Bilaterale Okklusionszyste der Kieferhöhle
Peer W. Kämmerer, Christian Walter
Eine 68-jährige Patientin stellte sich mit chronischer Sinusitis der rechten Kieferhöhle bei Verdacht auf Vorliegen einer Mukozele zur weiteren Abklärung und Therapie vor. Klinisch lag eine dezente Schwellung infraorbital rechts (Abbildung 1) mit druck- dolentem Austrittspunkt des Nervus infra-orbitalis vor. Bis auf den nicht vitalen Zahn 28 waren alle im Oberkiefer befindlichen Zähne wurzelkanalbehandelt. In regio 15 und 16 waren zwei Implantate inseriert, die mit Brücke und einem anhängenden Freiendglied versorgt worden waren (Abbildung 2). Die bewegliche Schleimhaut von regio 15 bis 16 fiel bei der Inspektion durch deutliche Narbenstränge auf (Abbildung 3). Anamnestisch dazu passend gab die Pa-tientin an, im Alter von 13 Jahren eine beidseitige Kieferhöhlenoperation nach Caldwell-Luc bei einer damals bestehenden chronischen Nasennebenhöhlenentzündung erfahren zu haben. Die weitere Anamnese ergab eine Mastektomie bei Mammakarzinom vor 31 Jahren mit folgender Radiatio und mehrfachen Brustaugmentationen ohne Bisphosphonateinnahme. Vor einem halben Jahr hatte die Patientin ein künstliches Hüftgelenk erhalten.
Die zum Zeitpunkt der Erstvorstellung vorhandene Magnetresonanztomografie (MRT) sowie die Computertomografie (CT) zeigten eine zystische Raumforderung der rechten Kieferhöhle, die den Orbitaboden bereits angehoben hatte. Auf Nachfrage wurden Doppelbilder und Visusbeeinträchtigungen verneint. Auch in der kontralateralen Kieferhöhle befand sich eine zystische Struktur (Abbildung 4) mit ossären Defekten der nasalen Kieferhöhlenwände und des Orbitabodens (Abbildung 5). In Intubationsnarkose wurde paramarginal inzidiert und die Zysten wurden bei fehlender knöcherner Kie-ferhöhlenwand dargestellt (Abbildungen 6 und 7) und unter Schonung des Nervus infraorbitalis in toto entfernt, wobei sich aus einer Zyste trübe Flüssigkeit entleerte. Eine anschließende Sinuskopie zeigte, dass der Orbitaboden ausreichend stabil war und daher auf eine Rekonstruktion verzichtet werden konnte. Die mediale Begrenzung zur Nase fehlte nach der bekannten Voroperation. Eine postoperative augenärztliche Kontrolle blieb ohne Auffälligkeiten.
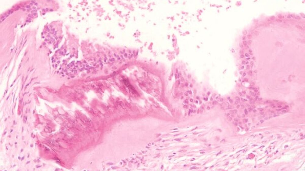
Die histopathologische Aufbereitung ergab in Zusammenschau mit Anamnese, Klinik und radiologischem Befund die Diagnose einer Okklusionszyste (Abbildungen 8a und 8b). Die dentale Rehabilitation bei unzureichend versorgtem Restgebiss wünschte die Patientin heimatnah durchführen zu lassen.
Diskussion
Bezüglich der nicht odontogenen Zysten im Bereich der Kieferhöhle gibt es keine einheitliche Terminologie, das heißt Begriffe wie Mukozele, Pseudozyste oder auch Retentionszyste werden sehr unterschiedlich definiert.
Eine Mukozele liegt vor, wenn durch einen Verschluss des Ostiums ein Sekretabfluss aus der Nasenneben- in die Nasenhaupthöhle nicht mehr möglich ist. Im Gegensatz hierzu entstehen Pseudozysten meist auf der Basis einer periapikalen Parodontitis und Retentionszysten aufgrund der Verlegung eines Schleimdrüsenausführungsgangs [Schwenzer and Ehrenfeld, 2011]. Okklusionszysten sind postoperativ ent- stehende Zysten. Vermutet wird, dass Okklusionszysten aus während dem Wundverschluss oder während der Wundheilung eingeschlossener Kieferhöhlenschleimhaut entstehen. Nach dieser Theorie proliferiert das sinonasale Epithel anschließend langsam und bildet die beschriebene Zyste. Eine zusätzliche Obstruktion des Ostiums des Sinus scheint ebenfalls eine Rolle zu spielen.
Die Okklusionszyste ist eine seltene, allerdings typische Spätkomplikationen opera-tiver Eingriffe am Sinus maxillaris, bei einer Latenzzeit von 20 bis 30 Jahren [Chindasombatjaroen et al., 2009].
Eine Operation, die häufiger zu dieser Komplikation führt, ist die Operation nach Caldwell-Luc (Caldwell beschrieb sie 1893, Luc 1897, beide unabhängig voneinander), bei der nach enoralem Zugang und Ausräumung der erkrankten Kieferhöhlenschleimhaut ein Teil der medialen Wand zur Nase hin sowie ein Teil der unteren Concha nasalis reseziert wird. Dadurch entsteht eine breite Drainage des Sinus maxillaris durch das Nasenloch. Die häufigste Indikation für diese Intervention war die chronische Sinusitis. Aufgrund verbesserter medikamentöser Therapieansätze sowie der Möglichkeit endoskopischer Eingriffe wird die Operation in ihrer Radikalität jedoch nicht mehr häufig durchgeführt [Matheny and Duncavage, 2003].
Klinische Zeichen einer Okklusionszyste können Schwellungen, Schmerzen und Missempfindungen sein. Selten kommt es zu Infektionen oder Verdrängungen des Bulbus oculi mit begleitender Diplopie [Kunkel and Reichert, 2003].
In der 3-D-Bildgebung zeigt sich typischerweise eine gut begrenzte uni- oder multiokuläre zystische Formation, die nicht selten Knochenperforationen verursacht [Chin- dasombatjaroen et al., 2009]. Die histolo- gischen Befunde sind meist unauffällig, so dass erst durch die Zusammenschau von Anamnese, Klinik, Radio- und Histologie eine entsprechende Diagnose gestellt wird.
Die Therapie besteht aus der – enoral oder transnasal – endoskopischen Enukleation oder der Marsupialisation.
Im vorliegenden Fall kam es sogar erst nach 55 Jahren bei Zustand nach einer Operation nach Caldwell-Luc zur Diagnose der Okklusionszyste. Das bilaterale Auftreten ist allerdings eine Rarität. Das Besondere an dieser Erkrankung ist, dass es eine neue Generation an Ärzten in der Regel mit einer Komplika- tion einer Operation zu tun bekommt, die sie selber nicht mehr aktiv kennengelernt haben.
Dr. Dr. Peer KämmererPD Dr. Dr. Christian WalterKlinik für Mund-, Kiefer- und Gesichtschirurgie – plastische OperationenUniversitätsmedizin der Johannes Gutenberg-Universität MainzAugustusplatz 255131 Mainzwalter@mkg.klinik.uni-mainz.de
Fazit für die Praxis
• Okklusionszysten entstehen Jahre bis Jahrzehnte nach einer Voroperation an den Kieferhöhlen.
• Symptome einer Okklusionszyste können Schwellungen, Sensibilitäts-störungen und bei ausgedehnten Zysten auch Doppelbildsehen sein.
• Die Anamnese und eine vestibuläre Vernarbung bei Zustand nach Voroperation können erste Hinweise geben.
• Therapie der Wahl ist die Enukleation oder die Marsupialisation.




