäden erforderlich, bei der erfahrungsgemäß die besten Resultate erzielt werden.
Ein Zahn gilt als impaktiert, wenn er wesentlich länger (mehr als ein Jahr) über den normalen Durchbruchszeitraum im Kiefer verharrt. Nach Untersuchungen von Grøn [Grøn, 1962] bricht ein Zahn normalerweise durch, wenn etwa zwei Drittel seiner Wurzel entwickelt sind.
Besonders häufig sind – nach den Weisheitszähnen – die Oberkiefereckzähne retiniert. Die Inzidenz innerhalb der Bevölkerung liegt bei zwei bis drei Prozent [Dachi, 1961; Harzer, 1994; Sinha, 1999; Thilander, 1968 und 1973]. Schneidezähne im Oberkiefer sind mit einem Prozent [Bartolo, 2010; Crean et al., 2000], Prämolaren und Eckzähne im Unterkiefer mit 0,35 Prozent weitaus seltener betroffen.
Die Gründe für die Retention einzelner Zähne können sehr unterschiedlich sein. Zum einen führt beispielsweise ein verfrühter Verlust von Milchzähnen nicht selten zu einem ausgeprägten Platzmangel für den durchbrechenden Zahn. Eine Disproportion von Zahn- und Kiefergröße oder eine abnorme Position des Zahnkeims können ebenfalls eine Zahnretention bedingen. Zum anderen spielen Durchbruchshindernisse wie überzählige Zahnanlagen (Mesiodentes, zusätzliche Schneidezähne, die meist unilateral lokalisiert sind [Gündüz et al., 2008; Roberts et al., 2005; Zilbermann et al., 1992]) oder andere verdrängende Prozesse (Zysten, Odontome) aber auch Formanomalien, Ankylosen und eine genetische Disposition eine wesentliche Rolle. Im Zusammenhang mit Lippen-Kiefer-Gaumen-Spalten wird die Impaktion wesentlich häufiger beobachtet. Auch bei der Dysostosis cleidocranialis bestehen multiple überzählige Zahnanlagen, die meist retiniert sind [Bjerklin et al., 2006; Cooke et al., 2006; Ericson und Kurol, 1987].
Grundsätzlich erfordert die Diagnostik von retinierten Zähnen eine vollständige klinische Untersuchung mit Sichtkontrolle und Palpation sowie unterstützend eine röntgenologische Befundung (Orthopantomogramm, exzentrische Zahnfilme, Aufbiss-Aufnahme). In Einzelfällen kann die genaue Lage des Zahnes mithilfe eines CT-Bildes dargestellt werden. Dabei sollte ein ausgewogenes Kosten-Nutzen-Verhältnis berücksichtigt werden. Der Vorteil von CT-Aufnahmen ist, Ankylosen oder mögliche Wurzelresorptionen an Nachbarzähnen zu erkennen und damit die Indikation zur Entfernung oder zum Belassen des Zahnes zu erleichtern [Becker, 2000; Maverna, 2007; Watted, 2004].
Beim therapeutischen Vorgehen reicht es in vielen Fällen aus, zunächst das Durchbruchshindernis zu entfernen oder den benötigten Platz zum Beispiel durch Milchzahnextraktion zu schaffen, um einen spontanen Durchbruch des retinierten Zahnes zu erreichen [Ericson, 1988]. Zeit und Ausmaß des Eingriffs werden dabei durch den Grad der Zahnentwicklung bei Diagnosestellung bestimmt. Bei einem sehr jungen Patienten sollte nur die pathologische Struktur entfernt werden, die Freilegung des Zahnfollikels des noch nicht vollständig entwickelten Zahnes (unter zwei Drittel der zu erwartenden Wurzellänge) ist kontraindiziert. Die indizierte Entfernung eines ätiologischen Faktors muss nicht zwangsläufig zu einer Verbesserung der Zahnkeimposition führen [Ashkenaz, 2007;
Mason et al., 2000; Patchett, 2001]. In vielen Fällen sind eine chirurgische Freilegung des Zahnes, das Aufbringen eines Attachments sowie die anschließende orthodontische Elongation und kieferorthopädische Feineinstellung die Therapie der Wahl, da sich der retinierte Zahn ohne künstlich erzeugte Kräfte oft nicht selbstständig in den Zahnbogen einordnen wird [Becker, 1998]. Zudem besteht beim Verbleib der Zähne die Gefahr der Wurzelschädigung benachbarter Zähne [D´Amico, 2003; Ericson, 1987; Nute, 2004]. Vor allem bei bereits abgeschlossenem Wurzelwachstum entscheidet man sich meist gleich für dieses Vorgehen.
Über die chirurgische Freilegung und deren Variationsmöglichkeiten berichten zahlreiche Autoren [Becker, 2002; Boyd, 1984; Crescini, 1994; Kokich, 1993 u. 2004; Vermette, 1995]. Das kieferorthopädische Vorgehen zur Einordnung dieser Zähne beinhaltet das Ausüben einer Zugkraft auf den Zahn in Richtung Zahnbogen. Hierzu sind festsitzende Apparaturen geeignet, da sie die exakte Kontrolle der applizierten Kräfte auf den Zahn besser ermöglichen. Die Zugkräfte zur aktiven Einordnung werden mit 3 N bis 6 N angegeben [Watted, 2004]. Die Zugapplikation kann beispielweise über einen festsitzenden Teilbogen (TMA-Hebel-Mechaniken von bukkal und palatinal) [Fischer, 2000] oder einen Lingualbogen mit aufgelöteten Häkchen [Sinha, 1999] erfolgen. Eine weitere Apparatur ist die von Jacoby beschriebene „Ballista spring“ [Jacoby, 1979]. Eine Kombination aus festem
Vollbogen und einem zusätzlichen superelastischem Rundbogen (Overlaybogen) bringt den verlagerten Zahn sehr schonend in die gewünschte Position [Manhartsberger et al., 1992; Manhartsberger, 1994]. Auch die Insertion eines Mikroimplantats zum Beispiel bei einer Verlagerung im Unterkiefer zur Verankerung und Anwendung von Elastiks [Park et al., 2004] ist möglich.
Wichtig für den Erfolg und das ästhetische Resultat ist – neben einem umsichtigen chirurgischen Vorgehen bei der Entfernung des Durchbruchshindernisses, der Freilegung des verlagerten Zahnes und der richtigen Applikation des Attachments – die schonende und gezielte Applikation der orthodontischen Kräfte auf den zu elongierenden Zahn. Die drei Fallbeispiele zeigen, dass bei gezieltem kieferchirurgischen Vorgehen und unter Anwendung innovativer orthodontischer Behandlungssysteme Ergebnisse erreicht werden können, die meist keinen Unterschied zu spontan durchgebrochenen Zähnen erkennen lassen.
Dr. Juliane DürwaldProf. Dr. Karl-Heinz DannhauerUniversität LeipzigFriedrich-Louis-Hesse-Zentrum für Zahn-,Mund- und KieferheilkundePoliklinik für Kieferorthopädie und KinderzahnheilkundeNürnberger Str. 5704103 Leipzigjuliane.duerwald@medizin.uni-leipzig.de
Ulrich BörngenFachzahnarzt für KieferorthopädieKieferorthopädische Praxis Ulrich BörngenMarienbrunnenstr. 404299 Leipzigkontakt@kfo-boerngen.de




