Osteosarkom nach Osteomyelitis
Samer Nakib, Ralf Schön
Eine 67-jährige Patientin klagte drei Jahre nach Implantatversorgung des zahnlosen Unterkiefers Regio 35 bis 45 über eine Hypästhesie im Versorgungsbereich des dritten Astes des N. trigeminus rechts. Nach ein- jähriger Persistenz der Beschwerden wurde sie zur Abklärung in die Klinik für Mund-, Kiefer- und Gesichtschirurgie des St. Josefshospitals Krefeld überwiesen.
Anamnese und Befund
Bei der Vorstellung zeigte sich die Patientin in einem altersentsprechenden guten Allgemein- und Ernährungszustand. Die klinische Untersuchung ergab extraoral außer der Hypästhesie an der rechten Unterlippe einen unauffälligen Befund ohne Schwellung, Druckschmerz oder tastbare zervikale Lymphknoten. Intraoral waren die Schleimhäute reizlos, die Implantate fest ohne Zeichen einer Periimplantitis. Eine durchgeführte Computertomografie sowie eine Knochenszintigrafie ergaben den Verdacht auf Osteomyelitis des rechten Unterkiefers. Eine stationäre Aufnahme zur intravenösen Antibiose und gleichzeitig eine vierwöchige hyperbare Sauerstofftherapie wurden durchgeführt. Bei leichter Besserung der Beschwerden lehnte die Patientin eine chirurgische Abklärung ab.
18 Monate später wurde die Patientin erneut vorstellig mit Schwellung am Unterkiefer rechts, rezidivierenden Schmerzen sowie Hypästhesie. Beim intraoralen Befund stellte sich jetzt eine knochenharte Auftreibung am Unterkiefer paramedian rechts mitulzeröser Schleimhautveränderung Regio 43 dar.
Die CT-Untersuchung ergab eine etwa 20 mm x 7 mm messende, neue, abgrenzbare periostale Verkalkung und eine zu nehmende intraspongiöse Sklerosierung im rechten Corpus mandibulae, vereinbar mit einer reparativen Reaktion bei der vorbestehenden chronischen Osteomyelitis. Es bestand die Indikation zur Dekortikation.
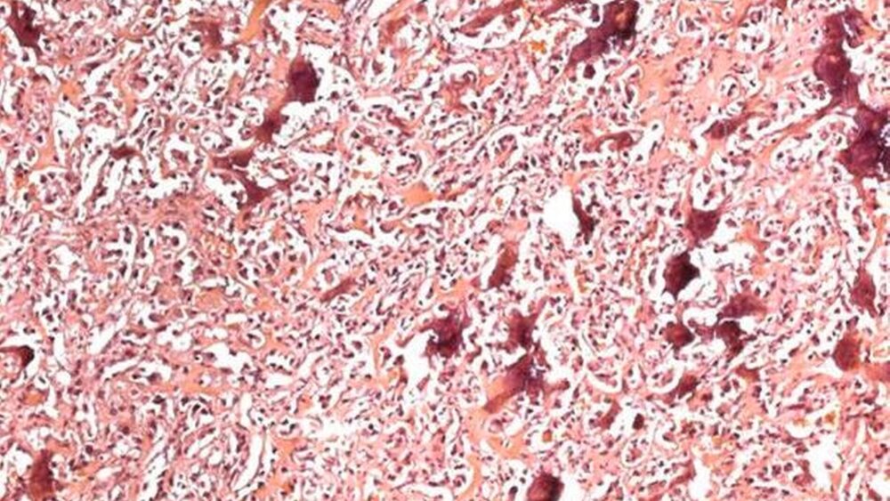
Der histopathologische Befund ergab eine zellreiche Neubildung. Diese bestand in den zentralen Abschnitten aus spindeligen, fibroblastär-differenzierten Zellelementen mit länglichen Zellkernen, die zum Teil auch in Mitose standen. In der Umgebung konnte ein unreifes Osteoid, das von einem einreihigen Osteoblastensaum umgeben wurde, ausgemacht werden. Die Osteozyten waren regelrecht eingemauert. Laut des pathologischen Berichts handelte es sich unter Berücksichtigung der Vorgeschichte am ehesten um eine Periostitis ossificans bei klinisch bekannter chronischer Osteomyelitis nach Implantatversorgung. Eine engmaschige Kontrolle der Patientin wurde empfohlen.
Nach stadiengerechter Wundheilung und Entfernung des Nahtmaterials erschien die Patientin erst acht Monate später in der Klinik mit einer erneuten paramandibulären Auftreibung rechts.
Die CT-Untersuchung zeigte eine inhomogene Sklerosierung des rechten Unterkieferastes über eine Strecke von circa drei Zentimetern. Innerhalb der Sklerosierungen waren unregelmäßige Aufhellungen erkennbar. In der Regio 44 stellte sich eine drei Millimeter große Unterbrechung der bukkalen Kortikalis dar. Hier zeigte sich eine 2,7 cm x 0,7 cm große periostale Verkalkung, die gegenüber der Voruntersuchung größenprogredient war.
Bei einem erneuten chirurgischen Eingriff mit Knochenabtragung Regio 44 bis 48 ergab der histopathologische Befund lediglich eine inflammatorische beziehungsweise postinflammatorische Periostitis ossificans ohne Anhalt für Malignität.
Acht Wochen nach der zweiten Knochenabtragung klagte die Patientin über eine erneute Schwellung und einen Gewebsüberschuss intraoral ohne Schmerzen. Aufgrund der schnell wachsenden Raumforderung wurde erneut eine modellierende Osteotomie zur Gewinnung einer Gewebsprobe durchgeführt. Der histopathologische Befund der dritten Unterkieferrevision ergab die Diagnose eines hochmalignen Osteosarkoms mit osteoblastomähnlichem Wachstumsmuster.
Eine neoadjuvante Chemotherapie nach Euroboss I – Protokoll mit Cisplatin und Adriamycin q21 wurde ein- geleitet. Nach vier Zyklen erfolgte bei partieller Remission die radikale Tumorentfernung mit Unterkieferteilresektion. Der nächste Schritt war die alloplastische Rekonstruktion des Unterkiefers mit einer Überbrückungsosteosyntheseplatte (Synthes), die mittels eines CAD/CAM-Modells der gespiegelten gesunden Unterkieferhälfte präoperativ hergestellt wurde. Dieses Verfahren wurde gewählt, da ein intraoperatives Anpassen der Platte bei der tumorbedingten Auftreibung des Unterkiefers nicht sinnvoll erschien. Eine Mandibulo-Maxilläre-Fixation (MMF) wurde vor der Resektion mit der implantatgetragenen Unterkieferprothese über MMF-Schrauben und im Bereich des aufsteigenden Unterkieferastes durch Miniplattenosteosynthese durchgeführt. Der histopathologische Befund ergab eine R0-Resektion des hochdifferenzierten osteoblastischen Osteosarkoms mit einem Sicherheitsabstand von 15 mm nach ventral und 13 mm nach dorsal.
Der Malignitätsgrad vor Chemotherapie wurde mit G3 und das Tumorstadium postoperativ mit ypT1(4,5cm) N0 (0/4) L0 V0 R0 beschrieben.
Die Chemotherapie folgte dann postoperativ. Nach einem Zyklus Cis/IFOS wurden die letzten zwei Kurse bei rezidivierender Panzytopenie auf ADM und Cyclophosphamid d1-3 q21 umgestellt.
Nach komplikationsfreiem postoperativem Intervall konnte die implantatgetragene Prothese auf der Resektionsseite gekürzt und wieder auf die im linken Unterkieferbelassene implantatgetragene Stegkonstruktion eingesetzt werden.
In den nächsten zwei Jahren sind regelmäßige klinische Untersuchungen mit MRT-Kontrollen alle vier Monate, danach in halbjährlichen Intervallen geplant. Außerdem sind der Patientin Röntgen-Thorax-Aufnahmen sowie Abdomensonografien zuerst alle vier Monate in den nächsten zwei Jahren und dann einmal jährlich empfohlen worden. Nach zwölfmonatiger Rezidivfreiheit ist eine Unterkiefer-Rekonstruktion mit einem mikrovaskulär anastomosiertem Fibula-Transplantat geplant.
Epidemiologie und Ätiologie
Osteosarkome im Bereich der Mund-, Kiefer- und Gesichtschirurgie sind sehr selten. Während das Osteosarkom weniger als ein Prozent aller Tumoren bei Erwachsenen ausmacht, sind nur fünf bis 15 Prozent im Kopfbereich zu finden [Sturgis and Potter, 2003]. Von allen bei Erwachsenen auftretenden Tumoren im Kopfbereich sind nur ein Prozent dem Osteosarkom zuzuordnen [Pellit-teri et al., 2003]. Obwohl in den meisten Veröffentlichungen keine geschlechtsspezifische Verteilung der Häufigkeit nachgewiesen werden konnte, beschreibt eine aktuelle Studie eine Zwei-zu-eins-Verteilung der Häufigkeit zugunsten des männlichen Geschlechts [LeCornu et al., 2009]. Im Gegensatz dazu zeigen andere Arbeiten, dass bei Osteosarkomen des Unterkiefers vermehrt Frauen betroffen waren [Ogunlewe et al., 2006]. Ätiologisch konnten Osteosarkome assoziiert werden mit solitären und multiplen Osteochondromen, hereditären Eostosen, fibrösen Dysplasien, chronischer Osteomyelitis sowie an Stellen, die mit metallischer Osteosynthese in Verbindung standen [Johnston and Miles 1973; Ottaviani and Jaffe, 2009].
Epikrise und Diskussion
Osteosarkome des Unterkiefers sind seltene, aggressive, hochmaligne Tumoren mit hoher Mortalitätsrate, obwohl ein relativ niedriges Fernmetastasen-Risiko vorliegt. Die Fünf-Jahres-Überlebensrate wird in der Literatur durchschnittlich mit 40 Prozent angegeben (zehn bis 85 Prozent) [Delago et al., 1994; Forteza et al., 1986].
Die R0-Resektion mit tumorfreien Resektionsrändern verbessert maßgeblich die Prognose [Kassir et al., 1997; Kerr, 2004; Smeele et al., 1994]. Weder der histologische Subtyp noch der Malignitätsgrad des Osteosarkoms spielten eine Rolle bei der Prognose beziehungsweise beim Therapieverlauf [August et al., 1997; Kerr, 2004; Vege et al., 1991]. Das Lokalrezidiv wird mit einer Rate von über 50 Prozent beschrieben [August et al., 1997; Mark et al., 1991]. Das Auftreten eines solchen Rezidivs verschlechtert die Prognose [Kerr, 2004]. Fernmetastasen kommen am häufigsten in der Lunge vor. Beim Auftreten von isolierten Lungenmetastasen wird die chirurgische Entfernung empfohlen [Rosen et al., 1994]. Obwohl die Wirkung der Chemotherapie bei Osteosarkomen im Gesichtsbereich umstritten ist, zeigen mehrere Studien, dass die adjuvante Chemotherapie die Überlebensrate deutlich verbessert [Goepfert et al., 1992; Smeele et al., 1997].
Osteosarkome auf dem Boden einer chronischen Osteomyelitis sind in der Literatur vor allem für die Extremitäten beschrieben worden [De Boeck et al., 1998; Vigliani and Campailla, 1987]. Viel seltener ist das Auftreten dieser Kombination im Kiefer-/ Gesichtsbereich. Der bekannt gewordene Fall eines neunjährigen Patienten, mit einer Osteosarkombildung nach einer fokalen Osteitis des Unterkiefers wurde von Hankey 1938 beschrieben [Hankey, 1938]. Es ist bis heute eine Herausforderung für den Pathologen, eine ossäre Läsion richtig zu diagnostizieren.
Bei Osteomyelitis sowie bei Osteosarkomen kann ein ähnliches histopathologisches Bild entstehen, allerdings weisen Osteosarkome des Kiefers fast immer fokal eine chondroblastische Differenzierung auf. Sowohl ein ausreichendes Biopsiepräparat als auch die ausführliche Anamnese und die radiologische Bildgebung sind wichtig, um die richtige Diagnose zu stellen [Ackermann, 1976; Cabanela et al., 1974].
Dr. Samer Nakib
Prof. Dr. Dr. Ralf Schön
Klinik für Mund-, Kiefer- und Gesichtschirurgie
St. Josefshospital
47829 Krefeld




