Atherom der Wange
Ein 27-jähriger Patient wurde vom Hausarzt zur Abklärung einer Schwellung in der Wange links überwiesen (Abbildung 1). Er berichtete, dass die Schwellung seit circa einem Monat bestehe und seitdem an Größe zugenommen habe.
Der Patient befindet sich in einem guten Allgemeinzustand. Es liegen keine Allgemeinerkrankungen vor, die Medikamentenanamnese ist unauffällig. Intraoral präsentiert sich ein konservierend versorgtes Gebiss mit einem guten Mundhygienestatus.
Die Schwellung in der linken Wange zeigte eine oberflächliche Ausdehnung von circa drei mal zwei Zentimetern, die gut verschieblich, nicht druckdolent war und direkt unter der Haut lag. Das klinische Bild eines Talgdrüsenausführungsgangs konnte am Patienten nicht gesehen werden. Auf dem bereits alio loco angefertigten MRT konnte man eine zystische Struktur in 2,5 mal 1,5 Zentimeter Ausdehnung unterhalb der Subkutis, klar abgegrenzt vom umliegenden Gewebe und ohne Infiltration in die benachbarten Strukturen erkennen (Abbildung 2) [Schuchardt, 1984].
Das relativ schnelle Wachstum, die klare klinische Abgrenzbarkeit und die Bildgebung (vorhandenes MRT) führten zur Verdachtsdiagnose einer epidermalen Zyste, einem sogenannten Atherom, obwohl der für ein Atherom typische, und sonst deutlich sichtbare Talgdrüsenausführungsgang nicht zu finden war.
Die Raumforderung wurde in Intubationsnarkose in toto entfernt. Aufgrund der Lage direkt unterhalb der Subkutis erfolgte ein extraoraler Zugang. Nach der Präparation einer Hautspindel direkt unterhalb der Raumforderung im Verlauf der Hautspannungslinien, zeigte sich ein prall gefüllter Zystenbalg, weißlich durchschimmernd, der sich durch vorsichtiges Präparieren gut von dem umgebenden Gewebe lösen ließ (Abbildung 3). Nach der vollständigen Exstirpation zeigte die Raumforderung eine Größe von zwei mal einem Zentimeter (Abbildung 4). Zur histologischen Abklärung wurde der Tumor in der Pathologie untersucht. Anschließend erfolgte der Wundverschluss mit Einzelknopfnähten der Stärke 5-0 und mit Steristrips. Auf die Gabe eines Antibiotikums wurde postoperativ verzichtet.
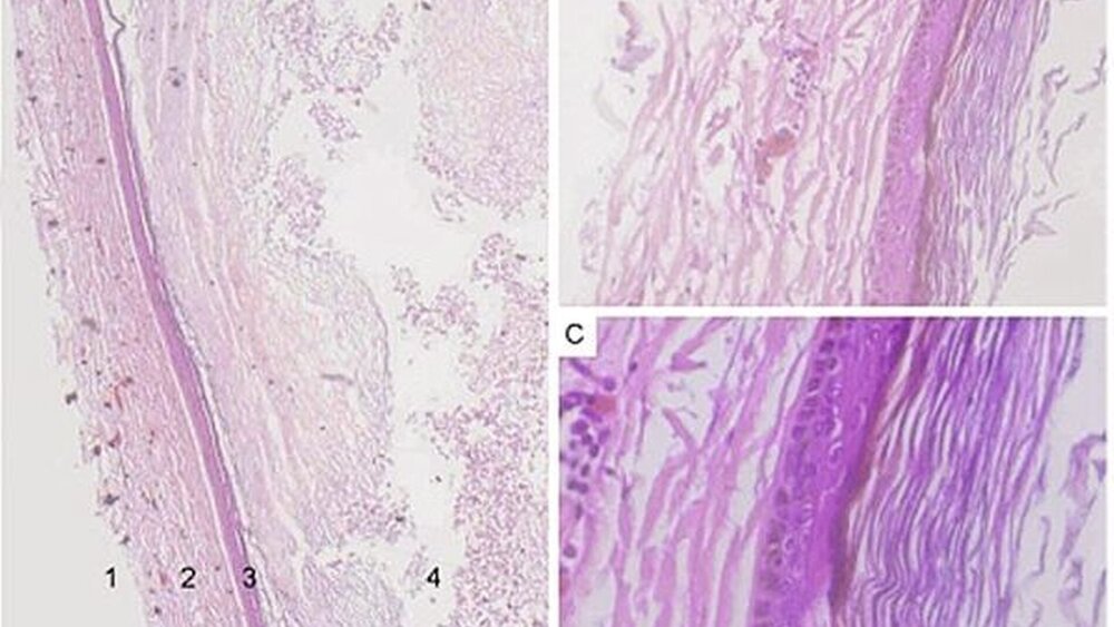
Das histopathologische Ergebnis ergab ein kugelig-monozystisches Gewebsstück. Die Oberfläche der dünnen Wand ist glatt und im Lumen liegt hellgrau-bröckeliges Material. Mikroskopisch zeigt sich der chirurgische Resektionsrand (Abbildung 5a, Schicht 1) an der fibrotischen Kapsel (Abbildung 5a, Schicht 2). Die schmale Plattenepithelauskleidung (Abbildung 5a, Schicht 3) bildet Keratinsubstanz, die im Lumen (Abbildung 5a, Schicht 4) degeneriert (Haematoxilin-Eosin/HE, ×25). Die fibrotische Kapsel besteht aus lockeren Kollagenfasern, wenigen Fibrozyten und vereinzelten kleinen Gefäßen und Kapillaren (HE, ×200) (Abbildung 5b). Das Epithel ist vier- bis sechsschichtig, zeigt eine kubische bis hochprismatische Basalzellschicht mit vereinzelter Pigmentierung, ein schmales Stratum spinosum, Stratum granulosum lucidum und ein breites Stratum corneum, dessen Hornlamellen luminal akkumulieren (Abbildung 5c). Zelluläre Atypien oder eine Infiltration der Basalmembran lassen sich nicht nachweisen. Die Mitoserate ist nicht erhöht (1 Mitose / 50 high power fields, das bedeutet, dass in einer 50-fachen Vergrößerung eine Mitose zu sehen ist). Viele Mitosen würden einen tumorösen Prozess beschreiben. Da hier nur von einer die Rede ist, handelt es sich um keinen malignen Prozess. Anzeichen für Malignität finden sich nicht (HE, ×400). Somit wurde die initiale Verdachtsdiagnose einer epidermalen Zyste bestätigt.
###more### ###title### Diskussion ###title### ###more###
Diskussion
Der Begriff Atherom (synonym Grützbeutel) ist die Bezeichnung für epidermale Zysten im Bereich der Haarfollikel mit unterschiedlicher Ätiologie und Histologie. Hierzu gehören die Epidermalzyste, die Trichilemmalzyste sowie das Steatokystom. Manche Lehrbücher verwenden Atherom ausschließlich für epidermale Zysten [Machtens, 1995], Trichi(o)lemmalzysten [Ito R, 2008; British Association of Dermatologists, 2010] beziehungsweise unterscheiden echte Atherome (Epidermoidzysten aus embryonal verstreuten und abgekapselten Epidermis- oder Drüsenzellen ohne Öffnung nach außen, am Capillitium) von falschen Atheromen (Talgretentionszysten durch Stauung von Haartalgdrüsensekret, an Gesicht, Brust, Rücken oder dem Skrotum) [Ito R, 2008].
Epidermale Zysten entstehen meistens traumatisch durch Versprengung von Plattenepithelien (aus der Epidermis oder dem Haarinfundibulum) in das subepitheliale Gewebe. Die häufigste Komplikation ist die Ruptur mit einer sekundären Fremdkörperreaktion gegen das Hornmaterial. Es kommt zur Ausheilung mit atypischer Vernarbung, falls die Zyste nicht chirurgisch entfernt wird [Herzog, 1995; Machtens, 1995; Schuchardt, 1984; Sterry, 2000; Yamamoto, 2001].
Epidermale Zysten machen etwa 70 Prozent aller benignen Hautzysten aus und werden meistens am unbehaarten Kopf (Gesicht und Hals, 45 Prozent) sowie auch am Stamm und am Fuß sowie an den Handflächen beobachtet. Männer sind häufiger betroffen als Frauen. Die Läsion tritt bevorzugt in der zweiten bis vierten Lebensdekade auf [British Association of Dermatologists, 2010; Elder DE, 2008]. Epidermale Zysten sind verschiebbare subkutane Knoten mit gummiartiger Konsistenz zwischen wenigen Millimetern bis zwei bis drei Zentimetern Größe.
Mikroskopisch zeigt sich eine Zyste oft mit orthokeratotisch verhornender, plattenepithelialer Auskleidung und mit reichlich eosinroten, geschichteten Hornlamellen im Lumen. Zusätzlich kennzeichnen das Atherom subepidermale Fibrosen und ausgedehnte granulozytäre Infiltrate mit mehrkernigen Riesenzellen (Fremdkörperreaktion nach Ruptur) [Ito R, 2005]. Der Zysteninhalt zeigt daraus resultierend Hornlamellen („Zwiebelschalen“) sowie Fetttropfen, Fettkristalle und epidermale Anteile.
Differenzialdiagnostisch kommen Dermoidzysten, Metastasen der Kopfschwarte, Furunkel, Karbunkel, tiefe Trichomykose, Zylindrome und Angiosarkome infrage.
###more### ###title### Therapie ###title### ###more###
Therapie
Die Exzision eines Atheroms ohne additive Infektion gestaltet sich relativ unkompliziert. Wichtig ist die Entfernung des Talgdrüsenausführungsgangs (stellt sich oftmals als schwarzer Punkt dar) sowie der Kapsel. Wird die Kapsel eröffnet oder ein Teil des Ausführungsgangs in der Haut belassen, ist ein Rezidiv des Atheroms so gut wie sicher. Gerade auf das vollständige Entfernen muss sehr genau geachtet werden, da dieses oftmals sehr schwierig ist, vor allem wenn die Kapsel bei der Entfernung verletzt wird.




