Basalzelladenom der Glandula parotidea
Maximilian Krüger, Andreas Kreft, Christian Walter
Eine 61-jährige Frau ohne Vorerkrankungen wurde mit einer langsam progredienten Schwellung im Bereich der linken Glandula parotidea vorstellig. Der Befund war ihr erstmals ein halbes Jahr zuvor aufgefallen, nachdem kurz zuvor Zahn 46 durch den Hauszahnarzt trepaniert worden war.
Mit Verdacht auf Lymphadenitis sei dann drei Monate danach ein frustraner Therapieversuch mit Antibiotika unternommen worden, so dass die Patientin schließlich in die Universitätsklinik überwiesen wurde.
In der klinischen Untersuchung imponierte eine runde, nicht druckschmerzhafte und gegen die Unterlage und gegenüber der Haut verschiebliche Raumforderung im Bereich der linken Glandula parotidea (Abbildung 1).
Motorik und Sensibilität waren nicht be- einträchtigt, vergrößerte Lymphknoten waren nicht palpierbar. Enoral zeigte sich ein unauffälliges Ostium, und aus dem Ausführungsgang ließ sich klarer Speichel exprimieren.
Sonografisch stellte sich eine etwa zwei Zentimeter mal zwei Zentimeter große, weitestgehend hyposonore, scharf begrenzte Raumforderung mit dorsaler Schallverstärkung bei ansonsten unauffälligem Drüsengewebe der Glandula parotidea dar (Abbildung 2). Die anderen Speicheldrüsen und Lymphknoten waren unauffällig.
In Intubationsnarkose wurde durch eine laterale Parotidektomie unter Fazialismonitoring die Raumforderung entfernt (Abbildung 3).
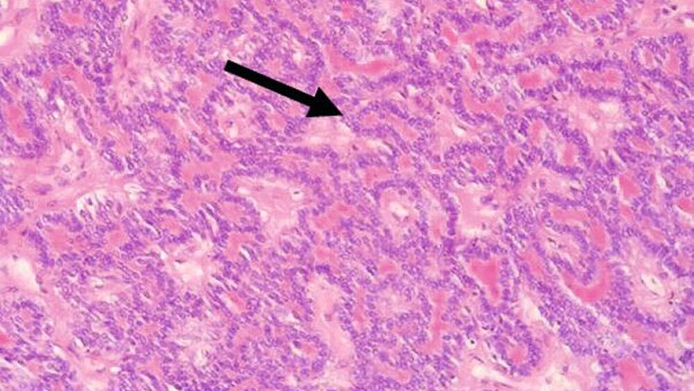
Die histopathologische Aufbereitung (Ab-bildung 4) ergab die Diagnose eines trabekulären Basalzelladenoms, ohne Anhalt für Malignität.
Diskussion
Das Basalzelladenom ist nach dem pleo- morphen Adenom und dem Warthin-Tumor der dritthäufigste benigne Speicheldrüsentumor, der aber nur einen Anteil von gut fünf Prozent an allen gutartigen Speicheldrüsentumoren und gut drei Prozent bei Einbe- ziehung auch aller malignen Tumore der Speicheldrüsen einnimmt [Tian Z. et al.]. Das typische Manifestationsalter liegt in der siebenten Lebensdekade, wobei Frauen im Vergleich zu Männern doppelt so häufig betroffen sind [Barnes L. et al., 2005].
Der Großteil der Basalzelladenome (über 80 Prozent) tritt im Bereich der großen Speicheldrüsen auf, hauptsächlich in der Pars superficialis der Glandula parotidea, im Bereich der kleinen Speicheldrüsen, dort vornehmlich im Bereich der Oberlippe und des Gaumens [Tian Z. et al.; Barnes L. et al., 2005].
Klinisch ähnelt das Basalzelladenom dem pleomorphen Adenom. In der Regel handelt es sich um einen solitären, gut umschriebenen und gut verschieblichen Tumor, der langsam wächst und eine Größe von bis zu drei Zentimetern erreichen kann, ohne dass er druckschmerzhaft ist oder den Nervus facialis affektieren würde.
Die Sonografie stellt das bildgebende Verfahren der Wahl dar. Ergänzt werden kann es durch computer- oder magnetresonanztomografische Bilder. Letztlich gibt jedoch nur die histologische Untersuchung diagnostische Sicherheit.
Histologisch besteht das Basalzelladenom aus basaloiden Zellen mit eosinophilem Zytoplasma. Die Zellen können dabei solide, trabekulär oder auch in einem membranösen Muster angeordnet sein.
Die Therapie des Basalzelladenoms besteht aus der lokalen Entfernung. Eine adjuvante Therapie ist nicht indiziert. Bei vollständiger Entfernung liegt die Rezidiv-rate bei annähernd null Prozent. Nur für den membranösen Typ wird eine Rezidivrate von 25 Prozent beschrieben. In extrem seltenen Fällen ist eine maligne Entartung beschrieben worden.
Auch im vorliegenden Fall wurde aufgrund der Häufigkeitsverteilung der einzelnen Tumoren zunächst an ein pleomorphes Adenom gedacht. Vor dem Hintergrund der unterschiedlichen Differenzialdiagnosen muss ein solcher Befund histopathologisch abgeklärt werden.
Dr. Maximilian KrügerPD Dr. Dr. Christian WalterKlinik und Poliklinik für Mund-, Kiefer- und Gesichtschirurgie – plastische OperationenUniversitätsmedizin der Johannes Gutenberg-Universität MainzAugustusplatz 2, 55131 Mainzwalter@mkg.klinik.uni-mainz.de
Dr. Andreas KreftInstitut für PathologieUniversitätsmedizin der Johannes Gutenberg-Universität MainzLangenbeckstr. 155131 Mainz
Fazit für die Praxis
• Das Basalzelladenom zählt mit einer Häufigkeit von etwa drei Prozent aller Speicheldrüsentumoren zu den seltenen Tumorentitäten.
• Differenzialdiagnostisch kommen vor allem andere benigne Tumoren der Speicheldrüsen, wie das pleomorphe Adenom oder der Warthin-Tumor, in Betracht.
• Grundsätzlich sollte jeder unklare Befund im Bereich der Parotis histo- logisch abgeklärt werden, um einen malignen Prozess auszuschließen.




