Zentrale odontogene Fibrome
Annette Wunsch, Tobias Vollkommer, Martin Gosau, Torsten E. Reichert
Ein siebenjähriges Mädchen war mit seiner Mutter zu der halbjährlichen, ab dem sechsten Lebensjahr empfohlenen Individualprophylaxe bei ihrem Hauszahnarzt vorstellig. Der niedergelassene Kollege bemerkte einen verzögerten Zahndurchbruch in Regio 46 sowie die Distallage des Zahnes 36. Hierauf fertigte er ein Orthopantomogramm an. Es zeigten sich zystische Läsionen im Bereich beider Kieferwinkel, die für die bereits klinisch festgestellte Durchbruchstörung des Zahnes 46 und für die distale Position des Zahnes 36 ursächlich schienen. Der noch nicht durchgebrochene Zahn 37 stellte sich nach distal anguliert dar. Der noch voll retinierte Zahn 46 war ebenfalls nach distal verlagert (Abbildung 1).
Das beschwerdefreie Mädchen wurde daraufhin in die Ambulanz unserer Klinik mit der Bitte um weitere Abklärung überwiesen. Die klinische Untersuchung zeigte einen unauffälligen extraoralen Befund. Neben den geschilderten radiologischen Befunden konnte auch die intraorale Inspektion keine weiteren Auffälligkeiten darstellen. Die Vitalitäts- und Perkussionstestung blieb in allen Quadranten unauffällig, die Schleimhautverhältnisse waren reizlos.
Die Panaromaschichtaufnahme zeigte im Bereich des linken Ramus ascendens zwei scharf umgrenzte Raumforderungen und eine weitere im Bereich des rechten Kieferwinkels. Zudem fielen die beschriebene Durchbruchstörung und die Distallage des Zahnes 46 und die ebenfalls distale Position des Zahnes 36 auf. Der Zahn 37 ist nach distal anguliert (Abbildung 1).
Zur weiteren Diagnostik und Klärung der dreidimensionalen Ausdehnung wurde ergänzend eine digitale Volumentomografie (DVT) angefertigt, auf der die scharf begrenzten, von einem Sklerosierungssaum umgebenden zystischen Prozesse im Bereich beider Kieferwinkel zu erkennen sind (Abbildung 2).
Um die Dignität der radiologisch aufgefallenen Raumforderungen zu klären, wurde deren operative Entfernung und histologische Untersuchung geplant.
In Intubationsnarkose erfolgten über eine marginale Schnittführung mit vestibulärer Entlastung die Darstellung der zystischen Läsionen und die beidseitige Zystektomie.
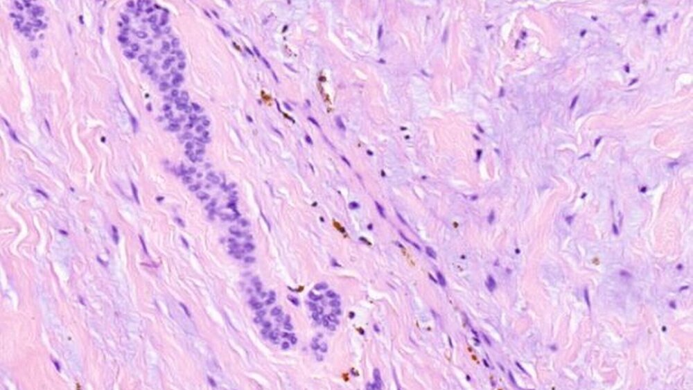
Das histologisch-anatomische Gutachten ergab die Diagnose odontogener Fibrome in der epithelarmen Variante. Im histologischen Bild imponierten spindelförmige Zellverbände, eingelagert einzelne osteoklastische Riesenzellen und vereinzelt kleine epitheliale Komplexe Malassez’sche Nester.
Bereits einen Tag postoperativ konnte die kleine Patientin mit reizlosen Wundverhältnissen aus der stationären Behandlung in die ambulante Nachsorge nach Hause entlassen werden. Weitere Termine zur klinischen Verlaufskontrolle und Überwachung des Zahndurchbruchs wurden vereinbart.
Diskussion
In der aktuellen WHO-Klassifikation odontogener Tumore wird das odontogene Fibrom als benigne mesenchymale Neoplasie beschrieben, die aus mesenchymalem Bindegewebe odontogenen Ursprungs hervorgeht [Pindborg et al., 1971; Barnes et al., 2005].
In Abhängigkeit von der Primärlokalisation unterscheidet man zentrale intraossäre und periphere extraossäre Tumore, wobei erstere die weitaus häufigeren sind.
Die odontogenen Fibrome nehmen insgesamt nur einen Anteil von etwa fünf Prozent aller odontogenen Tumore ein. Sie können in allen Altersgruppen auftreten, mit einem Häufigkeitsgipfel um das dritte und das vierte Lebensjahrzehnt [Barnes et al., 2005; Neville et al., 2009]. Das zentrale odontogene Fibrom zeigt eine Bevorzugung des weiblichen Geschlechts [Barnes et al., 2005; Neville et al., 2009], wohingegen die seltenere periphere Variante häufiger bei Männern vorkommt.
Die zentrale, intraossär gelegene Tumorvariante kann sowohl den Ober- als auch den Unterkiefer betreffen. Im Bereich der Maxilla ist zumeist die Frontzahnregion betroffen, im Fall der mandibulären Affektion eher der Prämolaren-respektive Molarenbereich [Allen et al., 1992; Pindborg et al., 1971].
Die aktuelle WHO-Klassifikation unterscheidet zwei histologische Typen des odontogenen Fibroms: eine epithelarme (simple type) und eine epithelreiche (complex type) Variante [Barnes et al, 2005]. Die epithelarme Variante ist eine relativ azelluläre Läsion mit feinem Kollagengeflecht und einem bedeutenden Anteil an Grundsubstanz mit fibromyxoidem Charakter [Barnes et al., 2005]. Dieser Typ kann Anteile inaktiven odontogenen Epithels enthalten, in seltenen Fällen finden sich Kalzifizierungen. Außerdem können dysplastisches Dentin, Zement- oder Knochenbildungen vorkommen [Barnes et al., 2005; Allen et al., 1992; Neville et al., 2009]. Die epithelreiche Variante besteht aus einem dichten zellulären Gewebeverbund. Häufig liegen Fibroblastenansammlungen und weniger zellreiche Areale dicht nebeneinander mit zahlreichen kleinen Blutgefäßen und Inseln versprengter odontogener Epithelzellen. Bei der epithelreichen Variante des odontogenen Fibroms fallen besonders die odontogenen Epithelzellen auf [Barnes et al., 2005; Neville et al., 2009].
Zusammenfassend findet sich beim odontogenen Fibrom – wie im vorliegenden Fall – mikroskopisch bindegewebiges Stroma und – nicht obligat – odontogene Epithelzellnester oder -stränge [Pindborg et al., 1971]. Sonderformen sind das odontogene Fibrom vom riesenzellig-granulomatösen Typ [Allen et al., 1992] und jenes vom Granulartyp [Shiro et al., 1989].
Ungewöhnlich und in der Literatur wohl erst einmal zuvor beschrieben, ist jedoch die multiple Lokalisation eines zentralen odontogenen Fibroms. In dem in der Literatur beschriebenen Fallbeispiel handelt es sich – ähnlich der beschriebenen Kasuistik – um einen aus allgemeinmedizinischer Sicht ebenfalls gesunden neunjährigen Jungen mit fehlender klinischer Symptomatik und Zufallsbefund in der Panoramaschichtaufnahme [Nicklander et al., 2011].
Die Therapie des odontogenen Fibroms zielt auf eine möglichst komplette chirurgische Entfernung des Tumors hin, die bei meist guter Begrenzung der Läsion in der Enukleation besteht. Rezidive werden nur selten beobachtet. Eine maligne Entartungstendenz ist nicht beschrieben [Handlers et al., 1991].
In der Bildgebung können bei odontogenen Fibromen durchaus variable Befunde erhoben werden. Zum einen können sie als scharf begrenzte zystische Osteolysen mit schmalem Sklerosierungssaum im Bereich von Krone oder Wurzel eines Zahnes imponieren; zum anderen sind aber auch multilokuläre Läsionen mit gemischt strahlendurchlässigen und strahlendichten Anteilen beschrieben [Kaffe et al., 1994].
Differenzialdiagnostisch muss bei den odontogenen Fibromen an andere odontogene Tumoren gedacht werden. Hier sei vor allen Dingen auf das aggressiver wachsende und mit höherer Rezidivneigung einhergehende Ameloblastom hingewiesen. Aber auch desmoplastische Fibrome, odontogene Zysten, odontogene Myxome und Riesenzellgranulome kommen als mögliche Differenzialdiagnosen in Betracht. Weiter sollte die Abgrenzung gegenüber einem hyperplastischen Zahnfollikel gelingen.
Die definitive Diagnose kann nur in der Zusammenschau von klinisch-radiologischem Befund und Histologie gestellt werden.
Dr. Annette Wunsch
Tobias Vollkommer
PD Dr. Dr. Martin Gosau
Prof. Dr. Dr. Torsten E. Reichert
Klinik und Poliklinik für Mund-, Kiefer- und GesichtschirurgieUniversität RegensburgFranz-Josef-Strauß-Allee 1193053 Regensburg
Fazit für die Praxis
• Beim odontogenen Fibrom handelt es sich um eine von Ektomesenchym abstammende, seltene, benigne fibroblastische Neoplasie.
• Das odontogene Fibrom kann in allen Altersgruppen vorkommen und ist häufiger intra- (zentral) als extraossär (peripher) lokalisiert.
• Differenzialdiagnostisch muss das odontogene Fibrom gegen einen harmlosen hyperplastischen Zahnfollikel, gegen odontogene Zysten und gegen verschiedene andere Neoplasien wie unter anderen das Ameloblastom, das desmoplastische Fibrom oder das odontogene Myxom abgegrenzt werden.
• Die Therapie der Wahl besteht in der kompletten Entfernung des Befunds und in regelmäßigen Nachsorge-Kontrollen, um – wenn auch selten vorkommende – Rezidive frühzeitig auszuschließen.




