Eine komplexe Situation interdisziplinär gelöst
In den letzten Jahren geht der Trend in der Zahnmedizin dahin, dass sich Zahnärzte verstärkt spezialisieren. Mittlerweile finden wir in Deutschland reine Parodontologen, Implantologen, Endodontologen, Oralchirurgen und Kieferorthopäden. Besondere Beachtung sollte in diesem Zusammenhang jedoch der interdisziplinäre Ansatz finden, um so alle Möglichkeiten der modernen Zahnmedizin sinnvoll zu nutzen. Nur dies kann zu einer optimalen individuellen Therapie für den Patienten führen.
Die Ausgangssituation
Die Patientin stellte sich am 4. August 2009 im Alter von 41 Jahren mit einer Schwellung Regio 27 vor. Aufgrund des tief zerstörten Zahns 27 wurde als Notbehandlung eine Inzision zur Eiterentleerung durchgeführt.
Im Orthopantomogramm desselben Tages sind die stark zerstörten und nicht erhaltungswürdigenden Zähne deutlich zu sehen. Gleichzeitig ist eine ausgeprägte Konkrementbildungen an den Frontzähnen und die damit verbundenen parodontalen Schäden sichtbar (Abbildung 1).
Die Patientin hatte panische Ängste, gab an, seit zehn Jahren nicht mehr beim Zahnarzt gewesen zu sein und bat um eine Vollsanierung in Vollnarkose. Dem Wunsch wurde nachgekommen.
Behandlungsablauf
Am 16. September 2009 wurde die Patientin in einer viereinhalbstündigen Vollnarkosesitzung behandelt. Die intravenös verabreichte Medikation bestand aus Propofol, Ultiva, Esmeron, Sevoflurane, Soludecortin, Clindamycin und Vomex A.
Professionelle Zahnreinigung:Ursprünglich war eine intensive professionelle Zahnreinigung mit Instruktion und Motivation im Vorfeld vorgesehen, jedoch war dies aufgrund der extremen Ängste der Patientin nicht durchführbar.
Diese erfolgte dann erst im Anschluss an die Erstversorgung. Ein DNA-Sondentest zur Keimbestimmung wurde aufgrund der schlechten Compliance der Patientin ebenfalls nicht durchgeführt.
Antibiose:Auch wurde auf eine präoperative Antibiose verzichtet. So erfolgte ausschließlich eine intravenöse Verabreichung von Clindamycin während der Narkose.
Oralchirurgische Behandlung:Es wurden die Zähne 16, 26, 27, 28, 35, 45, 46 und 47 aufgrund ihres kariösen Zerstörungsgrads und 18 wegen der ausgeprägten apikalen Beherdung extrahiert.
Zahnerhaltende Maßnahmen: Zusätzlich wurden die kariösen Läsionen entfernt, die Zähne 14, 22, 36, 37 mit Aufbaufüllungen versorgt und der Zahn 22 (Abbildung 2) diodenlaserunterstützt endodontisch behandelt. Bei der Wurzelkanalbehandlung dient der Diodenlaser der Wurzelkanalsterilisation nach erfolgter Aufbereitung unter wechselnder Spüldesinfektion mittels Natriumhyperchlorid, Alkohol und Chlorhexamed und Trocknung mittels Papierspitzen.
Der Laserstahl hat etwa eine Eindringtiefe von 0,5 mm und kann im Vergleich zu den Spüllösungen die Ramifikationen durch das Licht erreichen. Die Frontzähne wurden mit Kompositfüllungen rekonstruiert.
Parodontalbehandlung:Daraufhin erfolgten eine intensive Zahnreinigung und eine laserunterstützte Parodontalbehandlung. Diese wurde zum einen mit einem Diodenlaser mit einer spezifischen Wellenlänge von 980 nm durchgeführt, der eine gute Absorption auf das Hämoglobin der oralen Schleimhaut aufweist, und zur Entfernung des entzündlichen inneren Schleimhautepithels dient. Auch wurde ein Erb:Yag-Laser zur Entfernung der subgingival gelegenen Konkremente eingesetzt, wie bereits von Israel et al beschrieben [Israel et al, 1997]. Diese Behandlung erfolgte ausschließlich geschlossen.
Der Einsatz des Diodenlasers hat in diesem Fall den Sinn, vor und nach der Kürettage eine massive Keimreduktion im Bereich des inneren Taschenepithels hervorzurufen. Dies läuft folgendermaßen ab: Vor dem Beginn der Kürettage wird die Glasfaser des Diodenlasers durch die Taschen geführt. Dies bewirkt eine Abtragung der mit Bakterien infiltrierten inneren Schleimhautschicht und dadurch eine Keimreduktion im Bereich des Epithels, so dass sich das Epithel neu aufbauen kann. Die Tasche muss somit nicht gekürzt werden.
Gleichzeitig erfolgt eine Koagulation, die das Ausschwemmen von Bakterien in den Blutkreislauf deutlich reduziert. Dies ist sehr wichtig, da folgend die Konkremente entfernt werden und es dabei meist zu starken Blutungen kommt. Der Diodenlaser entzieht als Nebeneffekt den Konkrementen Wasser. Diese lassen sich dadurch deutlich leichter entfernen. Da der Laser mit der spezifischen Wellenlänge von 980 nm nur im Bereich der Schleimhaut absorbiert wird, wird natürlich auch die gesunde Wurzel-oberfläche, also die aktiven Wurzelzementzellen, nicht von der Strahlung negativ beeinflusst, was zum Beispiel bei der Anwendung eines Elektrotoms der Fall ist.
Nach erfolgter Konkremententfernung wird die Tasche nochmals mit dem Diodenlaser zur Keim- reduktion bestrahlt.
Implantologie:Am 4. Dezember 2009, also fünf Monate nach der Erstvorstellung, wurde dann mit der Planung der Implantation begonnen. In einer zweiten Vollnarkosesitzung konnten acht Implantate Regio 15, 17, 24, 26, 27, 45, 46 und 47 inseriert werden.
Im Oberkiefer erfolgte zeitgleich ein doppelseitiger externer Sinuslift. [Tatum et al,1986]. Das verwendete Knochenersatzmaterial bestand zu 100 Prozent aus Bio-Oss® mit einer Korngröße von ein bis zwei Millimetern. Zum Schutz vor einer möglichen Perforation der Sinusmembran wurde eine Kollagenmembran mit einer Größe von 15 mal 20 Millimetern eingebracht. Das Sinusfenster wurde ebenfalls durch eine Kollagenmembran mit der Größe 15 mal 20 Millimetern abgedeckt. Diese wurde mit Titannägeln in ihrer Position fixiert. Der Sinuslift verlief ohne weitere Komplikationen.
Im Unterkiefer rechts wurde der schmale Kieferkamm mittels Piezosurgery® gespalten und durch das Split-Control-Verfahren aufgedehnt [Blus et al, 2006]. Es erfolgte eine Augmentation zur Kieferkammverbreiterung mittels Eigenknochen und Bio-Oss® zur Unterstützung des Weichgewebes.
Nach weiteren vier Wochen, am 19. Januar 2010, wurden im Ober- und Unterkiefer Brackets mit einem thermoaktivem Bogen 0,3 x 12 eingegliedert. In Regio 14, 23, 34 und 43 wurde ein Aufbiss mit Glasionomerzement hergestellt. Ziel der kieferorthopädischen Behandlung war es, den frontalen Kreuzbiss zu beseitigen und dadurch eine bessere Hygienefähigkeit sowie eine deutlich bessere ästhetische Situation zu erreichen. Ebenfalls stand die maximale Schonung der natürlichen Zahnhartsubstanz im Vordergrund. Natürlich sollte auch die Funktion durch Eliminierung des frontalen Kreuzbisses sichergestellt werden.
Die Bogenfolge setzte sich folgendermaßen zusammen:
•Tensic 0,3 x 12•Tensic 0,4 x 16•Tensic 0,41 x 0,56 mm / 16 x 22•Nonium 0,41 x 0,56 mm / 16 x 22
Da die Zähne parodontal vorgeschädigt waren und der Drehpunkt nach apikal verlagert war, erfolgte die Zahnbewegung mit sehr geringen Kräften, die 50 g nicht überschritten. Die Patientin kam regelmäßig in Vier-Wochen-Intervallen zum Bogenwechsel und zur Mundhygienekontrolle sowie Instruktion und Motivation. Durch die regelmäßigen Kontrollen gewöhnte sich die Patientin an den Zahnarztbesuch, und ihre panische Angst legte sich.
Ein entscheidender Punkt war dabei sicherlich auch, dass die Patientin merkte, dass ihre Mitarbeit gefragt war und ihr jeder Behandlungsschritt erklärt wurde. Die Mundhygiene wurde engmaschig kontrolliert, um damit auszuschließen, dass es zu einer erneuten Entzündung des parodontalen Gewebes und somit zu einem Rezidiv kommt. Die Compliance verbesserte sich im Laufe der kieferorthopädischen Behandlung so weit, – so äußerte sich die Patientin – dass sie die Therapie nach Behandlungsende vermissen werde, so sehr habe sie sich daran gewöhnt.
Fünf Monate nach erfolgter Implantation wurden die Implantate in beiden Kiefern freigelegt und mit provisorischen Kronen versorgt, bei denen in Regio 16, 26, 46 vom Zahntechniker Bänder eingearbeitet wurden. Im Oberkiefer erhielten die Zähne 13 und 23 Teilbögen zur direkten Intrusion. An den Zähnen 12 bis 22 wurde ein modifizierter Teilbogen mit zwei Ösen in Regio 13, 23 angelegt, der mittels zweier Aufrichtefedern nach Prof. Sander mit der Regio 16, 26 verbunden war. Dadurch konnte die Front von 12 bis 22 ohne Nachaktivierung intrudiert werden (Abbildungen 8a,b und 9). Die Kräfte betrugen nicht mehr als zehn Gramm pro Zahn, um Wurzelresorptionen zu vermeiden.
Die provisorischen Kronen wurden miteinander verblockt, um die Belastung auf die einzelnen Implantate gering zu halten und somit ein leichtes „Knochentraining“ zu ermöglichen. Da die Periotest-Werte aller Implantate unter Null lagen, konnten die Provisorien auch dazu genutzt werden, den Biss leicht anzuheben.
Prothetische Versorgung:Der Patientin wurde im Rahmen der Therapieplanung die Versorgung in Form von einer Teleskop- oder Kombiarbeit diskutiert. In einem mehrstündigen Gespräch wurden alle Therapieoptionen genau erläutert, wohingegen sie sich endgültig für diese durchgeführte Lösung entschlossen hat, trotz Hinweis auf eine kostengünstigere und vor allem schnellere Variante, nämlich mit einer herausnehmbaren Lösung.
Folgende Punkte wurden mit ihr diskutiert:
a. Es wäre möglich, die Zähne in der Front zu überkronen um den Kreuzbiss aufzulösen und den Biss anzuheben, jedoch müssten wir höchstwahrscheinlich dazu 21, 22, 23, 31, 32, 33 und 34 devitalisieren, um die Achsenneigung durch Stiftaufbauten zu ändern.
b. Grundsätzlich sind Schleiftraumata an den kariesfreien Zähnen durch eine Überkronung nicht ausgeschlossen.
c. Eine herausnehmbare Lösung bedeutet eine teilweise Abdeckung des Gaumens.
d. Ersatz des fehlenden Schleimhautanteils durch Zahnfleischkeramik oder Kunststoffanteile.
e. Mit einer Teleskopversorgung wäre es äußerst schwierig, ohne eine massive Reduktion der Pfeilerzähne, die Grazilität und die Charakter- eigenschaft ihrer natürlichen Zähne zu reproduzieren.
Gegen jeglichen unnötigen Verlust gesunder Hartsubstanz hatte sich die Patientin gewehrt.
Deshalb wurden am 23. November 2010 der Oberkiefer und am 2. Dezember 2010 der Unterkiefer zur Herstellung des Zahnersatzes abgeformt.
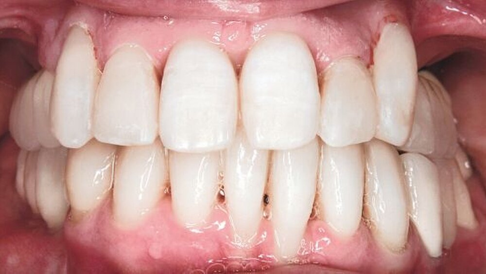
Nach insgesamt 15 Monaten konnte der Zahnersatz im Ober- und Unterkiefer-Seitenzahnbereich eingegliedert werden. Die Brackets und die Bögen wurden entfernt und die Zähne durch lingual eingebrachte Glasfasermatrizen verblockt. Diese Verblockung dient der Stabilisierung der Frontzähne, um das reduzierte Parodont nicht überzustrapazieren sowie der Vermeidung eines Rezidivs nach erfolgter kieferorthopädischer Therapie (Abbildungen 11a bis c).
Zusammenfassung
Zusammenfassend wurden in der Summe die kariösen Läsionen entfernt, die Parodontitis beseitigt und der Patientin eine neue Einstellung zur Mundhygiene gegeben. Gleichzeitig wurde ihre panische Angst genommen und der Kreuzbiss kieferorthopädisch beseitigt. Zusätzlich konnte die Frontzahnstellung in punkto Ästhetik, Funktion und Hygienefähigkeit verbessert werden. Dafür wurden die Seitenzähne durch Einsetzen von Implantaten und Kronen sowie Brücken festsitzend rekonstruiert. Parallele Maßnahmen dienten dazu, das Selbstbewusstsein der Patientin entscheidend zu stärken.
Dr. Daniel R. SalwerkLuisenstr. 4176571 Gaggenaupraxisklinik@salwerk.de




