Das Lymphangiom
Bei der klinischen Untersuchung zeigte sich keine Farb- oder Texturveränderung der Haut. Bei Palpation stellte sich der Befund selbst sehr weich dar. Eine knöcherne Asymmetrie bestand nicht. Die Mundöffnung war frei, die enoralen Schleimhäute zeigten kein Anzeichen für einen traumatischen Einbiss, jedoch gab es eine deutliche Veränderung in der Oberfläche mit einer feinen, nodulären Stippelung und partiell kleinen hämorrhagischen Arealen (Abbildung 2). Dental gab es keine pathologischen Auffälligkeiten.
Im Ultraschall fiel eine partiell zystische Durchsetzung des Gewebes auf (Abbildung 3), wobei im Dopplermode kein vermehrter Blutfluss nachgewiesen werden konnte. In Intubationsnarkose wurde bei Verdacht auf ein Lymphangiom über einen enoralen Zugang (Abbildung 4) eine histopathologische Abklärung vorgenommen. Dabei zeigte sich neben der Affektion der Schleimhäute enoral auch eine großflächige Veränderung des Gewebes bis direkt unter die Haut, so dass der Befund nur reduziert und nicht komplett entfernt wurde.
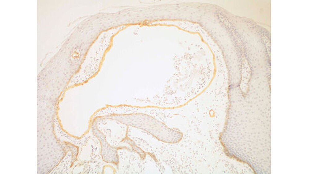
Die histopathologische Begutachtung bestätigte die Verdachtsdiagnose eines Lymphangioms mit Vorliegen von subepithelialen kavernösen Gefäßen mit typischem Endothel mit Eiweißpräzipitaten ohne Blut in den Gefäßlichtungen (Abbildungen 5 und 6). Bei einer postoperativen Kontrolle ein halbes Jahr später lagen stabile Verhältnisse vor, Schmerzen wurden von dem kleinen Patienten nicht mehr angegeben.
###more### ###title### Diskussion ###title### ###more###
Diskussion
Das Lymphangiom ist eine benigne kavernöszystische Läsion, bestehend aus dilatierten lymphatischen Gefäßen. In Abhängigkeit von der Größe der Lumen werden Lymphangiome in zystische ( 1 cm) und in kavernöse ( 1 cm) eingeteilt [ Farnoosh S et al., 2015].
Entweder besteht ein Lyphangiom bereits bei Geburt oder es entwickelt sich in den ersten Lebensjahren, so werden 90 Prozent vor dem dritten Lebensjahr detektiert [Farnoosh S et al. , 2015]. Sie können zusätzlich im Rahmen von malformativen Syndromen wie dem Turner-Syndrom auftreten [Barnes L et al., 2005; Fletcher DMC et al., 2002], eine Geschlechtsbevorzugung gibt es nicht [Farnoosh S et al., 2015]. Die Mortalitätsrate wird in der Literatur mit 3,4 bis 5,7 Prozent beziffert [Farnoosh S et al., 2015].
Hauptmanifestationsorte sind die Kopf-Hals-Region, die Axilla und die Leiste. Beim kavernösen Subtyp sind neben der Mundhöhle auch der Thorax, die Extremitäten und das Abdomen betroffen. Bei enoralem Befall ist es meist die Zunge und hier wiederum der anteriore Zungenrücken, der befallen ist [Barnes L et al., 2005; Fletcher DMC et al., 2002]. Die Symptome hängen von der Größe der Lymphangiome und deren Lage ab. Obwohl sie nicht proliferativ sind, kann es bei Infektionen oder Hämorrhagien zu einer raschen Größenexpansion kommen.
Histologisch zeichnen sich die unterschiedlich großen, dilatierten Lymphgefäße durch eine sehr dünne Wand aus, die durch meist abgeflachte Epithelien ausgekleidet ist. Die Lumen weisen entweder eine proteinreiche Flüssigkeit auf oder sind leer, besitzen aber nur wenig Erythrozyten. Länger bestehende Läsionen können zusätzlich interstitielle Fibrosierungen aufweisen. Anzumerken ist, dass bei kleineren Gefäßen an die Endo- thelien keine Basalmembran angrenzt und dass Perizyten fehlen [Barnes L et al., 2005; Fletcher DMC et al., 2002].
Die Therapie der Lymphangiome kann sich schwierig gestalten, da vitale Strukturen involviert sein können beziehungsweise da eine chirurgische Intervention mit einem schlechten ästhetischen Ergebnis einher- gehen kann [Farnoosh S et al., 2015]. Daher kommen unterschiedliche therapeutische Optionen zum Einsatz. Neben resektiven Verfahren kommen Interferon und sklerosierende Substanzen wie Ethanol, Bleomycin, Doxycyclin und weitere zum Einsatz [Farnoosh S et al., 2015; Barnes L et al., 2005; Fletcher DMC et al., 2002; Adams MT et al., 2012].
Rezidive entstehen meist auf Basis unvollständiger Resektionen, maligne Transformationen wurden bis jetzt keine beschrieben [Barnes L et al., 2005; Fletcher DMC et al., 2002]. Im vorliegenden Fall wurde von einer kompletten Exzision auf Basis der Ausdehnung und der zu erwartenden ästhetischen Einbußen Abstand genommen.
PD Dr. Dr. Christian Walter, Dr. Dr. Keyvan SaghebKlinik und Poliklinik für Mund-, Kiefer- und Gesichtschirurgie – plastische OperationenUniversitätsmedizin der Johannes Gutenberg-Universität MainzAugustusplatz 2, 55131 Mainzwalter@mkg.klinik.uni-mainz.de
Dr. Cristina L CotareloInstitut für Pathologie der Universitätsmedizin MainzLangenbeckstr. 11, 55131Mainz




